1/132
Looks like no tags are added yet.
Name | Mastery | Learn | Test | Matching | Spaced | Call with Kai |
|---|
No analytics yet
Send a link to your students to track their progress
Mesial to maxillary primary canines and distal to lower primary canines
Primate spaces are:
Mesial to maxillary primary canines and distal to lower primary canines
Mesial to maxillary permanent canines
Distal to maxillary permanent canines
Distal to maxillary primary canines and mesial to lower primary canines
true
T/F There is a strong correlation between stage of root formation and time of tooth eruption.
12
Permanent second molars usually erupt around _____________ years of age
b
Which of the following sentences is correct?
A) Both maxillary and mandibular permanent incisors are smaller than the primary incisors they are replacing.
B) Both maxillary and mandibular permanent incisors are larger than the primary incisors they are replacing.
C) There is no size differential between the mandibular permanent and primary incisors.
D) There is no size differential between the maxillary permanent and primary incisors.
B
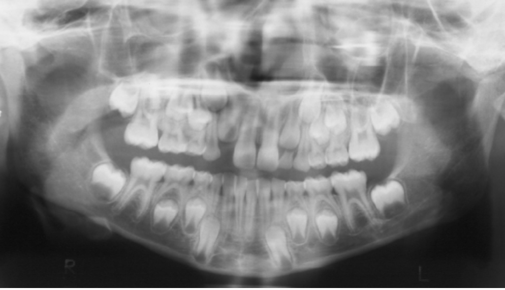
This patient is 7 years old. Mandibular centrals and laterals have erupted as well as maxillary centrals. Are you concerned that maxillary laterals have not yet erupted. Please see panoramic radiograph below. Which of the sentences is correct?
A) Maxillary lateral eruption is delayed given this patient's age.
B) Mandibular teeth usually erupt before the maxillary corresponding teeth, so it is not a concern maxillary laterals have not yet erupted.
C) Maxillary and mandibular corresponding teeth usually erupt at the same time, so maxillary permanent laterals may have to be brought into the arch surgically.
D) $Maxillary permanent laterals are ectopic.

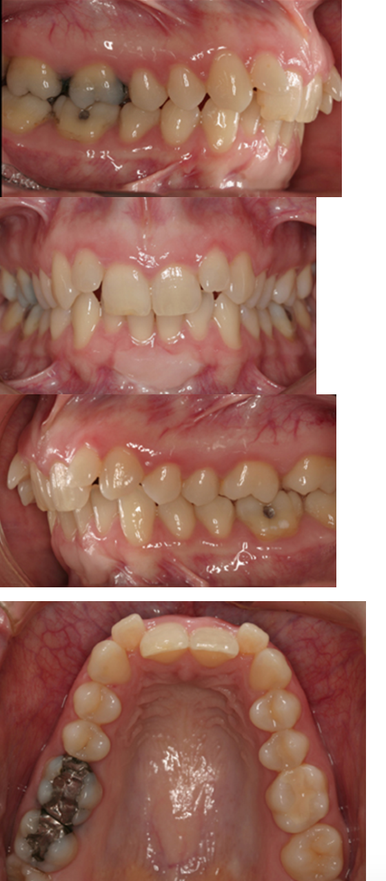
class II division 1
What is the Angle's classification for this patient?

class II division 1 subdivision right
What is the Angle's classification for this patient?

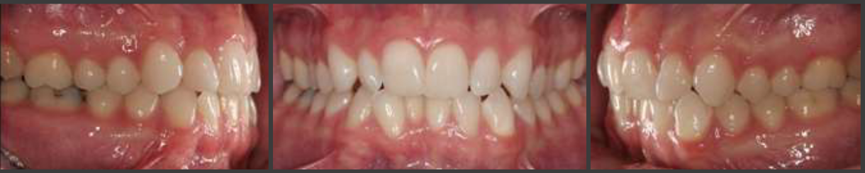
class II division 2
What is the Angle's classification for this patient?

class III
What is the Angle's classification for this patient?

convex
This patient's profile is:

