1/29
Looks like no tags are added yet.
Name | Mastery | Learn | Test | Matching | Spaced | Call with Kai |
|---|
No analytics yet
Send a link to your students to track their progress

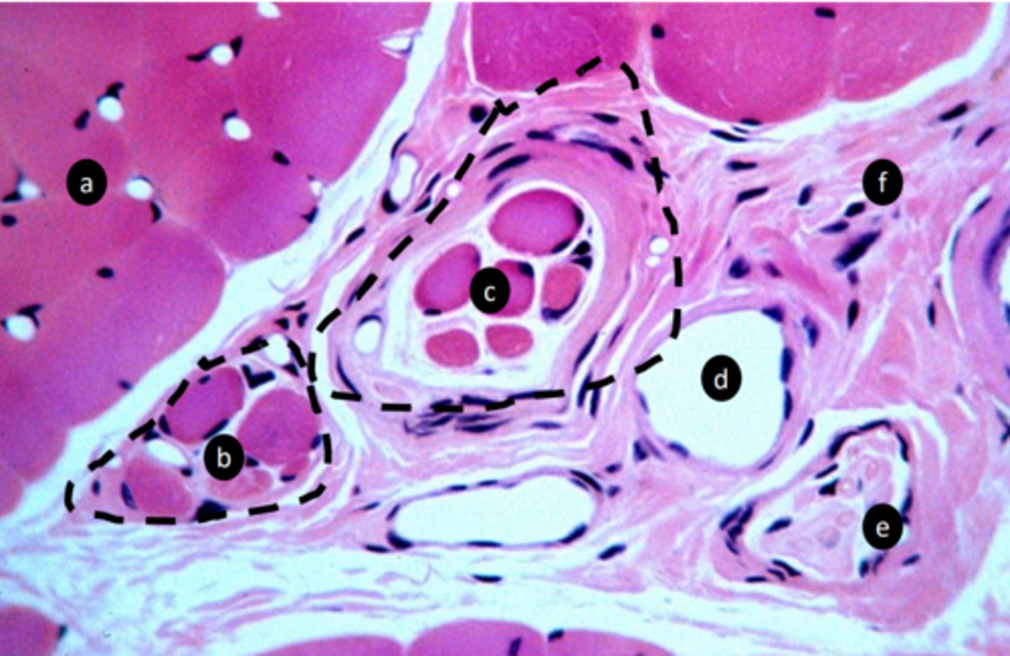
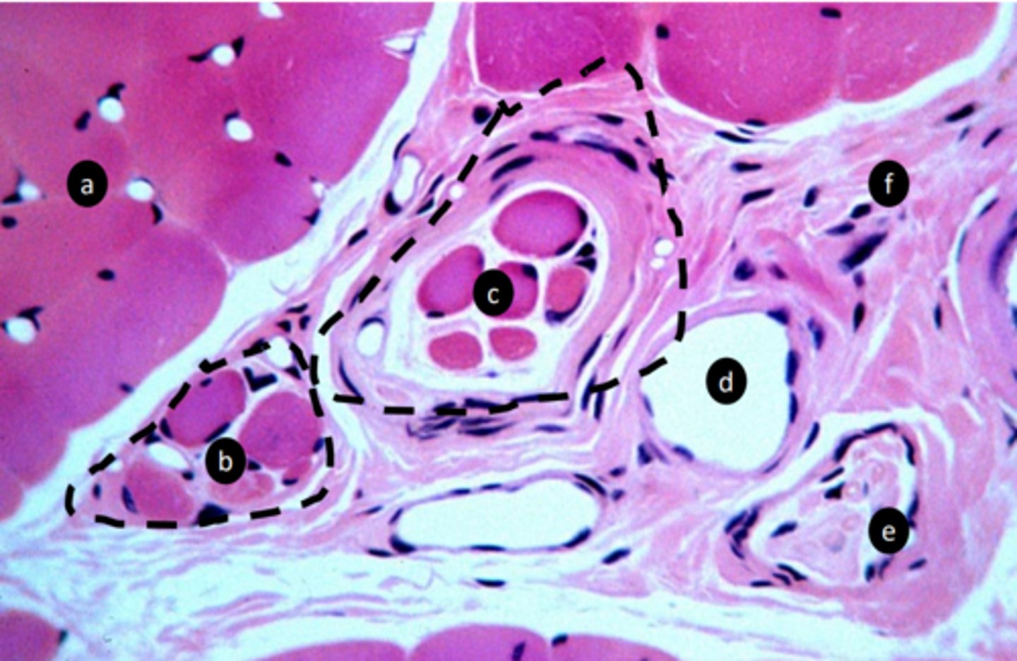
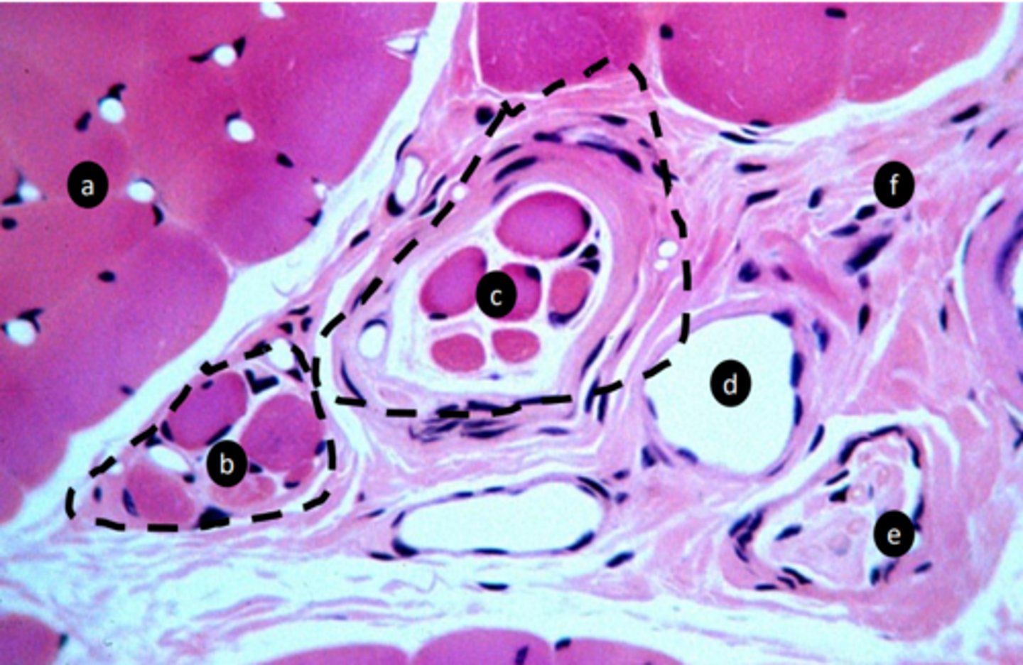
