1/58
Looks like no tags are added yet.
Name | Mastery | Learn | Test | Matching | Spaced | Call with Kai |
|---|
No analytics yet
Send a link to your students to track their progress

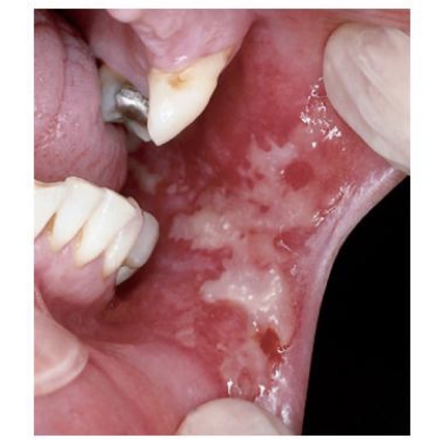
BN SAU XẠ TRỊ
NIÊM MẠC SƯNG NỀ, ĐỎ, LOÉT VÀ ĐAU
CHẨN ĐOÁN?
VIÊM NIÊM MẠC MIỆNG DO TIA XẠ (ở niêm mạc má )

CHẨN ĐOÁN ?
VIÊM NIÊM MẠC MIỆNG DO TIA XẠ

CHẨN ĐOÁN?
VIÊM NIÊM MẠC MIỆNG DO TIA XẠ

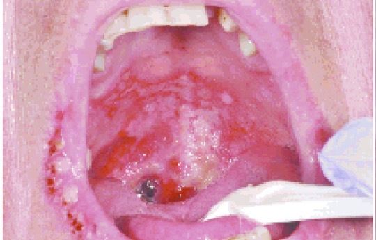
BN XUẤT HIỆN VẾT ĐỎ, LOÉT VÀ ĐAU
CHẨN ĐOÁN ?
VIÊM NIÊM MẠC MIỆNG DO TIA XẠ

BN CÓ VẾT LOÉT, ĐỎ, ĐAU
CHẨN ĐOÁN
VIÊM NIÊM MẠC MIỆNG DO TIA XẠ

CHẨN ĐOÁN?
VIÊM DA SAU XẠ TRỊ

CHẨN ĐOÁN?
VIÊM DA SAU XẠ TRỊ

CHẨN ĐOÁN?
KHÔ MIỆNG

CHẨN ĐOÁN?
KHÔ MIỆNG
( trường hợp cụ thể có khô miệng sau xạ trị, nước bọt giảm, quánh đặc)

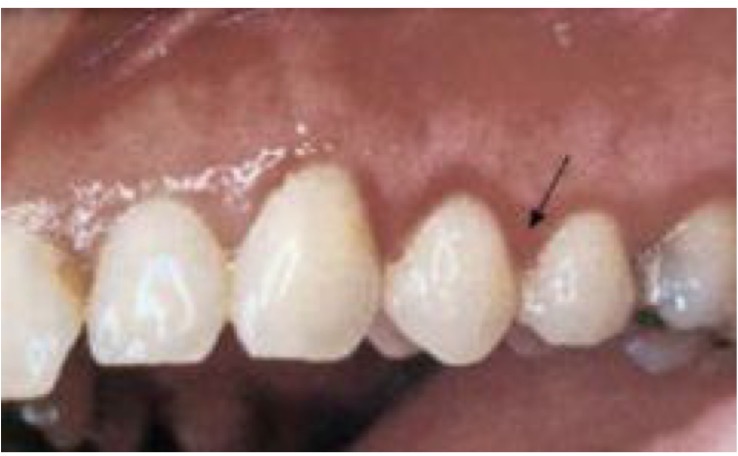
CHẨN ĐOÁN ?
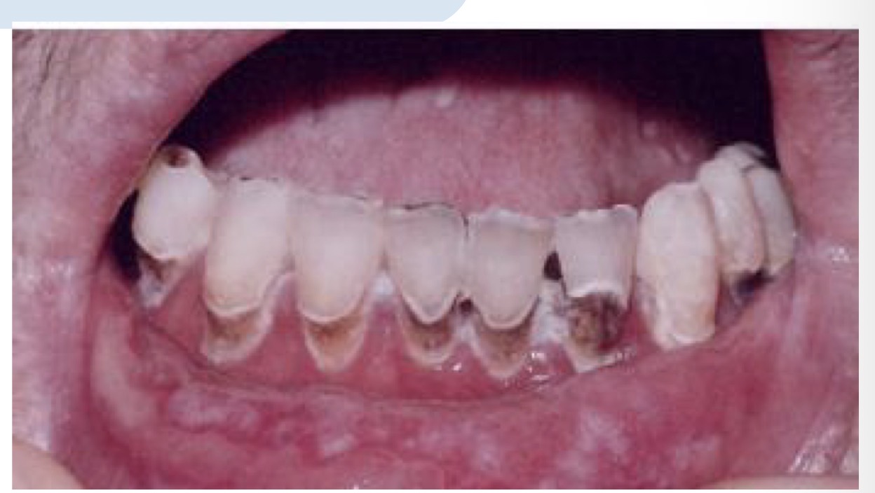
SÂU RĂNG SAU XẠ TRỊ( sâu nhiều răng và lang quanh cổ răng)

