1/108
Looks like no tags are added yet.
Name | Mastery | Learn | Test | Matching | Spaced | Call with Kai |
|---|
No analytics yet
Send a link to your students to track their progress
AC joint space
What space is being indicated in this image?

2-4mm
What is the normal measurement for the AC joint space?

Acromiohumeral joint space
What space is being indicated in this image?

AP Internal Rotation of Shoulder
What is the name of the radiographic projection seen here?

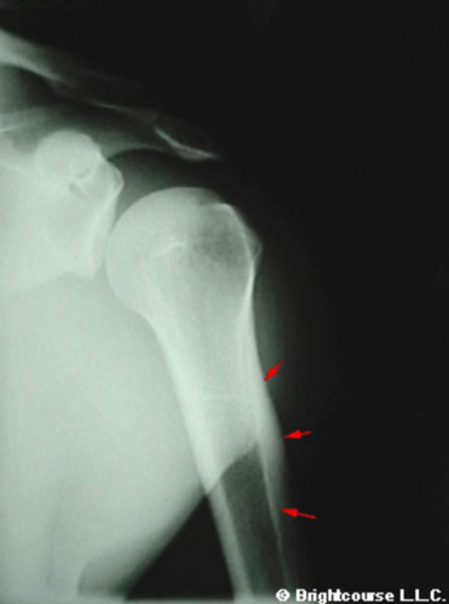
Soft tissue
What is being pointed out by the arrows in this image?

Distal clavicle
What is being indicated by the number 1?

AC joint space
What is being indicated by the number 2?

7-11 mm
What is the normal measurement for the Acromiohumeral joint space?
Deltoid tuberosity
What is being pointed out by the arrows in the image?

Lesser tubercle
What is being pointed out by the arrows in the image?

4-5 mm
What is the normal measurement for the Glenohumeral joint space?
11-13 mm
What is the normal measurement for the coracoclavicular distance?
60 degrees
What is the average measurement for the axial relationship of the shoulder in males?
62 degrees
What is the average measurement for the axial relationship of the shoulder in females?
Acromion process
What is being indicated by the number 3?

60-62 degrees
What is the normal measurement for the Humeral Axial Line?
Anterior shoulder dislocation
What conditions would can an increases in the Acromiohumeral joint space?
Lateral border of scapula
What is being identified in this image?

Proximal shaft of humerus
What is being pointed out by the arrows in the image?

Coracoid process
What is being circled in the image?

Acromion process
What is being pointed out by the arrow in the image?

Spine of the scapula
What is being identified in this image?

Coronoid tubercle
What is being pointed out by the arrows in the image?

Mid clavicle
What is being pointed out by the arrows in the image?

1st rib
What is being pointed out by the arrows in the image?

Coracoclavicular joint space
What is being pointed out by the arrow in the image?

3rd rib
What is being pointed out by the arrows in the image?

Coracoid process
What is being pointed out by the arrows in the image?

AP External Rotation of Shoulder
What radiographic projection is the Acromiohumeral joint assessed upon?
Proximal radioulnar joint
A complete fracture through the proximal shaft of the ulnar may cause a dislocation of what joint?
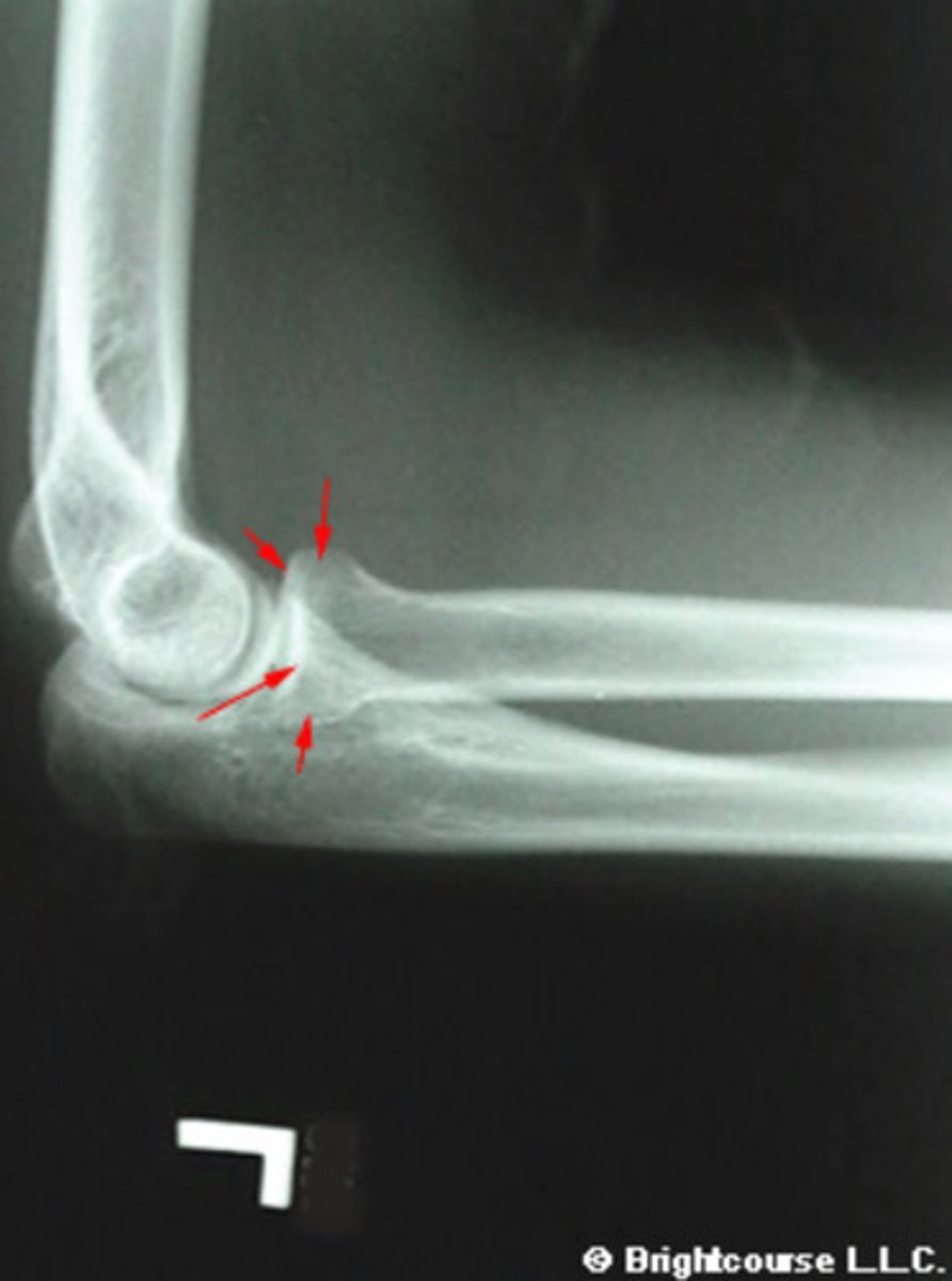
Olecranon fossa
What structure is being pointed out by the arrows?

Glenohumeral joint space
What space is being identified in this image?

