1/49
Looks like no tags are added yet.
Name | Mastery | Learn | Test | Matching | Spaced | Call with Kai |
|---|
No analytics yet
Send a link to your students to track their progress

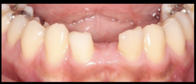
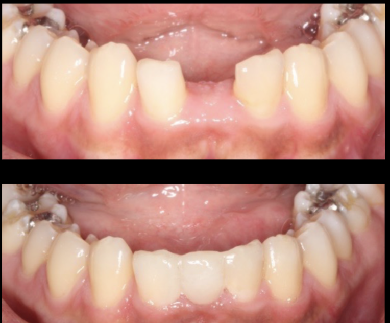
approaches for tx for this pt
flipped
conventional bridge
bonded bridges
maryland, all-ceramic, fiber-reinforced composite
implant

what is this
flipper

what is this
metal-ceramic adhesive bridge → maryland

what is the major problem w these restorations
debonding is a major cause of failure
major complications w maryland bridges
one debonded wing
improper preparation
occlusal forces
what is the most severe complications and why
one debonded wing
improper preparation
occlusal forces
one debonded wing: debonded tooth would suffer form dental caries as bacteria would be trapped under the ‘loose’ wing w the pt unable to clean the area
debonding can be caused by improper preparation, explain this
improper tx of the metal by the lab tach
poor preparation design or adhesion protocols employed by the dentist
unilateral debonding can occur from occlusal forces, explain this
even if there was strict attention to proper protocols by dentist and lab tech → in C-I → forces on canine would be more in a lateral direction
why cantilever over maryland bridge
better aesthetics
easy cleaning
less biological damage
reduced risk of an undetected debonded retainer w caries underneath

C
light cervical chamfer

S
light incisal finishing shoulder

B
small proximal box

P
small pinhole

minimum thickness for retainer wing of zirconia canti-lever bridge
.7 mm

the minimum zirconia ceramic dimensions of the proximal connect were mm horizontally x __ mm vertically
2;3
bond or lute zirconia
bond
first step to preping zirconia restoration
sandblast w aluminum oxide → even if lab did it weeks ago, want a fresh sandblasted surface
primer for zirconia needs to have what in it
MDP monomer

what did this study show
all ceramic cantilever provide and excellent minimally invasive tx alternative to implants and conventional prosthetic methods when single missing anterior teeth need to be replaced
all 6 failures were debonding due to trauma


if you wanted to do direct composite in this case, how would you approach
fiber-reinforced composite direct adhesive bridge

advantages of fiber-reinforced composite
relatively good aesthetics
better adhesions of the luting agent to the framework
direct manufacturing possible → lower cost
possible repair w addition of composite resin/fibers
disadvantages of fiber-reinforced composite
unsure long-term prognosis
wear of the composite resin material
framework fracturing difficult to repair
unstable aesthetics
adequate thickness required → bulky
advantages of all-ceramic
superb aesthetics
biocompatible
reduced plaque accumulation
disadvantages of all-ceramic
high failure risk
unsure long-term prognosis
impossible to repair
least minimally invasive
adequate thickness required → bulky
high lab cost
advantages of metal-ceramic
long-term clinical data available
most minimally invasive
simple rebonding
suits a cantilever design
w more extensive prep the success becomes more predictable
disadvantages of metal-ceramic
medium aesthetics
metal unpopular
fiber-reinforced direct adhesive bridge can withstand ______ forces, so there is no need for a cantilever
bilateral forces
fiber-reinforced direct adhesive bridge can be placed as ____ on lower anteriors
non-prep
a ____ preparation is usually recommended when placing a fiber-reinforced direct adhesive bridge can
slot
2 layers of fiber can increase the comprehensive strength of the frame-work up to __ times
2
placement of the fiber is time-consuming and technique sensitive. the success of fiber placement depends on…
full integration and impregnation of fiber-resin
what ca fiber do to composite
reduced polymerization shrinkage stress
reduce total resin volume mass
reinforce the composite
provide increased fatigue resistance
crack stopping mechanism
some examples of fiber-reinforced composite applications
periodontal splinting
adhesive bridge framework
reinforced cracked teeth
core buildup for endo-treated teeth
trauma stabilization
ortho retainers
and more!

pontic type
sanitary/hygienic

advantage/disadvantage of sanitary pontic
advantage: good access for oral hygiene
disadvantage: poor esthetic

recommended location for sanitary
posterior mandible

pontic type
saddle-ridge lap

recommended locations for saddle-ridge lap
NOT recommended

advantage and disadvantage for saddle-ridge lap
adv: esthetic
disadv: nor amenable to oral hygiene

pontic type
conical

location recommended for conical
molars w/o esthetic requirement

advantage and disadvantage for conical
adv: good access for oral hygiene
disadv: poor esthetics

pontic type
modified ridge-lap

recommended location for modified ridge-lap
high esthetic requirement

advantage and disadvantage for modified ridge-lap
adv: good esthetics
disadv: moderately easy to clean

pontic type
ovate

recommended location for ovate
maxillary incisors, cuspids, and premolars

advantage and disadvantage for ovate
adv: superior esthetics, negligible food entrapment, ease of cleaning
disadv: requires surgical preparation