1/64
Looks like no tags are added yet.
Name | Mastery | Learn | Test | Matching | Spaced | Call with Kai |
|---|
No analytics yet
Send a link to your students to track their progress
Renal corpuscle of the kidney
Identify this structure and organ

capsular space of the kidney
identify this region and organ

glomerulus of the kidney
identify this structure and organ

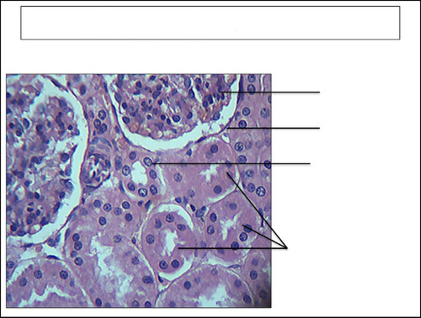
juxtaglomerular apparatus of the kidney
identify this region and organ

macula densa cells of the kidney
identify this cell type and organ

distal convoluted tubule of the kidney
identify this structure and organ

the kidney-cortex
identify this organ/structure

the kidney-cortex
identify this organ/structure

the kidney-cortex
identify this organ/structure

glomerulus of the kidney
identify this structure and organ

glomerular capsule of the kidney
identify this structure and organ

distal convoluted tubule of the kidney
identify this structure and organ

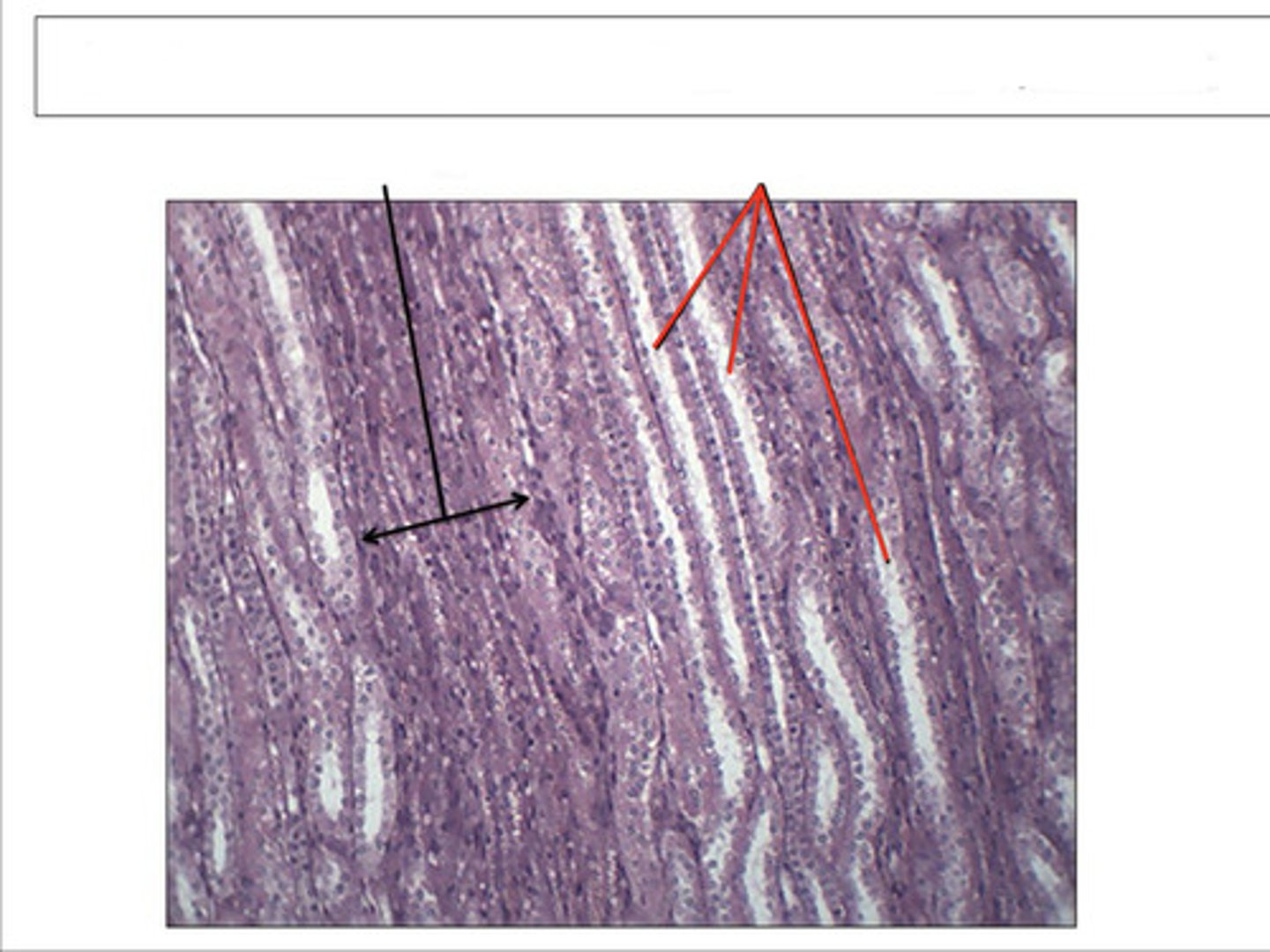
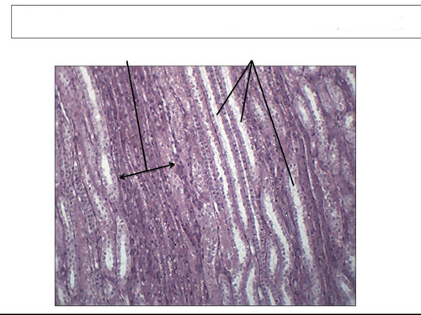
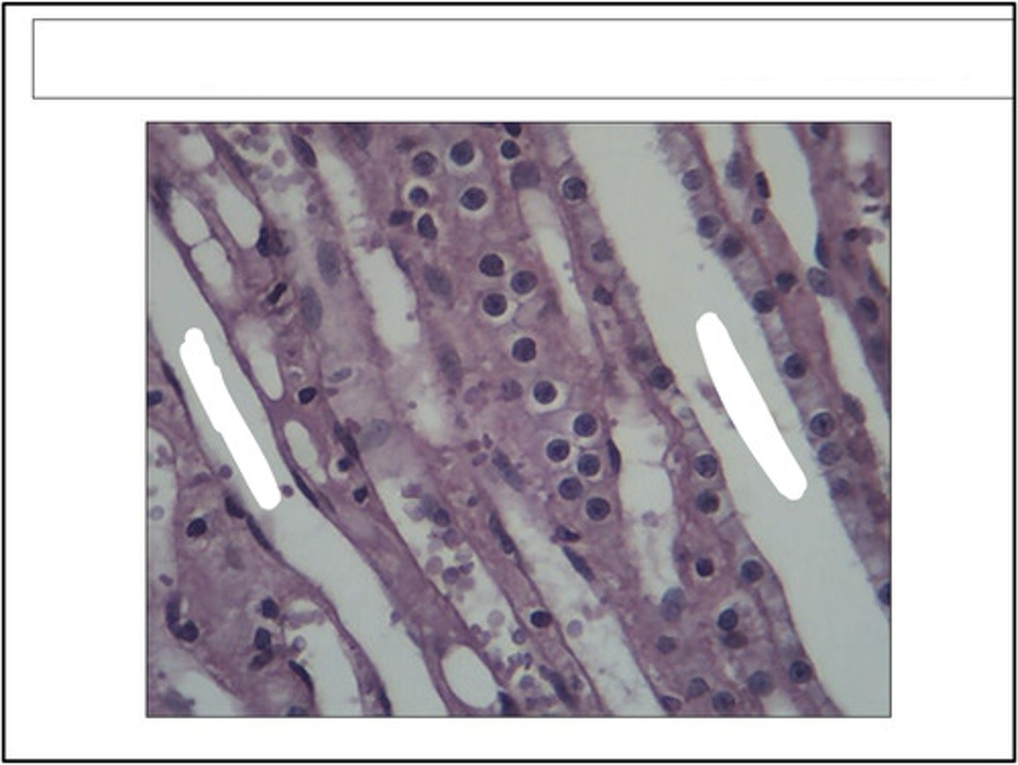
proximal convoluted tubules of the kidney
identify this structure and organ