Putting midfacial sutures in tension
A facemask (reverse-pull headgear) appliance is believed to be most effective by:
Applying tension to the mandibular condyle
Putting midfacial sutures in tension
Compressing the mandibular condyle
Compressing the midfacial sutures
Down and forward
During craniofacial growth, midface relocates:
no
You have an 18 year old patient who presents with a Class III malocclusion due to a mid-face deficiency. He is asking you if this is a good time to manipulate growth for treating this Class III malocclusion due to a mid-face deficiency and wants to know if he is a candidate for a Facemask (reverse-pull headgear). Is this a good time to treat this malocclusion using this appliance for growth modification?
B
You have a 6 year old patient with a retrognathic mandible. Mom has heard orthodontists can treat "small lower jaws". What will you tell her?
A) Orthodontists cannot manipulate growth for treating a retrognathic mandible at any age.
B) 6 years of age is not the best time to manipulate growth for treating a retrognathic mandible.
C) None of the answers are correct
D) 6 years of age is the perfect time to manipulate growth of the mandible and you recommend patient starts treatment right away.
Different tissues follow different growth trajectories
Scammon's curves show that:
Growth velocity changes during puberty
Why is timing important when orthodontic treatment plan includes growth modification for Class II patients?
midfacial deficiency
Premature ossification of the spheno-occipital synchondrosis most directly results in:
Net results of modeling and relocation
Cephalometric superimpositions primarily show:
Which sutures are active
Exact locations of bone deposition and resorption
Vertical facial growth
Net results of modeling and relocation
Double growth plates
Synchondroses are best described as:
A
According to Functional Matrix Theory:
A) Skeletal structures respond secondarily to the growth of surrounding soft tissues and functional spaces.
B) Condylar cartilage growth determines all facial skeletal relationships.
C) Sutures and synchondroses are the primary drivers of facial growth.
D) Craniofacial growth is solely determine by genetics.
A lateral radiographic projection of the skull
What does a lateral headfilm show?
5 feet
The standard distance from the X-ray source to the midsagittal plane in a cephalostat is
Captures detailed soft tissue in 3D
Which of the following is not a LIMITATION of cephalometric radiographs?
Potential for enlargement
Two-dimensional image
Superimposition of bilateral structures
Captures detailed soft tissue in 3D
Porion and Orbitale
The Frankfort Horizontal (FH) plane connects which two points?
Gonion and Menton
The Mandibular Plane (MP) connects:
Retrognathic mandible
Norm for SNB is 79 ±3 A patient with SNB = 73º most likely has a:
B
The inter‑incisal angle helps determine:
A) Chin prominence
B) Relationship between upper and lower incisors
C) Vertical facial growth
D) Sinus anatomy
Convex
Norm for ANB angle 3+2. Your patient has an ANB of 8 degrees. You would expect this patient to have a _____ profile
The position of lower incisor in the mandible
L1 to NB angle shows:
The position of lower incisor in the mandible
The relationship of upper incisor to lower incisor
The position of upper incisor in the maxilla
Amount of overbite
Growth direction of the mandible
The Y-Axis (S‑Gn) line represents:
They can be removed for cleaning
What is a common advantage of removable orthodontic appliances?
Anteroposterior, vertical, transverse
Dentofacial deformities are evaluated in which three planes of space?
Growth modification with orthodontics
Which treatment approach is typically used for severe malocclusion in growing patients?
Functional appliance (e.g., Twin Block)
Which appliance is commonly used for growth modification in Class II skeletal malocclusion with a retrognathic mandible?
Headgear
A 12 year old male who is growing presents with excessive overjet. You want to restrict forward growth of the maxilla. Which appliance is the best choice?
To undo dental compensations and place teeth ideally before surgery
What is the purpose of pre-surgical orthodontic decompensation?
Bilateral sagittal split osteotomy (BSSO)
Which surgical procedure is commonly used for MANDIBULAR advancement?
Maxillary advancement
A Le Fort I osteotomy is most commonly used for:
Genioplasty
Which surgical procedure is used to change the projection of the chin?
Skeletal dysplasia in one or more planes of space
The primary purpose of orthognathic surgery is to correct:
straight/orthognathic
how would you classify this profile

concave
how would you classify this profile

prognathic
in a CONCAVE profile the MANDIBULAR jaw is
Mesio-buccal cusp of upper 1st molar and buccal groove of lower 1st molar
Angles classification is Based on occlusal relationship of _____
normal occlusion (class I)
Buccal groove of the mandibular first permanent molar occludes with mesiobuccal cusp of the maxillary first permanent molar (Cl. I relationship) AND Teeth are on “line of occlusion”
class I malocclusion
Normal relationship of the first molars, but line of occlusion incorrect because of malposed teeth, rotations, or other causes
class I malocclusion
how would you class this occlusion

