1/67
Looks like no tags are added yet.
Name | Mastery | Learn | Test | Matching | Spaced | Call with Kai |
|---|
No analytics yet
Send a link to your students to track their progress
Review: Ankle/Foot Bones

Review: Tendons/Bones

What ligament connects the distal end of the tibia to the fibula anteriorly?
anterior tibiofibular

What ligament connects the distal end of the tibia to the fibula posteriorly?
posterior tibiofibular

What is the medial ligament of the ankle?
deltoid ligament
Composed of:
- anterior tibiotalar
- tibionavicular
- tibiocalcaneal
- posterior tibiotalar

What is the pneumonic for the tarsal tunnel anatomy?
Tom, Dick And Nervous Harry
Tibialis Posterior
Flexor Digitorum Longus
Tibial Artery
Tibial Nerve
Flexor Hallucis Longus

What is the m/c deformity of the forefoot and toes?
valgus deformity

What are the TWO reflexes of the LE? What are the corresponding neurological levels?
Patellar reflex → L4
Achilles tendon reflex → S1
What is the dermatomal distribution of the foot?
Lateral + plantar → S1
Dorsal + great toe → L5
Medial → L4
_____ of the foot involves moving the PLANTAR surface INWARD.
inversion

_______ of the foot involves moving the PLANTAR surface OUTWARD.
eversion

What is the most common ankle sprain? What ligament is m/c affected?
inversion ankle sprain
- affects the anterior talofibular ligament
What test is used to assess the stability of the anterior talofibular ligament? What is a (+) test?
anterior drawer test
(+) → anterior dislocation; "clunk"

What does a (+) Homan's sign indicate?
DVT - will have pain in the calf
What does a (+) Thompson test indicate?
(+) → achilles tendon rupture
- will have absence of plantar flexion of foot with squeeze of calf muscle

When is an ankle XR series required?
ONLY if there is pain in the malleolar region and any of the following:
(A)
or
(B)
or
- inability to wear weight

When is a foot XR series required?
ONLY if there is pain in the mid-foot region and any of the following:
(C)
or
(D)
or
- inability to wear weight

Review: Lateral Foot XR.

AP vs. Mortise ankle view?
AP → lateral malleolus will overlap
Mortise → no overlap; will show the mortise joint space (lateral)