distal convoluted tubules of the kidney
identify this structure and organ

proximal convoluted tubule of the kidney
identify this structure and organ

loop of henle of the kidney
identify this structure and organ

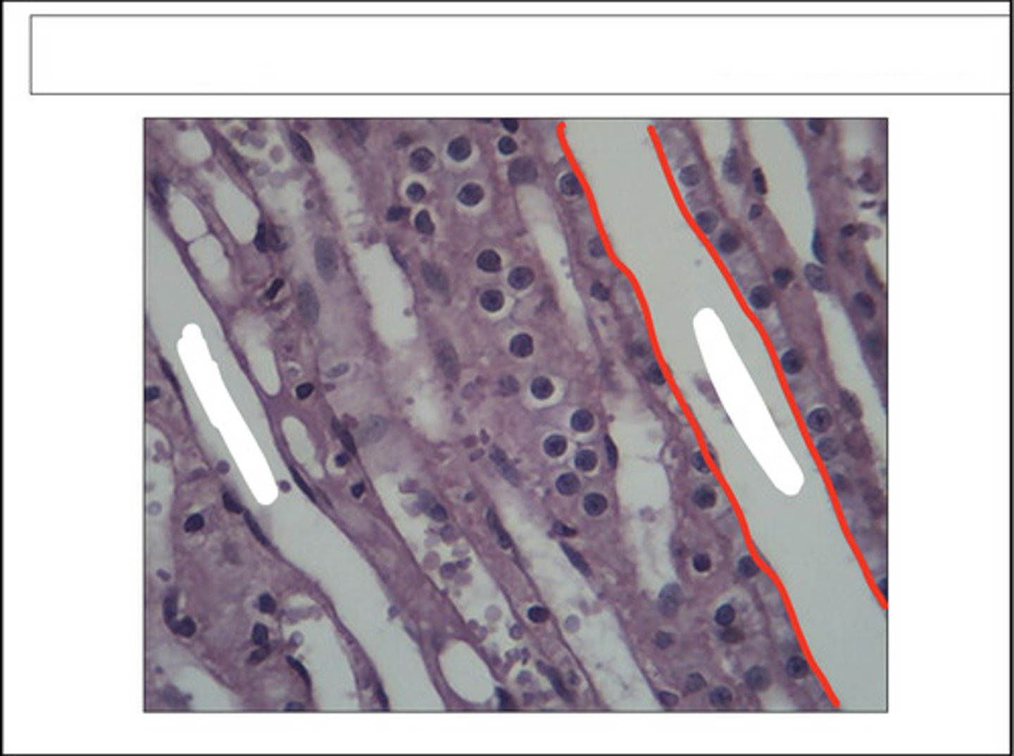
vasa recta of the kidney
identify this region and organ

collecting ducts of the kidney
identify this structure and organ

the kidney-medulla
identify this organ/structure

the kidney-medulla
identify this organ/structure

loop of henle of the kidney
identify this structure and organ

collecting duct of the kidney
identify this structure and organ

the kidney-cortex
identify this organ/structure

the kidney-cortex
identify this organ/structure

renal capsule of the kidney
identify this structure and organ

renal corpuscles of the kidney
identify this structure and organ

renal corpuscle of the kidney
identify this structure and organ

kidney tubules of the kidney
identify this structure and organ

the ureter
identify this organ

adventitia of the ureter
identify this region and organ

muscularis of the ureter
identify this region and organ

lamina propria of the ureter
identify this region and organ

transitional epithelium of the ureter
identify this region and organ

the testis
identify this organ

the testis- seminiferous tubule
identify this organ/structure

seminiferous tubules of the testis
identify this structure and organ

interstitial cells of leydig of the testis
identify this cell type and organ

spermatogonia of the testis
identify this cell type and organ

spermatocytes of the testis
identify this cell type and organ

spermatids of the testis
identify this cell type and organ

sertoli cells of the testis
identify this cell type and organ

mature ovary
identify this organ

mature ovary
identify this organ

mature ovary
identify this organ

mature ovary
identify this organ

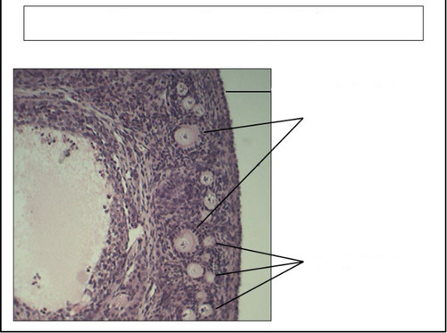
primary follicles of the mature ovary
identify this structure and organ

primordial follicles of the mature ovary
identify this structure and organ

primary oocytes of the mature ovary
identify this structure and organ

primordial follicle of the mature ovary
identify this structure and organ

primary follicles of the mature ovary
identify this structure and organ

secondary follicles of the mature ovary
identify this structure and organ

primary oocytes of the mature ovary
identify this structure and organ

antral follicle of the mature ovary
identify this structure and organ

thecal cells of the mature ovary
identify this cell type and organ

granulosa cells of the mature ovary
identify this cell type and organ

primary oocyte of the mature ovary
identify this structure and organ

zona pellucida of the mature ovary
identify this region and organ

antrum of the mature ovary
identify this region and organ

stroma of the mature ovary
identify this structure and organ

ovarian follicles of the mature ovary
identify this structure and organ

stroma of the mature ovary
identify this structure and organ

germinal epithelium of the mature ovary
identify this structure and organ

smooth muscle tissue of the ureter
identify this tissue and organ

simple cuboidal epithelium of the kidney
identify this structure and organ

simple squamous epithelium of the kidney
identify this structure and organ
