1/91
Looks like no tags are added yet.
Name | Mastery | Learn | Test | Matching | Spaced | Call with Kai |
|---|
No analytics yet
Send a link to your students to track their progress
Waar hangt de ernst van een fractuur van af?
Overgedragen energie (E = mv²)
Wat voor trauma geeft vaak fracturen bij ouderen?
Laag energetisch trauma (bijv. val van hoogte)v
Wat voor trauma geeft complexe fracturen?
Hoog energetisch trauma
Wat is een greenstick fractuur?
Onvolledige breuk (één zijde cortex breekt)

Wat is een torus (buckle) fractuur?
Compressiefractuur met indeuking cortex

Wat is een bowing fractuur?
Bot buigt zonder duidelijke fractuurlijn

Drie locaties van fracturen in lange botten?
Epifyse
Metafyse
Diafyse


twee soorten bot
-platte beenderen: bescherming van organen + bevatten meestal rood beenmerg → goede genezing (operatie vaak niet nodig)
→schedel, ribben, sternum, scapula en het bekken
-pijpbeenderen: pijpvormige botten + gevuld met geel beenmerg→ vaak geopereerd
→ tibia, humerus, femur, metercalpalia
Waar zit de groeischijf?
Tussen epifyse en metafyse (physis)
Waar gaat Salter-Harris over?
Groeischijf fracturen
Meest voorkomende type Salter-Harris?
Welke types zijn intra-articulair?
Type II
Type III en IV
Welke Salter-Harris heeft slechtste prognose?
Waarom moeten type III en IV anatomisch gereponeerd worden?
Type V
Gewrichtsoppervlak betrokken → functieverlies risico
Verschil intra- vs extra-articulaire fractuur?
Intra-articulair = gewricht betrokken → slechtere prognose
Wat is een comminutieve fractuur?
een breuk met meerdere fragmenten (verbrijzeling)
Wat is een segmentale fractuur?
Meerdere breuken op verschillende niveaus
Wat is een avulsiefractuur?
Pees trekt botstuk los
Wat is een compressiefractuur/geinclaveerde fractuur?
Inzakking van bot (vaak wervels, osteoporose)
impressie fractuur?
veroorzaakt door indrukking door scherp geweld of hoge druk
Wat is dislocatio ad axim?
Hoekstand van bot
Wat is dislocatio ad longitudinem?
Verkorting of verlenging
Wat is dislocatio ad peripheriam?
Rotatie
Waarom zijn open fracturen gevaarlijk?
Infectierisico + slechte genezing (bot breekt door huid)
→ kans op deglovement: afscheuring subcutis van de fascia)
→ zonder geneezing van de wond kan het bot niet genezen
Wat is de Gustilo-Anderson classificatie gebaseerd op?
Wondgrootte + weke delen schade

Doel van fractuurbehandeling?
Herstel functie bot + omliggende structuren
belangrijk dat iemand oefeningen blijft doen om spierkracht te behouden en stijfheid zo goed mogelijk tegen te gaan
Twee hoofdbehandelingen?
Conservatief
Operatief
Indicaties operatie?
Dislocatie
Instabiliteit
Intra-articulair
Open fractuur
Wat is osteosynthese?
Chirurgische fixatie van fractuur
Noem 4 vormen van osteosynthese
laat/schroeven
Intramedullaire pen
Externe fixatie
Percutane pinning
Vroege complicaties fractuur?
Infectie
Vaat- en zenuwletsel
Compartimentsyndroom
Late complicaties fractuur?
Mal-union
Non-union
Stijfheid
Groei stoornissen
Wat is mal-union?
Verkeerd genezen bot
Wat is non-union?
Geen botgenezing
complicaties van fracturen?

Waarom zijn groeischijffracturen gevaarlijk bij kinderen?
Risico op groeistoornissen
Waar staan de letters van de SALTR-classificatie voor (Type I t/m V)?
S (Straight across): Type I – Dwars door de groeischijf.
A (Above): Type II – Door de groeischijf en de metafyse (erboven).
L (Lower): Type III – Door de groeischijf en de epifyse (eronder).
T (Through/Two): Type IV – Verticaal door zowel metafyse, groeischijf als epifyse.
R (ERasure/Ram): Type V – Compressie/verbrijzeling van de groeischijf.