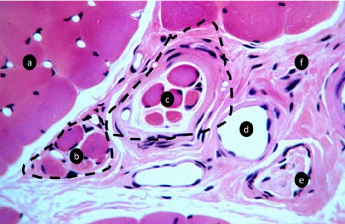
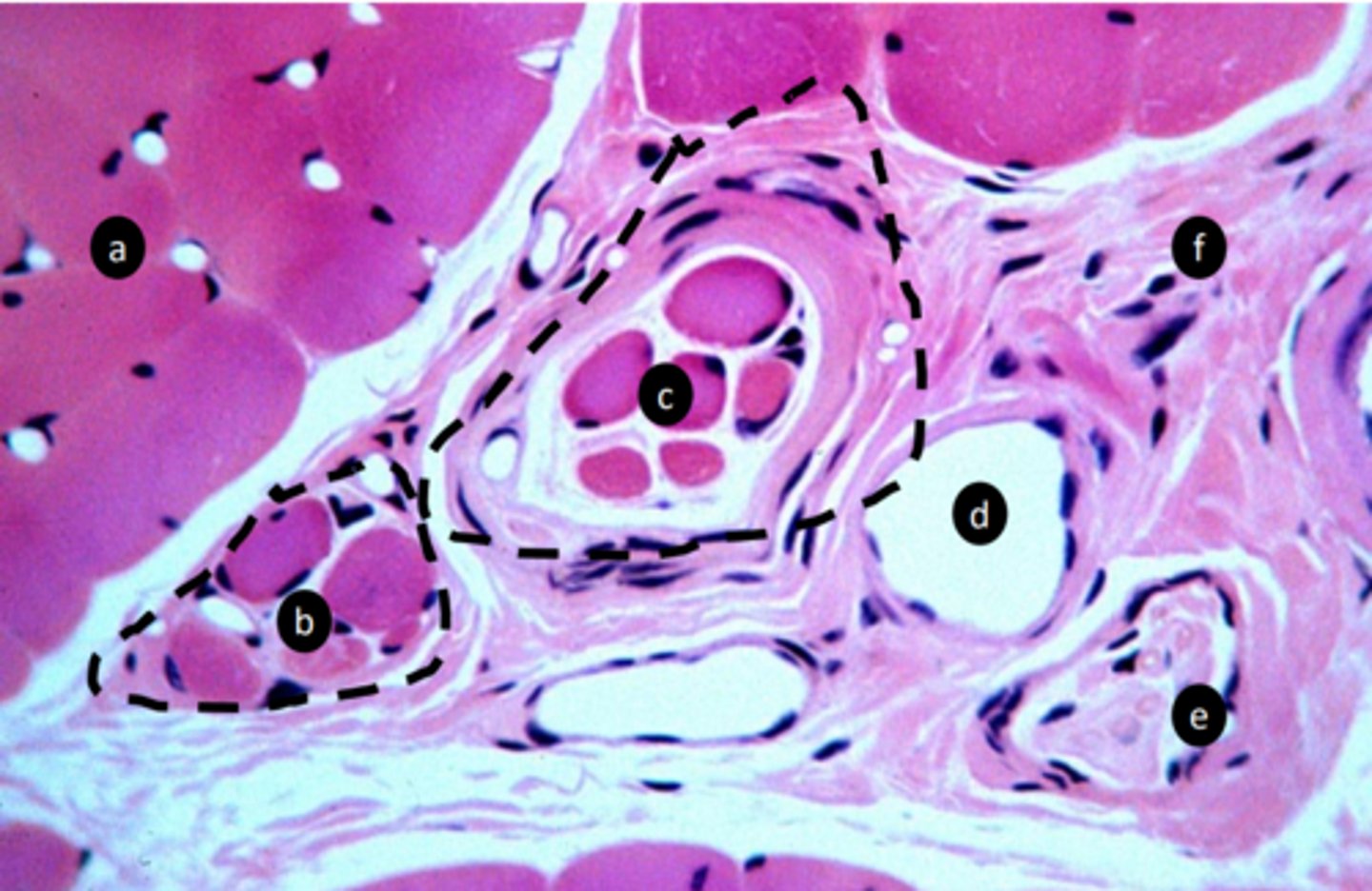
a: specific tissue type
extrafusal myofibers