Supracondylar region
What is the most common location for an elbow fracture in a child?
Radial head/neck
What is the most common location for an elbow fracture in an adult?
AP elbow
What radiographic projection is used to assess the carrying angle?
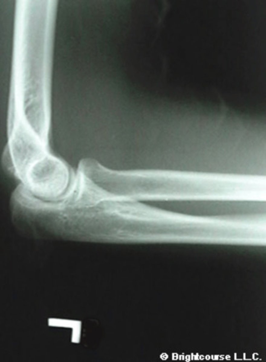
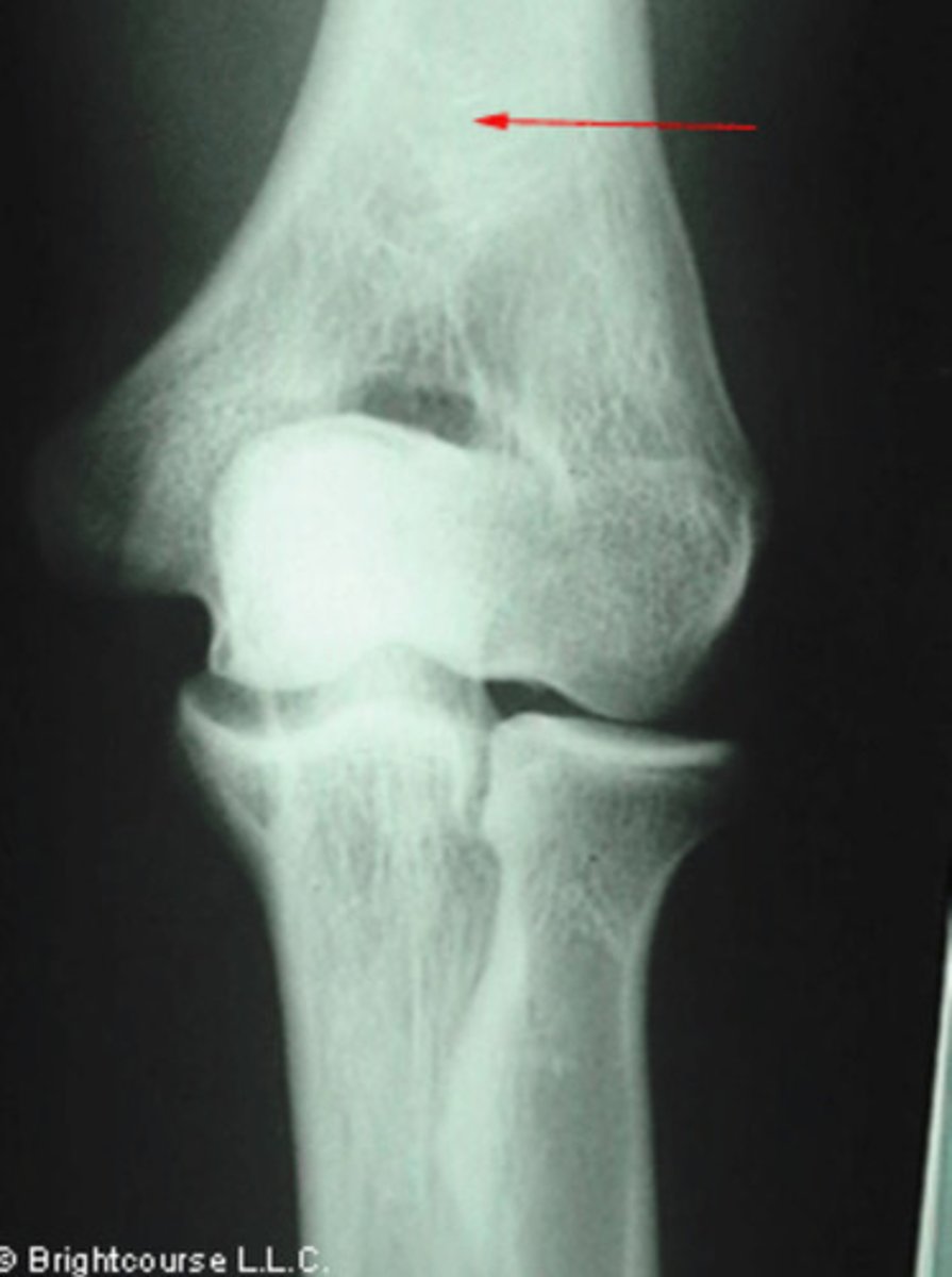
Through the Capitellum
What is the normal measurement for the anterior humeral line?
154-178 degrees
