1/58
Looks like no tags are added yet.
Name | Mastery | Learn | Test | Matching | Spaced | Call with Kai |
|---|
No analytics yet
Send a link to your students to track their progress
What is pseudomembranous candidiasis?
cheesy white plaques that wipe off
⢠leaves red, tender surface
⢠no bleeding

What are characteristics of a thermal burn? theres 2
PAINFUL
⢠cracked or cratered surface

What are characteristics of an aspirin burn?
PAINFUL
⢠history of topical aspirin use

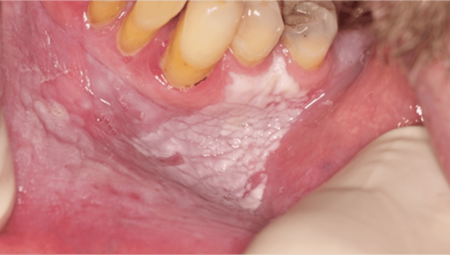
What is dentifrice sloughing?
translucent-whitish film that removes with gentle pressure
⢠string-like
⢠type of mucositis

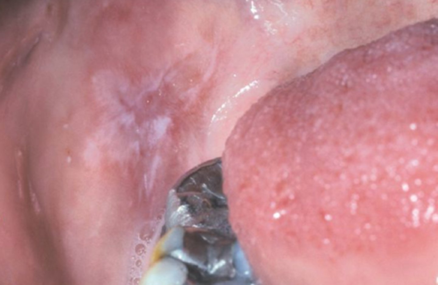
What is linea alba?
along occlusal plane of buccal mucosa

What is leukoedema? (+ population)
bilateral milky white buccal mucosa
⢠disappears when stretched
⢠Population: African Americans

What is frictional keratosis? (+ common locations)
"callus"
⢠close to source of irritation -- must be identified
⢠Common locations: tongue/cheek

What is tobacco pouch keratosis?
corrugated/wrinkled vestibule
⢠smokeless tobacco use
⢠biopsy if ulcerated or doesn't heal in 14 days after movement of tobacco

What is reticular lichen planus? (+ population/common location)
Wickham Striae
⢠usually bilateral
⢠Population: middle-aged females
⢠Common location: buccal mucosa (ging/tongue)

What is nicotinic stomatitis? (+ common location)
round white lesion + small red dot in center (inflamed salivary gland)
⢠pipe/cigar use
⢠common location: hard palate

What is oral hairy leukoplakia? (+ common location)
seen with EBV, HIV/immunocompromised
⢠painless
⢠vertical striations on lateral tongue

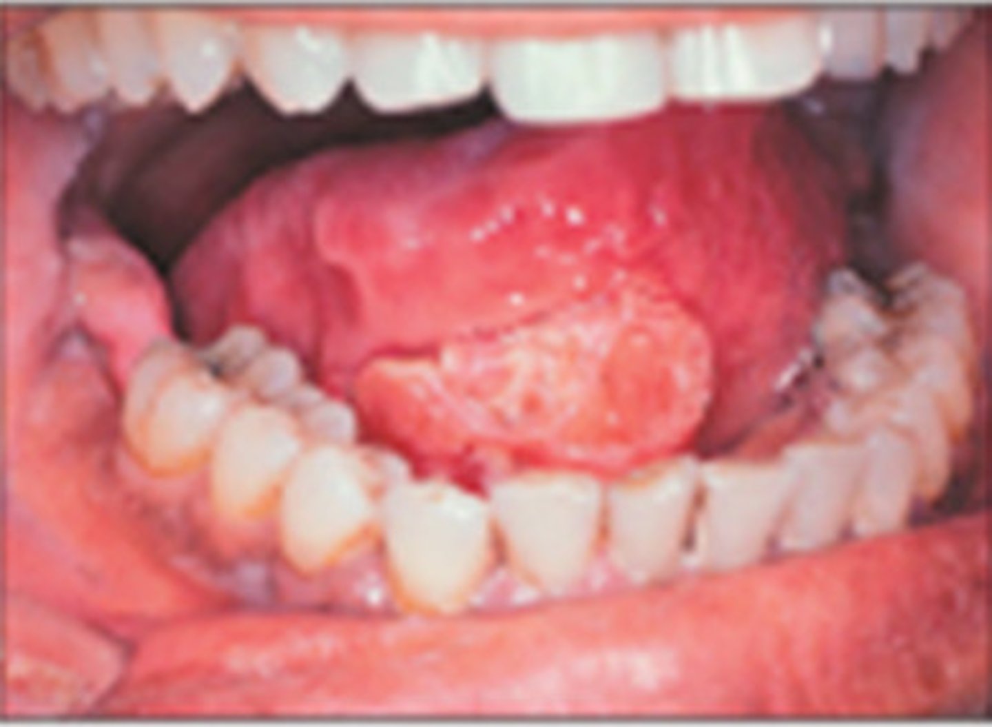
What is chronic hyperplastic candidiasis? (+ common locations)
thick plaques
⢠seen in HIV/immunocompromised
⢠common locations: buccal mucosa/tongue