b: specific tissue type
intrafusal muscle fiber

c: specific tissue type
intrafusal muscle fiber (muscle spindle)

function of c?
stretch receptor, proprioception: detect length and velocity

e: structure
vein

f: structure
nerve fibers

g: tissue type
CT

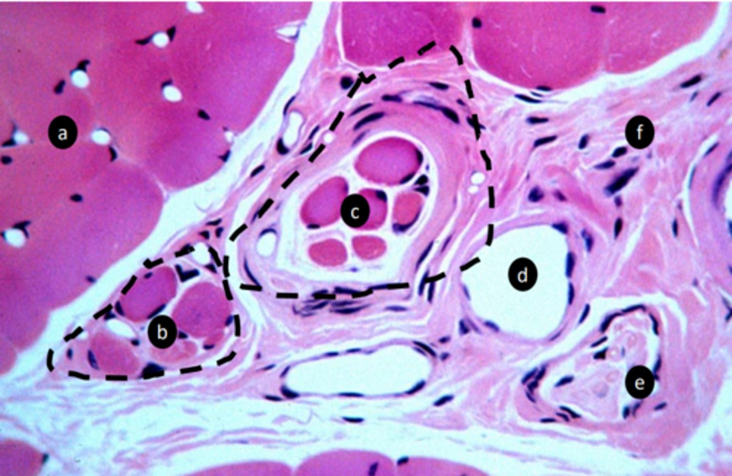