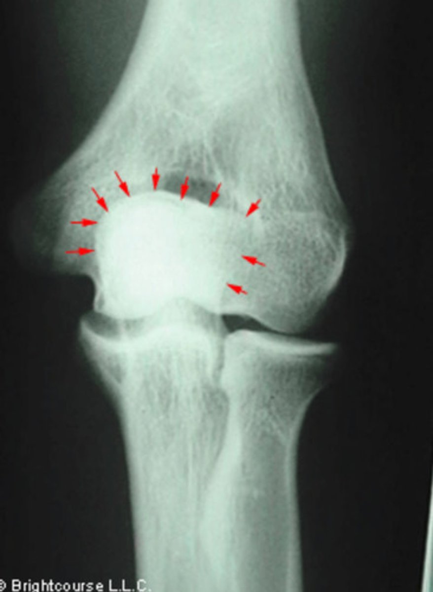
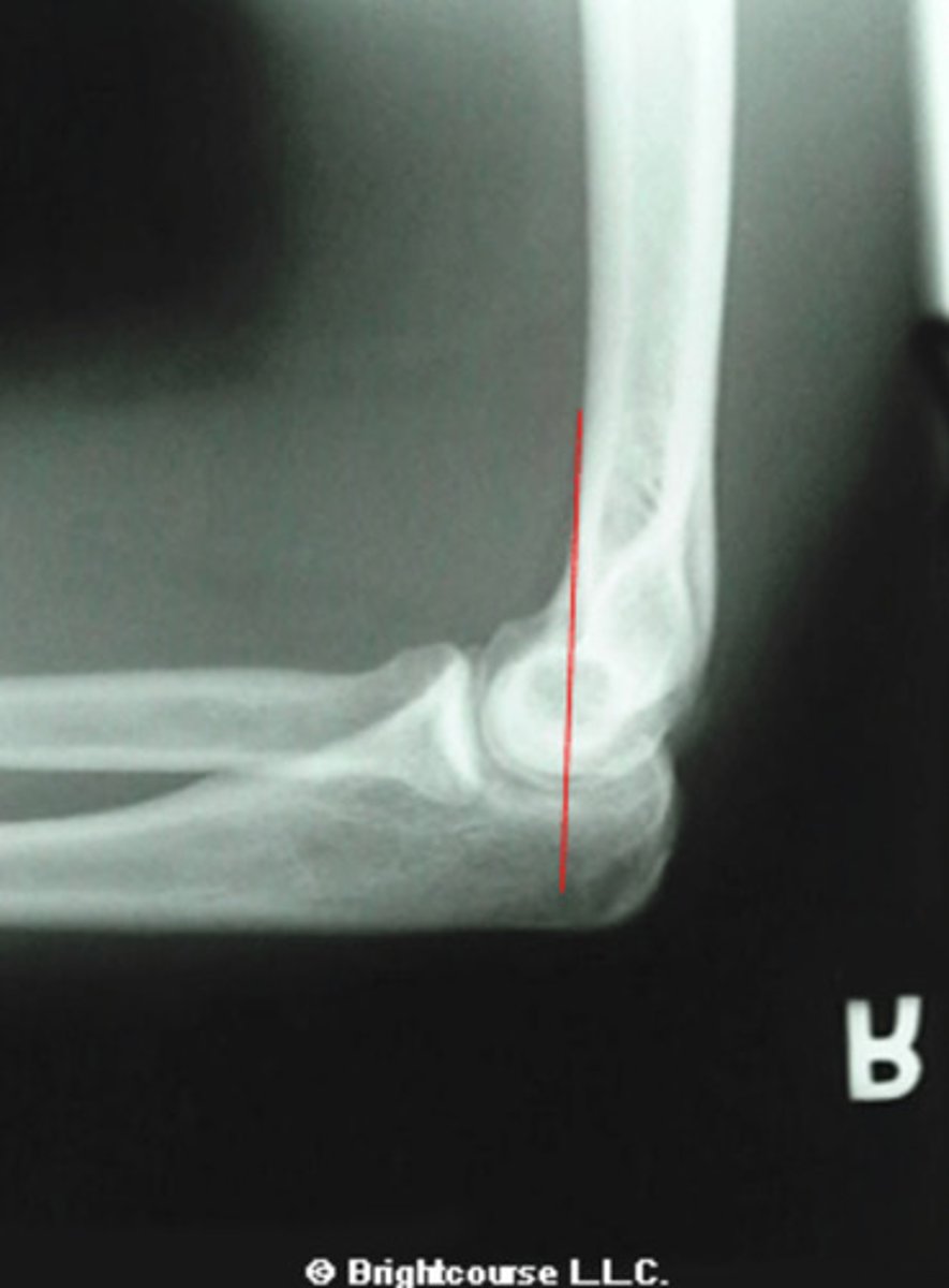
What is the normal range for the carrying angle of the elbow?
Coronoid process of the ulna
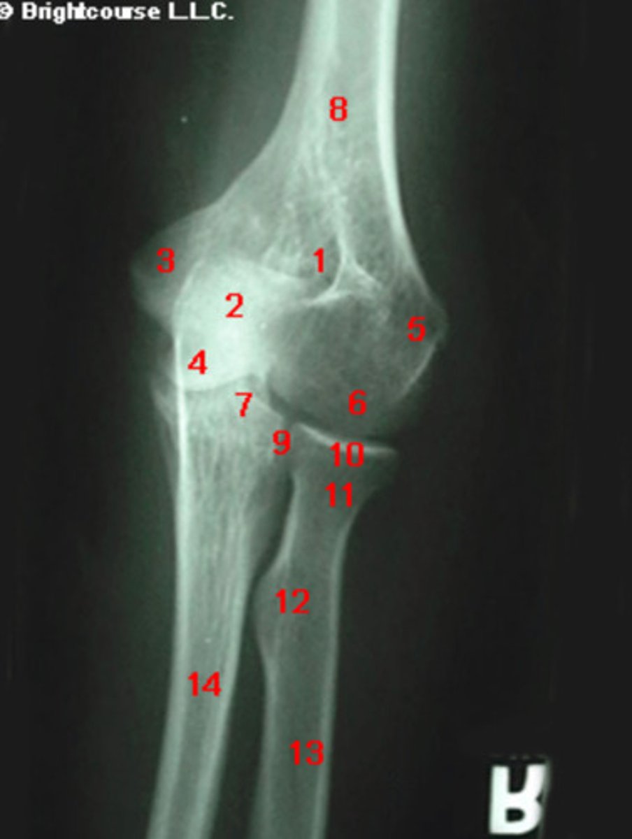
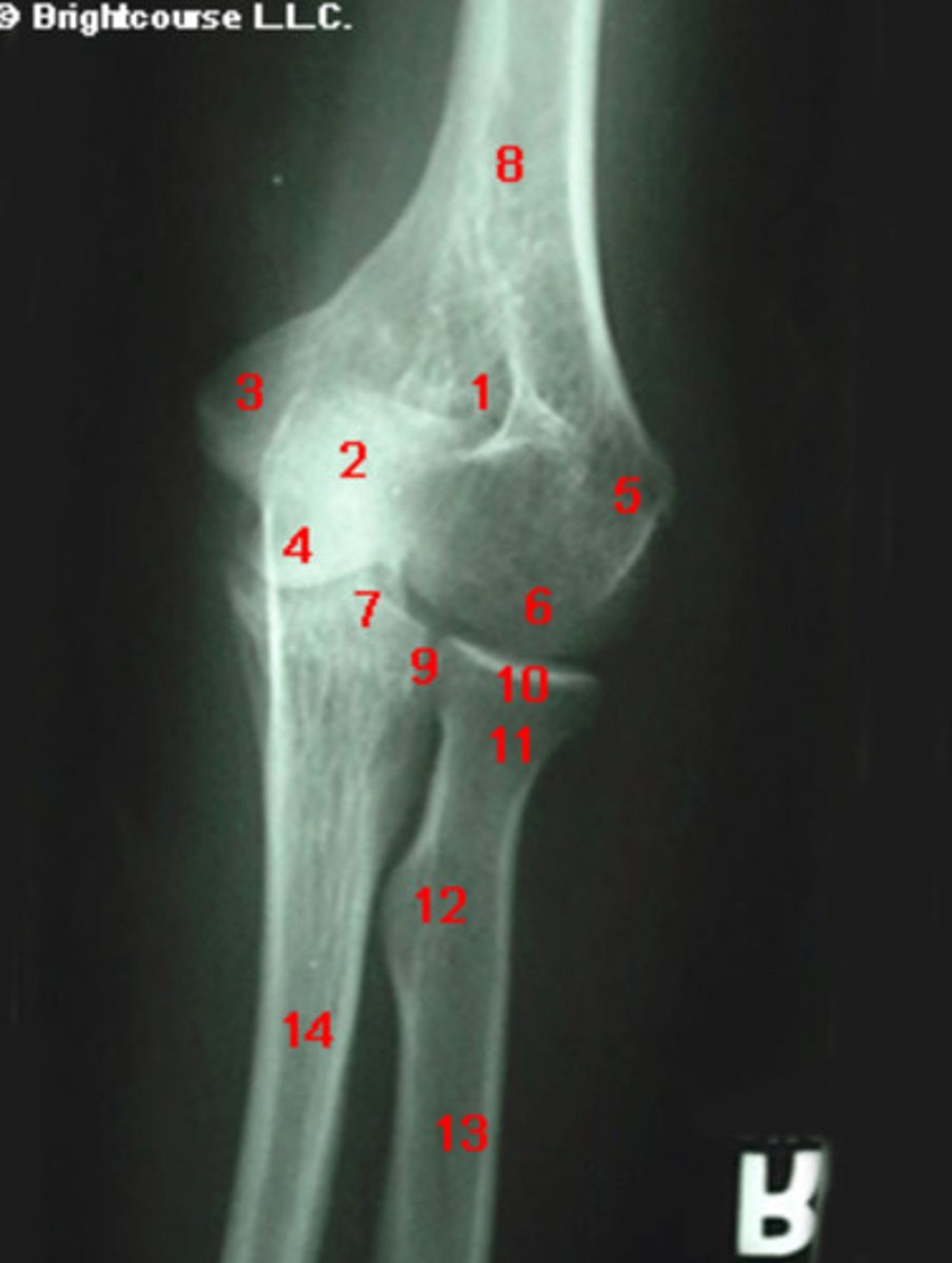
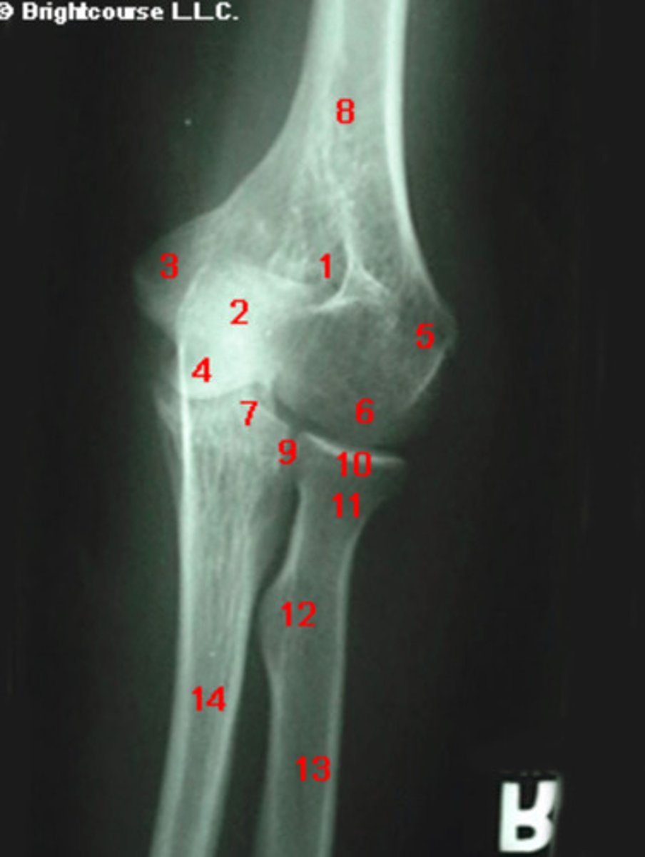
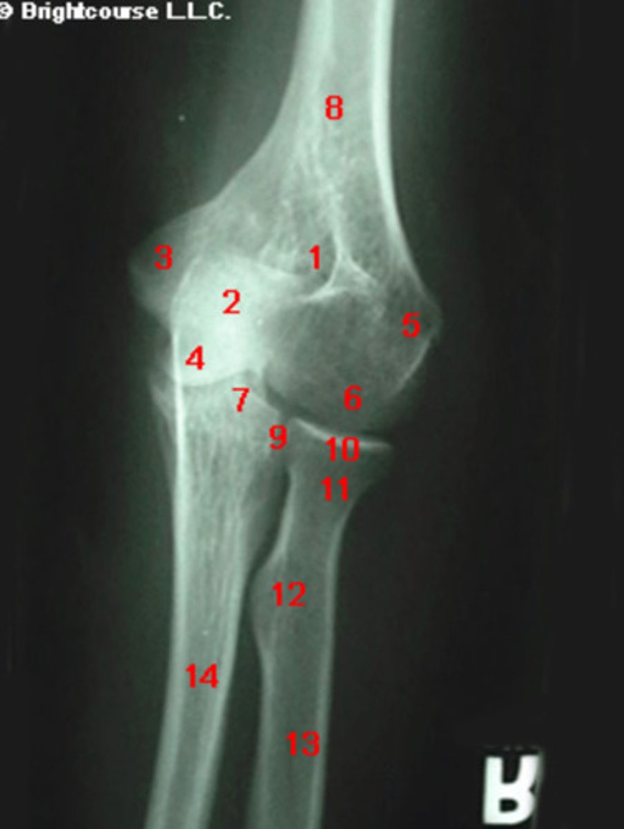
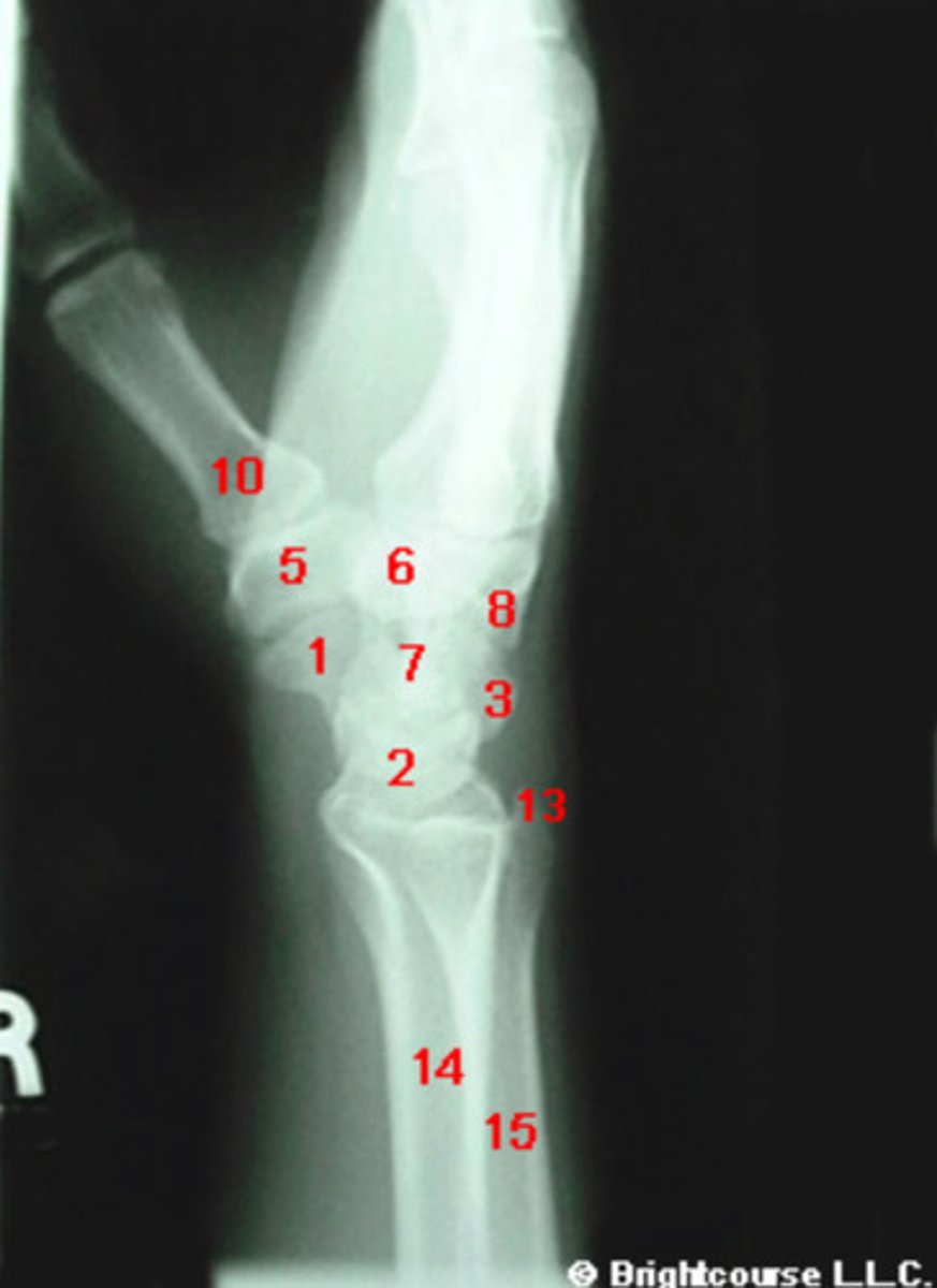
What structure is indicated by number 7?

