1/279
Looks like no tags are added yet.
Name | Mastery | Learn | Test | Matching | Spaced | Call with Kai |
|---|
No analytics yet
Send a link to your students to track their progress
kidney

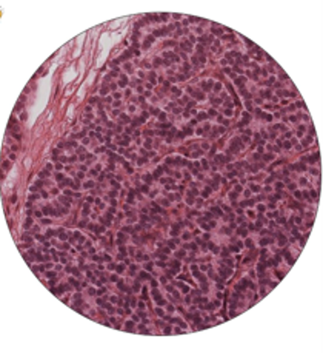
thyroid gland

parathyroid gland

thyroid gland

parathyroid gland

follicular cells of thyroid gland

colloid filled follicles of thyroid gland

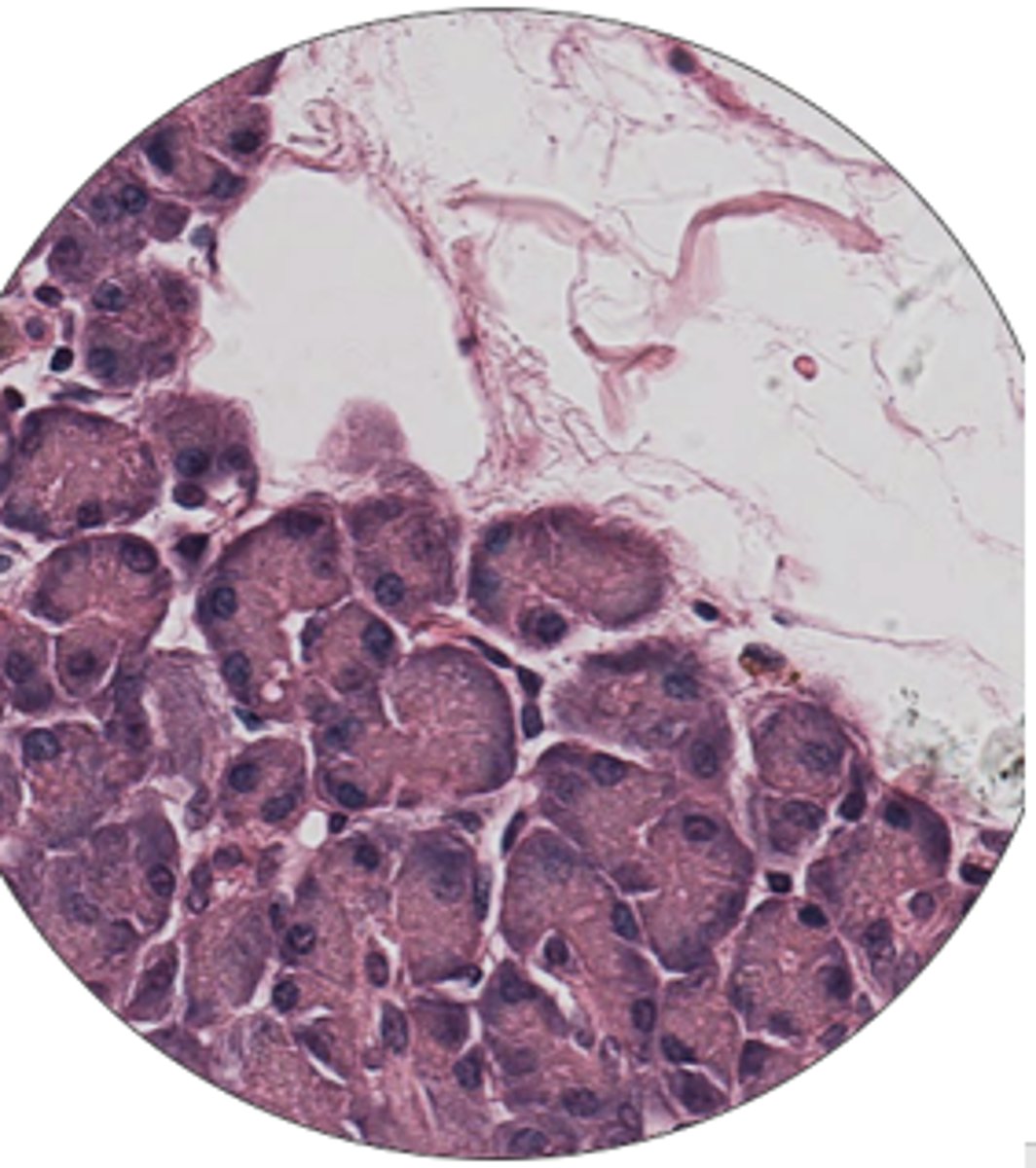
chief cells of parathyroid gland

anterior pituitary gland

posterior pituitary gland

anterior pituitary gland

posterior pituitary gland

