1/98
Looks like no tags are added yet.
Name | Mastery | Learn | Test | Matching | Spaced | Call with Kai |
|---|
No analytics yet
Send a link to your students to track their progress
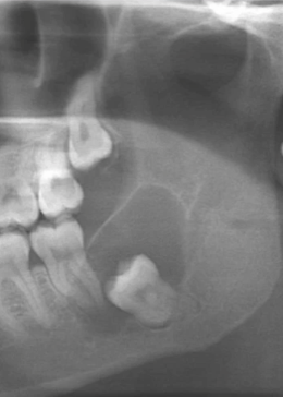
odontogenic keratocyst
which of the following could be MULTIPLE:
odontogenic keratocyst
dentigerous cyst
odontogenic myxoma
pingborg tumor
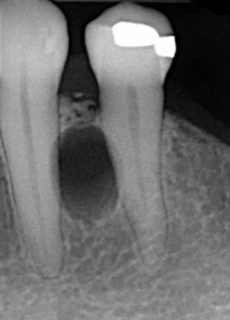
dentigerous cyst
what is the most likely diagnosis?

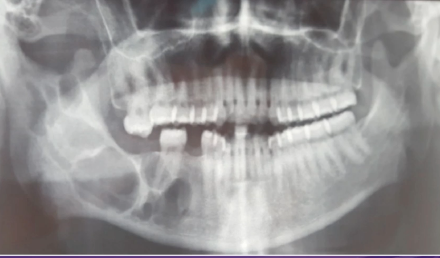
periapical cyst
which of the following is NOT in the differential
periapical cyst
lateral periodontal cyst
odontogenic keratocyst
ameloblastoma

odontogenic myxoma
which of the following is NOT in the differential:
pindborg
gorlin cyst
adenomatoid odontogenic tumor
odontogenic myxoma

calcifying odontogenic cyst
which of the following does NOT RECUR
ameloblastoma
odontogenic myxoma
pinborg tumor
calcifying odontogenic cyst
dentigerous cyst
all of the following are in the DDx EXCEPT:
odontogenic myxoma
ameloblastoma
dentigerous cyst
odontogenic keratocyst

pulp test
what would be an appropriate first step in managment?

none
what is the mangament?

teeth are vital
which of the following is TRUE:
symptomatic
teeeth are vital
due to caries
cause deep pockets

gardner syndrome
OSTEOMA is associated with which syndromee?
AFO (ameloblastic fibro-odontoma)
what is the most likely diagnosis

most commonly occur in adults
which of thee following is FALSE regarding ameloblastic fibro-odontoma

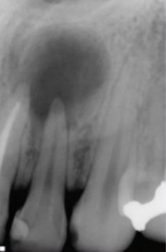
condensing osteitis
most likely diagnosis?

occurs at apical region of tooth with chronic pulp inflammation
which of the following about CONDENSING OSTEITIS is TRUE

asymptomatic radiopaque lesion
which of the following abiut IDIOPATHIC OSTEOSCLEROSIS is TRUE

ameloblastic fibroma
alll the forlowing are RADIOPAQUE EXCEPT:
odontoma
AOT
ameloblastic fibroma
gorlin cyst
may show progression from radiolucent to mixed to radiopaque
which of the follwing about COD is TRUE

malignant lesion of cartilage
which of the following about OSTEOSARCOMA of the jaw is FALSE

to rule out other dianoses
why is FOCAL COD sometimes biopsed?
discovered incidentally
which of the following about ODONTOMA is TRUE

an asymptomatic non expansile lesion
which of the following about CEMENTOBLASTOMA is FALSE:

can recur and local resection is treatment
which of the following is TRUE about PINBORG tumor (CEOT)
gingiva is most common location
in regard to MEETASTATIC diseasee of jaw which is FALSE

ameloblastoma
all thee following are typically RADIOPAQUE EXCEPT:
cementoblastoma
odontoma
alemoblastoma
osteoblastoma
osteosarcoma
most likely diagnosis?

occurs in older agee and better prognosis that long bone
which is TRUE about OSTEOSARCOMA of the jaw

pagets disease
for what disease is serum ALKALINE PHOSPHATASE diagnostic
compound odontoma
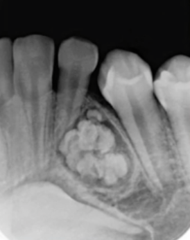
13 y/o, asymptomatic, multiple small radiopacitis in anteerior mandible, diagnosis?

tooth like strructures
which feature favors a compound over complex odontoma

surgical enucleation
management?