Capitellum
What structure is being pointed out by the arrows?

Olecranon fossa
What structure is indicated by number 1?

Lateral epicondyle of humerus
What structure is indicated by number 3?

Capitellum
What structure is indicated by number 6?

Radial neck
What structure is indicated by number 11?

Medial epicondyle of humerus
What structure is indicated by number 5?

Radial tuberosity
What structure is indicated by number 12?

72-95 degrees
What is the normal range for the humeral angle of the elbow?
72-99 degrees
What is the normal range for the ulnar angle of the elbow?
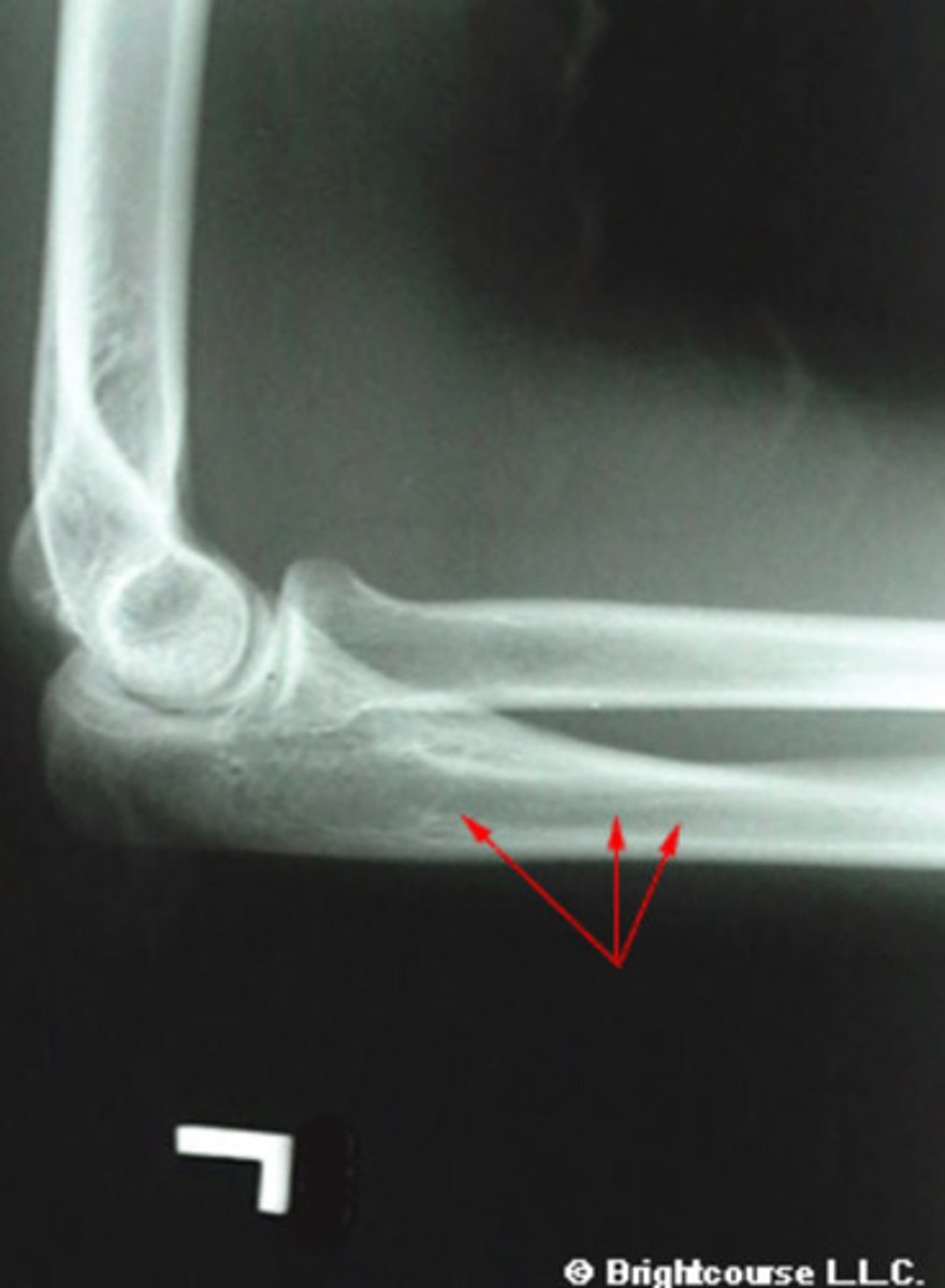
Lateral elbow
What is the name of the radiographic projection?

Olecranon process
What structure is being pointed out by the arrows?

Distal shaft of humerus
What structure is being pointed out by the arrow?

Proximal shaft of ulnar
What structure is being pointed out by the arrows?

PA, internal oblique, and lateral
What are the standard plain film radiographic projections for the wrist?
Anterior humeral line
What line is being drawn in this image?

110-150 degrees
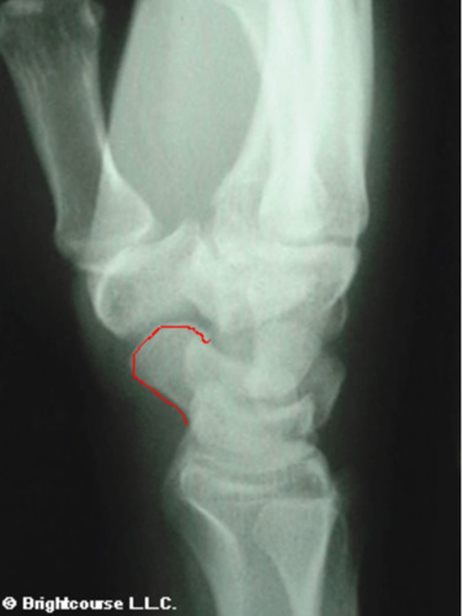
What is the normal range for the Carpal angle?
72-95 degrees
What is the normal range for the radioulnar angle?
79-94 degrees
What is the normal range for the radius angle?
Dislocation, fracture, arthritis, or ligament damage
What conditions can alter the normal carpal alignment?
Negative ulnar variance
An ulnar variance measuring 15mm is considered to be?
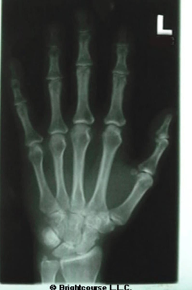
PA Hand
What is name of the radiographic projection?

Capitate
What structure is indicated by number 7?

