1/13
Looks like no tags are added yet.
Name | Mastery | Learn | Test | Matching | Spaced | Call with Kai |
|---|
No analytics yet
Send a link to your students to track their progress
What are the normal leukocytes in BAL?
Macrophages 50% decreases with age
Small lymphocytes 30-50% increases with age
<5% neutrophils
Few mast cells and eosinophils
What other cells are in a BAL?
Epithelial and goblet cells
What can contaminate a BAL?
Pollen, plant material, spores, hyphae
Why are neutrophils not always good to show infection in a BAL?
Degenerate very fast so need quick processing
What does Rhodococcus equi look like?
Coccobacilli with thin halo in macrophages
Similar to watermelon seeds
How do you diagnose Rhodococcus equi?
Bacterial culture and PCR for vapA gene
What does squamous cells with numerous bacteria indicate?
Can be upper airway contamination or aspiration pneumonia

Septate fungal hyphae that is not typically found and needs to correlate with C/S
What is the most common septate fungal hyphae?
Aspergillus

Pneumocystis jirovecii
Cannot be cultured need PCR for antigen
What is a cause of noninfectious neutrophilic inflammation?
Equine asthma, has a mild neutrophils, mastocytosis, and eosinophilia

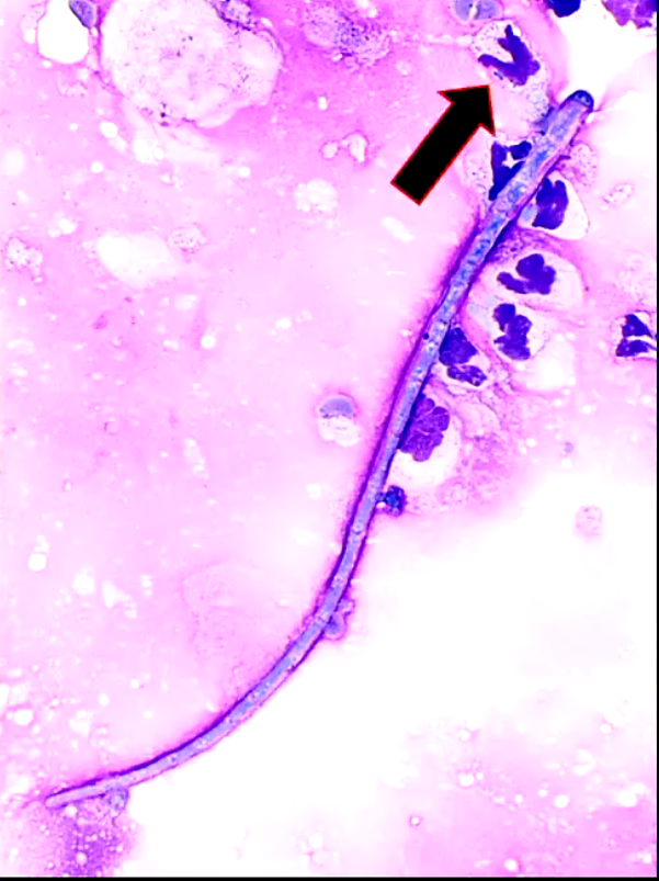
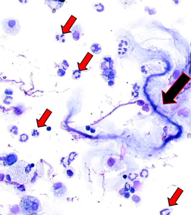
Black arrow
Kurschmann spiral, highly indicative of equine asthma
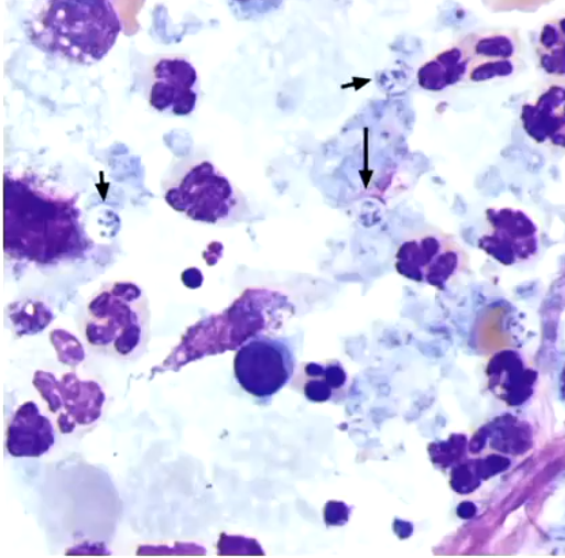
What can cause eosinophilic inflammation?
Parasite larvae of Dictyocaulus arnfieldi
Allergic bronchitis
Equine asthma
Often clump on the slide
What does EIPH look like?
Numerous RBCs in background
>50% hemosiderophages