What is another name for the distal fibula?
lateral malleolus
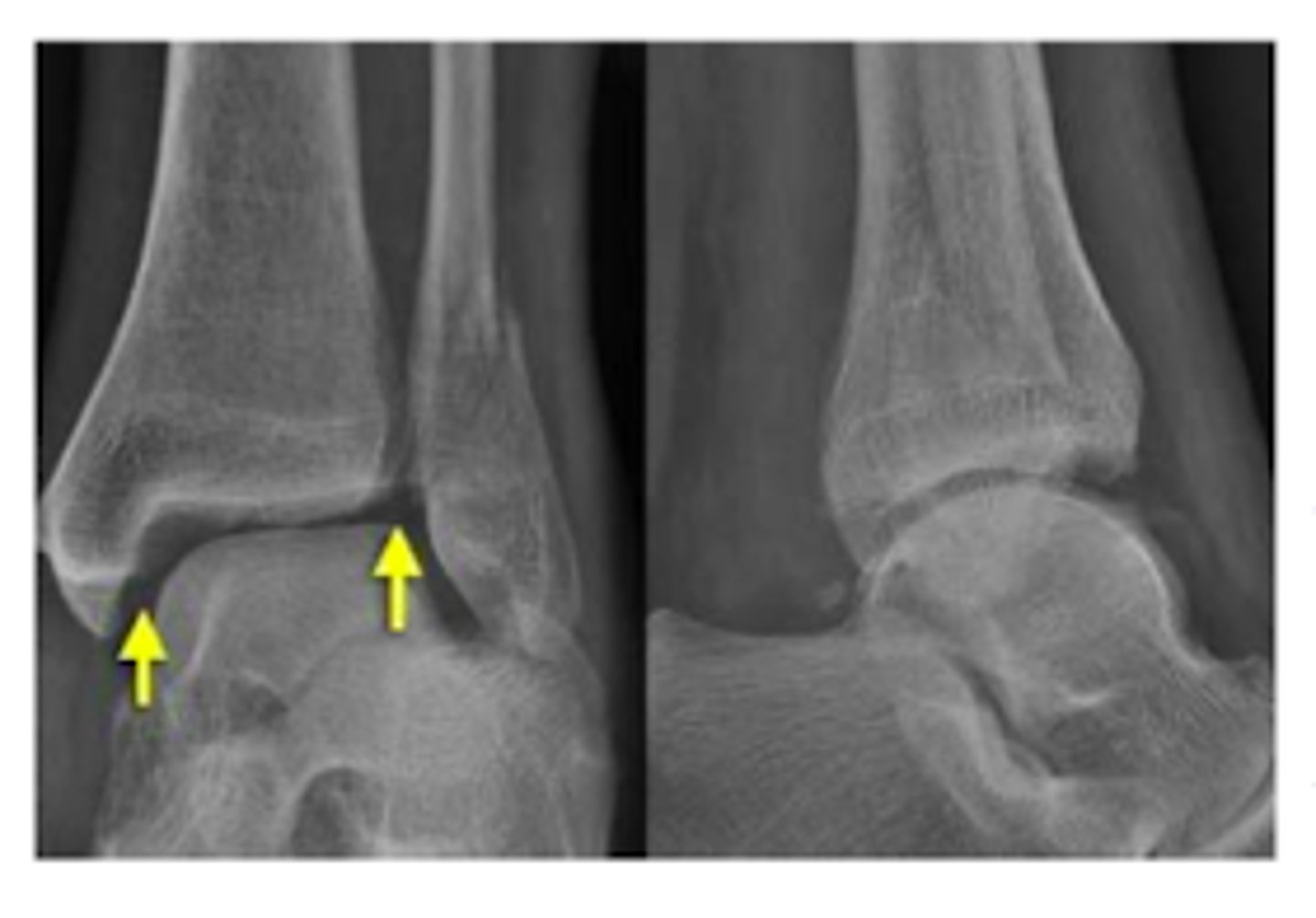
What does a medial clear space of >6mm indicate? What is a normal length?
indicates disruption of the medial collateral ligament
- should be <4mm

A lateral clear space of >1cm indicates what?
syndesmotic rupture (distal tibiofibular ligament rupture)

What are the THREE grades of ankle sprains?
Grade 1 → partial tear of the ATFL
Grade 2 → partial to complete tear of the ATLF + CFL
Grade 3 → complete rupture of the ATLF + CFL