easophil cells of anterior pituitary gland
name the cell type and gland

acidophil cells of anterior pituitary gland
name the cell type and gland

pituicytes of posterior pituitary gland
name the cell type and gland

capsule of adrenal gland (supraneal gland)
label region and organ

zona glomerulosa of adrenal gland
label region and organ

zona fasciculata of adrenal gland
label region and organ

adrenal medulla of adrenal gland
label region and organ

zona reticularis of adrenal gland
label region and organ

adrenal cortex of adrenal gland
these 3 regions make up what part of what organ

capsule of adrenal gland
label region and organ

zona glomerulosa of adrenal gland
label region and organ

zona fasciculata of adrenal gland
label region and organ

zona fasciculata of adrenal gland
label region and organ

zona reticularis of adrenal gland
label region and organ

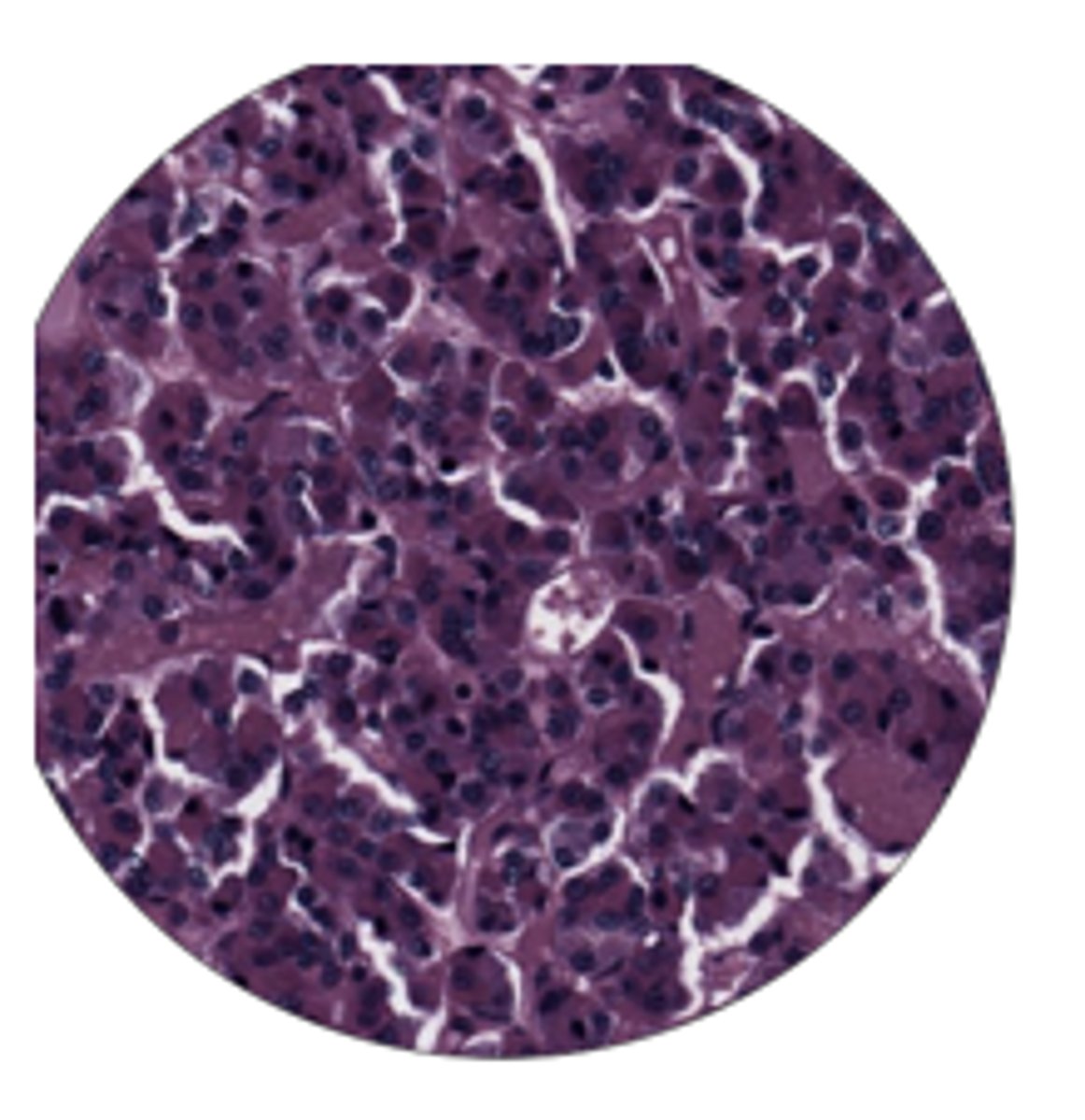
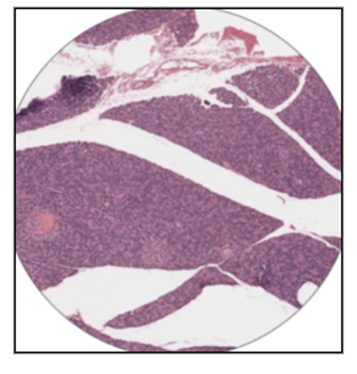
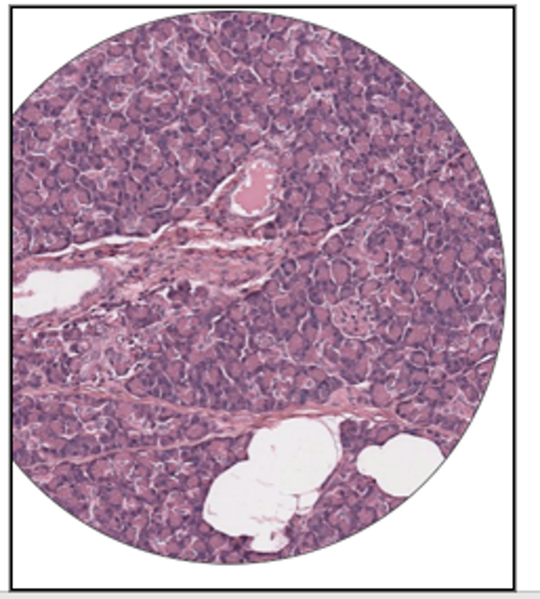
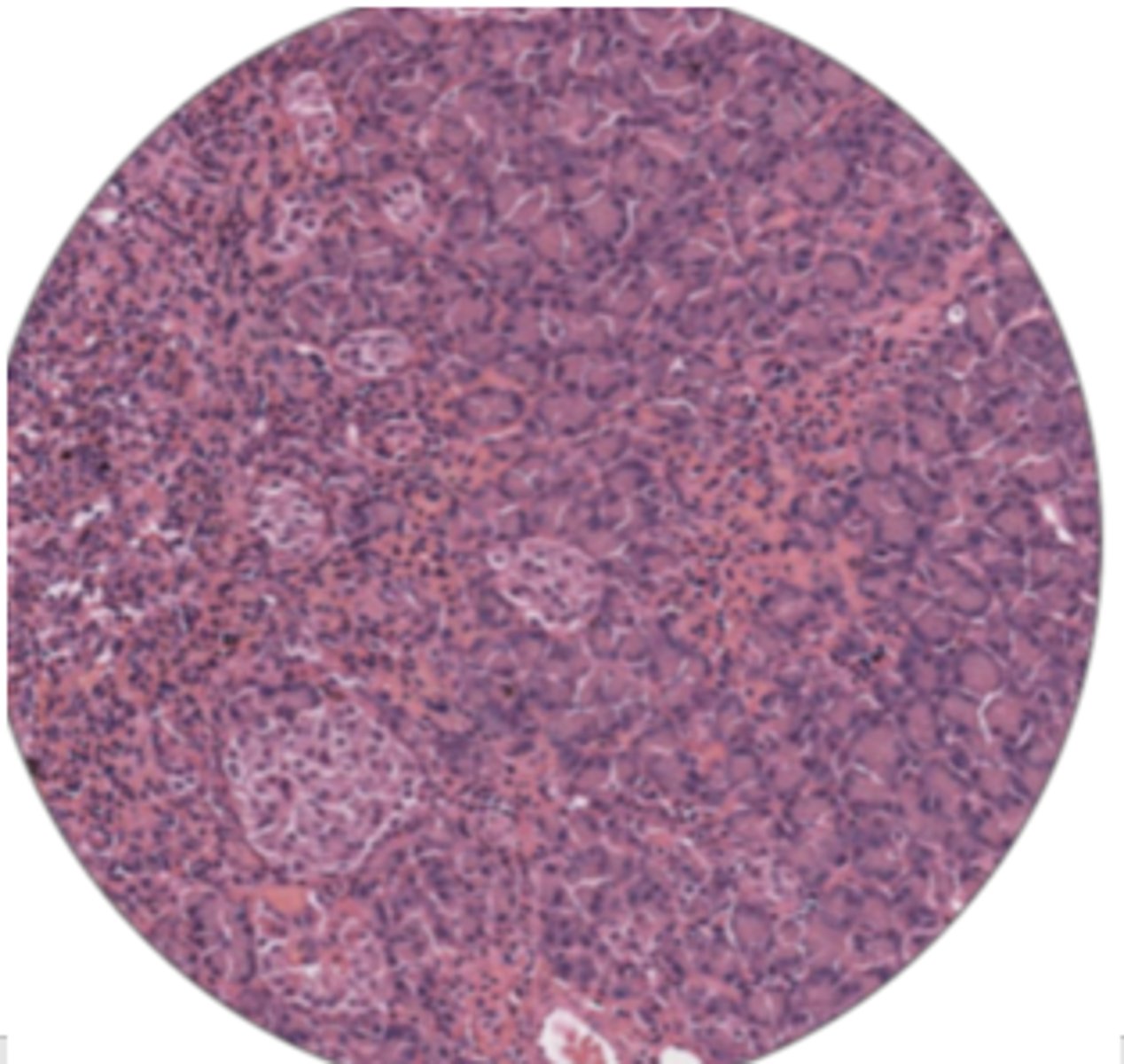
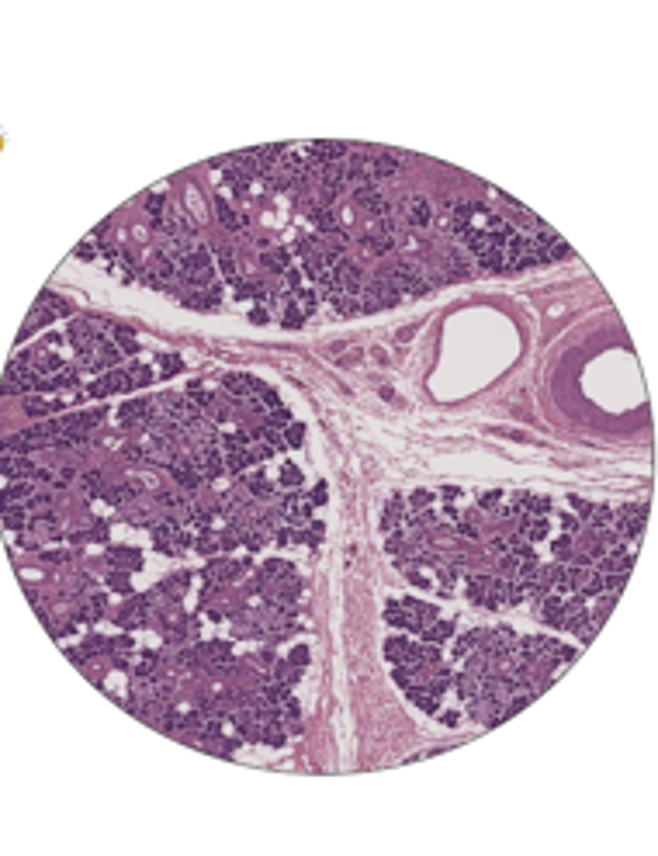
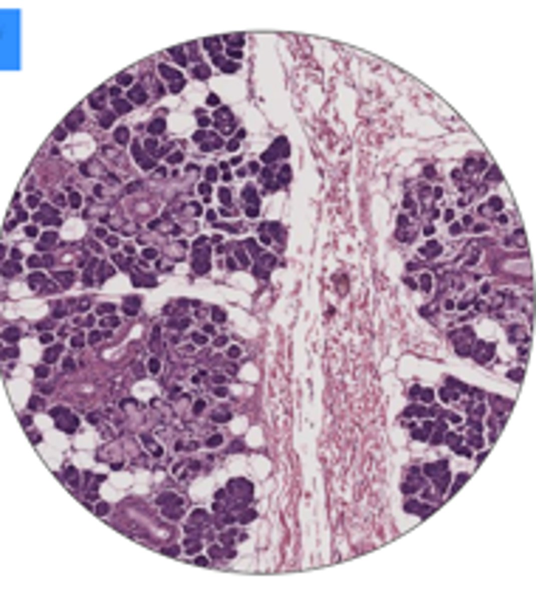
pancreas
label organ

