1/27
Looks like no tags are added yet.
Name | Mastery | Learn | Test | Matching | Spaced | Call with Kai |
|---|
No analytics yet
Send a link to your students to track their progress

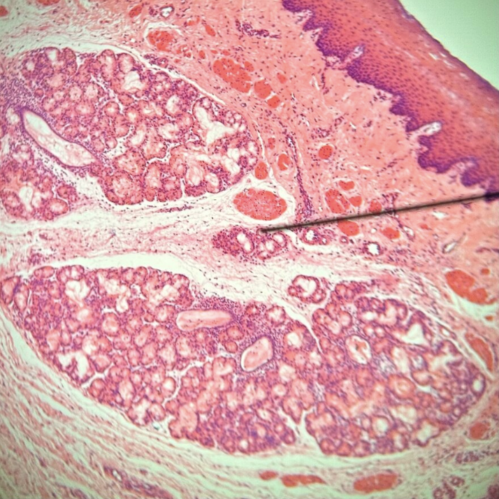
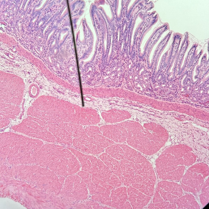
Which segment of the digestive tract is this?
esophagus

Which segment of the digestive tract is this?
stomach

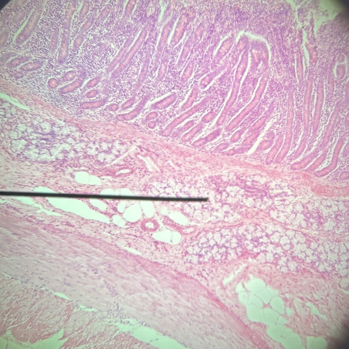
Which segment of the digestive tract is this?
duodenum

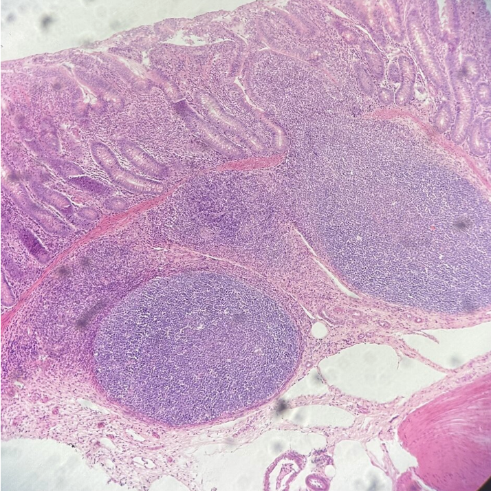
Which segment of the digestive tract is this?
ileum

Which segment of the digestive tract is (1) pointing to?
esophagus

Which segment of the digestive tract is (2) pointing to?
stomach

Which segment of the digestive tract is (3) pointing to?
duodenum

Which segment of the digestive tract is (4) pointing to?
jejunum

Which segment of the digestive tract is (5) pointing to?
colon

Which segment of the digestive tract is (6) pointing to?
cecum

Which gland is (1) pointing to?
duodenal gland

Which lymphoid structure is (2) pointing to?
peyer’s patch

Which tissue layer is (1) pointing to?
mucosa

Which tissue layer is (2) pointing to?
submucosa

Which tissue layer is (3) pointing to?
muscularis externa

Which tissue layer is (4) pointing to?
serosa

Which tissue layer is (1) pointing to?
mucosa

Which tissue layer is (2) pointing to?
submucosa

Which tissue layer is (3) pointing to?
muscularis externa

Which tissue layer is (4) pointing to?
serosa

Which tissue layer is (5) pointing to?
adventitia
Which mucus-secreting cells are found in the villi of the small intestine?
goblet cells
Which absorptive cells are found in the villi of the small intestine?
enterocytes
Which projections are found in the small intestinal mucosa?
villi
Which macronutrient is broke down by a peptide?
protein
Which macronutrient is broke down by an amylase?
carbohydrate
Which macronutrient is broke down by a lipase?
lipid
Which macronutrient is broke down by a nuclease?
nucleotide