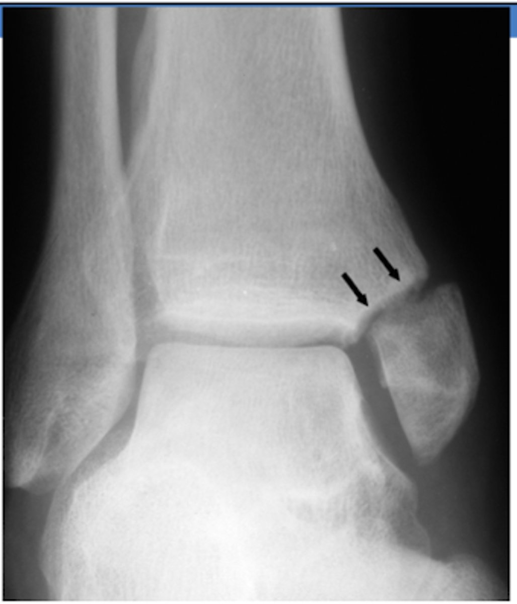
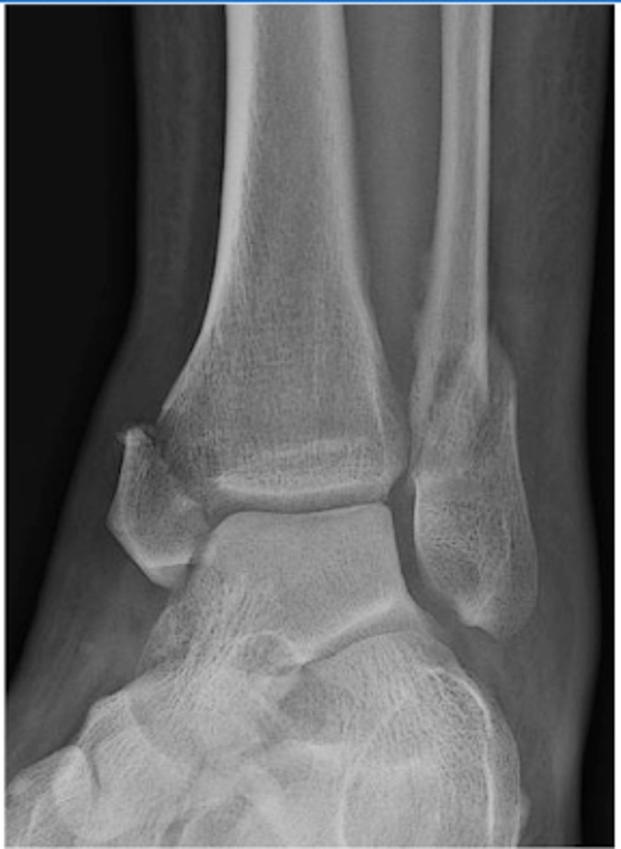
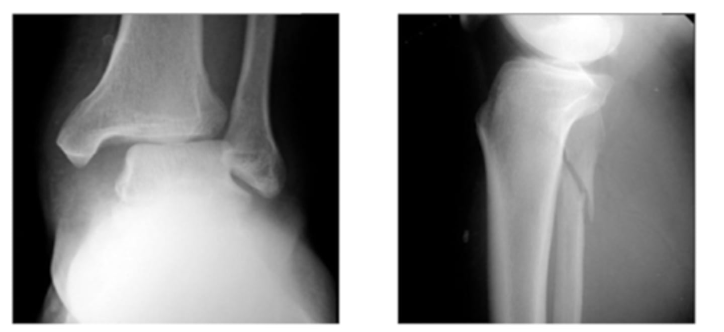
XR of Medial Malleolus Fx.