What is white spongy nevus? (+ other names, common location, population)
genetic
⢠Other names: familial white folded dysplasia, cannon disease
⢠Population: childhood onset, children
⢠thick, corrugated plaques; usually bilateral
⢠Common location: buccal mucosa
**GINGIVA/DORSAL TONGUE NEVER AFFECTED**

What is proliferative verrucous leukoplakia? (+ % malignant transformation, population)
⢠extensive, multiple white corrugated plaques
⢠NOT associated with risk factors -- 70% malignant change
⢠must biopsy
⢠Population: females over 50

What is leukoplakia? (+ high risk sites, population)
well demarcated white plaque that CANNOT be wiped off
⢠high risk sites: 1) lateral/ventral tongue, 2) floor of mouth/retromolar pad, 3) tonsillar pillar/soft palate (24-42% dysplasia)
⢠unknown cause
⢠must biopsy after 14 days
⢠Population: males over 50

What is oral SCC? (+ high risk sites, population)
irregular shaped white patch with rolled, indurated border
⢠high risk sites: 1) tongue - most common, 2) floor of mouth, 3) tonsillar pillar/soft palate, 4) lower lip
⢠population: males over 40
⢠NON-HEALING ulcer

What is verrucous carcinoma? (+ location, population, assoc. with)
diffuse white (or mixed) pebbly plaque
⢠common location: vestibule
⢠population: males over 65
⢠associated with smokeless tobacco
⢠slow growth

What is systemic lupus erythematous? (+ oral & skin, population, common locations)
autoimmune disease
⢠oral lesions = lichenoid appearance
⢠common locations (oral): buccal mucosa, gingiva, palate
⢠skin = malar rash
⢠population: middle-aged females, african americans

What is secondary syphilis? (+ location, bacteria)
mucous patch
⢠whitish-gray plaque on mucosa
⢠highly contagious
⢠bacteria: Treponema pallidum

What is erosive lichen planus? (+ common locations, population)
PAINFUL
⢠red area surrounded by white striae
⢠shallow ulcers or desquamative gingivitis
⢠bilateral
⢠skin lesions
⢠common locations: buccal mucosa, gingiva, tongue
⢠population: middle-aged females

What is acute atrophic candidiasis? (+ other name, common location)
PAINFUL; Antibiotic Sore Mouth
⢠red, shiny patches
⢠common location: usually on tongue
⢠usually surrounded by white flecks

What is erythema migrans? (+ common locations, associated with, other name)
Geographic tongue
⢠tender, red, atrophic center with prominent white (yellowish) scalloped border
⢠common locations: usually on dorsal tongue, also ventral tongue& mucosa
⢠associated with stress
⢠moves around

What is contact mucositis?
PAINFUL
⢠red, edematous area with ulceration or white striae (lichenoid)
⢠type 4 allergic rxn
⢠EX: cinnamon stomatitis

What is speckled leukoplakia? (+ population)
white plaque with red component
⢠unknown cause
⢠must biopsy after 14 days
⢠population: males over 50

What are Koplik spots? (+ common location, population)
associated with measles/rubeola
⢠small red macules with white necrotic center
⢠paramyxovirus
⢠common location: mucosa
⢠population: children

What are lichenoid lesions? (+ common locations)
similar to lichen planus - unilateral
⢠usually a drug rxn
⢠common locations: buccal mucosa, tongue (NOT GINGIVA!!!)