class II malocclusion
Mandibular first molar positioned DISTAL relative to maxillary first molar
class I (canine)
Mn canine occludes in the mesial fossa/embrasure of the Mx canine
class II (canine)
Mn canine occludes in distal fossa/embrasure or on cusp tip of Mx canine
class II division 1
class II molar relationship, LABIOVERSION/flaring of maxillary incisors, steep curve of spee, and excess overjet
class II division 2
class II molar relationship, LINGUOVERSION of maxillary CENTRAL incisors,
and labioversion of maxillary lateral incisors
division 2
which class II division is moree likeely to havee an ACCEPTABLE FACIAL PROFILE and normall palatal width
class I
when there is asymmetry in occlusion, the label SUBDIVISION (ex: subdivision left) denotes the ____ side
end-to-end/end-on class II
molars sit on top of each other

class III
MANDIBULAR first molar MESIALLY positioned relative to maxillary first
molar
pseudo class III
class I in retrruded (CR) position w/ anterior shift of mandible to CO
Pre-eruptive phase
phase of tooth eruption from the time the tooth begins formation to the first
radiographic evidence of hard tissue formation
pre functional
phase of tooth eruption from the time the crown is completed until function is
established
functional
phase of tooth eruption from the time occlusal function is established until the tooth is lost.
7-8
eruption of MAX CENTRAL
8-9
eruption of MAX LATERAL
11-12
eruption of MAX CANINE
10-11
eruption of MAX 1st PREMOLAR
10-12
eruption of MAX 2nd PREMOLAR
6-7
eruption of MAX 1st MOLAR
12-13
eruption of MAX 2nd MOLAR
6-7
eruption of MAN CENTRAL
7-8
eruption of MAND LATERAL
9-11
eruption of MAND CANINE
10-12
eruption of MAND 1st PREMOLAR
11-12
eruption of MAND 2nd PREMOLAR
6-7
eruption of MAN 1st MOLAR
11-13
eruption of MAND 2nd MOLAR
palmer (1-8 or a-b in each arch from mesial to distal)
what is the tooth numbering system used in Ortho
true
T/F eruptive movements begin soon after root formation is evident
ectopic eruption
teeth arre not developing/eruptting in their normal positions
max 1st molars and canines
most common teeth that have eectopic eruptions
resorption (of bone and primary roots)
rate limiting factor of preemergent eruption
true
T/F females tend to experience earlier eruption than males
lingual/palatal
permanent dentition begins eruption ______ to the primary dentition
true
T/F a generalized delay in primary eruption with corespond with a delay in permanent eruption
type I
primary dentition with adequate primate spacing

type II
primary dentition with no primate spacing

mx canine and lateral and mn first molar and canine
PRIMATE SPACING is between
incisor liability
difference in mesio distal width between primary incisor and permanent incisors
leeway space
difference in size between large prrimary canines and molars and the smaller permanent canines and premolars
early mesial shift
mesial shift of permanent first molars that occurs before loss of primarry molars, uses PRIMATE SPACING
late mesial shift
mesial shift occurs after loss of primary molars, uses LEEWAY SPACE
true
T/F the SEQUENCE of tooth eruption is generally more important than TIME of eruption
false
T/F MAXILLARY teeth usually erupt before corresponding MANDIBULAR teeth
true
T/F primary molars and canines are larger than the permanent canines and premolars that take their place
true
T/F the head and upper body mature before the lower body
5-6
90% of cranial vault growth is complete by ____ years of age
spheno-occipital synchondrosis
post natal growth of CRANIAL BASE occurs mainly at ___
spheno-occipital synchondrosis
MIDFACIAL deficiencies reresult from premature ossification and fusion of the _____
head gear
intended to COMPRESS MIDFACIAL sutures SLOWING GROWTH
face mask (reverse head gear)
intended to INCREASE TENSION on midfacial sutures INCREASING GROWTH
condylar cartilage
mandibular growth plate
posteriorly
vertical growth of mandible is caused by the condyle growing more ______