CHẨN ĐOÁN ?
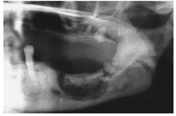
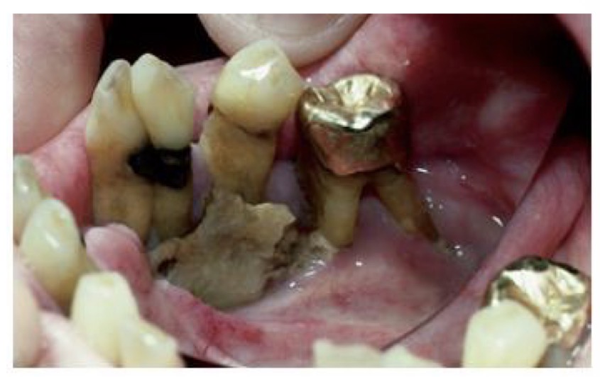
HOẠI TỬ XƯƠNG HÀM SAU XẠ TRỊ

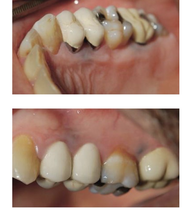
CHẨN ĐOÁN ?
HOẠI TỬ XƯƠNG HÀM sau xạ trị

CHẨN ĐOÁN?
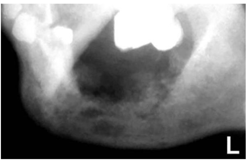
HOẠI TỬ XƯƠNG HÀM SAU XẠ TRỊ

CHẨN ĐOÁN?
HOẠI TỬ XƯƠNG HÀM SAU XẠ TRỊ

CHẨN ĐOÁN?
KHÔ MIỆNG ( nếu ls có nhắc sau xạ trị—> KHÔ MIỆNG SAU XẠ TRỊ)

