1/50
Looks like no tags are added yet.
Name | Mastery | Learn | Test | Matching | Spaced | Call with Kai |
|---|
No analytics yet
Send a link to your students to track their progress
What is a nasopalatine duct cyst the other name rlly
developmental cyst within the nasopalatine canal
• also called Incisive Canal Cyst

What is the cause of a nasopalatine duct cyst?
arises from epithelial remnants of embryonic nasopalatine duct
What is the common location of nasopalatine duct cysts?
nasopalatine canal/papilla

What are clinical features of nasopalatine duct cysts?
• pink swelling of incisive papilla area
• teeth are VITAL
• asymptomatic

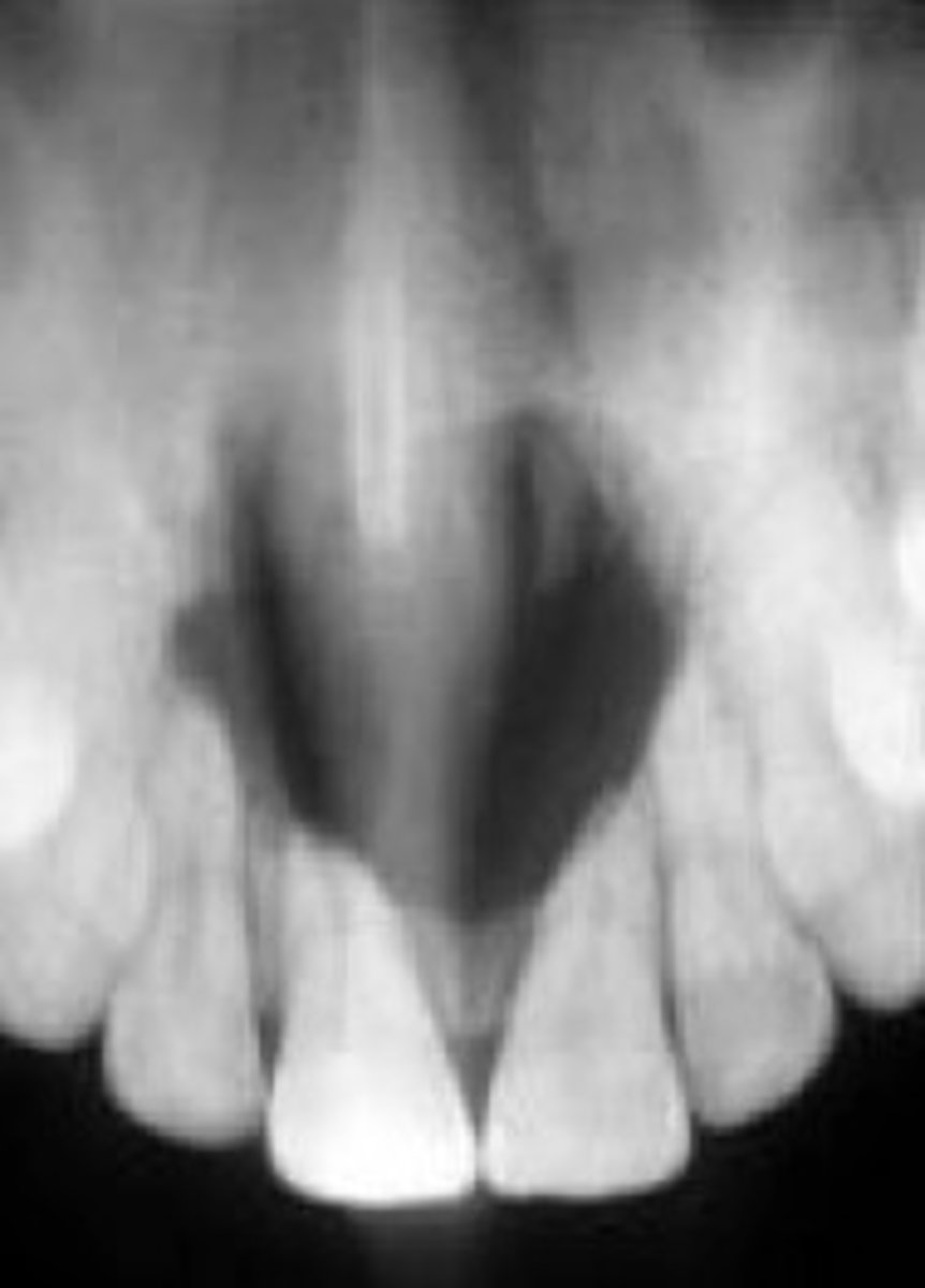
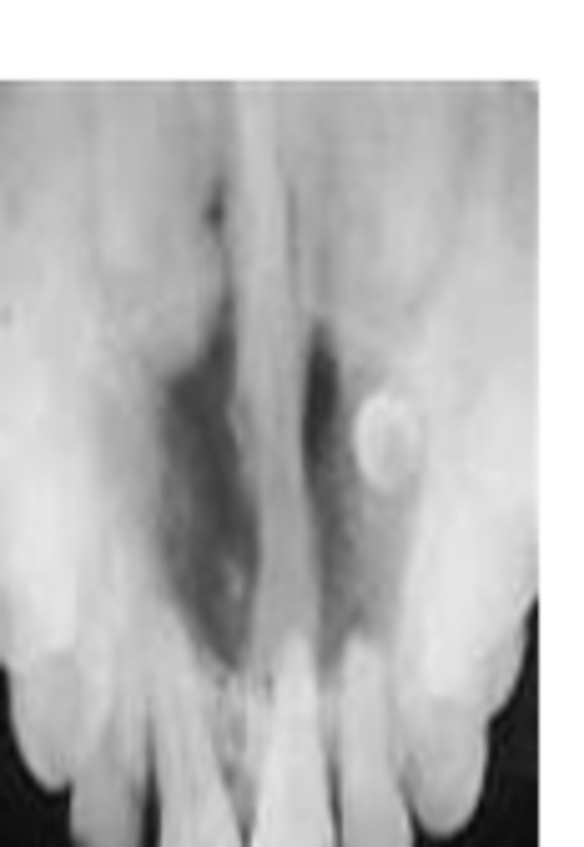
What are radiographic features of nasopalatine duct cysts?
well-defined radiolucency btwn maxillary central incisors
• "heart-shaped" **KNOW FOR EXAM
What is the population of nasopalatine duct cysts?
middle-aged adults (40-60 yrs); males
What is a median palatal cyst?
and wat is it not
more posterior form of nasopalatine canal cyst
• not heart-shaped

