1/61
Name | Mastery | Learn | Test | Matching | Spaced | Call with Kai |
|---|
No analytics yet
Send a link to your students to track their progress
what part of the pancreas is NOT retroperitoneal
tail
pancreas extends from where to where
C loop of duodenum → hilum of spleen

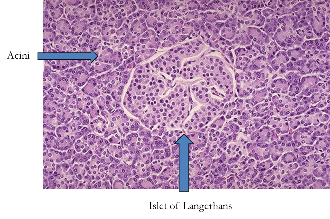
normal pancreas
what comprises 80% of pancreas
acini → produce bicarb (ductal cells) and digestive enzymes, proenzymes that need alkaline pH
digests starch into maltose (disaccharide)
amylase
digests triglycerides into monoglycerides and free FA
target for orlistat
lipase
most cases of acute pancreatitis can be traced to
biliary tract disease (gallstones) or alcoholism
reversible lesions, inflammation of pancreas
35-60% of cases also have gallstones
range from edema and fat necrosis to parenchymal necrosis with severe hemorrhage
oft autodigestion
trypsin → activates others
acute pancraetitis
what activates trypsinogen into trypsin
enterokinase in small intestine epithelial cell
head of pancreas in relation to duodenum
posterior
scorpion stings
can cause acute pancreatitis
clinical presentation of acute panc
epigastric abdominal pain, rad to back
partly relieved by sitting up and leaning forward
Cullen sign, Grey-Turner sign
N/V
Labs for acute panc
elevated serum and urine amylase
elevated serum lipase (more spec)
may see hypocalcemia
fat necrosis, saponification
leads to contraction of sphincter of oddi and obstruction of panc drainage
alcoholism
criteria for dx of panc
>= 2/3
ab pain consistent with the disease
serum lipase/amylase >3x ULN
characteristic imaging findings

cullen and greyturner sign
imaging for acute pancreatitis
US
CT if unclear
MRI
patients with acue panc and concurrent acute cholangitis should
undergo ERCP within 24h admission
if no cholangitis/jaundice, ___________ rather than ERCP should screen for choledocholiathiasis
MRCP or EUS

edematous pancreas bc acute pancreatitis

edematous panc with pseudocyst in tail of panc

normal panc with distinct borders
proposed mechanism: panc duct obstruction
blocks up → interstitial edema → impaired blood flow and ischemia → acinar cell injury
proposed mechanism: acinar cell injury
alcohol/drugs/trauma/ischemia/virus/hypercalcemia → releases intracellular proenzymes and lysosomal hydrolases → activation of enzymes → further acinar cell injury
proposed mechanism: defective intracellular transport of proenzymes in acinar cells
→ delivery of proenzymes to portion of cell containing lysosomal hydrolases → intracellular activation of enzymes → acinar cell injury
gross findings in acute pancreatitis
mild: swollen/edematous
severe: autodigestion → hemorrhagic (very vascular), liquefactive necrosis, fat necrosis (yellow nodules)
microscopic acute pancreatitis
diffuse interstilial edema bc microvascular leakage
interstitial hemorrhage from blood vessel destruction
liquefactive necrosis of pancreatic parenchyma
gat necrosis of pancreatic and peripancreatic fat
dystrophic calcification, early and extensively
immune respons to acute pancreatitis
initially neutrophils
→ macrophages
→ lymphocytes

acute pancreatitis

normal left, necrotic on right. red tinge in middle is hemorrhage
acute pancreatitis
complications of acute panc
shock
infection/abscess
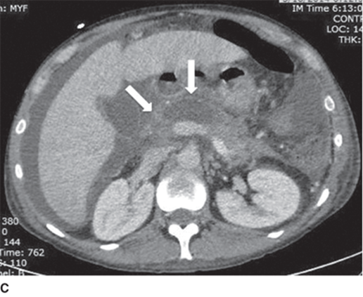
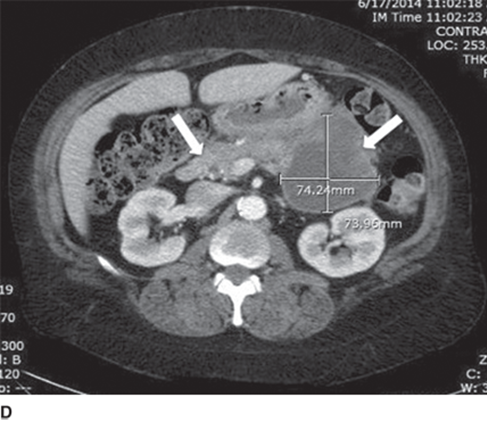
pseudocyst
calcifications
ARDS
DIC
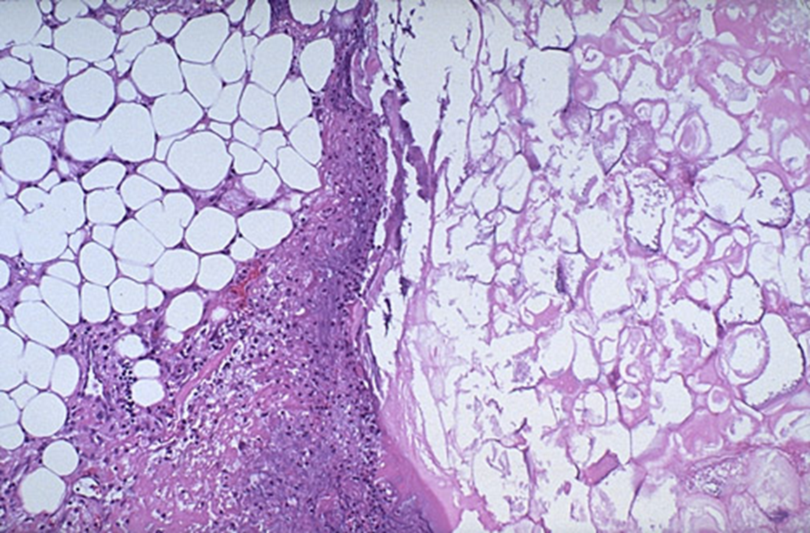
subcutaneous fat necrosis/pancreatic panniculitis
localized area of necroti and hemorrhagic tissue with enzymes surrounded by fibrous and granulation tissue that develop, try to wall off
NO epithelial lining
high amylase within cysts but normal to mild elevated in serum
pseudocysts
C * HOBBS
Calcium <8
HCT >10%
Oxygen <60
BUN >5
Base deficit >4
Sequestration of fluid >6L
24 mmol/L - serum bicarb
base deficit
fluid input - fluid output
fluid sequestration