3 films
What is the minimal number of plain film radiographic projections for the initial assessment of a single digit?
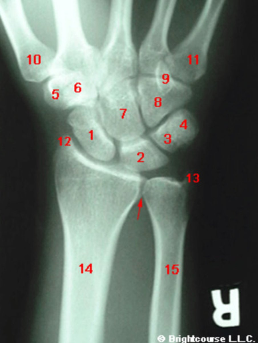
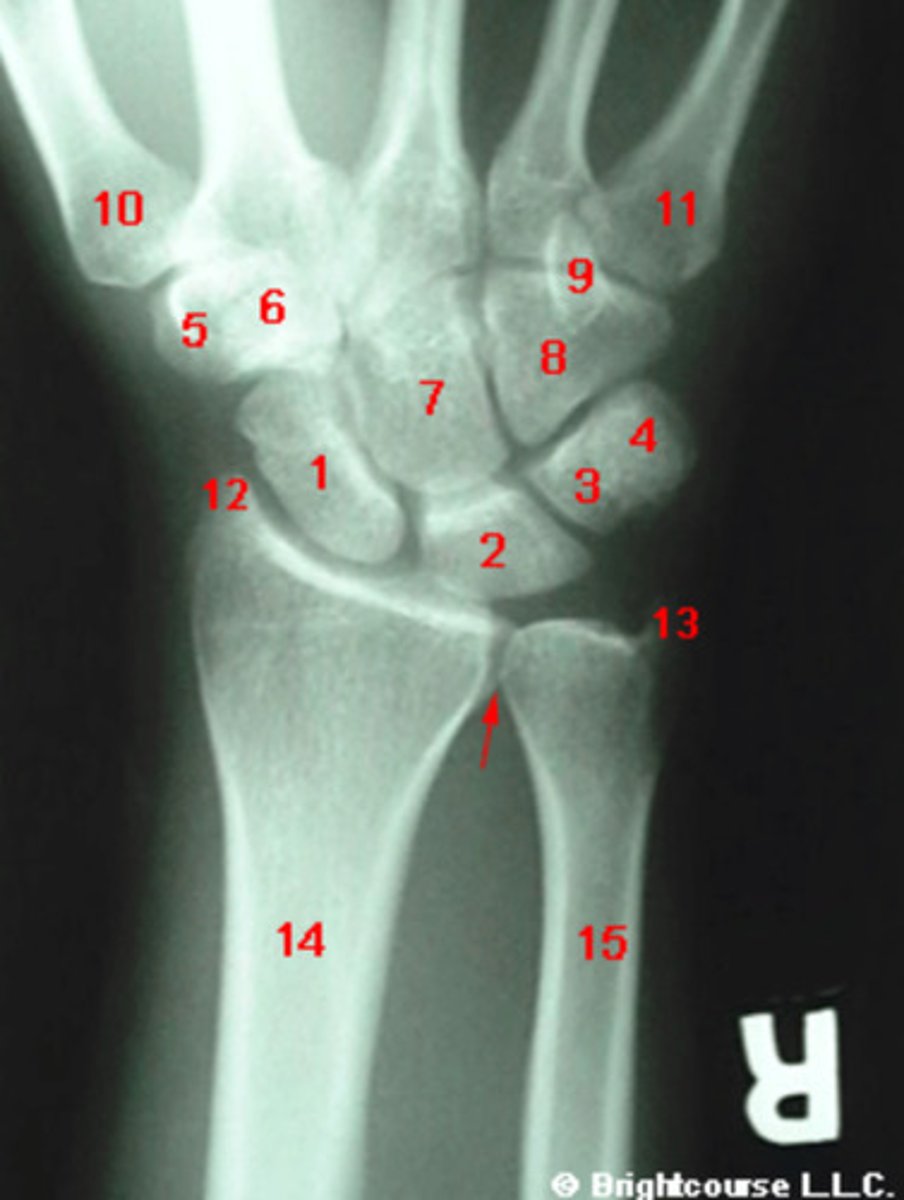
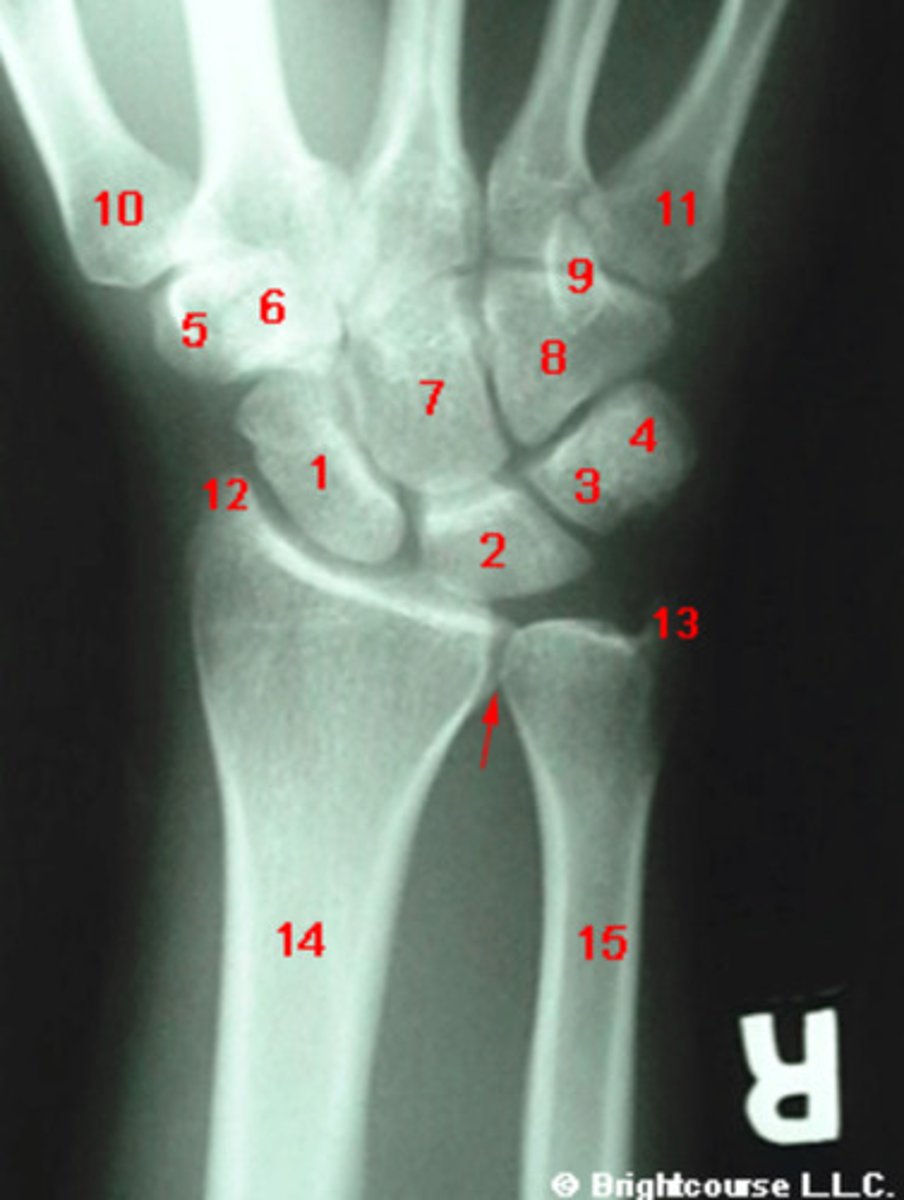