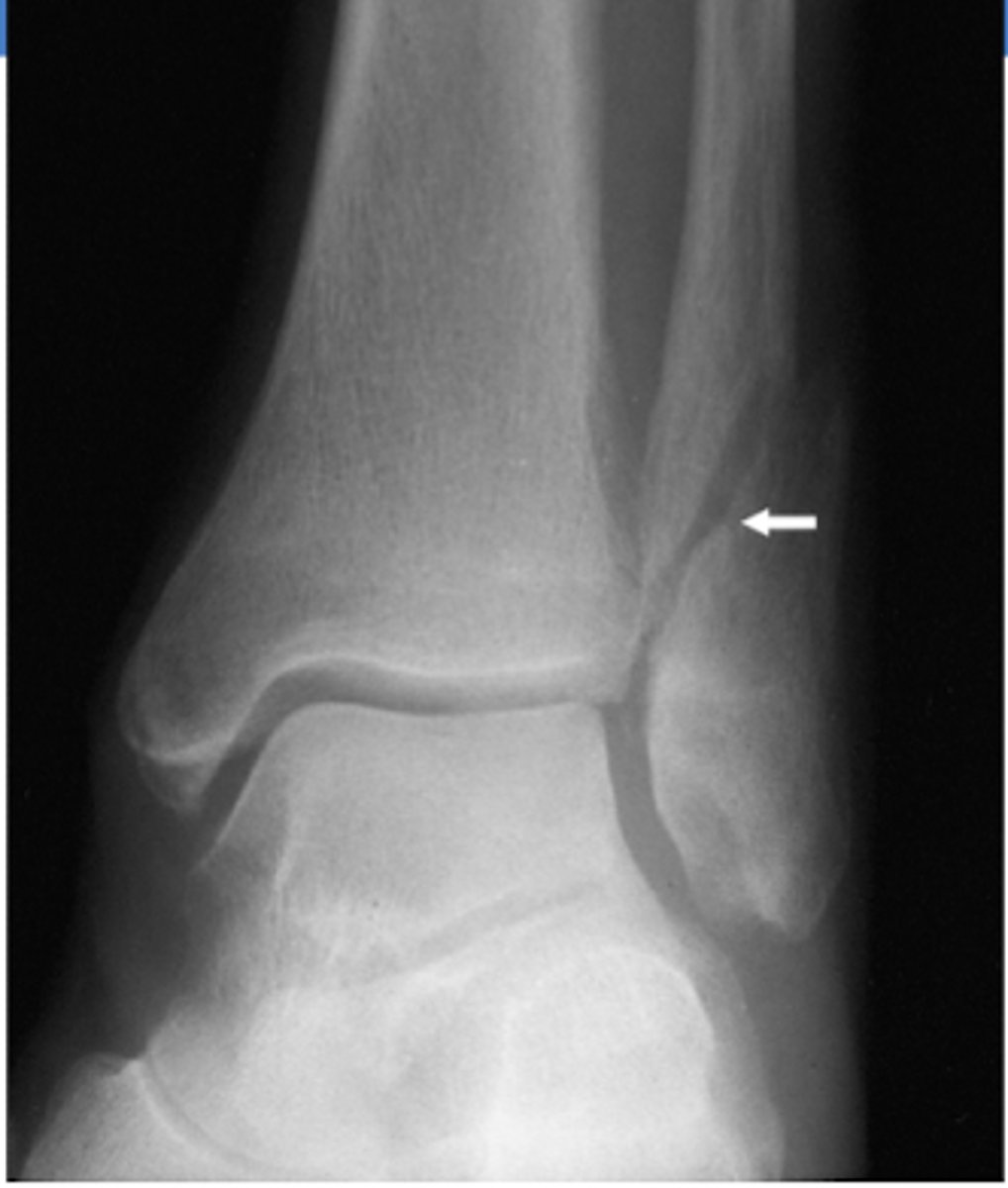
XR of Lateral Malleolus Fx with minimal displacement.

What is a bimalleolar ankle fracture?
involves BOTH the medial and lateral malleolus

What is a trimalleolar ankle fracture?
involves all THREE malleoli - medial, lateral and

What TWO movements can lead to a Maisonneuve fracture?
pronation
external rotation
What TWO fractures occur together in a Maisonneuve fracture?
Fx of medial malleolus
Spiral fracture of the fibula
What TWO XR findings are consistent with a Maisonneuve fracture?
Tear of the tibiofibular ligament
Widening of the ankle mortise medially

What PE findings are consistent with rupture of the achilles tendon?
(+) Thompson test
Not able to stand on tip toes on affected side

Review: Bones of the Foot.