how he would ask a ranson criteria q
1
predisposing factors for chronic pancreatitis
alcohol, cystic fibrosis/genetics (kids), idiopathic
chronic panc:
repeated/persistent acute panc with irreversible destruction of pancreatic parenchyma and replacement of parenchyma with ________
fibrosis,
dystrophic calcification
why would someone with chronic panc have decreased duodenal pH
decreased bicarb secretion from the damage
chronic panc have inc risk of
panc adenocarcinoma
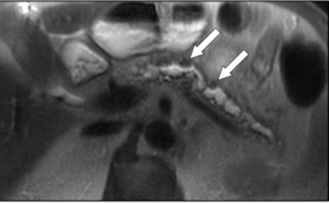
imaging on chronic pancreatitis
“chain of lakes” due to alternatin stenosis and dilated from fibrosis and calcifications
micro of chronic panc
fibrosis, inflammation, protein plugs in ducts
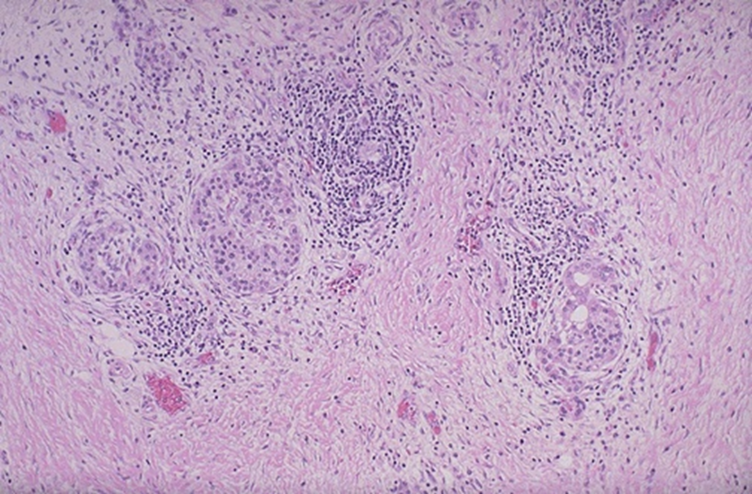
gross chronic panc
hard firm white pancreas

pink fibrosis, remnants of islets
chronic panc

irreg dilated ducts and side branches
chronic panc
pancreatic adenocarcinom arises from
pancreatic ducts, precursor dysplasia (PanIN pancreatic intraepithelial neoplasia)
doubles the risk of pancreatic adenocarcinoma
smoking
most pancreatic adenocarcinoma arises in
head of pancreas

progression to cancer
tumor in body or tail of pancreas may present as
diabetes
tumor in head of pancreas may present as Courvoisier sign:
obstructive jaundice
pale stools
distended and nontender palpable gallbladder
Trousseau syndrome/sign of malignancy
migratory thrombophlebitis with swelling and tenderness of extremities due to platelet aggregating factors and procoagulants from tumor or its necrotic products
tumor marker for pancreatic cancer
CA 19-9 (may be in others), not for screen but response to tx
gross panc adenocarcinoma
poor delineated, gray white hard mass
local infiltrate
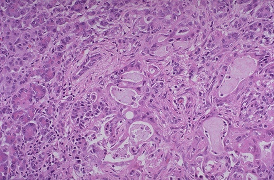
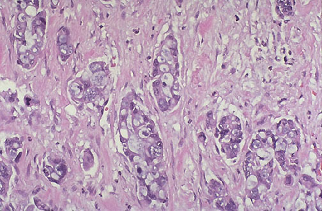
micro panc adenocarcinoma
individual tubular glands surrounded by stroma
atypia and desmoplasia
mucin production is specific for what in panc adenocarcinom
ductal origin

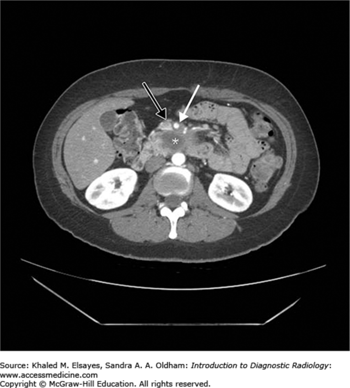
pancreatic adenocarcinoma. SMV abutted but not encased

pancreatic adenocarcinoma

normal on left
small irregular glands
panc adenocarcinoma.

poorly differentiated glands and extensive desmoplasia (collagenous stroma)
pancreatic adenocarcinoma
tx pancreatic adenocarcinoma
surgery, whipple
chemo
radiation
bad prognosis

whipple procedure