What is chronic atrophic candidiasis? (+ other name, common locations)
AKA Denture Stomatitis; well-defined red plaque under prosthesis
⢠common locations: palate, maxillary ridge
⢠no pain

What is median rhomboid glossitis? (+ other name, common location)
AKA Central Papillary Atrophy; well-defined red patch at midline of posterior dorsal tongue
⢠asymptomatic
⢠candidiasis

What is angular cheilitis? (+ common location)
erythema, fissuring, scaling at commissures
⢠candidiasis
⢠vertical dimension
⢠Vitamin B12 deficiency

What are palatal petechiae? (+ common location, cause)
tiny red dots on soft palate
⢠cause: trauma/leukemia

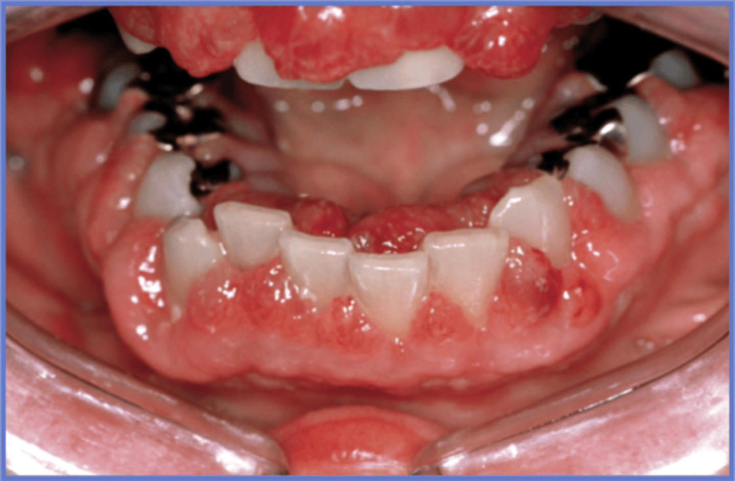
How does leukemia present orally?
diffuse gingival enlargement with hemorrhage
⢠palatal petechiae

What is erythema multiforme? (+ other name, population)
AKA: Stevens-Johnson Syndrome
⢠crusty, bleeding lips + oral ulcers + target skin lesions
⢠drug rxn
⢠population: young males

What is inflammatory papillary hyperplasia? (+ other name, common location)
AKA denture papillomatosis
⢠red (or pink) cobblestone appearance of hard palate
⢠under a prosthesis

What is lymphangioma? (+ common location, population)
Red (or white/pink), soft, fluctuant, pebbly surface (caviar)
⢠common location: anterior dorsal tongue
⢠population: children
⢠on neck: Cystic Hygroma

What is hemangioma? (+ common location, population)
MOST COMMON TUMOR IN CHILDREN!
⢠red (changes to purple), rubbery, elevated mass
⢠INVOLUTES OVER TIME
⢠common location: tongue
⢠population: children

What are black and/or gray lesions?
⢠Amalgam tattoo
⢠Black hairy tongue
⢠Melanoma
What is an amalgam tattoo?
presence/history of amalgam restoration
⢠can see on X-ray

What is black hairy tongue?
elongated filiform papilla
⢠seen in smokers

What is melanoma? (+ common locations)
blackish-blue, irregular papule
⢠poor prognosis
⢠common locations: palate, maxillary gingiva