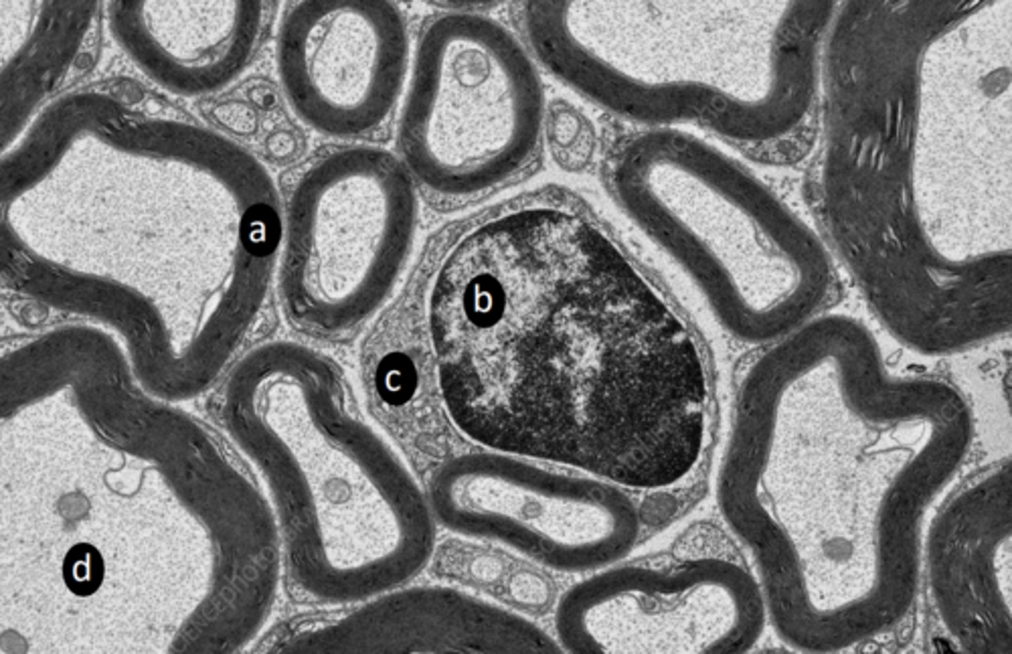
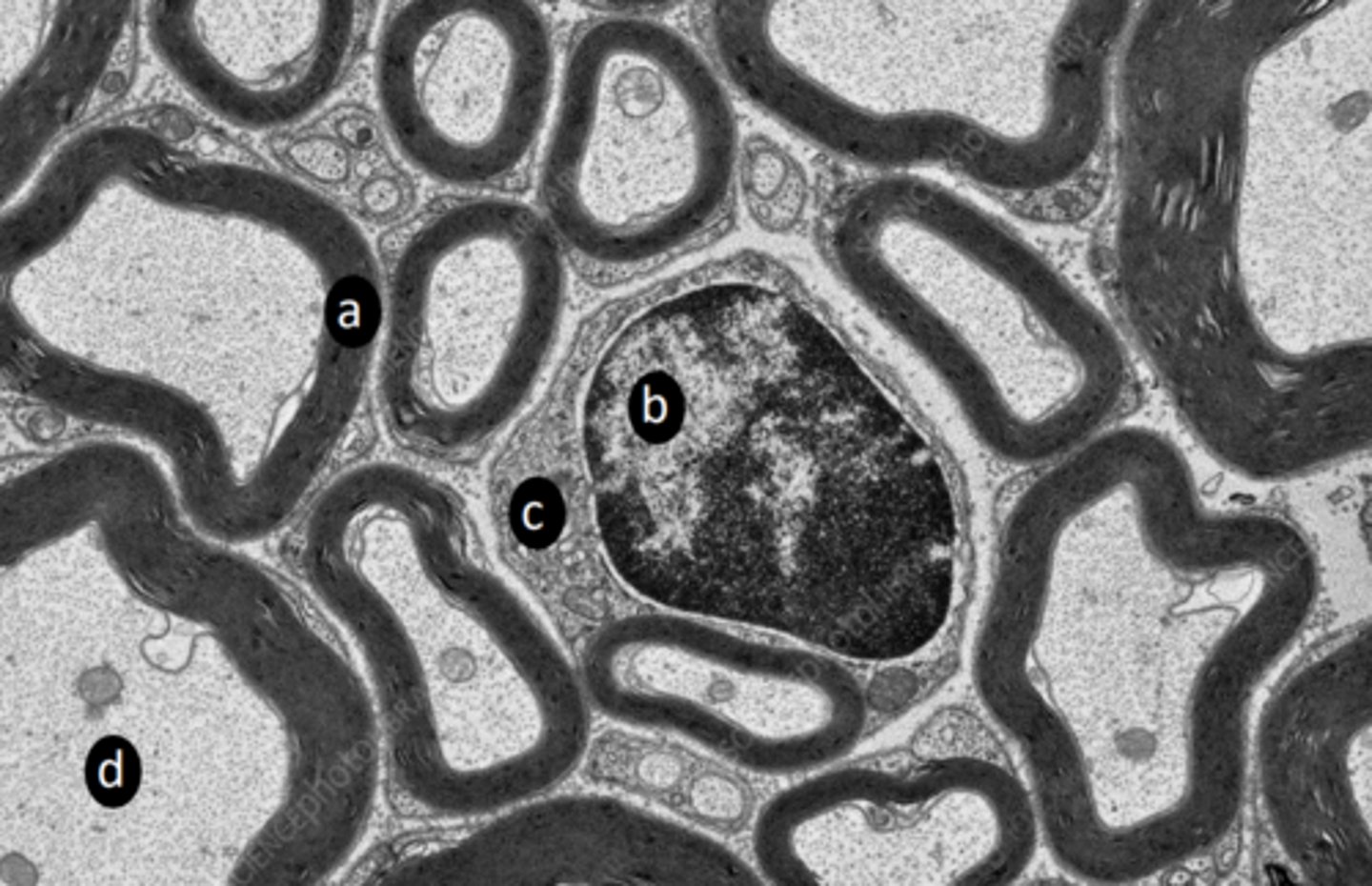
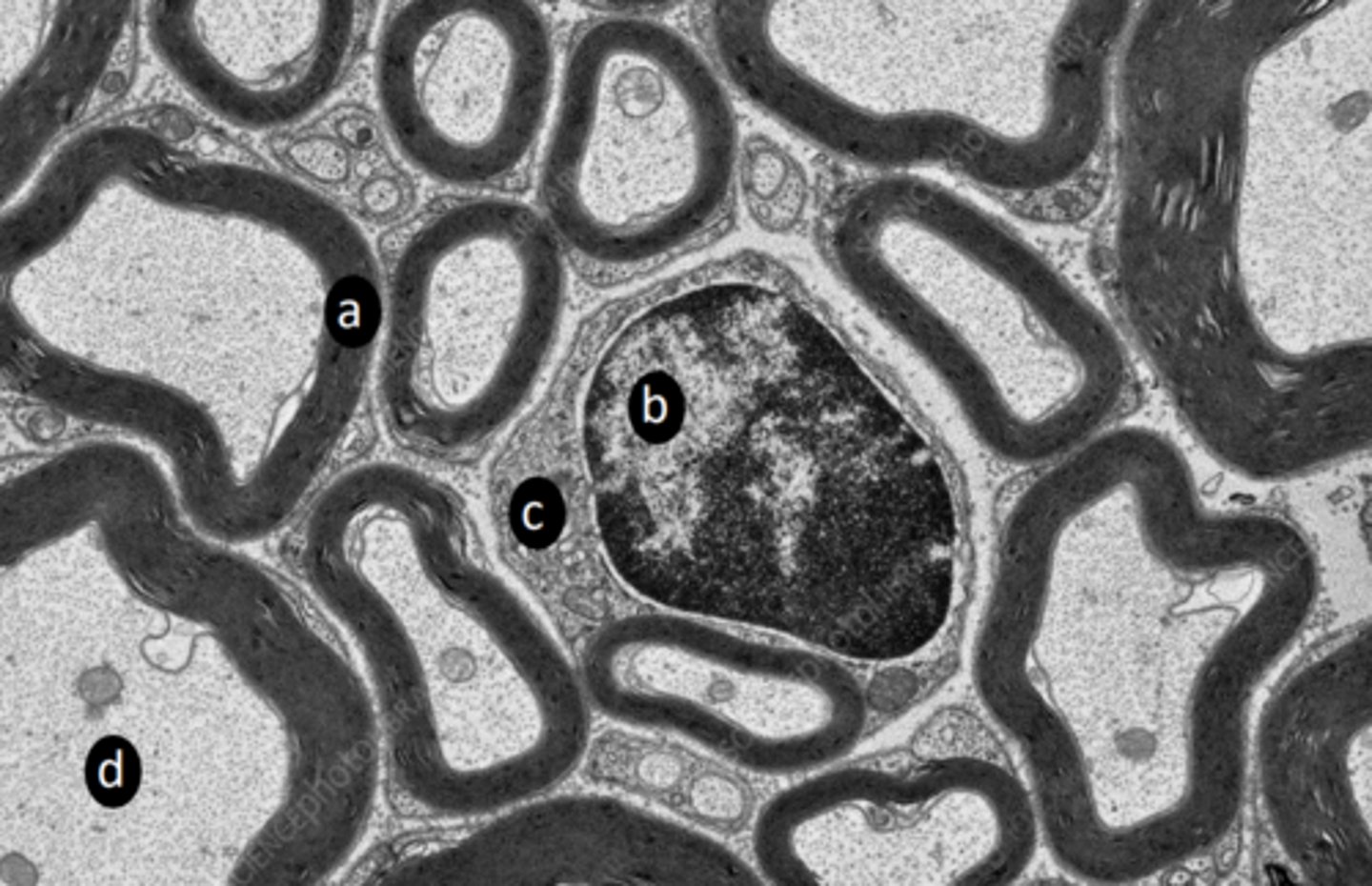
a: structure
myelin sheath