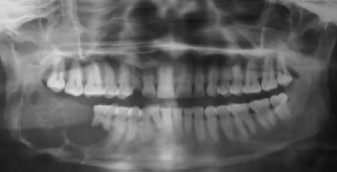
LPC, OKC, ameloblastoma
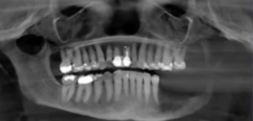
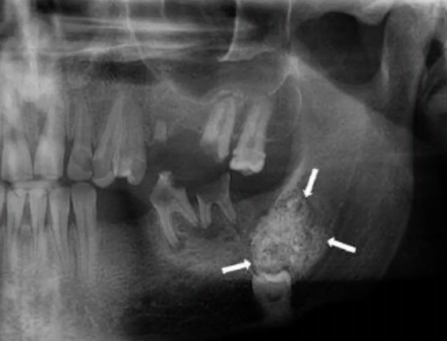
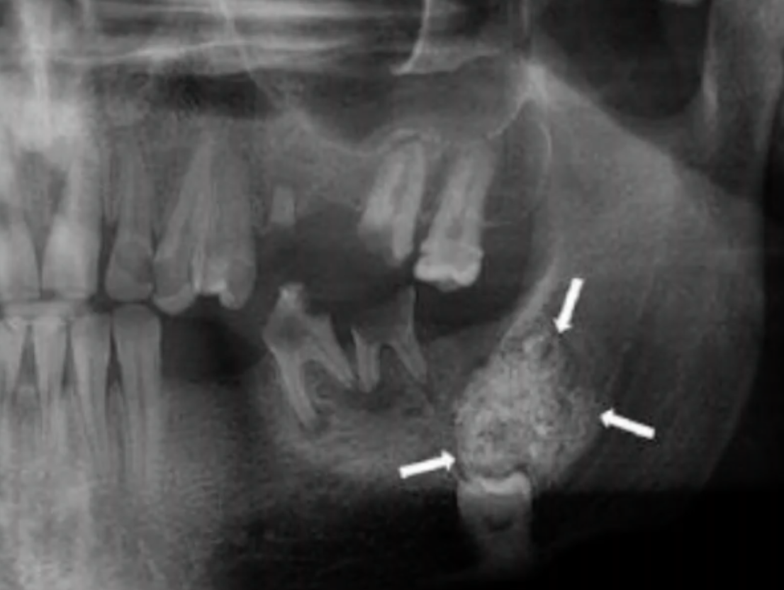
48 y/o male, well defined RL, teeth vital, no pain, most likely DDx

tooth vitality
what featurer help differentiate betweeen lateral periodontal cyst and lateral radicular cyst
enucleation
what is the managment of this lesion?

canalicular adenoma, PA, MEC
DDx for firm enlarging mass lateral to midline in 55 y/o woman

benign
benign or malignant?

invasion
which of the following is NOT a feature of a BENIGN lesion:
rarely recurs
slow growth
encapsulated
invasion
complete surgocal excision
what would be the management?

erythroplakia
60 y/o male with pain in lower anterior ridge, what is the CLINICAL diagnosis

xray
after histpry and clinical evaluation what is the next step when evaluating a lesion?
incisional biopsy
after Xray what is the nest step?

moth eaten appearance
what feaeture strongly suggest malignancy?
multilocular lesion
moth eaten appearance
unilocular lesion
weell-defined border
TNM 3
if the patient has ipsilaterral lymph node involvement what stage would that be?
autoimmune condition
which is NOT in the differential diagnosis
leukemic gingival enlargemnt
drug induced gingival hyperplasia
autoimmune condition
hereditary gingival fibromatosis