Wat is het grootste risico van een niet (tijdig) behandelde Salter-Harris fractuur?
permanente groeiremming of botdeformatie. Dit gebeurt omdat het kraakbeen van de groeischijf beschadigd raakt en voortijdig stopt met het aanmaken van nieuw botweefsel.
Welke specifieke complicatie op de lange termijn wordt genoemd bij Type III fracturen?
Het kan leiden tot posttraumatische artritis (omdat de breuk doorloopt tot in het gewrichtsvlak).
Wie krijgen vaak een claviculafractuur?
Jongvolwassenen (20–30 jaar), vooral mannen.
Typisch traumamechanisme? clavicula fractuur
Standaard behandeling?
Wanneer opereren?
Val op schouder of uitgestrekte arm.
Conservatief (~80%).
Dreigende huidperforatie
Open fractuur
Multitrauma
Meest voorkomende claviculafractuurlocatie?
Middenschacht.
Waarom staat het mediale fragment omhoog?
Trek van m. sternocleidomastoideus.
Gevaar bij posterieure luxatie?
Compressie van vaten/trachea → spoedrepositie.
ACROMIOCLAVICULAIRE LUXATIE
Welke classificatie?
Behandeling type 1–3?
Behandeling type 4–6?
Rockwood (type 1–6)
Conservatief.
Operatief.
GLENOHUMERALE LUXATIE
Meest voorkomende richting?
Belangrijke stap vóór behandeling?
Na repositie altijd doen?
Anterieur.
Bepalen richting + beeldvorming (2 richtingen).
Controlefoto.
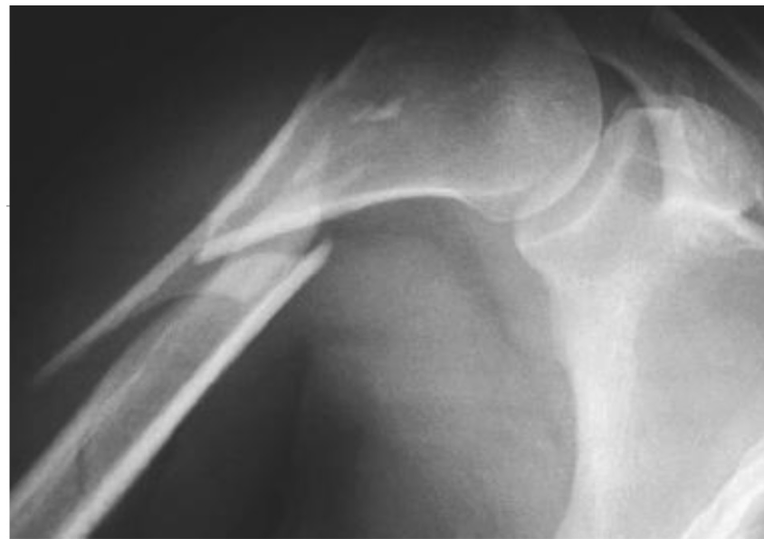
PROXIMALE HUMERUSFRACTUUR
Q:Classificatie?
Q: Meest voorkomende type?
Q: Wanneer opereren?
Q: Complicatie bij 4-part?
Q: Behandelopties operatief?
Neer (1–4 part)
1-part (70–80%)
Dislocatie
3- of 4-part fracturen
Kopnecrose.
Plaatosteosynthese
Intramedullaire pen
Hemiartroplastiek (ouderen)
RADIUSKOPFRACTUUR
Q: Mechanisme?
Q: Klinische tekenen?
Q: Classificatie?
Q: Wanneer prothese?
Q: Geassocieerde letsels?
Val op uitgestrekte arm (axiale kracht).
Pijn elleboog
Rotatiebeperking
Gewrichtseffusie
Mason (I–IV)
Ernstige (type III/IV) fracturen.
Polsdislocatie
Scafoïdfractuu
OLECRANONFRACTUUR
Q: Mechanisme?
Q: Classificatie praktisch?
Q: Behandeling stabiel?
Q: Behandeling instabiel?
Direct trauma of tractie m. triceps.
Stabiel vs instabiel.
Conservatief (gips).
Operatief (Zuggurtung/plaat).
ELLEBOOGLUXATIE
Q: Meest voorkomende richting?
Q: Mechanisme?
Posterieur (~90%).
Val op gestrekte arm
SUPRACONDYLAIRE HUMERUSFRACTUUR (KINDEREN)
Q: Meest voorkomende elleboogfractuur bij kinderen?
Q: Mechanisme?
Q: Classificatie?
Q: Belangrijke complicatie?
Q: Behandeling?
Ja, supracondylair.
Val op gestrekte arm.