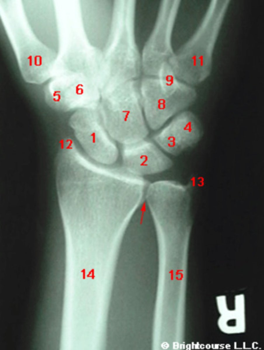
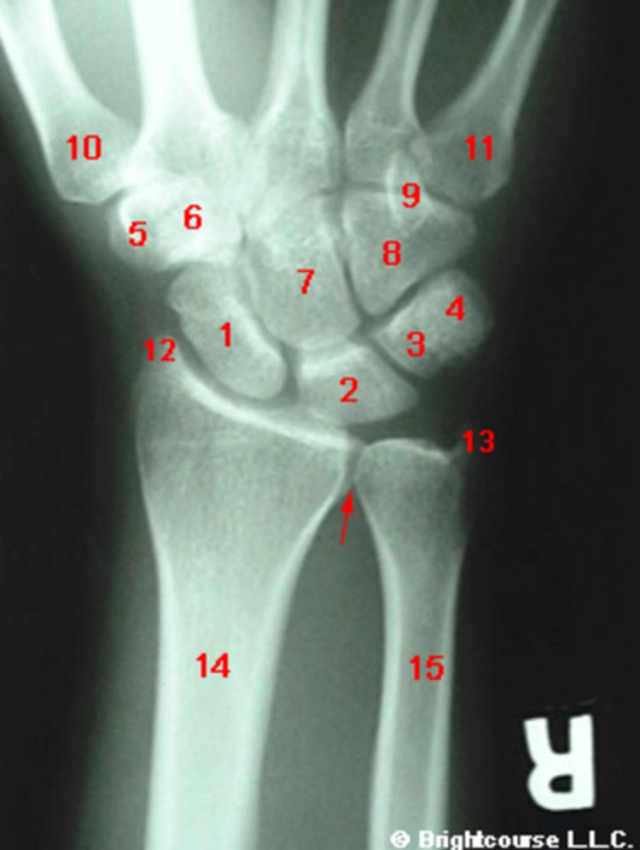
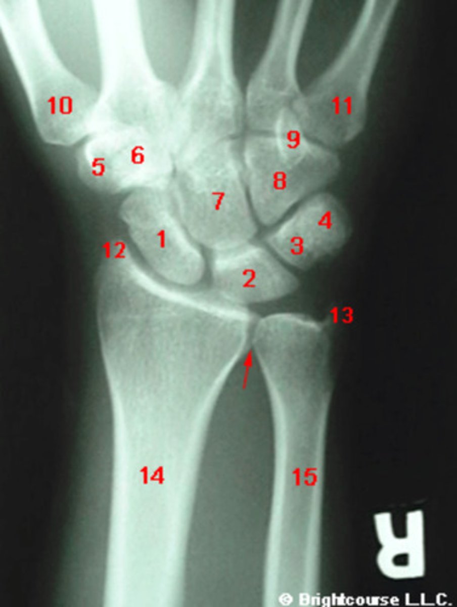
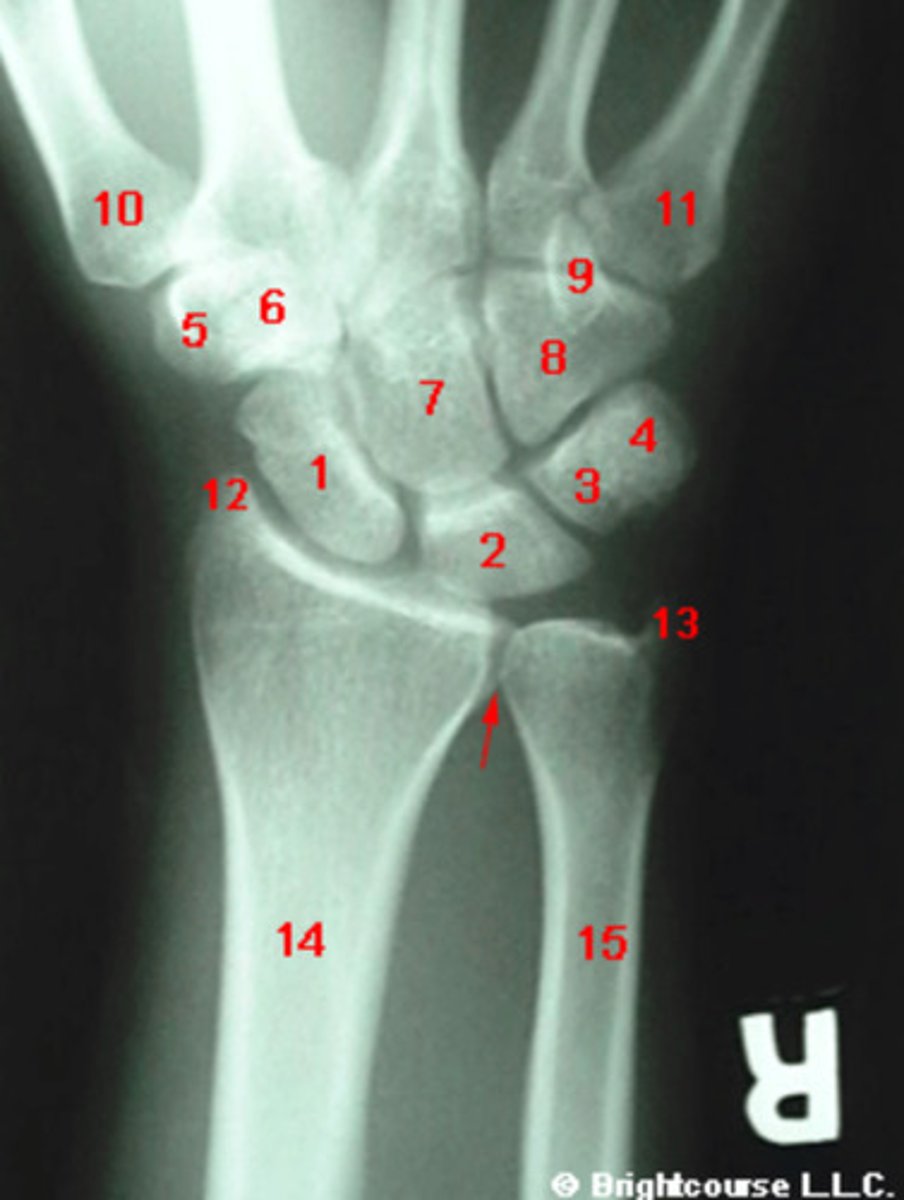
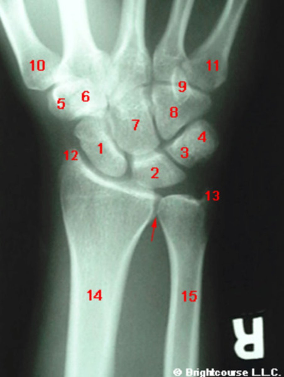
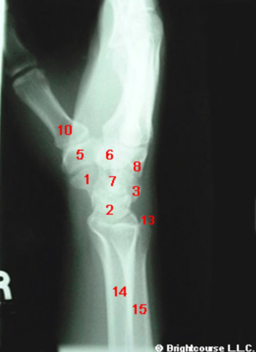