CHẨN ĐOÁN?
VIÊM NIÊM MẠC MIỆNG SAU XẠ TRỊ

CHẨN ĐOÁN?
VIÊM DA SAU XẠ TRỊ

CHẨN ĐOÁN?
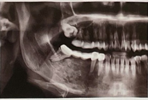
HOẠI TỬ XƯƠNG HÀM SAU XẠ TRỊ

CHẨN ĐOÁN?
VIÊM NIÊM MẠC MIỆNG SAU XẠ TRỊ

CHẨN ĐOÁN?
VIÊM DA SAU XẠ TRỊ

CHẨN ĐOÁN?
KHÔ MIỆNG SAU XẠ TRỊ

CHẨN ĐOÁN?
HOẠI TỬ XƯƠNG SAU XẠ TRỊ

CHẨN ĐOÁN?
HOẠI TỬ XƯƠNG HÀM SAU XẠ TRỊ

BN 6y
Vết loét sâu
CHẨN ĐOÁN?
BỎNG DO ĐIỆN/NHIỆT

BN 6y
Vết loét sâu
CHẨN ĐOÁN?
BỎNG DO ĐIỆN/NHIỆT

BN 6y
Vết loét sâu
CHẨN ĐOÁN?
BỎNG DO ĐIỆN/NHIỆT

BN NAM
HÚT THUỐC LÁ LÂU NĂM
CHẨN ĐOÁN?
VIÊM MIỆNG DO HÚT THUỐC LÁ

BN NAM, HÚT THUỐC LÂU NĂM
NỔI CÁC NỐT ĐỎ Ở VÒM MIỆNG
CHẨN ĐOÁN ?
VIÊM MIỆNG DO HÚT THUỐC LÁ

BN 50y
XUẤT HIỆN TỔN THƯƠNG Ở MÔI DƯỚI
CHẨN ĐOÁN?
VIÊM MÔI DO TIA NẮNG MẶT TRỜI

BN 50y
XUẤT HIỆN TỔN THƯƠNG Ở MÔI DƯỚI
CHẨN ĐOÁN
VIÊM MÔI DO TIA NẮNG MẶT TRỜI

BN CÓ VẾT LOÉT NHƯ HÌNH
CHẨN ĐOÁN
LOÉT DO CHẤN THƯƠNG

BN CÓ VẾT LOÉT NHƯ HÌNH
CHẨN ĐOÁN
LOÉT DO CHẤN THƯƠNG

BN CÓ VẾT LOÉT NHƯ HÌNH
CHẨN ĐOÁN
LOÉT DO CHẤN THƯƠNG ở niêm mạc môi

BN CÓ VẾT LOÉT, CẢM GIÁC NÓNG , NGỨA, NIÊM MẠC PHÙ NỀ, SƯNG ĐỎ , BỀ MẶT CĂNG BÓNG
CHẨN ĐOÁN?
VIÊM MIỆNG DO TIẾP XÚC

CHẨN ĐOÁN
VIÊM MIỆNG DO TIẾP XÚC

BN CÓ VẾT LOÉT, CHẢY MÁU
CẢM GIÁC NÓNG BỎNG
CHẨN ĐOÁN ?
BỎNG NIÊM MẠC DO HOÁ CHẤT

CHẨN ĐOÁN?
BỎNG NIÊM MẠC MÁ

CHẨN ĐOÁN?
NHIỄM SẮC SÀN MIỆNG liên quan R36 có miếng trám Amalgam

CHẨN ĐOÁN?
NHIỄM SẮC DO NHIỄM ĐỘC CHÌ Ở VIỀN NƯỚU

CHẨN ĐOÁN ?
NHIỄM ĐỘC BISMUTH

CHẨN ĐOÁN
NHIỄM SẮC NIÊM MẠC MIỆNG DO NHIỄM ĐỘC BISMUTH

CHẨN ĐOÁN
NHIỄM SẮC AMALGAM

CHẨN ĐOÁN .?
NHIỄM SẮC AMALGAM

CHẨN ĐOÁN
NHIỄM SẮC AMALGAM

CHẨN ĐOÁN
NHIỄM SẮC AMALGAM

CHẨN ĐOÁN
NHIỄM ĐỘC CHÌ

CHẨN ĐOÁN
NHIỄM ĐỘC THUỶ NGÂN

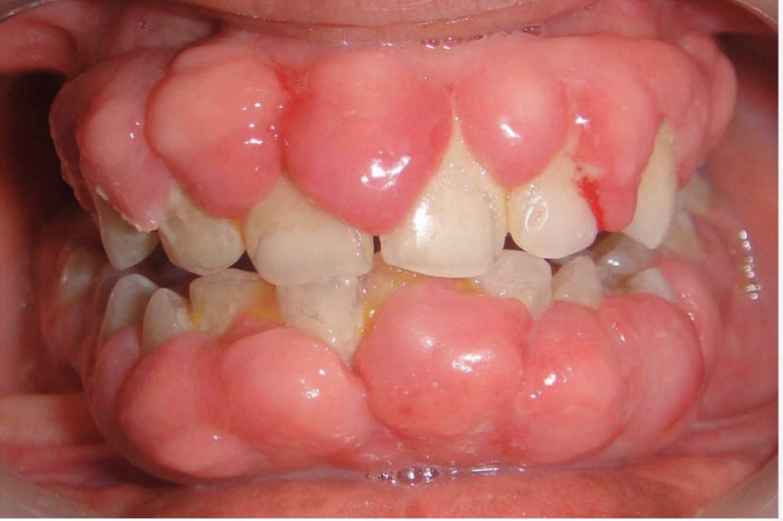
BN CÓ GAI NƯỚU TĂNG SINH, SƯNG TO, CẮNG BÓNG
SỜ DAI, KHÔNG ĐAU, KHÔNG CHẢY MÁU *
CHẨN ĐOÁN
TRIỂN DƯỠNG NƯỚU DO THUỐC PHENYTOIN

