1/45
Looks like no tags are added yet.
Name | Mastery | Learn | Test | Matching | Spaced | Call with Kai |
|---|
No analytics yet
Send a link to your students to track their progress

-normal thyroid- lobular architecture

-normal thyroid- cuboidal follicular epithelial cells

-C cells

-C cells (hyperplastic)- calcitonin stain

-nodular hyperplasia
-disruption of follicular architecture

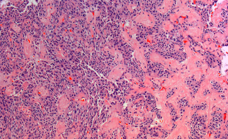
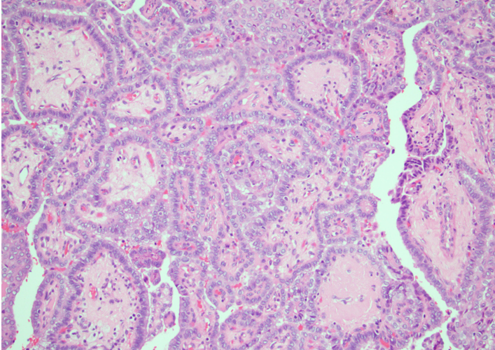
-papillary thyroid carcinoma- papillary architecture
papillary thyroid carcinoma- diagnosis


-PTC- nuclear grooves

-PTC- pseudoinclusions
papillary thyroid carcinoma- clinical features


follicular adenomatoid hyperplasia, follicular adenoma, MIFTC, angioinvasive FTC


-follicular adenomatoid hyperplasia
-not a distinct/discreet lesion


















medullary thyroid carcinoma- hereditary

thyroid carcinoma- molecular pathology


-papillary thyroid carcinoma
goiter

goiter mechanisms

non-toxic goiters

simple goiter- endemic

endemic simple goiter- mechanisms

simple goiter- sporadic

Hashimoto’s thyroiditis

nodules

clinical evaluation

cancer risk factors

further evaluation

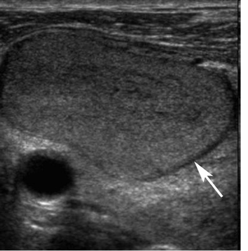
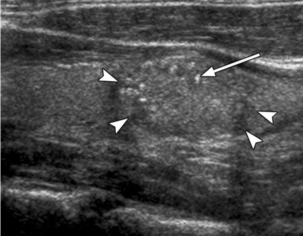
ultrasonography (US)



US features of nodules- benign, maligant


-halo sign

-microcalcifications

-increased vascularity
thyroid scan

functioning nodule on scan

biopsy?

algorithm for nodules

surgical considerations