phenytoin
which EPILEPSY medication is MOST commonly causes gingival hyperplasia
imprrove hygiene and modify medication
first line of management for medication induced gingival hyperplasia
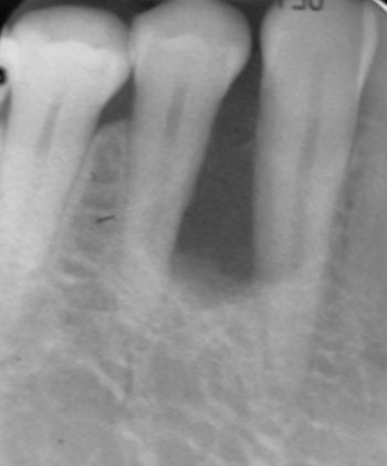
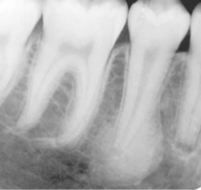
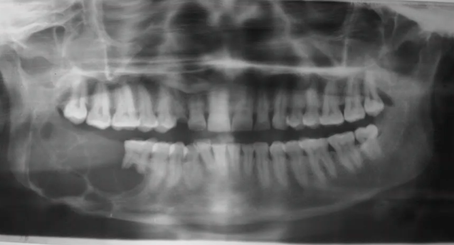
bone scar, focal COD, condensing osteitis
25 male, no pain, no swelling, DDx?

pulp involvement
how to differerntiate between bone scar and condensing osteitis
fusion to tooth root
feature specific for CEMENTOBLASTOMA
antral pseudocyst
what is the diagnosis?

fibrous dysplasia
which of the following demonstrates a GROUND GLASS appearance
multiple myeloma
paget disease
fibrous dysplasia
gardner syndrome
idiopathic osteosclerosis
what is the diagnosis

cemento-osseous dysplasia
which of the following is NOT in the differential:
odontoma
cemento-osseous dysplsia
calcifying epithelial odontogenic tumor
calcifying ododtogenic cyst

generalized hypercemnetosis
which of the following is characterristic of PAGET disease
multiple odontogenic keratocyst
generlized hypercementosis
multiple osteomas
widening of the periodontal ligament
treatement is surgical removal
which of the following is true
treatment is surgcal removal
known as complex odontoma
lesion is painful
occurs in elderly

langerhan cell histocytosis
which of the following demonstrates multiple radiolucent lesions?
gardner syndrome
paget disease
mccune albright syndrome
langerhan cell histocytosis
none
what is the management?

chronic irritation from ill fitting bridge
cause of this lesion?

osteoma
which of the following IS a part of GARDNER’S syndrome:
odontogenic keraatocyst
osteoma
cafe au lait spots
fibrous dysplasia
xray
after history and clinical exam, what is the next step?

encapsulated
which of the following is NOT a feature of MALIGNANCY
encapsulated
metastasis
increases in size
destuction of adjacent tissue
surgical excision
what is the management?

ameloblastic fibro-odontoma
which is NOT part of the differential diagnosis
ameloblastoma
odontogenic keratocyst
odontogenic myxona
ameloblastic fibro-odontoma
bone scar
which of the following may NOT occur at the TOOTH APEX
condensing osteitis
cemntoblastoma
bone scar
cemnto osseous dysplasia
peripheral ossifying fibroma
which of the follwoing is exclusvely on the gingiva
pyogenic granuloma
peripheral ossifying fibroma
central giant cell granuloma
squamous papilloma
ameloblastoma
all the following are in the DDx EXCEPT:
SCC
metastatic disease
langerhan cell histocytosis
ameloblastoma

odontogenic keratocyst
which is NOT in the differential diagnosis
complex odontoma
adenomatoid odontogenic tumor
ameloblastic fibroodontoma
odontogenic keratocyst

will subside aftter treatment
which of the following is FALSE regarding the radio-opaque lesion?
no biopsy
will subside after treatment
due to infecttion
always at tooth apex

CBCT
which type of radiograph would be helpful?

neurofibroma
67 y/o man w/ numereous skin nodules and cafe-au lait spost. what are the nodules?