pancreatic islets of langerhans (pancreas)
label cells

pancreatic acini (exocrine cells--pancreas)
label cells

zona reticularis of adrenal gland
label region and organ

adrenal medulla of adrenal gland

pancreatic islets of langerhans
label cells

pancreas acini
label cells

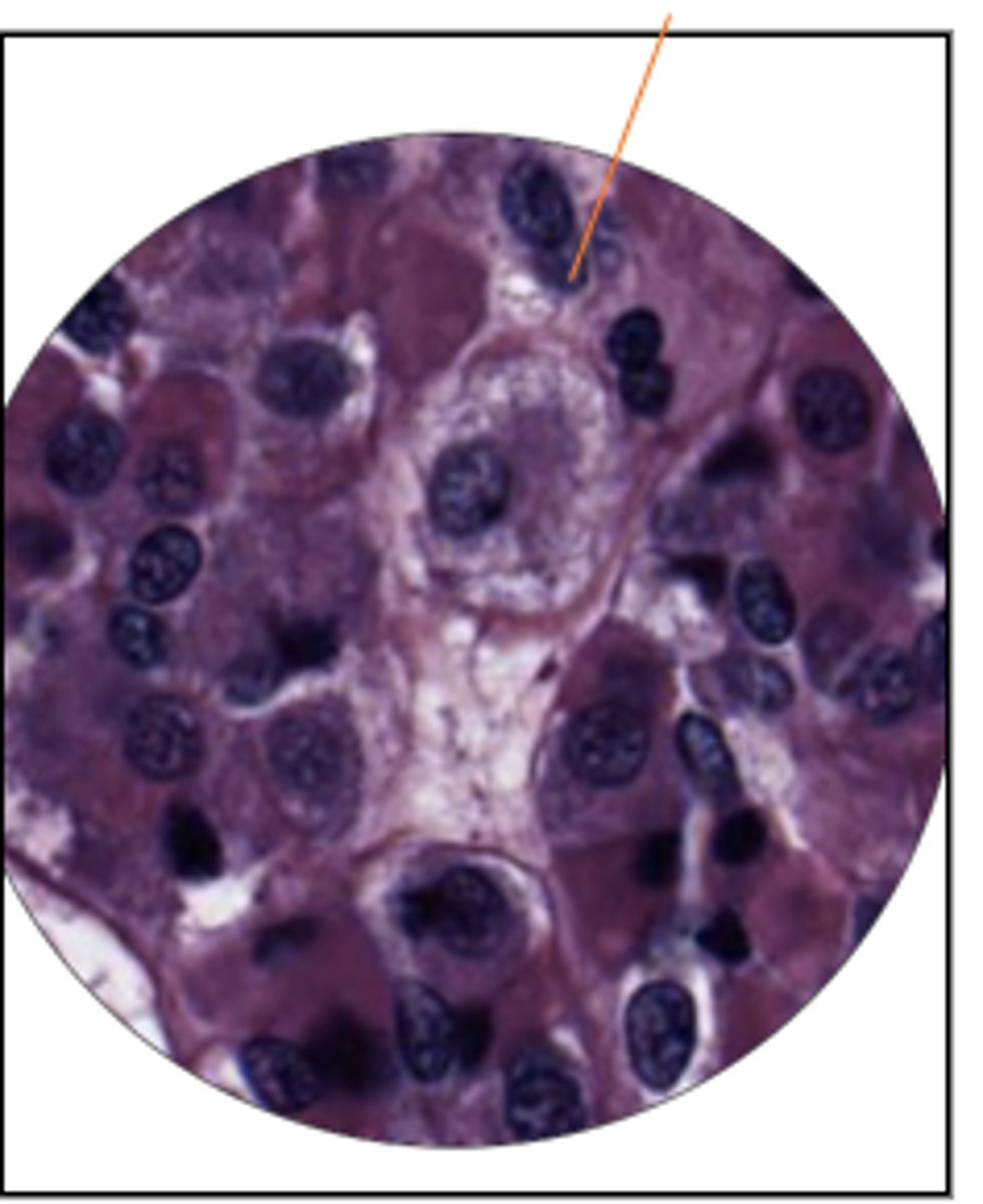
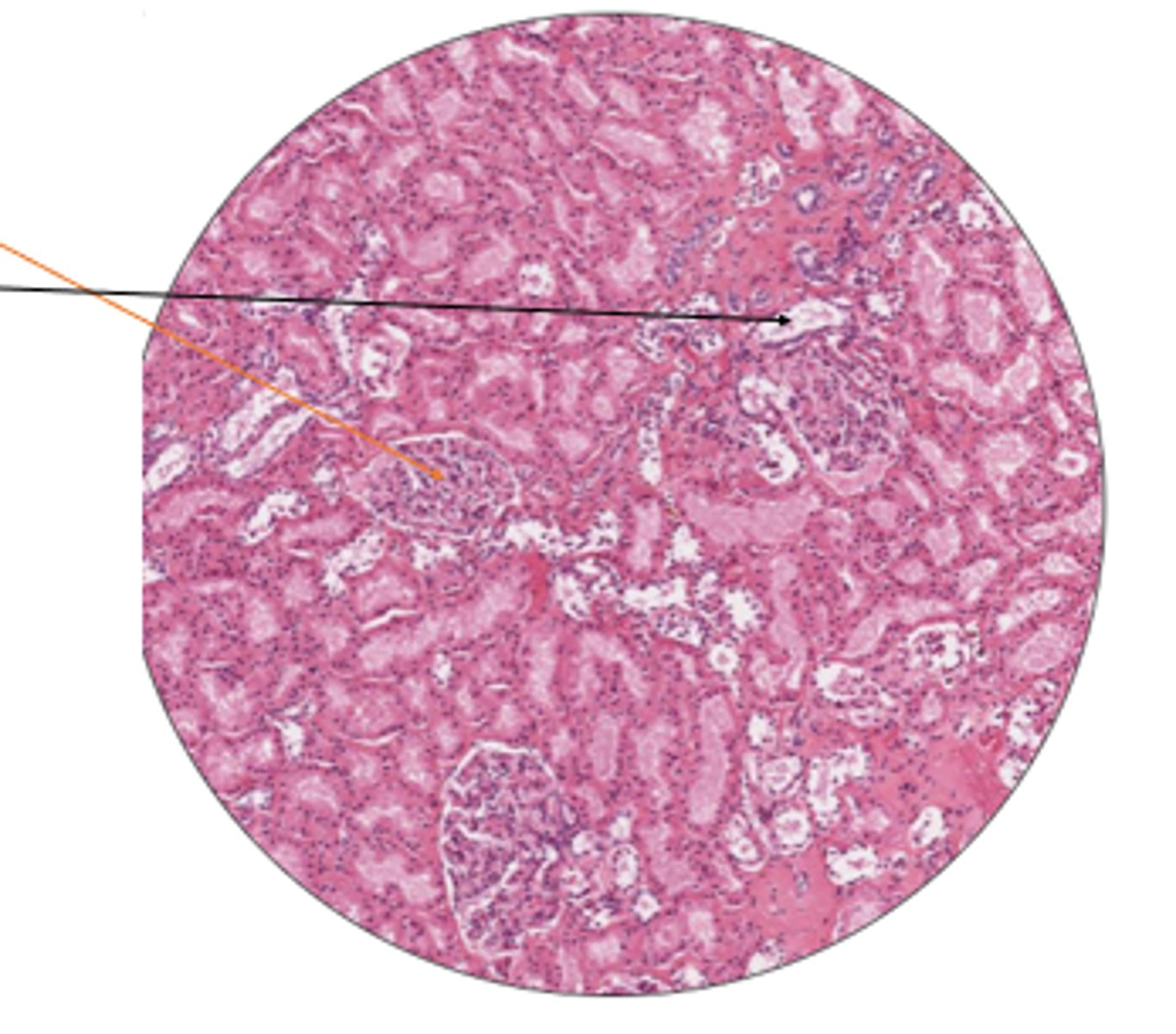
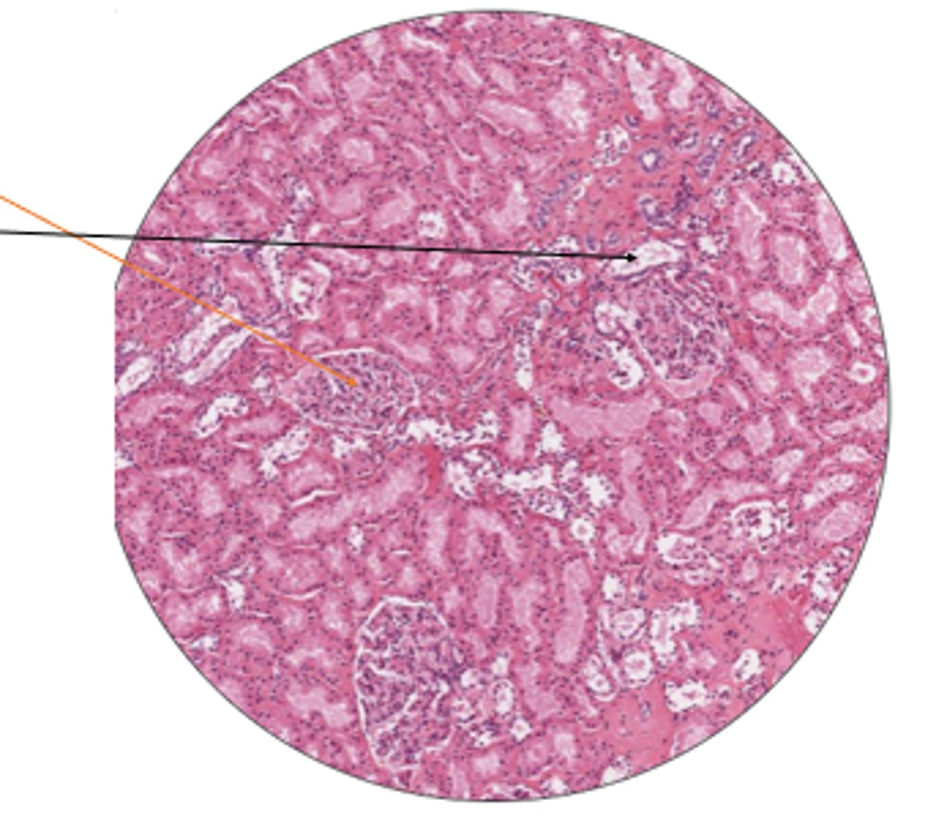
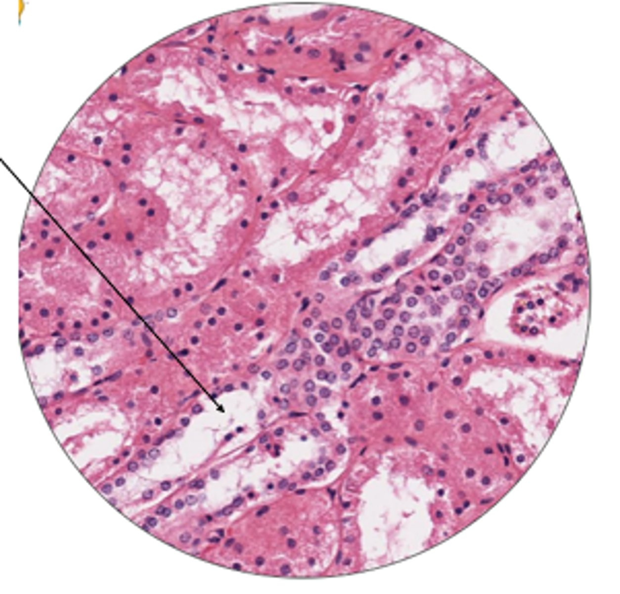
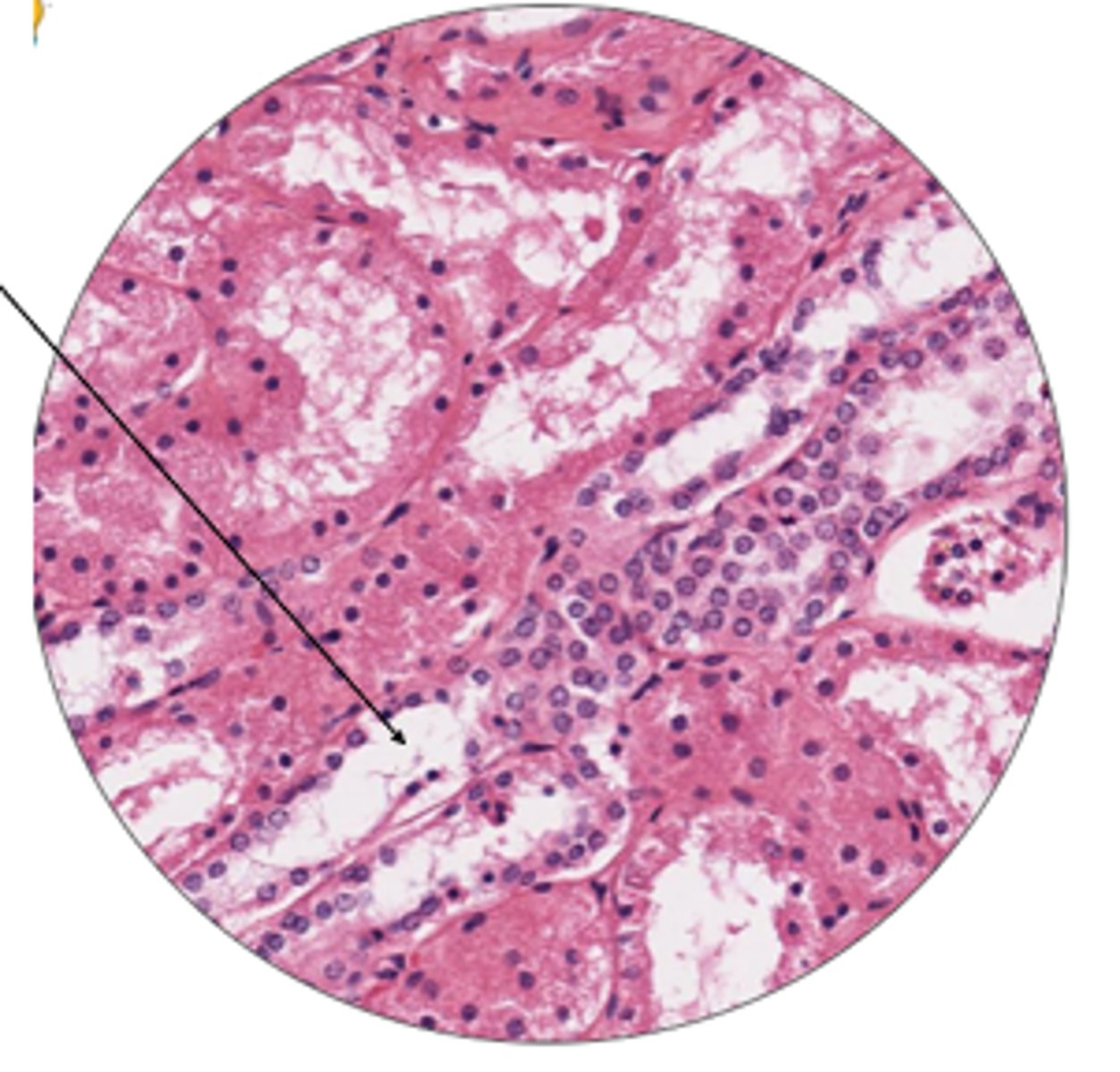
glomerulus of kidney
orange line

