1/171
Looks like no tags are added yet.
Name | Mastery | Learn | Test | Matching | Spaced | Call with Kai |
|---|
No analytics yet
Send a link to your students to track their progress
A dirty shadow is likely the result of:
air in the duodenum
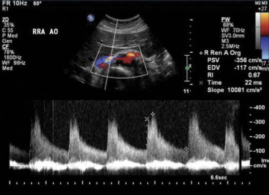
A Doppler waveform from which of the following vessels would be expected to be 'nonresistive' with high diastolic flow, indicating a need for constant perfusion?
renal artery
All measurements of the aorta should be measured:
outer wall to outer wall
All of the following structures are located in the retroperitoneum except the:
Spleen
An echo-free structure is described as:
sonolucent
An image dividing the right kidney into anterior and posterior sections describes the:
coronal plane
An oblique passage through the lower part of the anterior abdominal wall is termed the:
inguinal canal
Another term for sonolucent is:
anechoic
A pathology characterized by a tear in the vessel's intimal layer, allowing blood to flow between the layers of the wall, is known as what?
Aortic dissection
A smooth membrane that lines the entire abdominal cavity and is reflected over the contained organs is the:
Peritoneum
Both the sagittal and coronal planes divide the body lengthwise. How does the coronal plane divide the body?
anterior and posterior
Choose the definition of a sagittal plane.
A lengthwise plane running from front to back dividing the body or any of its parts into right and left sides, or two equal halves.
Choose the term that describes a structure with a uniform texture or composition.
homogeneous
Compared to the arteries, veins have?
More collagen and elastic fibers than muscle fibers
Computed tomography (CT) and ultrasound share terminology describing the body planes. Identify the plane that divides the body into upper and lower sections.
transverse
Doppler imaging demonstrates flow toward and away from the transducer. Identify the direction the spectral tracing displays with flow toward the transducer.
above the baseline
Fluid collects in the most ________ areas of the abdomen and pelvis.
Dependent
Heterogeneous describes this type of mass.
complex mass
How is the liver oriented on the moniter when scanning on the transverse plane?
left
Identify the imaging modality that provides a composite transverse image of the entire body.
CT
Identify the shape of a curved array transducer image.
pie
Identify the sonographic characteristic of a cystic mass.
smooth border

Identify the vessel labelled #6
SMA
In a healthy individual, the Doppler waveform of the hepatic veins should appear:
Multiphasic, reflecting cardiac activity
Increased brightness posterior to an anechoic structure is termed:
enhancement
Morison’s pouch is anterior to which organ?
right kidney
Morison’s Pouch is located in which anatomical space?
subhepatic space
Para-aortic lymphadenopathy generally displaces the kidney:
laterally
Select the description of the midsagittal plane.
Plane dividing the body into equal right and left halves
Select the Doppler method most commonly used in the abdomen.
pulsed wave
Select the term that describes a diffuse disease process or metastatic disease.
infiltrating
Specific indications for an abdominal ultrasound examination include all of the following except:
nephrolithiasis

Starting from left to right images are numbered 1 through 4. Which of the images above would be described as isoechoic?
image 3
The abdominopelvic cavity has four quadrants and nine regions to help us describe locations of patient symptoms or pathology. Which of the following is the upper horizontal line that joins the lowest point of the costal margin to each side of the body?
subcostal plane
The ability to maintain a steady and stable internal environment is called?
hemeostasis