schwannoma
all the following are characteristics of NEUROFIBROMATOSIS (NF1) EXCEPT:
Axillary freckling
lisch nodules
bone defomity
schwannoma
von recklinghausen disease of skin/ NF1
what is the diagnosis of this condition

neurofibroma
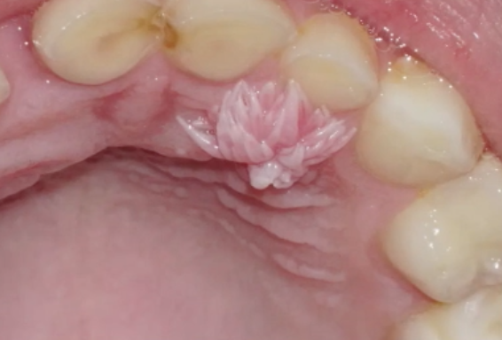
23 y/o woman present with PAINLESS, soft pink, cauliflower loke mass on soft palate. which is NOT in the DDx:
squamous papilloma
neurfibroma
condyloma acuminatum
verruca vulgaris

condyloma acuminatum
the lesion is multiple which of the following would be the MOST LIKELY diagnosis:
condyloma acuminatum
squamous papilloma
neurofibroma
verruca vulgaris

HPV 6 and 11
what is the etiology of CONDYLOMA ACUMINATUM
surgical excision
management of HPV lesions?
OKC, GOC, ameloblastoma
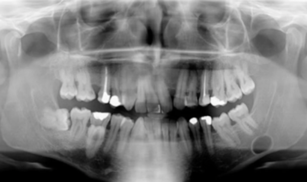
multilocular “soap bubble” radiolucency in posterior mandible. which DDx is correct?
ameloblastoma, DC, odontoma
cerubism, OKC, ameloblastic fibroma
OKC, GOC, ameloblastoma
GOC, odontogenic myxoma, COC

incisional biospy
what is the next step. to establish a diagnosis?

en bloc resection
if diagnosis comees back as ameloblastoma, what is the MANGAEMENT?

aggressive buccal-lingual expansion
which feature best distiguishes ameloblastoma from OKC
root resorption
association with unerupted tooth
corticateed borders
aggressive buccal-lingual expansion
odontogenic keratocyst
which of the follwoing has the HIGHEST recurrence rate?
odontogenic myxoma
odontogenic keratocyst
glandular odontogenic cyst
ameloblastoma
irritation fibroma
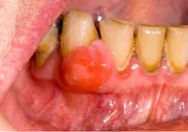
30 y/o woman, firm, pink mass on interdental papilla in anterior mandible, all the following are in the differential diagnosis EXCEPT:
peripheral giant cell granuloma
pyogenic granuloma
irritation fibroma
peripheral ossifying fibroma

pyogenic granuloma
which of the following oral lesions can occur on the tongue and lip
pyogenic granuloma
peripheral giant cell granuloma
peripheral ossifying fibroma
central giant cell granuloma
pyogenic granuloma
which is known as a PREGNANCY TUMOR
surgical excision to periosteum
treatment of choice for PERIPHERAL OSSIFYING FIBROMA (POF)
reduce recurrence by removing lesion completely
why does POF require excision down to periosteum
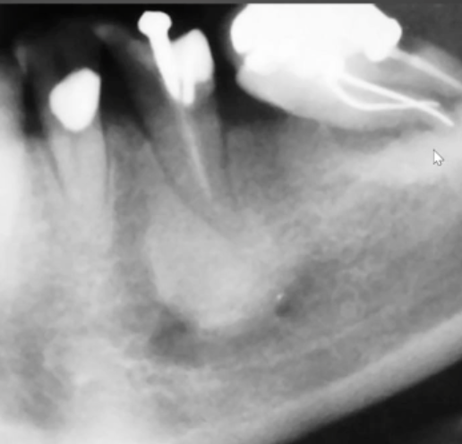
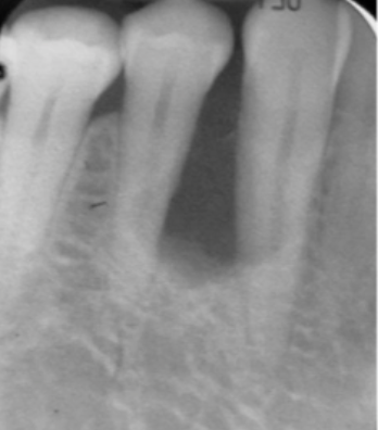
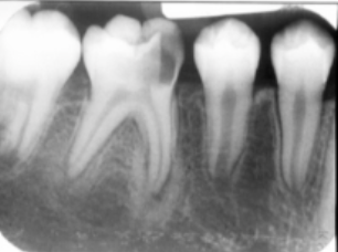
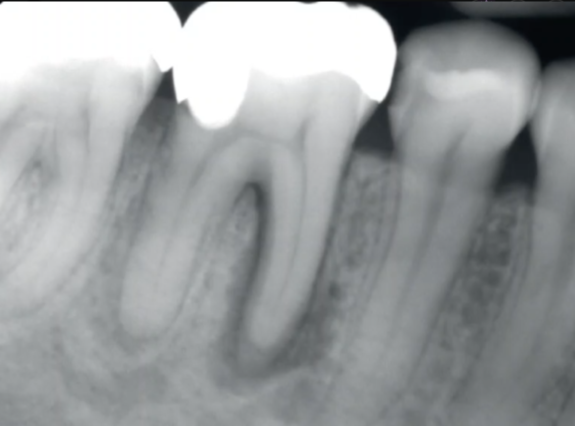
periapical cyst and periapical granuloma
48 y/o pt, 3 week history of spontaneous, dull, throbbing pain, what is the DDx?