What is the cause of a median palatal cyst?
arises from epithelial remnants
What is the common location of a median palatal cyst?
1. midline of hard palate - behind incisive papilla

What are clinical features of median palatal cysts?
swelling at midline of hard palate (if large)

What are radiographic features of median palatal cysts?
well-defined unilocular radiolucency at midline hard palate

What is the population of median palatal cysts?
any
What is a nasolabial cyst?
soft tissue cyst of upper lip - lateral to midline

What is the cause of a nasolabial cyst?
unknown - probable epithelial remnants of nasolacrimal duct
What is the common location of nasolabial cysts?
1. maxillary canine area

What are clinical features of nasolabial cysts?
• elevation - ala of nose (nasolabial groove area)
• can cause resorption of bone if large

What are radiographic features of nasolabial cysts?
none
What is the population of nasolabial cysts?
middle-aged adults (40-50 yrs); females - 4:1
and other name
What is a branchial cleft cyst?
developmental cyst on lateral neck
• also called Cervical Lymphoepithelial Cyst

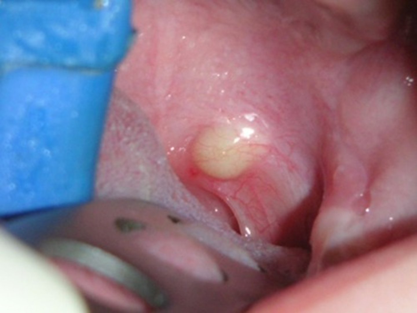
What is a branchial cleft cyst that occurs intraorally?
Oral Lymphoepithelial Cyst
**KNOW FOR EXAM

What is the cause of an oral lymphoepithelial cyst?
epithelium trapped in lymph node/lymphoid tissue (tonsils/tongue) at development
What is the common location of a branchial cleft cyst?
lateral neck - anterior to SCM muscle

What are the common locations for Oral Lymphoepithelial Cysts?
Intraorally:
1. floor of mouth
2. ventral/posterior tongue

What are clinical features of branchial cleft cysts?
lateral neck swelling - anterior border SCM muscle

What are intraoral clinical features of Oral Lymphoepithelial Cysts?
well-defined pinkish-yellow raised nodule

What are radiographic features of branchial cleft cysts?
none
What is the population of branchial cleft cysts?
young adults
What is a thyroglossal tract cyst?
cyst forming along the thyroid gland developmental tract - usually below hyoid bone

What is the cause of a thyroglossal tract cyst?
epithelial remnants trapped during thyroid gland development
What are common locations of thyroglossal tract cysts?
1. neck - at midline
2. posterior tongue

What are clinical features of thyroglossal tract cysts?
• firm swelling at midline of neck - moves when swallowing
• dysphagia or difficulty extending tongue

What are radiographic features of thyroglossal tract cysts?
none
What is the population of thyroglossal tract cysts?
young adult (under 20 yrs)
thyrogossal treatment
surgical excision along entire tract (part of hyoid bone + mm)
What is an epidermoid cyst?
developmental cyst of skin on head/neck

What is the cause of an epidermoid cyst?
arise from epithelium of hair follicles
• epithelium becomes trapped in epidermis
What is the common location of epidermoid cysts?
1. skin of head and neck

What are clinical features of epidermoid cysts?
• movable fluctuant nodule - raised
• yellowish - white - or normal skin appearance

What are radiographic features of epidermoid cysts?
none
What is the population of epidermoid cysts?
any
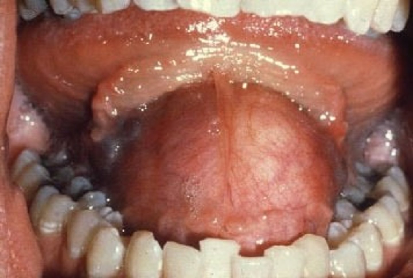
What is a dermoid cyst?
Whats inside and outside
Where is it common
developmental cyst - rare in head and neck
• lumen of cyst is filled with keratin
• cyst wall contains hair follicles, sebaceous glands, sweat glands
• common in ovaries

What is the cause of a dermoid cyst?
epithelial remnants during development
What is the common location of dermoid cysts?
1. anterior floor of mouth

What are clinical features of dermoid cysts?
• midline swelling
• dough-like consistency
**NO radiographic features

What is the population of dermoid cysts?
birth or young children
What is a Stafne Bone Cyst?
And other name
radiolucent intraosseous lesion that is NOT lined with epitheium = NOT A TRUE CYST! **KNOW for exam
• also called Static Bone Cyst and Stafne Defect

What is the cause of a Stafne bone cyst?
developmental concavity containing normal salivary tissue on lingual aspect of posterior mandible
**KNOW FOR EXAM
What is the common location of a stafne bone cyst?
1. anterior to angle of mand & inferior to mandibular canal
• unilateral or bilateral

What are clinical features of stafne bone cysts?
asymptomatic
What are radiographic features of stafne bone cysts?
well-defined cyst-like radiolucency

What is the population of stafne bone cysts?
men - 80-90%