convoluted tubules of kidney
black line

glomerulus of kidney

convoluted tubules of kidney

medulla of kidney
label region and organ (NOT ARROW)

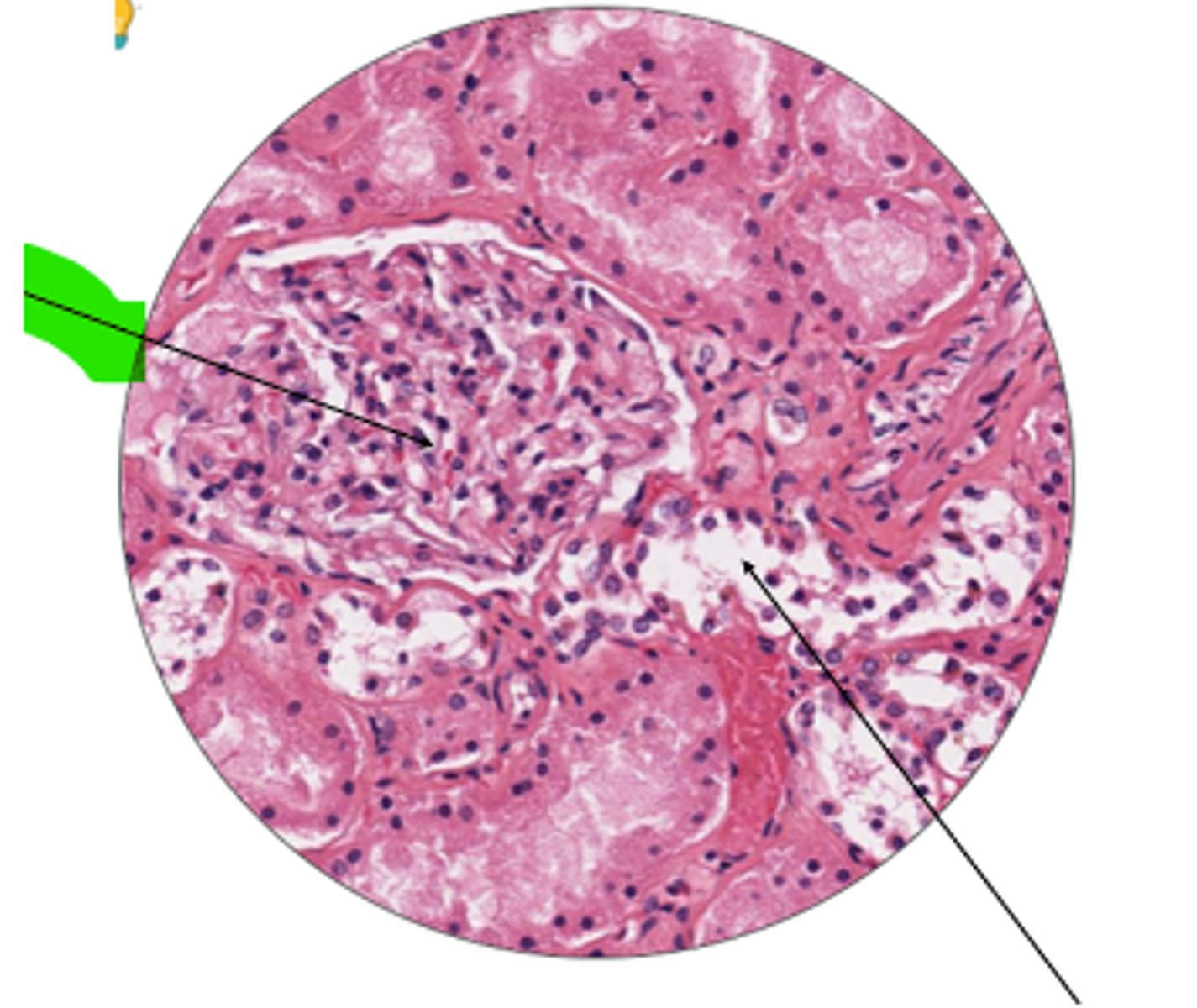
collecting duct of kidney
label arrow and organ

collecting duct of kidney
label arrow and organ

medulla of kidney
name region and organ

testis
label organ shown

seminiferous tubule of testis
arrow and organ

sperm cell of testis
name cell and organ

interstitial cells (of Leydig) of testis
name cell and organ

epididymis
name organ

sperm mass of epididymis
name arrow and organ

pseudostratified columnar epithelium of epididymis
name arrow and organ

stereocilia of epididymis
name arrow and organ

ovary
organ?

primordial follicle of ovary
cell and organ?

secondary follicle of ovary
cell and organ?

primary follicle of ovary
cell and organ?

tertiary (graafian) follicle of ovary
cell and organ?

tertiary (Graafian) follicle of ovary
cell and organ?

antrum
part of tertiary follicle?

corona radiata
part of tertiary follicle?

zone pellucida
part of tertiary follicle?

oocyte
part of tertiary follicle?

oviduct
structure?

folded mucosa of oviduct
part of structure and structure?

lumen of oviduct
part of structure and structure?

muscularis of oviduct
part of structure and structure?

serosa of oviduct
part of structure and structure?