cyst has epithlial lining
what differentiates periapical cyst and granuloma?
irreversible pulpitis with chronic periapical lesion
spontaneous Pain, non-vital pulp test, apical radiolucency are most consistent with which diagnosis?

endo
what is the appropriate first managment after irriversible pulpitis diagnosis

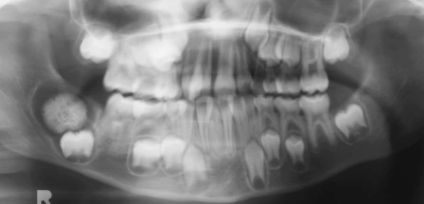
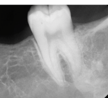
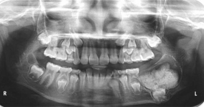
dentigerous cyst
36 y/o female, slow growing, painless swelling, which is NOT in the differential ?
odontoma
dentigerous cyst
calcifying odontogenic cyst
calcifying epithelial odontogenic tumor

snowdriven/ driven snow
what is the RADIOGRAPHIC TERM to describe the calcifications of CEOT

pindborg tumor
CEOT is also known as:
can be aggressive and recur
which of the following about CEOT is TRUE

inflammatory papillary hyperplasia
55 y/o female, multiple small, red, pebbly nodules on hard palate. mild discomfort but no pain. what is the diagnosis

chronic mechanical irritation from ill-fitting denture
primary etiologic factor for inflammatory papillary hyperplasia
all the above
what it the management of INFLAMMATORY PAPILLARY HYPERPLASIA

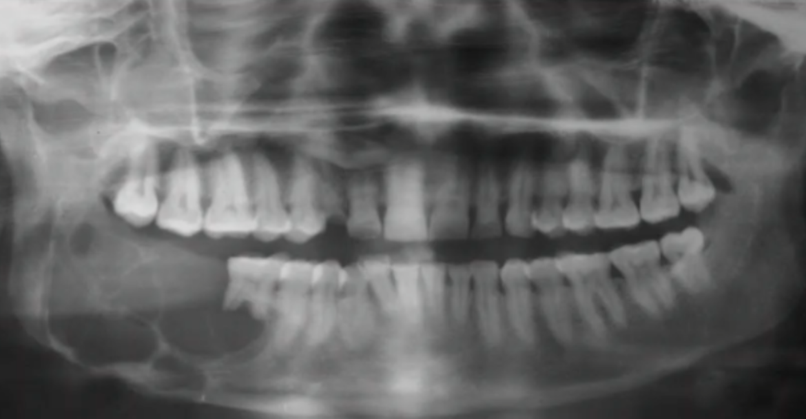
OKC, ameloblastoma, glandular odontogenic cyst (GOC), odontogenic myxoma, butryoid cyst, CGCG, central hemangioma, aneurysmal bone cyst, cherubism
multilocular radiolucencies
OKC, ameloblastoma, glandular odontogenic cyst (GOC), odontogenic myxoma
which MULTILOCULAR radiolucency lesions can RECUR
OKC, ameloblastoma, CEOT
which UNILOCULAR lesions RECUR