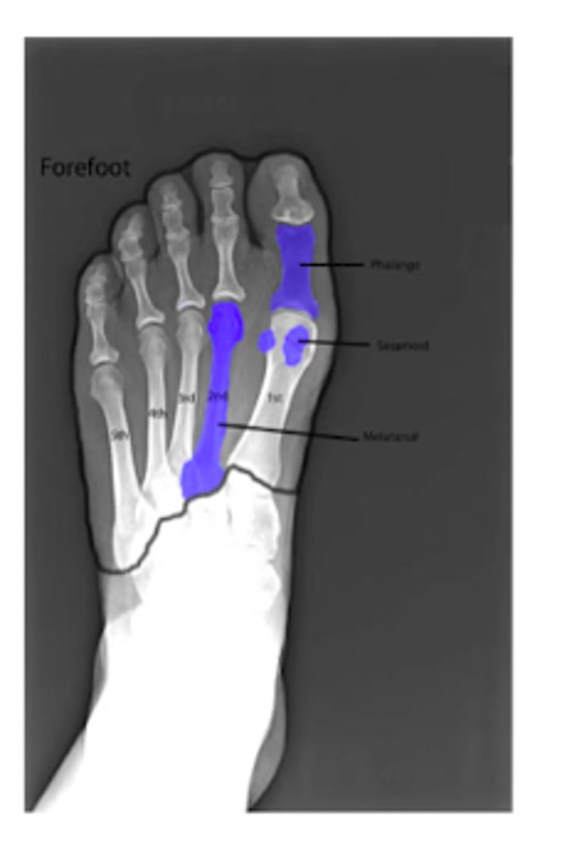
What TWO bones comprise the FOREFOOT?
Phalanges
Metatarsals

What are the FIVE bones of the MID-FOOT?
Cuneiform x3
Navicular
Cuboid

What TWO bones comprise the HIND-FOOT?
Talus
Calcaneus (heel)
What THREE bones comprise the ankle joint?
Fibula (lateral)
Tibia (medial)
Talus

What is the difference between pes cavus and pes planus?
Pes cavus → elevated longitudinal arch
Pes planus → no longitudinal arch (flat feet)
What is the treatment for pes cavus?
surgery

What is the treatment for pes planus?
PT
Arch support
NSAIDs
If ADLs affected → ortho referral

When is plantar fasciitis most painful?
in the morning
- improves with stretching + activity
What type of pain will present with plantar fasciitis?
heel pain
- will be tender upon palpation

What is the treatment for plantar fasciitis?
NSAIDs
Ice
PT
Ortho → steroid injections

If a patient present with pain that "feels like I am walking on a stone," what is the most likely diagnosis?
heel spur

What is the treatment for heel spurs?
NSAIDs + ice
Heel pad
PT
Ortho → injection/surgery
If a patient presents with heel pain and ecchymosis following fall/jump, what could be a possible diagnosis?
calcaneus fracture