b: structure
schwann cell nucleus

c: structure
schwann cell cytoplasm

d: two structures present in labelled region
microtubule, neurofilament, mitochondria

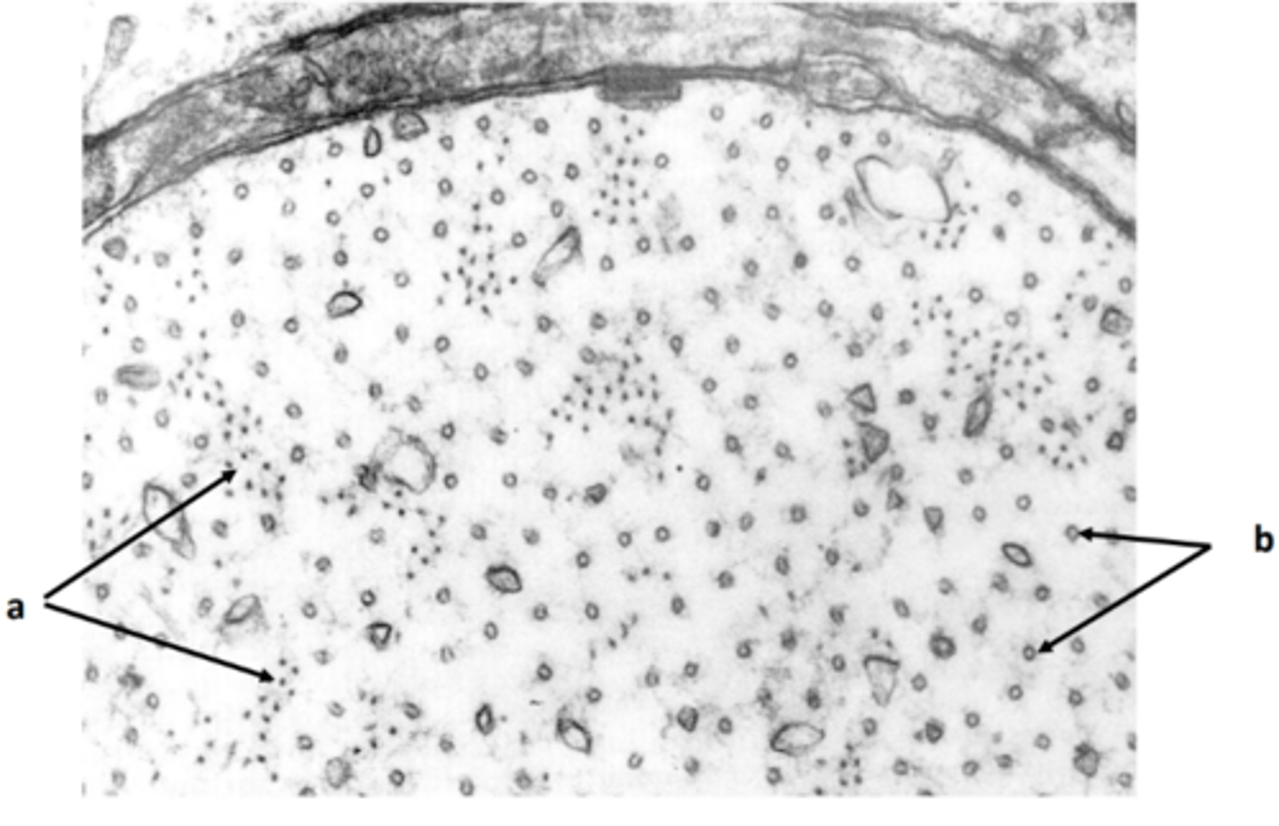
a: structure
axon

what ions stimulate action potential?
calcium

c: structure
secretory vescicles

d: structure
axon terminal

e: structure
acetycholine receptors, ACh receptors

f: structure
acetycholine

g: space
synaptic cleft

h: structure