What are yellow lesions?
⢠Parulis/cutaneous sinus (gumboil)
⢠Actinomycoses
⢠Lipoma
⢠Granular cell tumor
⢠Lymphoepithelial cyst
⢠Fordyce granules
⢠Acute lymphonodular pharyngitis
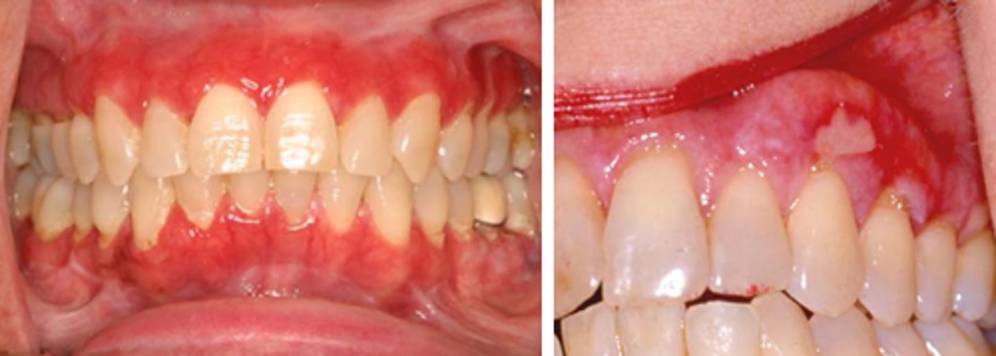
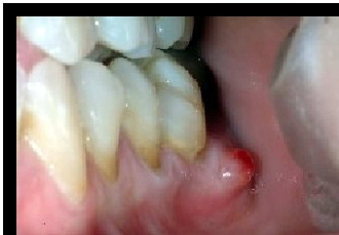
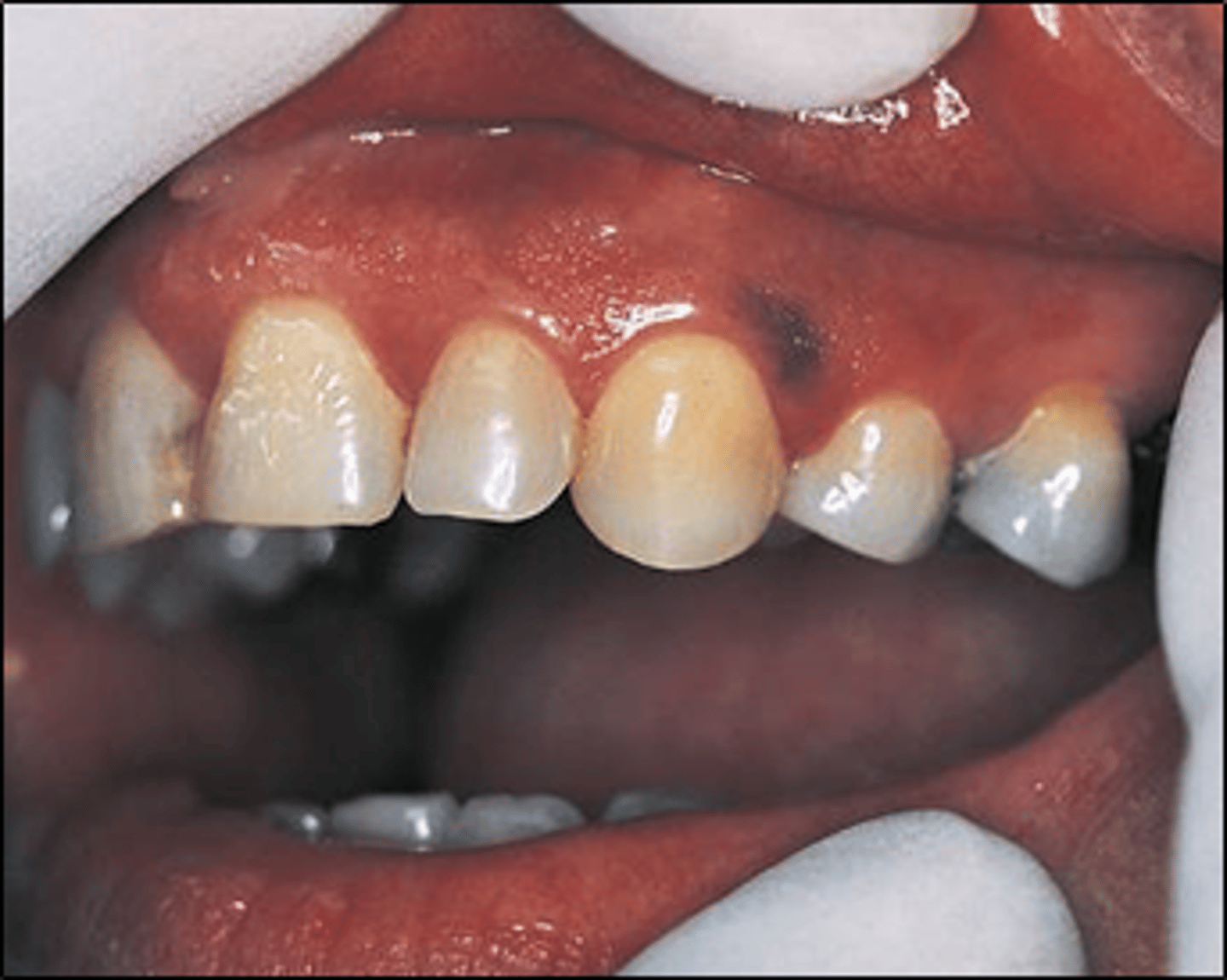
What is a parulis? (+ other names, common locations, associated with)
yellowish-red nodule on gingiva or palate
⢠associated with non-vital tooth
⢠AKA Cutaneous sinus, gumboil