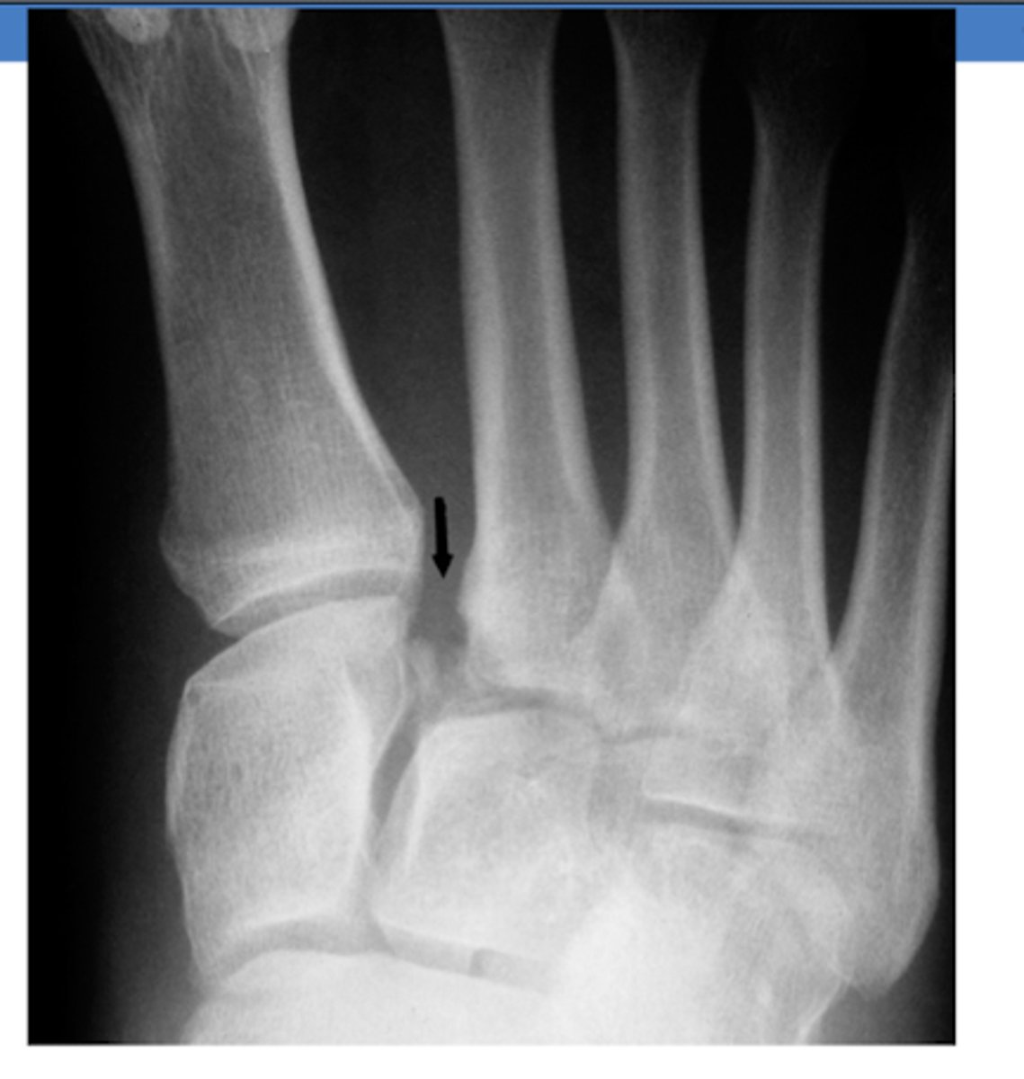
What joint is involved in a Lisfranc injury/fracture?
TMT (tarsometatarsal) joint
- between the articulation of the medial cuneiform and the base of the 2nd MT

What is the treatment for a Lisfranc injury/fracture that is <2mm?
casting for 6 weeks
- cannot bear weight

What is Chopart's Fracture-Dislocation?
Dislocation of the mid-tarsal joints (talonavicular + calcaneocuboid)
Fracture of the calcaneus, cuboid and navicular

What is the treatment for Chopart's Fracture-Dislocation?
open reduction w/ internal fixation
What type of fracture involves the distal tibia and the ankle joint at the tibiotalar articular surface?
pilon fracture

