1/28
Looks like no tags are added yet.
Name | Mastery | Learn | Test | Matching | Spaced | Call with Kai |
|---|
No analytics yet
Send a link to your students to track their progress

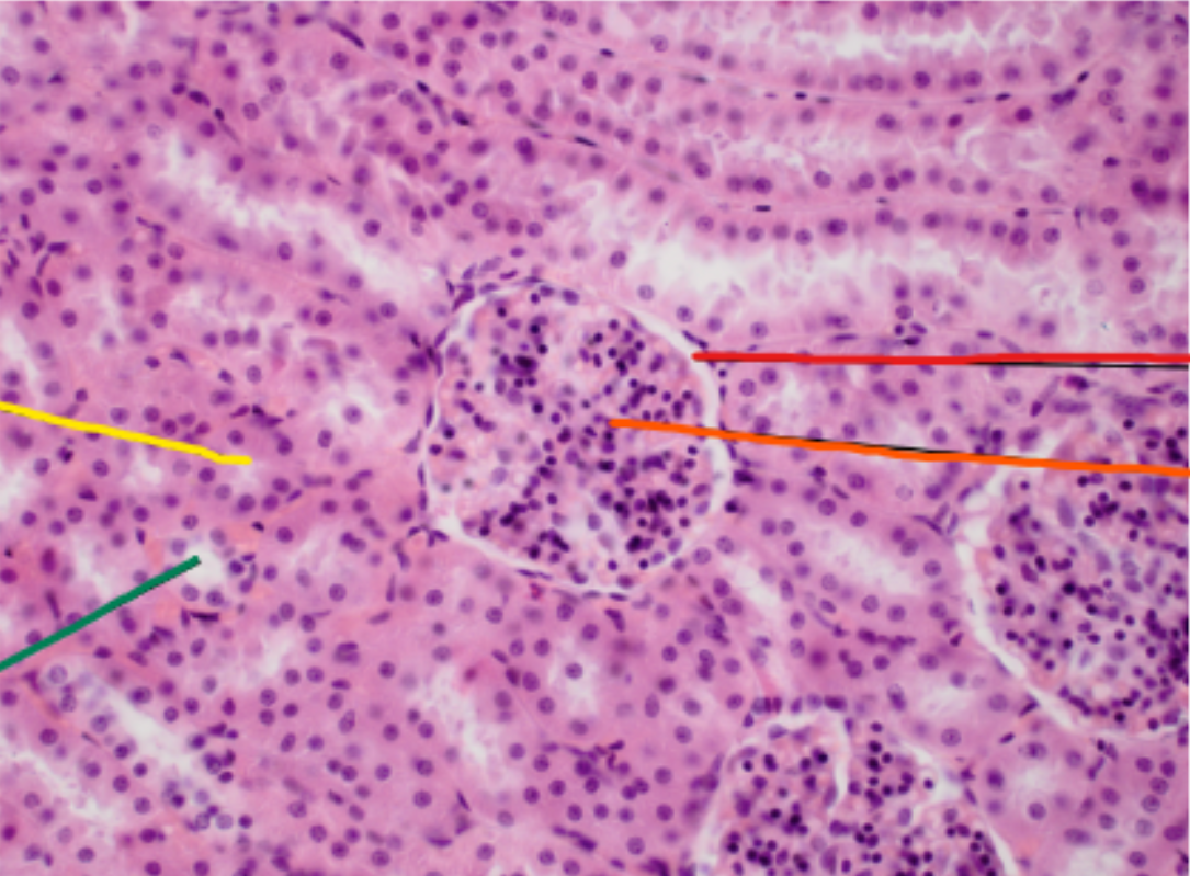
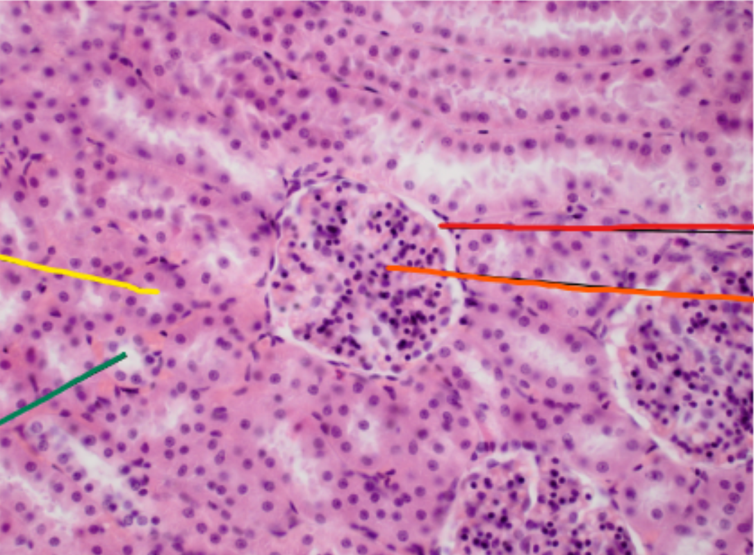
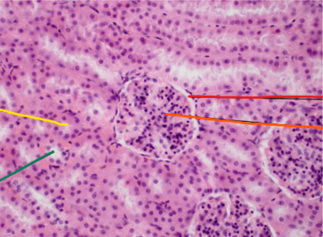
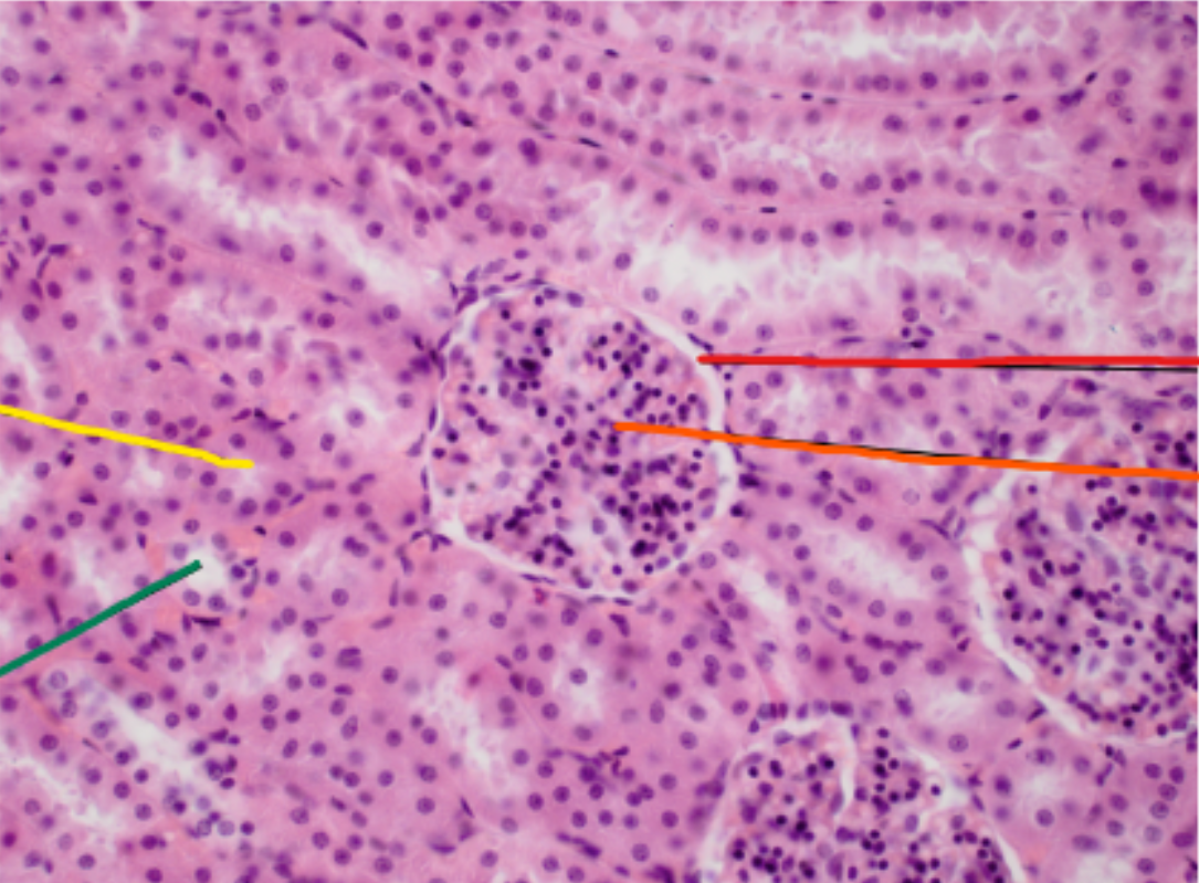
red
glomerulus

orange
proximal convoluted tubule

yellow
distal convoluted tubule

green
collecting duct

blue
cortex

purple
medulla

red
bowmans capsule

orange
glomerulus

yellow
proximal convoluted tubule

green
distal convoluted tubule

red
distal convoluted tubule

orange
efferent arteriole

yellow
podocyte

green
proximal convoluted tubule

blue
bowmans capsule

purple
afferent arteriole

red
kidneys

orange
ureters

yellow
bladder

green
trigone

blue
urethra

red
rectum

orange
bladder

yellow
urethra

red
uterus

orange
rectum

yellow
vaginal canal

green
bladder

blue
urethra