What is actinomycoses?
abscess or sinus tract due to actinomyces bacteria
⢠bright yellow "sulfur granules" in pus

What is a lipoma? (+ common location, population)
soft, yellowish-pink, well-defined, painless nodule
⢠less than 3 cm
⢠common location: buccal mucosa
⢠population: adults over 40

What is a granular cell tumor? (+ common location, population)
soft, yellowish-pink, painless nodule
⢠less than 2cm
⢠common location: dorsal tongue
⢠population: females 30-50

What is a lymphoepithelial cyst? (+ common locations)
soft, yellowish-pink, well-defined, painless nodule
⢠common locations: floor of mouth, ventral tongue

What are fordyce granules? (+ common locations)
multiple small papules
⢠common locations: vestibule, buccal mucosa

What is acute lymphonodular pharyngitis? (+ common locations, population)
yellow-reddish nodules of tonsils/soft palate
⢠Coxsackie virus
⢠population: children

What are brown lesions?
⢠Physiologic melanosis
⢠Oral/labial melanotic macule
⢠Smoker's melanosis
⢠Peutz-Jegher syndrome (hereditary intenstinal polyposis syndrome)
⢠Melanocytic nevus
What is physiologic melanosis? (+ common location, population)
normal pigmentation of gingiva
⢠Population: dark-skinned patients

What is an oral/labial melanotic macule? (+ common locations)
flat, well-defined brown macule
⢠common locations: buccal mucosa, gingiva, lips

What is Peutz-Jegher syndrome? (+ other name, population, common locations)
AKA hereditary intestinal polyposis syndrome
⢠genetic
⢠multiple melanotic macules on buccal mucosa/lips
⢠multiple skin macules + benign GI polyps
⢠population: Children

What is a melanocytic nevus?
well-defined, single, brown-black macule
⢠rare intraorally
⢠proliferation of melanocytes
⢠uniform color
⢠less than 6mm
⢠aka MOLE

What are blue/purple lesions?
⢠hemangioma
⢠ranula
⢠mucocele
⢠eruption cyst
⢠gingival cyst
⢠hematoma
⢠post-inflammatory melanosis
⢠peripheral giant cell granuloma
⢠mucoepidermoid carcinoma
⢠kaposi sarcoma
⢠melanoma
What is a ranula? (+ common location)
large mucocele
⢠common location: floor of mouth - unilateral
⢠blockage of submand/sublingual gland