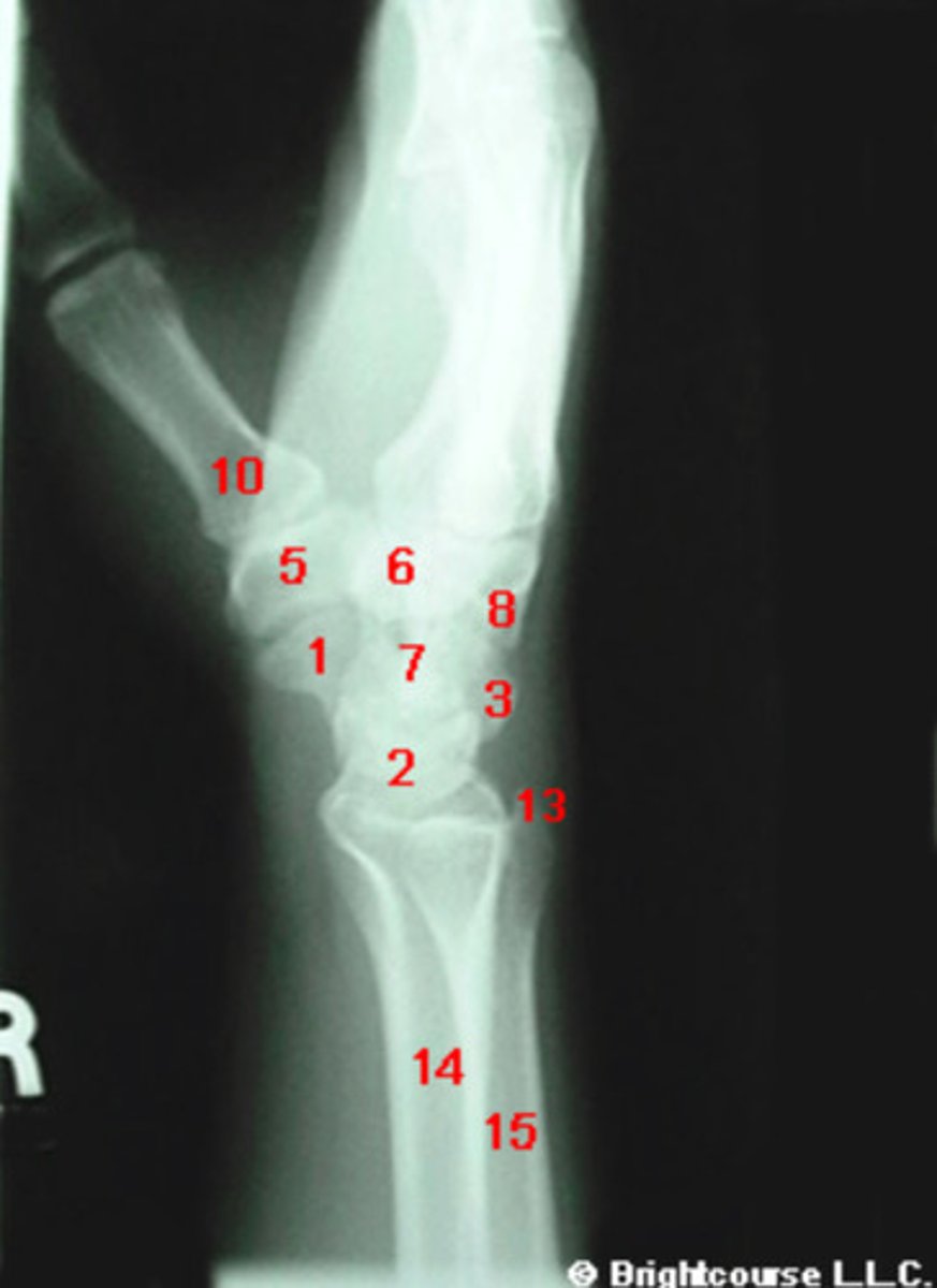
Scaphoid
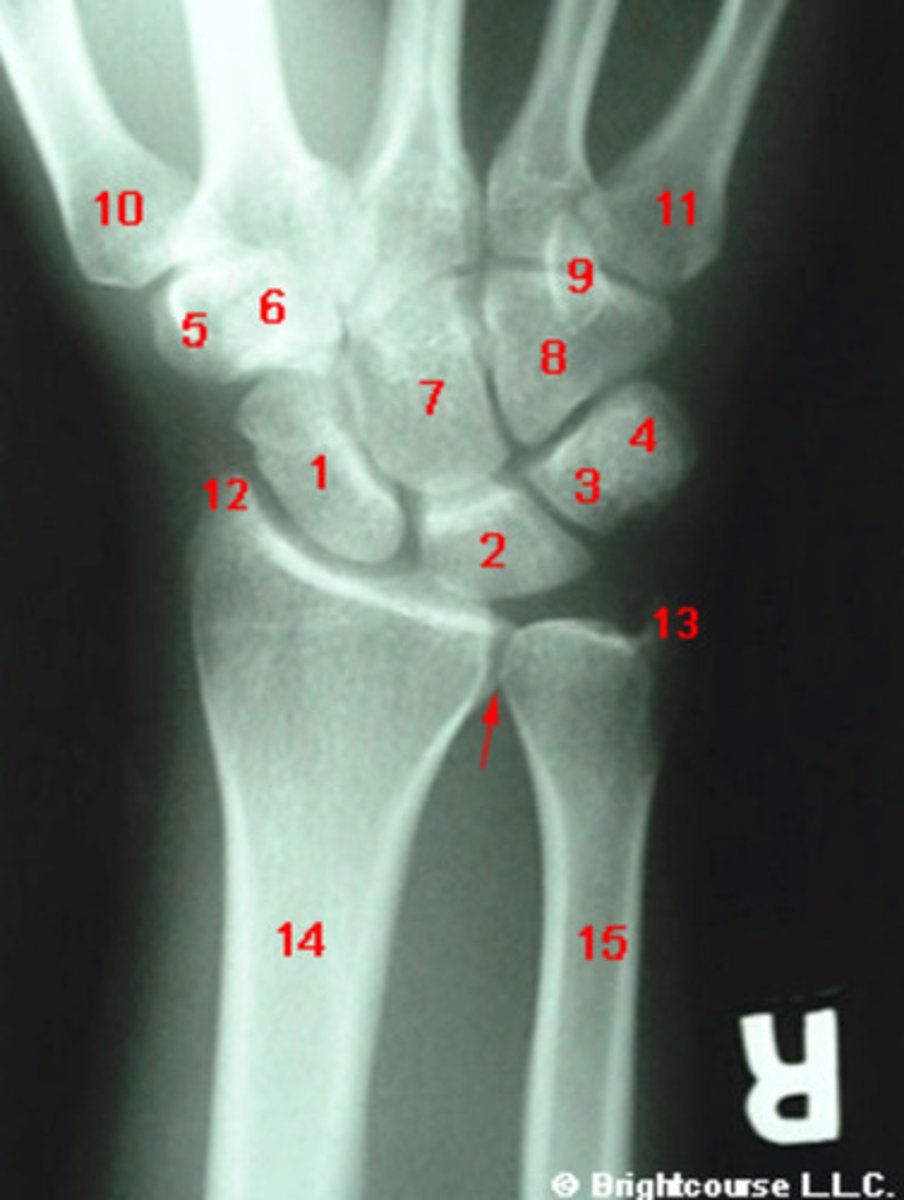
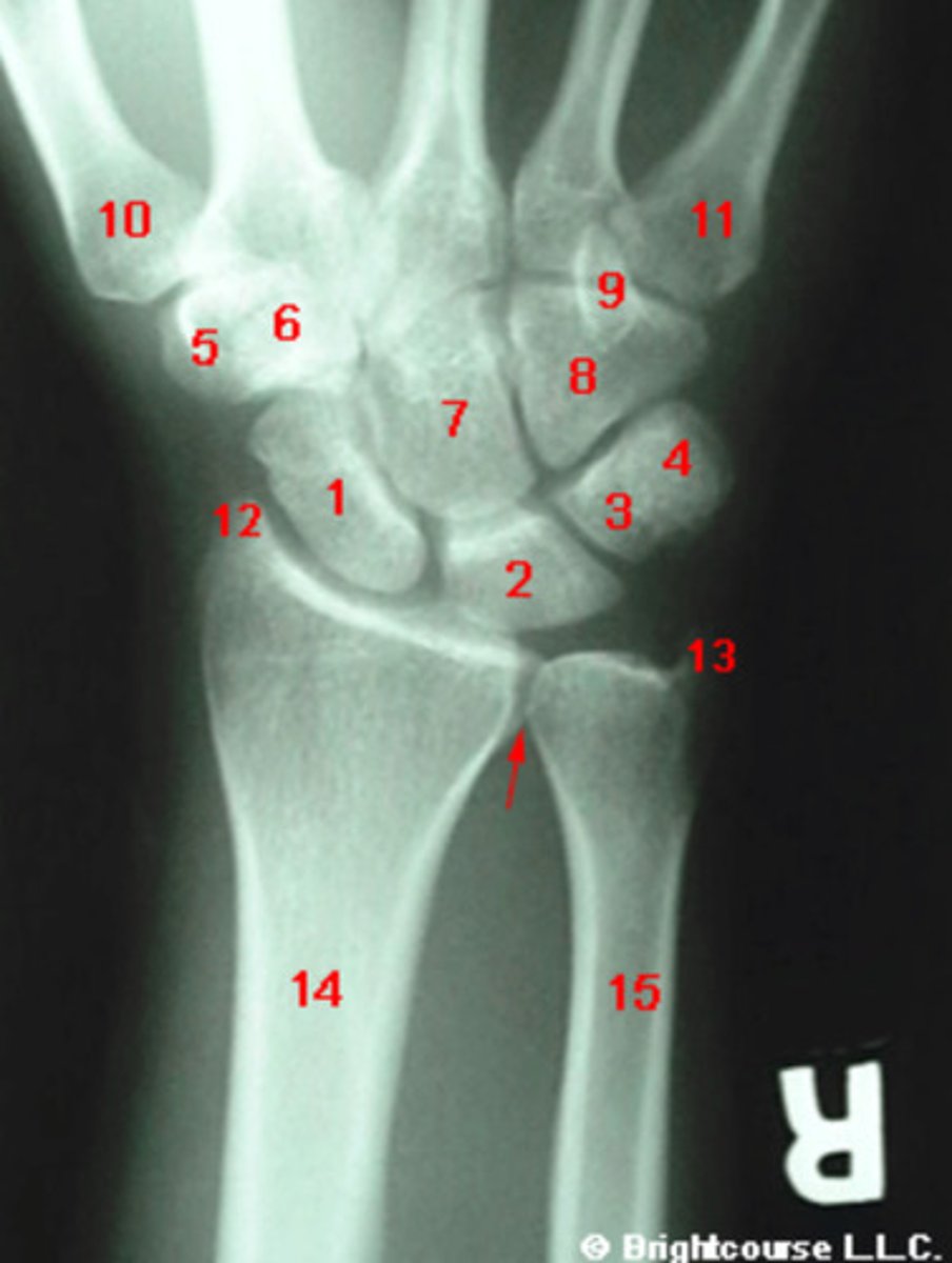
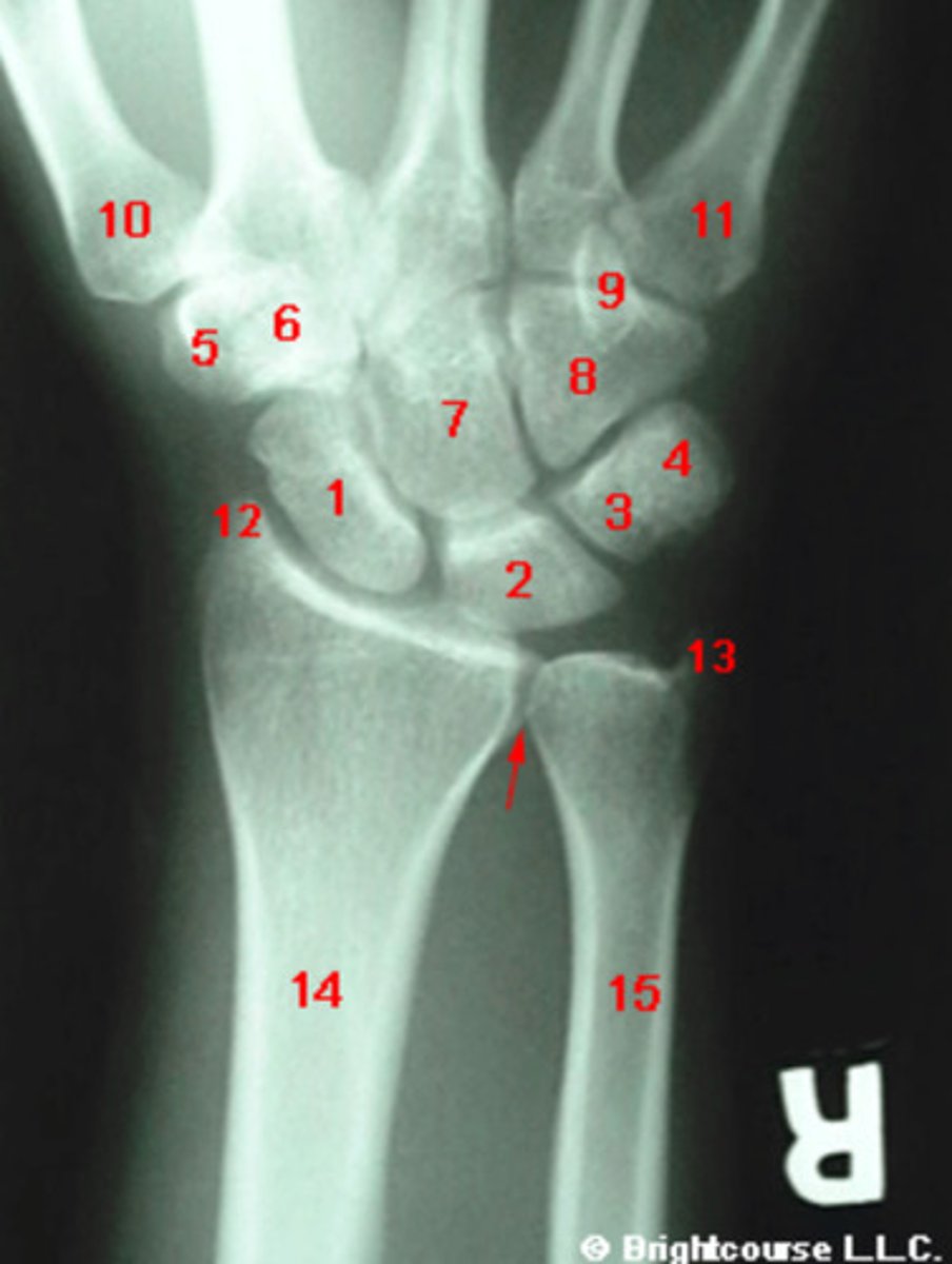
What structure is indicated by number 1?