Gartland (I–III)
Zenuwschade (n. medianus, ulnaris, radialis)
Vaatletsel
Repositie (hyperflexie)
Zo nodig K-draden
Waarom zijn heupfracturen klinisch belangrijk?
Wat is het behandeldoel?
Vier fasen fractuurgenezing?
Hoge mortaliteit (25–50% na 1 jaar) en veel complicaties (DVT, pneumonie, necrose).
Snelle mobilisatie + complicaties voorkomen.
Reponeren → fixeren → consolideren → revalideren.
Wanneer kies je osteosynthese vs prothese?
Wanneer zeker prothese?
<70 jaar → osteosynthese
80 jaar → vaak prothese
Instabiele fractuur, kopnecrose-risico, oudere patiënt.
Garden classificatie?
COLLUM FEMORIS FRACTUUR
I: incompleet
II: compleet, niet verplaatst
III: mild verplaatst
IV: volledig verplaatst
Groot risico bij deze fractuur→Kopnecrose (slechte doorbloeding).
Belangrijk onderscheid Evans?
Typisch letseltype?
PERTROCHANTERE FRACTUUR (Evans)
Stabiel vs instabiel.
Laag-energetisch (vaak ouderen).
FEMURSCHACHTFRACTUUR
Belangrijkste acute probleem?
Typen?
Veel bloedverlies → ABCDE!
Oblique, comminutief, spiraal, complex, open.
KNIE TRAUMA
Extensie onmogelijk → denk aan?
Hematoom + zwelling?
Extensor mechanisme letsel (bijv. patella/pees).
Fractuur/trauma waarschijnlijk.
wat is MAISONNEUVE FRACTUUR
Hoge fibulafractuur + syndesmose letsel.
Wanneer is er zeker een fractuur-gerelateerde infectie?
Belangrijke regel vóór behandeling?
Welke symptomen passen bij een infectie?
Fistel/pus
Pathogeen uit ≥2 kweken
Eerst kweken afnemen → daarna pas antibiotica.
Pijn, roodheid, zwelling, warmte ± koorts.
Wat is een non-union?
Belangrijkste risicofactoren?
Waar grootste kans op non-union?
Basisprincipes behandeling?
Fractuur die niet geneest zonder interventie.
Roken (!!)
Diabetes
Obesitas
Infectie
Diafyse > metafyse.
Meer stabiliteit (plaat/pen)
Botgenezing stimuleren (bot toevoegen)
Wat is een mal-union?
Wanneer behandelen?
Genezen fractuur in verkeerde stand.
Alleen bij klachten/functionele beperking.
Wat is het belangrijkste vroege symptoom van compartimentsyndroom?
De 5 P’s?
Sluiten pulsaties het uit?
Ernstige pijn (disproportioneel).
Pain ⭐
Paresthesie
Pallor
Paralysis
Pulselessness (laat!)
nee
Wanneer verhoogd risico op artrose?
Waarom ontstaat dit?
Na intra-articulaire fracturen.
Veranderde gewrichtsbelasting / stand.
Dwarsfractuur (fractura transvera)
fractuurlijn staat loodrecht op de lengteas van het bot. Dit type ontstaat meestal door directe impact of buigkrachten en is relatief stabiel.