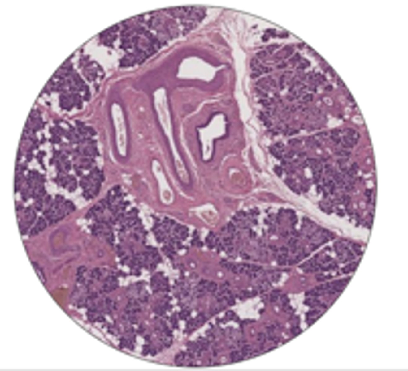
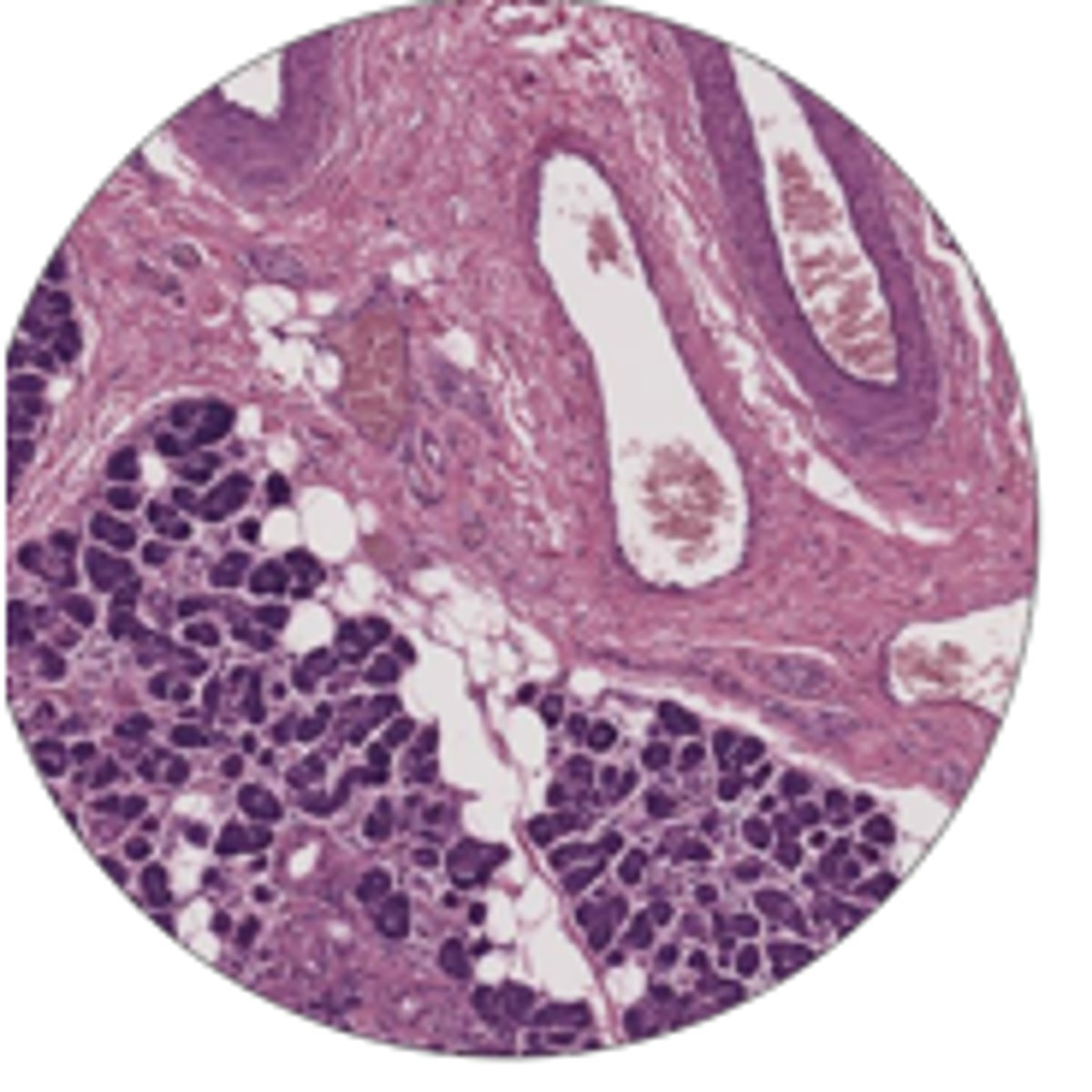
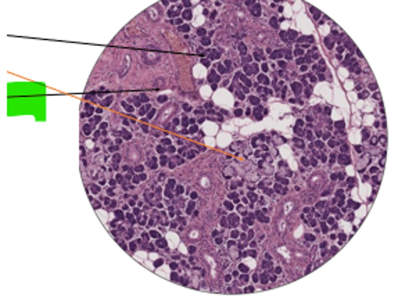
sublingual salivary gland
organ?

sublingual salivary gland
organ?

sublingual salivary gland
organ?

sublingual salivary gland
organ

serous cells of sublingual salivary gland
cells and organ?

ducts of sublingual salivary glands
cells and organ?

muscous cells of sublingual salivary glands
ORANGE: cell and organ?

mucous cells of sublingual salivary glands
cells and organ?

serous cells of sublingual salivary gland
cells and organ?

ducts of sublingual salivary gland
BLUEE: cells and organ?

mucosa of stomach
name region and organ highlighted

muscularis mucosa of stomach
name region and organ highlighted

submuscosa
name region and organ highlighted

muscularis externa of stomach
name region and organ highlighted

serosa of stomach
name region and organ highlighted

muscularis of stomach
name region and organ highlighted

muscularis mucosa of stomach
name region and organ highlighted

mucosa of stomach
name region and organ

gastric pit of stomach
name arrow structure and organ

small intestine/duodenum

serosa of small intestine/duodenum
name region and organ highlighted

muscularis externa of small intestine/duodenum
name region and organ

submucosa of small intestine/duodenum
name region and organ

muscularis mucosa of small intestine/duodenum
name region and organ

mucosa of small intestine/duodenum
name region and organ

muscularis mucosa of small intestine/duodenum
name region and organ

mucosa of small intestine/duodenum
name region and organ

duodenal glands of small intestine/duodenum
name structure and organ (ARROW)