Lunate
What is the most commonly dislocated carpal bone?
Lunate
What structure is indicated by number 2?

Scaphoid
What is the most commonly fractured carpal bone?
Triquetrum
What is the 2nd most commonly fractured carpal bone in an adult?
Triquetrum
What structure is indicated by number 3?

Transverse fracture of the distal radius
What is a Colle's fracture?
Pisiform
What structure is indicated by number 4?

Positive ulnar variance
An ulnar variance measuring 7mm is considered to be what?
Trapezium
What structure is indicated by number 5?

Lunate
What structure is being circled in this image?

Trapezoid
What structure is indicated by number 6?

Lunate
What structure is indicated by number 2?

Hamate
What structure is indicated by number 8?

Styloid process of ulna
What structure is indicated by number 13?

Styloid process of radius
What structure is indicated by number 12?

Hamate
What structure is indicated by number 8?

Triquetrum
What structure is indicated by number 3?

Capitate
What structure is indicated by number 7?

Hook of the hamate
What structure is indicated by number 9?

Scaphoid
What structure is indicated by number 1?

Trapezium
What structure is indicated by number 5?

Carpal angle
What angle is being assessed in this image?

Base of the first metatarsal
What structure is indicated by number 10?

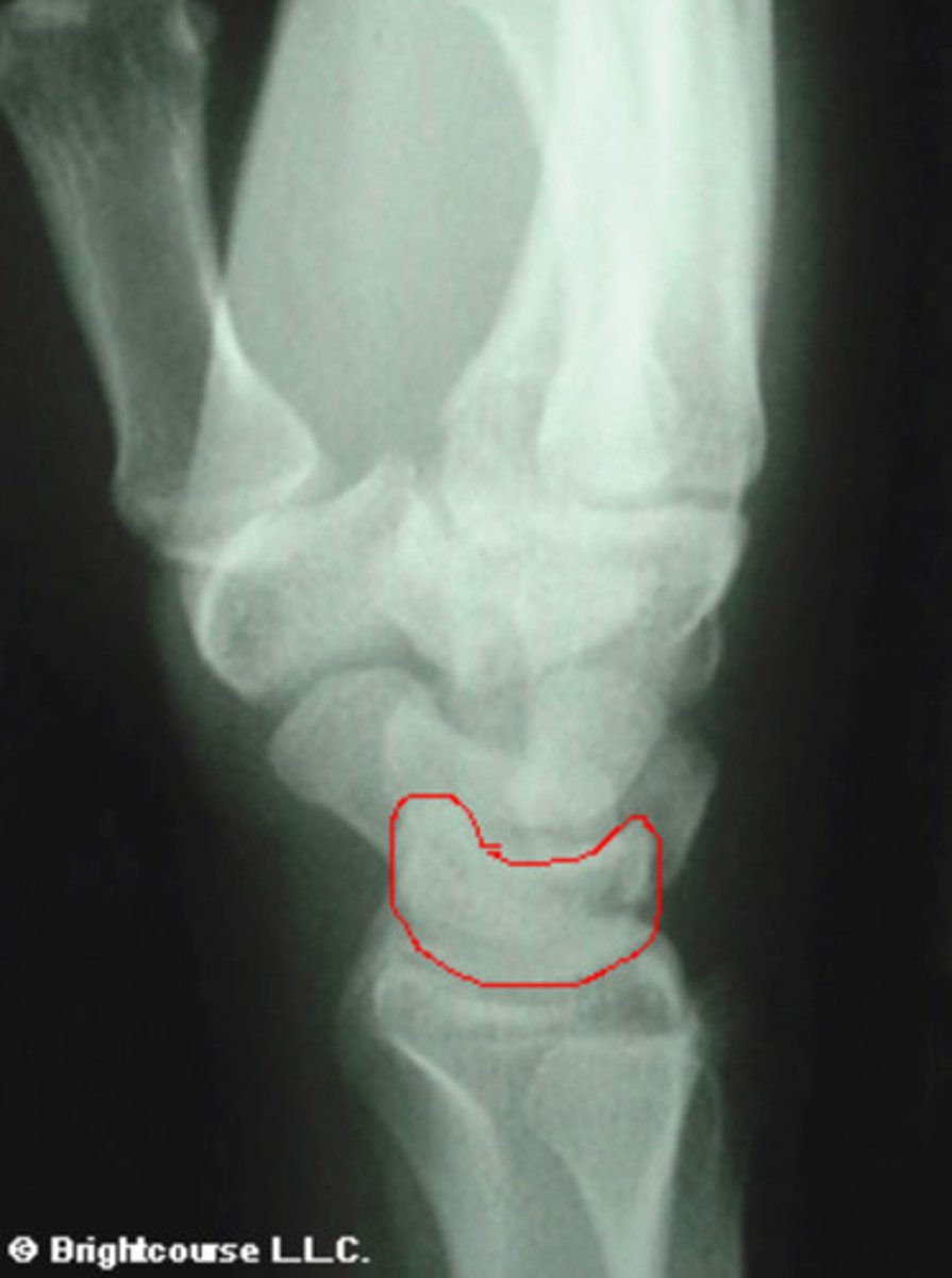
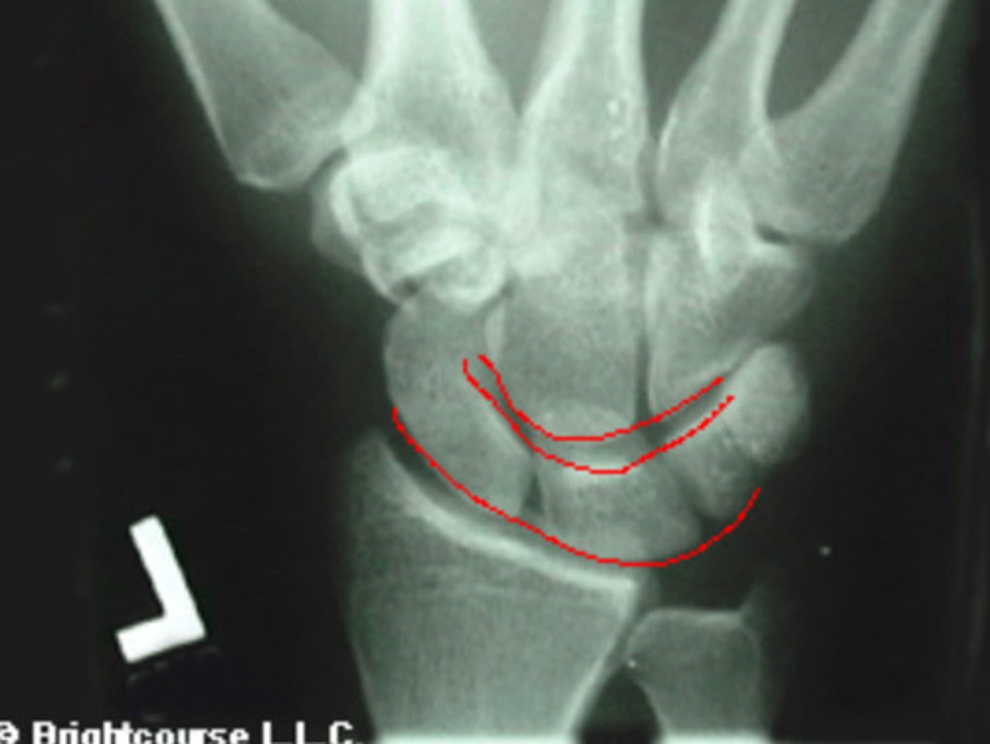
3 arcs of carpal alignment
What is being assessed in this image?

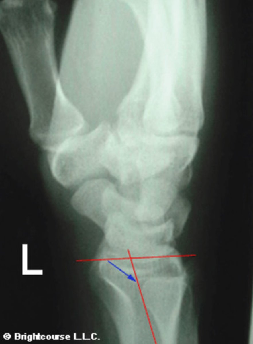
Radius angle
What angle is being assessed in this image?

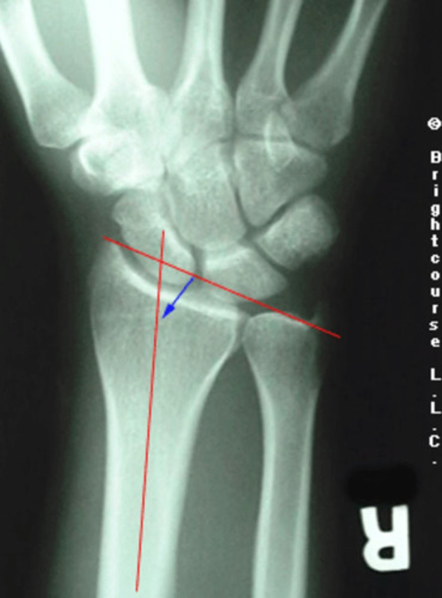
Radioulnar angle
What angle is being assessed in this image?

Soft tissue
What structure is being pointed out by the arrow?

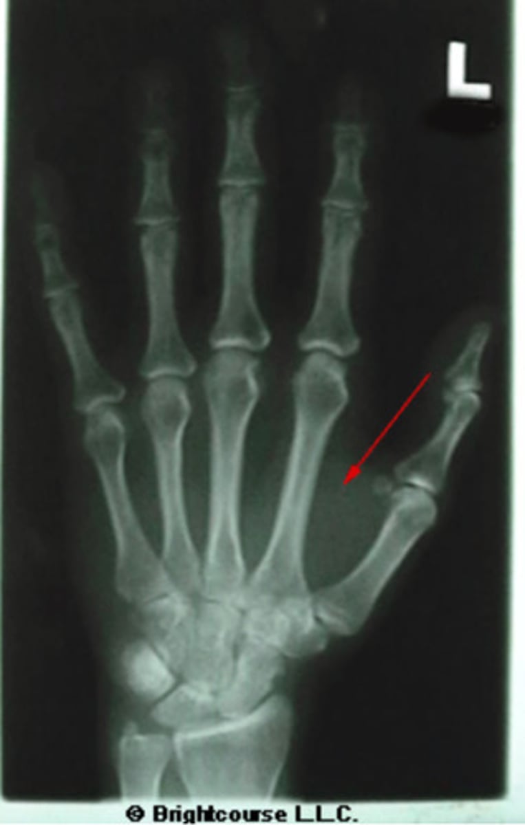
Sesmoid bone
What structure is being pointed out by the arrow?

Metacarpophalangeal joint
What structure is indicated by number 9?

Base of the 3rd metacarpal
What structure is indicated by number 6?

Internal oblique hand
What is the name of the radiographic projection?

Shaft of 3rd metacarpal
What structure is indicated by number 5?

Distal interphalangeal joint
What structure is indicated by number 7?

Internal oblique of shoulder
What is the name of the radiographic projection?

Trapezoid
What structure is indicated by number 6?

Distal radioulnar joint
What structure is being pointed out by the arrow?

Scaphoid
What structure is being outlined in this image?

Hamate
What structure is indicated by number 8?