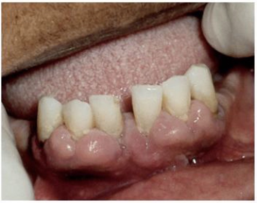
BN CÓ GAI NƯỚU TĂNG SINH, SƯNG TO, CẮNG BÓNG
SỜ DAI, KHÔNG ĐAU, KHÔNG CHẢY MÁU *
CHẨN ĐOÁN
TRIỂN DƯỠNG NƯỚU DO DÙNG THUỐC PHENYTOIN

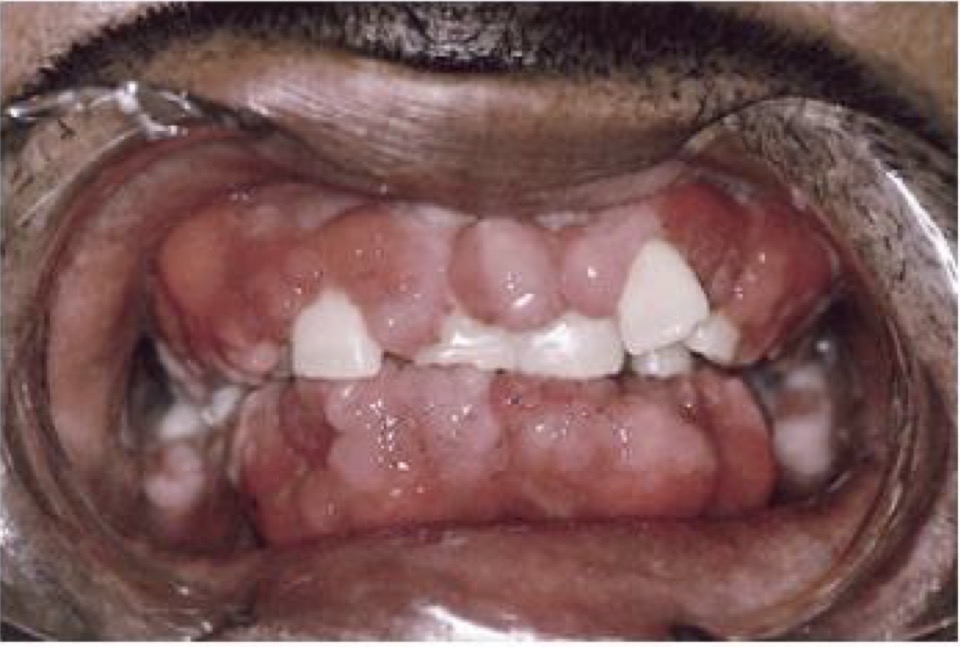
CHẨN ĐOÁN
TRIỂN DƯỠNG NƯỚU DO DÙNG THUỐC PHENYTOIN

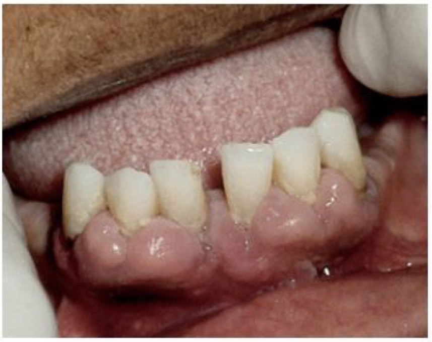
CHẨN ĐOÁN?
TRIỂN DƯỠNG NƯỚU DO DÙNG THUỐC PHENYTOIN

CHẨN ĐOÁN?
TRIỂN DƯỠNG NƯỚU DO DÙNG THUỐC PHENYTOIN

CHẨN ĐOÁN
TRIỂN DƯỠNG NƯỚU DO DÙNG THUỐC

CHẨN ĐOÁN ?
PHÙ QUINCLE

CHẨN ĐOÁN?
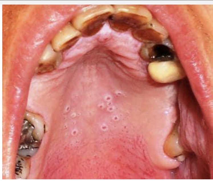
KHÔ MIỆNG
(khô miệng sau xạ trị, nước bọt giảm , niêm mạc miệng khô, rát đỏ)