Due to extent of trauma usually associated with a pilon fracture, what type of fracture can also present with it?
fibula fracture
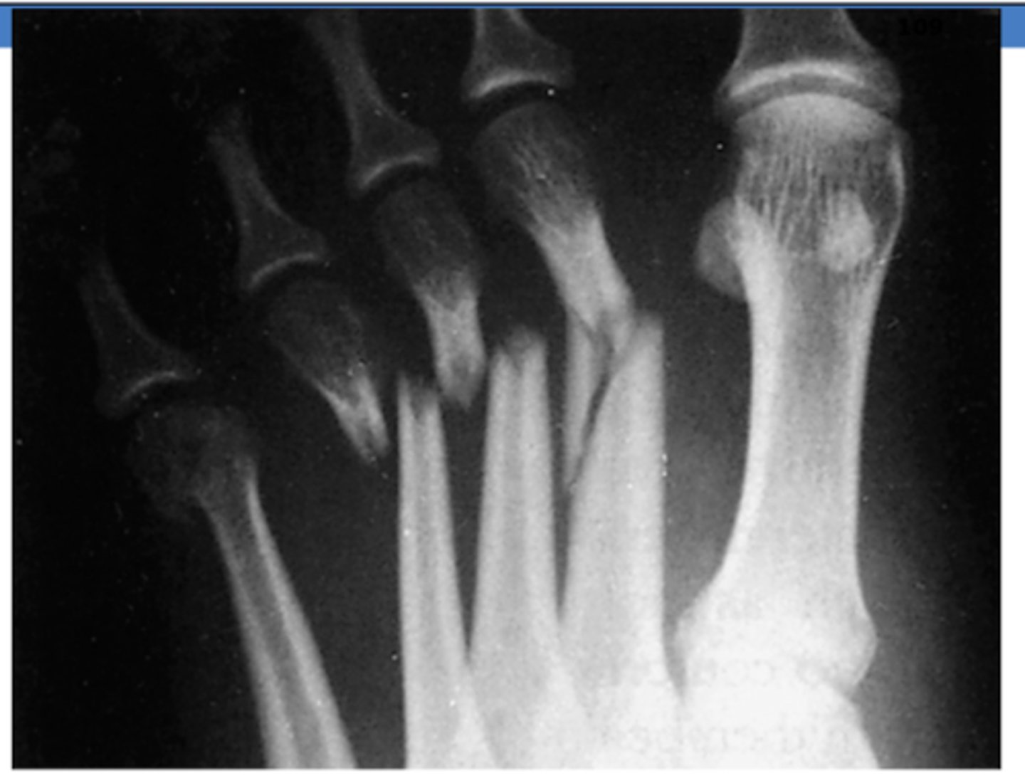
What is fractured in the following XR?
metatarsals

Fracture of the 5th metatarsal is also known as what?
Jone's fracture

What is Morton's neuroma?
pinched nerve/nerve tumor in the 2/3 or 3/4 metatarsal head space
- results in severe burning pain
What causes Morton's neuroma?
tight shoes
If a patient has an ingrown nail, what is the ABX typically administered?
Keflex (cephalexin)
What is a (+) Morton's test?
pain between the 3rd and 4th metatarsal head
- where the examiner grabs the metatarsal head + squeezes the heads together

What is a subungual hematoma?
bleeding under the nail

What is tinea unguium?
onychomycosis, or nail fungus
What type of deformity is associated with hammer toes?
PIP joint will be flexed
- typically affects only one toe (usually the 2nd)

What type of deformity is associated with claw toes?
bent toes (usually multiple) in a claw-like fashion

What condition results in hyperkeratonic lesions between the toes or on the plantar aspect of the foot?
calluses
- NOT painful
**corn = painful