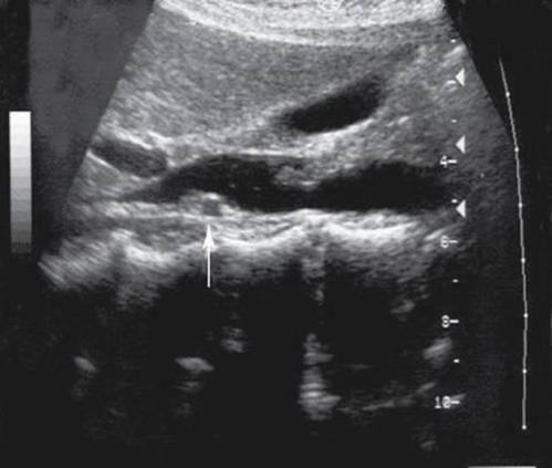
The arrow is demonstrating which of the following vascular structures?
right renal artery
The arterial supply to the gallbladder is via the:
cystic artery
The clinical significance of peritoneal recesses is:
fluid and infection may accumulate in the recesses
The distribution of the superior mesenteric artery is to the:
proximal half of the colon and the small intestines.
The duodenum and parts of the stomach are supplied by the:
gastroduodenal artery
The epiploic foramen is the opening between the:
greater and lesser sac
The gastroduodenal artery is a branch of the:
common hepatic artery
The inferior mesenteric artery distributes blood to the:
left transverse colon, descending colon, sigmoid colon, and rectum.
The left renal vein's unique anatomical course places it between which two arteries?
Superior mesenteric artery and the aorta
The left suprarenal vein and left gonadal vein typically drain into which vessel?
Left renal vein
The lesser sac is located:
posterior to the stomach
The linea alba is found in the:
abdominal wall
The main portal vein is formed by the confluence of which two major veins?
Splenic vein and superior mesenteric vein
The membrane that covers an internal organ is known as the:
visceral peritoneum
The most common site(s) for abdominal abscess formation is(are) the:
Hepatic recesses and perihepatic spaces
The normal diameter of the aorta is less than ____ millimeters (mm) in men.
23
The pancreas is located in which abdominal region?
epigastric
The peritoneal structure that attaches the stomach to another organ and is described as hanging down like an 'apron' over the small intestine is the:
greater omentum
The retroperitoneal space is the area between the:
Posterior portion of the parietal peritoneum and the posterior abdominal wall muscles
The right kidney is in contact with the:
liver, colon, and adrenal gland
The "seagull sign" is obtained in what scan plane?
transverse
The serous membrane that covers the surface of an abdominal organ is called the?
visceral peritoneum
The smallest vessels in the body are?
capillaries
The space between the right lobe of the liver and the anterior right kidney is?
Morison’s pouch
The term tunica intima denotes?
the inner lining of the arterial wall
The texture of the spleen should be compared with that of the _____________.
liver
The vessel that arises from the anterior aortic wall and takes a parallel course to the aorta is the:
superior mesenteric artery
Vital signs, which are medical measurements to ascertain how the body is functioning, may include all of the following except:
pulmonary function tests
What is the correct method for measuring the diameter of an abdominal aortic aneurysm on ultrasound?
From the outer wall to the opposite outer wall, including any thrombus.
What is the most common type of abdominal aortic aneurysm (AAA), characterized by a gradual transition between normal and abnormal diameters?
fusiform
What is the primary function of the mesentery?
To provide a pathway for blood vessels, nerves, and lymphatics to reach the intestines.
What is the primary muscle of respiration that separates the thoracic cavity from the abdominopelvic cavity?
diaphragm
What is the process by which white blood cells engulf foreign matter called?
phagocytosis
What is the term for painful or difficult urination?
dysuria
What is the serous membrane that lines the abdominal cavity and secretes fluid to reduce friction between organs?
peritoneum
Where do the renal arteries branch from the lateral wall of the aorta?
inferior to the SMA
Which abdominal quadrant contains the appendix?
right lower quadrant (RLQ)
Which anatomical characteristic helps distinguish portal veins from hepatic veins on an ultrasound image?
Portal veins have more echogenic walls.
Which of the following describes Budd-Chiari syndrome?
Thrombosis within the hepatic veins, causing blood to back up into the liver.
Which of the following describes the anatomical reason for the right kidney's position relative to the left kidney?
it lies slightly lower dur to the presence of the liver
Which of the following is considered an accessory organ of the gastrointestinal system, rather than part of the continuous GI tract?
liver
Which of the following is NOT one of the four primary tissue types in the human body?
cartilage tissue
Which of the following is the opposite of echogenic?
sonolucent
Which of the following modalities uses ionizing radiation from outside the patient?
CT
Which of the following muscles lie posterior to the kidneys?
Psoas and quadratus lumborum
Which of the following supplies oxygenated blood to the liver?
hepatic artery
Which of the following terms describes a simple cyst?
anechoic
Which of the following transducer movements is the best for a majority of breast ultrasound examinations?
fan
Which one of the following lies freely over the intestines similar to an apron?
Greater Omentum
Which one of the following patient positions is best for imaging the spleen?
right lateral decubitus
Which one of the following patient preparations is required before an abdominal ultrasound examination?
take nothing by mouth for 6 to 8 hours before the examination
Which one of the following syndromes is a result of excessive secretion of cortisol?
Cushing
Which of the following vessels lies posterior and inferior to the pancreas?
superior mesenteric artery
Which one of the following vessels passes anterior to the uncinate process of the pancreas?
superior mesenteric artery
Which organ produces bile that is stored in the gallbladder?
liver
Which set of organs is located in the retroperitoneal space?
kidneys, aorta, and pancreas (most parts)
Which vascular structure is used as a landmark in locating the celiac trunk?
Superior mesenteric artery


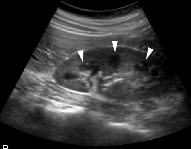
renal pyramids



renal artery


vascular supply


renal parenchyma