Schuine fractuur (fractura obliqua)
fractuurlijn verloopt onder een hoek tov lengteas. Fracturen ontstaan door gecombineerde krachten en zijn instabieler, met verhoogde kans op verkorting

spiraalfractuur (fractura spiralis)
fractuur heeft een spiraalvormig verloop en onstaat door torsiekrachten. Mechanisme wijst vaak op een indirect trauma

Geïnclaveerde fractuur
fractuur waarbij delen van de fractuur in elkaar gedrukt worden.
Bij mediale collumfractuur kan de femurkop loslaten van de femurhals, waardoor de femur zelf naar craniaal geduwt wordt en er een geinclaveerde fractuur ontstaat

segmentale fractuur (fractura segmentalis)
het bot is op meerdere niveaus gebroken, waardoor een of meerdere vrije segmenten ontstaan. Bloedverziening van deze segmenten is vaak compromised, risico op genezingsstoornissen vergroot.

Avulsiefractuur (fractura avulsio)
botfragment wordt losgetrokken door een pees of ligament. dit ontstaat meestal door een plotselinge krachtige spiercontractie

compressiefractuur
kenmerkend is het inzakken van trabeculair bot, vaak in wervel lichamen (osteoporose)

greenstickfractuur
incomplete fractuur waarbij een zijde van het bot breekt. vaak bij kinderen

dislocatie van fracturen

pathofysiologie van botgenezing
-hematoom- en ontstekingsfase: direct na het trauma ontstaat een hematoom. Inflammatoire cellen migreren naar het gebied en initieren het genezingsproces
-granulatiefase: er ontstaat granulatieweefsel met neovascularisatie en proliferatie van fibroblasten
-callusvorming: zachte callus wordt gevormd, die vervolgens ossificeert tot een harde callus
-remodelleringsfase: aangepast aan mechanische belasting volgens de Wet van Wolff→ oorspronkelijke structuur en sterkte worden hersteld
Wanneer ontstaat een fractuur?
Wanneer externe krachten groter zijn dan de elasticiteitsgrens van bot.
Verschil direct vs indirect trauma?
Welke krachten spelen een rol?
Direct → kracht op bot zelf
Indirect → kracht via ander lichaamsdeel
Torsie, buiging, compressie, tractie.
Wat is een pathologische fractuur?
Oorzaken?
Kenmerk?
Fractuur in verzwakt bot.
Osteoporose
Metastasen
Infectie
Ontstaat bij relatief lage kracht.
Wat is een stressfractuur?
Bij wie vaak?
Fractuur door repetitieve overbelasting (microtrauma).
Sporters en militairen.
polsfractuur:
Wanneer conservatief?
Wanneer operatief?
Stabiel, niet-verplaatst → gips.
Instabiel
Intra-articulair
Slechte repositie
belangrijkste complicaties polsfractuur
Compartimentsyndroom
Carpaal tunnelsyndroom
CRPS
Zenuwschade
Waar vindt oppositie plaats?
CMC-gewricht (combinatie bewegingen).
Belangrijkste buiger duim?
m. flexor pollicis longus.
Belangrijke extensoren duim?
EPL en EPB
Functie m.interossei?
Dorsaal → abductie
Palmair → adductie
Flexie MCP + extensie IP
Functie lumbricales?
Flexie MCP + extensie IP (fijne motoriek).
Krachtgreep?
Lange flexoren + duim adductie.
Precisiegreep?
Lumbricales + oppositie duim.
ZENUWLETSEL – HERKENNING
Medianus letsel?
A:
Predikershand
Geen oppositie (flessenteken)
Q: Ulnaris letsel?
A:
Klauwhand
Positief Froment
Q: Radialis letsel?
A:
Dropping hand (geen extensie)
belangrijkste zenuwen plexus brachialis
N. musculocutaneus → flexoren arm
N. axillaris → abductie schouder
N. radialis → extensie
N. medianus → flexie + fijne motoriek
N. ulnaris → intrinsieke handspieren
belangrijkste radialis letsel:
Belangrijkste uitval?
Effect op grijpkracht?
Geen pols-/vingerextensie
Dropping hand
Verminderd (geen polsextensie).
Scapula stabiliteit
Belangrijkste spier?
Uitval → wat zie je?
m. serratus anterior.
Winging scapula.
Gevaar bij a. axillaris letsel?
Ernstig bloedverlies.
Wat is een lucht embolie risico?
Letsel v. axillaris → lucht wordt ingezogen.
Radiale deviatie?
m. flexor carpi radialis + extensor carpi radialis.
Ulnaire deviatie?
m. flexor carpi ulnaris + extensor carpi ulnaris.