sarcolemma

i: compound
acetylcholinesterase

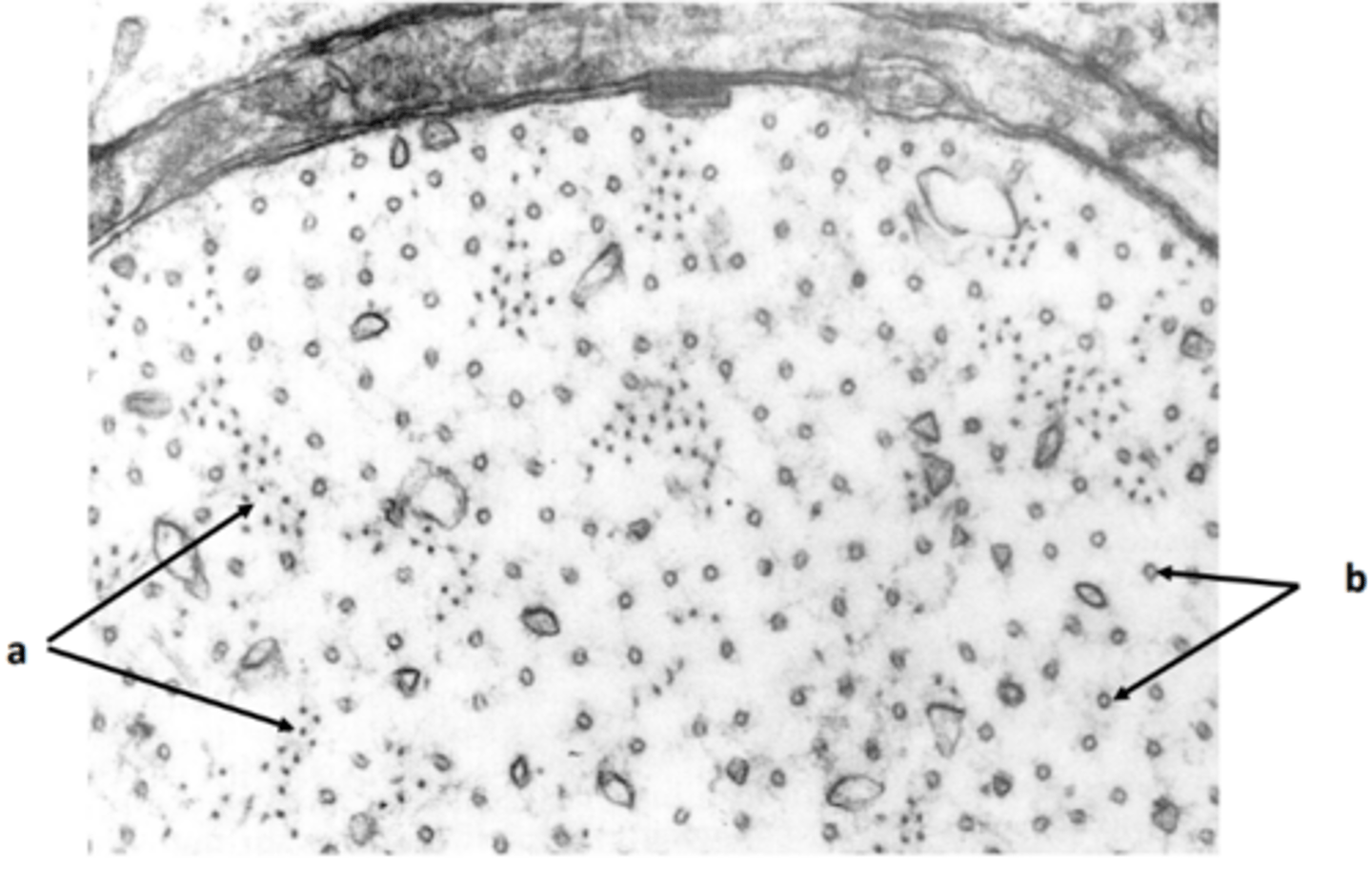
a: structure
neurofilament

b: structure
neurotubule

red: structures
Schwann cell cytoplasm

orange: structures
secondary synaptic clefts

yellow: structure
synaptic vesicles

blue: structures
primary synaptic clefts

purple: structure
mitochondria

orange: structures
synaptic vescicles

yellow: structures
basal lamina

green: structures
active zones