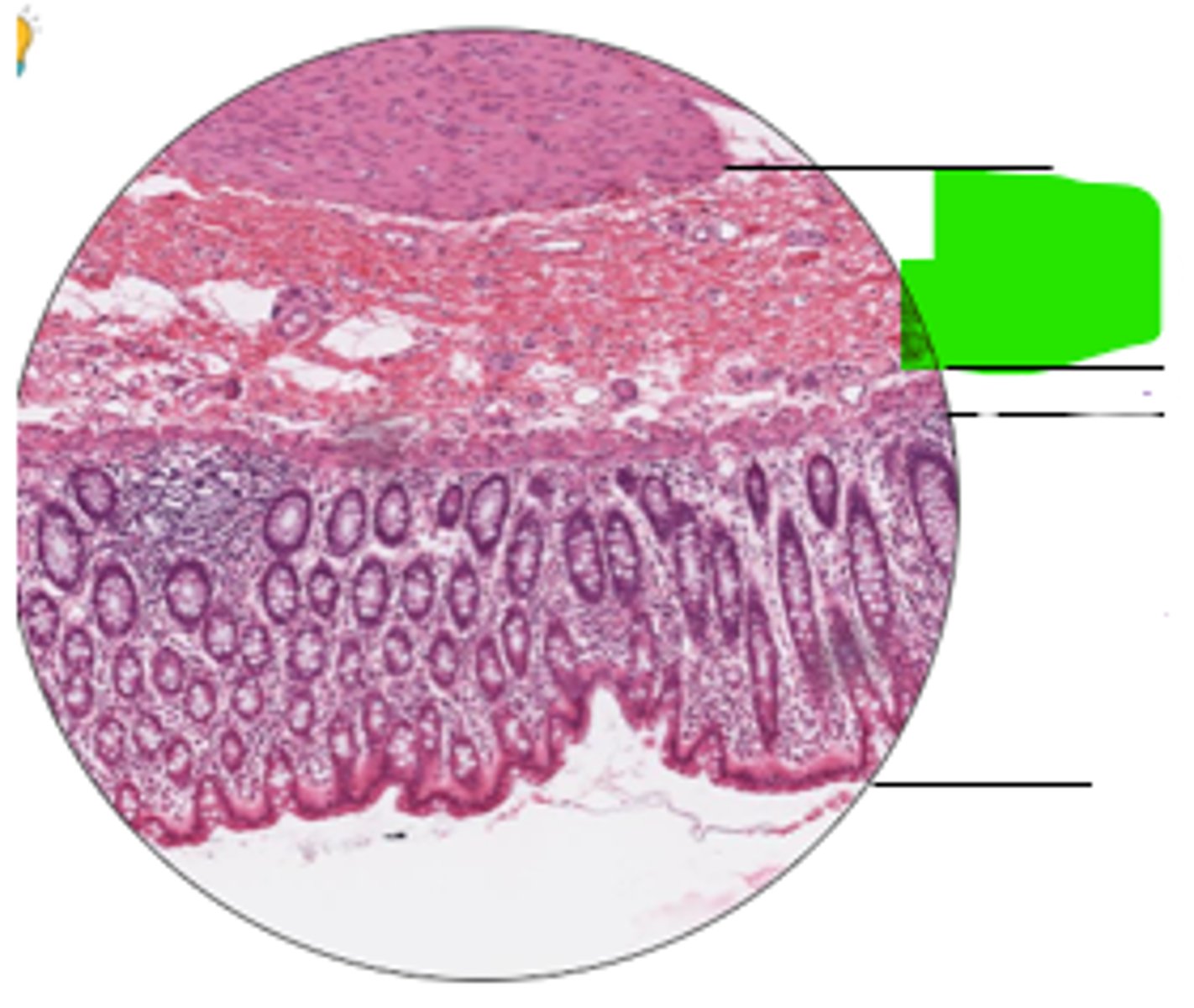
serosa of large intestine/colon
name region and organ

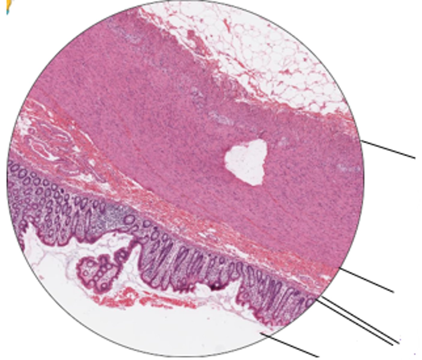
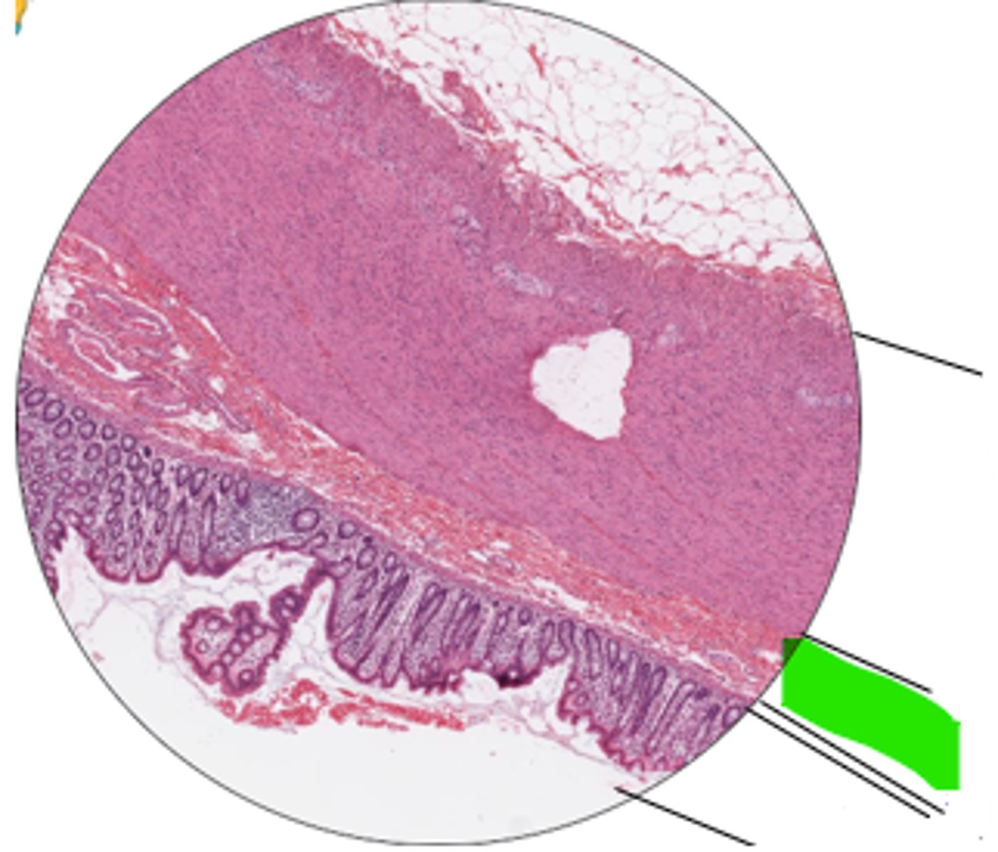
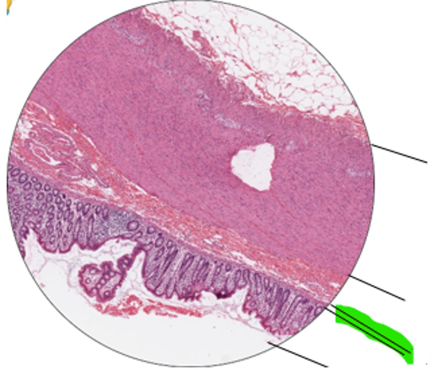
large intestine/colon
organ?

muscularis externa of large intestine/colon
region and organ?

submucosa of large intestine/colon
region and organ?

muscularis mucosa of large intestine/colon
region and organ?

mucosa of large intestine/colon
region and organ?

submucosa of large intestine/colon
region and organ?

mucosa of large intestine/colon
region and organ?