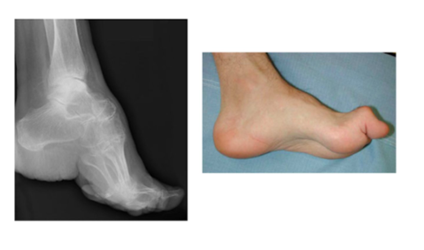
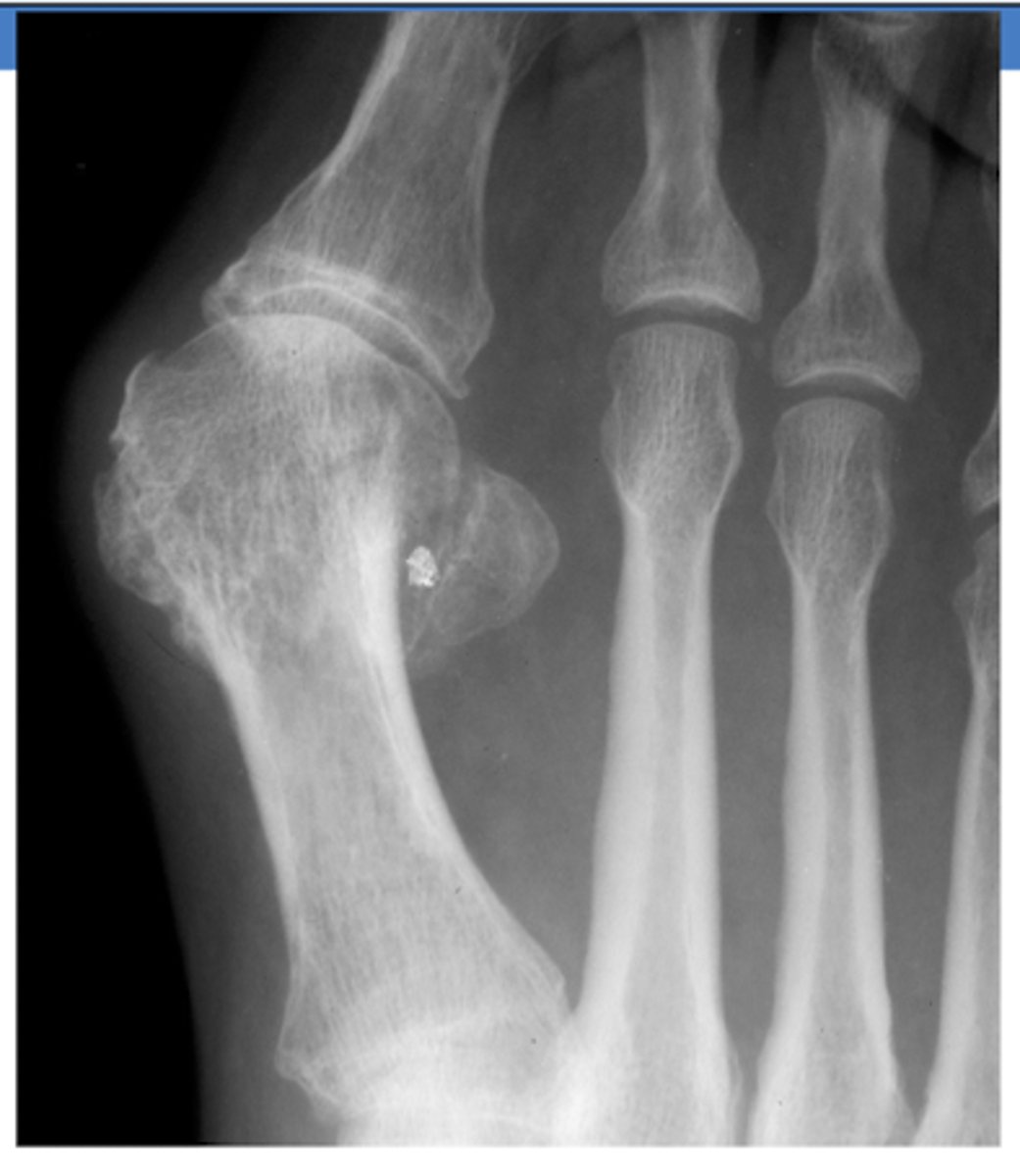
What term can be used to describe a lateral deviation of great toe?
hallux valgus (bunion)

What lab findings are consistent with acute osteomyelitis?
Increased WBC
Increased ESR/CRP
What term can be used to describe a neurogenic arthropathy that affects the joints of the foot?
Charcot's disease
- leads to joint deformities and loss of sensory function in the affected limb
What can lead to the development of Charcot's disease?
uncontrolled DM
- with peripheral neuropathy
What TWO findings on XR are suggestive for Charcot's foot?
Decline in calcaneal inclination with equinus (inability to dorsiflex)
Rocker-bottom deformity
**will initially not appear on XR
T/F. Individuals with Charcot's disease can have worsening trauma to the foot due to loss of sensation.
TRUE - will not notice they have an injury due inability to feel it