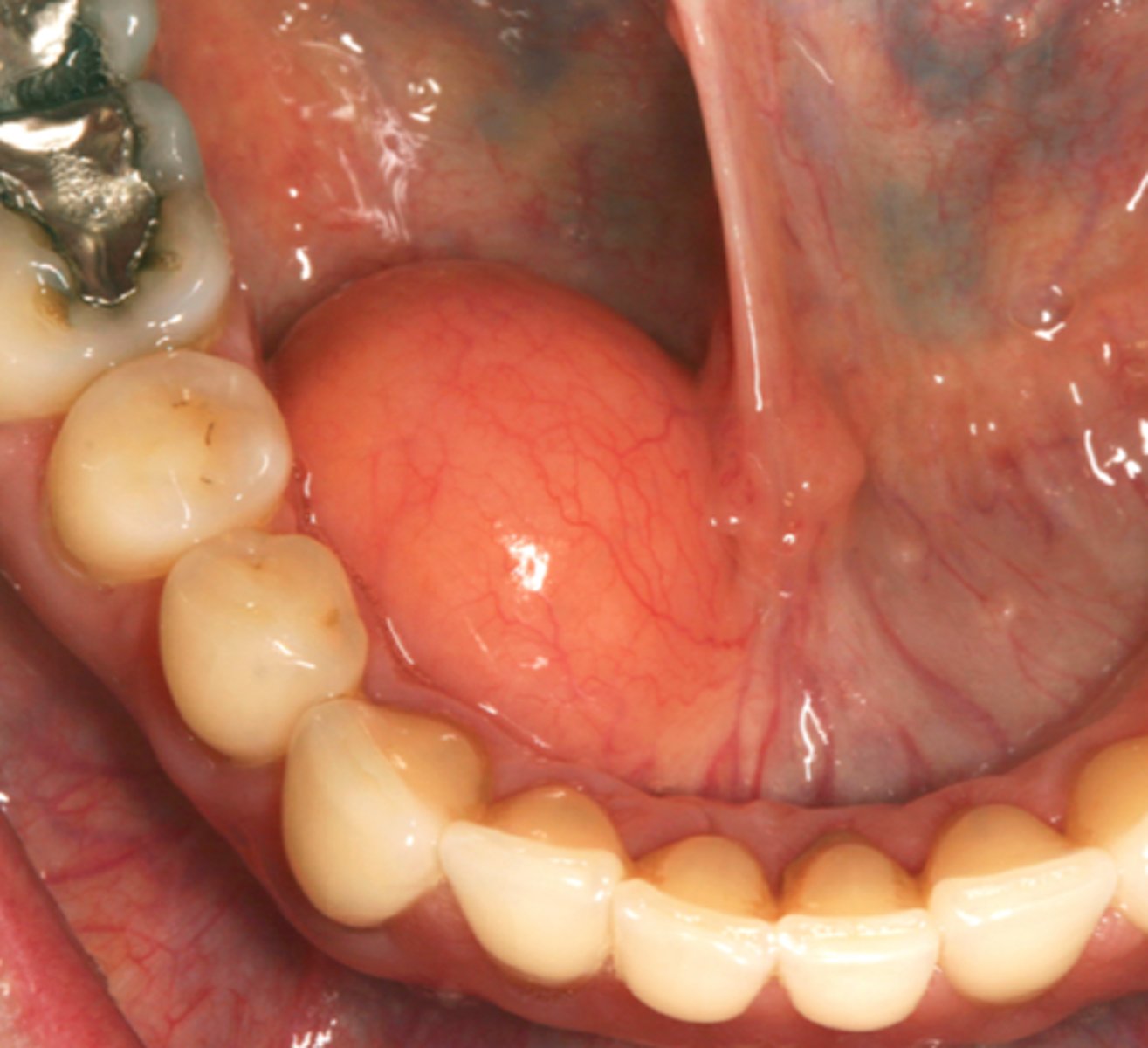
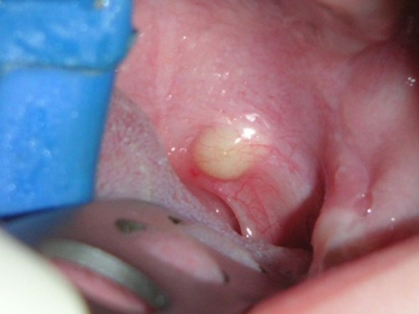
What is a mucocele? (+ common location, histology)
bluish/pink/clear accumulation of salivary gland secretion in CT due to severed duct
⢠common location: mandibular labial mucosa
⢠histology: mucus + granulation tissue

What is an eruption cyst? (+ common location, population)
bluish swelling at site of erupting tooth (1st molar)
⢠population: children

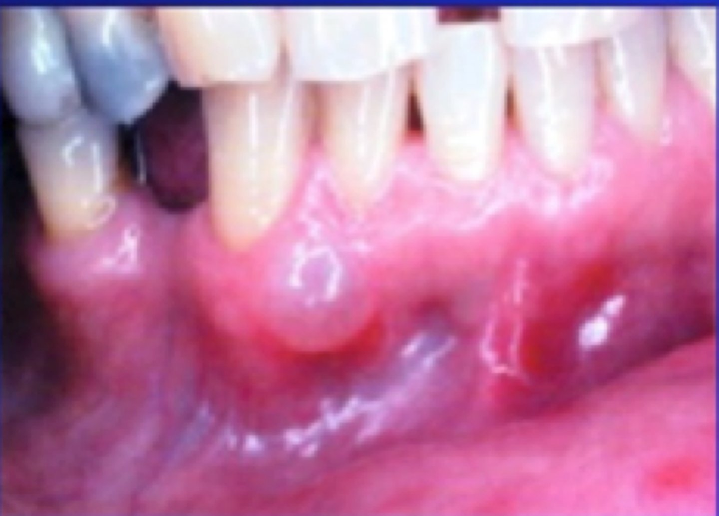
What is a gingival cyst? (+ common locations, population)
blue-translucent swelling of attached gingiva (Mand canine/premolar area)
⢠population: middle-aged adults

What is a hematoma? (common location, associated with)
⢠associated with trauma
⢠common location: buccal/labial mucosa

What is post-inflammatory melanosis? (+ common locations)
response to healing
⢠common locations: gingival/buccal mucosa
