1/47
Looks like no tags are added yet.
Name | Mastery | Learn | Test | Matching | Spaced | Call with Kai |
|---|
No analytics yet
Send a link to your students to track their progress
- When did the event take place
- What was the mechanism
- Where did the injury occur
- Has there been any treatment since
- Has tooth structure been lost or recovered
- Was there a loss of consciousness (LOC)
- Changes in occlusion
Pertinent History Questions for evaluating dental trauma include:
PA
Which radiographic modality is best to evaluate crown and root fracture:
- PA
- Occlusal View
- Panoramic
- CBCT
- Chest x-ray/ KUB
PA
Which radiographic modality is best to evaluate degree of intrusion/extrusion:
- PA
- Occlusal View
- Panoramic
- CBCT
- Chest x-ray/ KUB
PA
Which radiographic modality is best to evaluate periapical pathology or root development:
- PA
- Occlusal View
- Panoramic
- CBCT
- Chest x-ray/ KUB
Occlusal View or CBCT
Which radiographic modality is best to evaluate tooth structures in mucosa or lips:
- PA
- Occlusal View
- Panoramic
- CBCT
- Chest x-ray/ KUB
Panoramic
Which radiographic modality is best to evaluate alveolar fractures:
- PA
- Occlusal View
- Panoramic
- CBCT
- Chest x-ray/ KUB
Panoramic
Which radiographic modality is best to evaluate jaw fractures:
- PA
- Occlusal View
- Panoramic
- CBCT
- Chest x-ray/ KUB
Chest x-ray/ KUB
Which radiographic modality is best to evaluate if something was swallowed or aspirated:
- PA
- Occlusal View
- Panoramic
- CBCT
- Chest x-ray/ KUB
May be deferred for definitive treatment
What is the immediate treatment for a tooth fracture with dentin exposure but the patient is asymptomatic:
Seal with glass ionomer
What is the immediate treatment for a tooth fracture with dentin exposure, the patient is symptomatic, but the fragment was not retrieved :
Reattachment of fracture segment with etch bond technique
What is the immediate treatment for a tooth fracture with dentin exposure, the patient is symptomatic, and the fragment was retrieved :
•Pulp capping, pulpotomy, pulpectomy
•Not in the ED
What is the treatment for a tooth fracture with pulp exposure:
false
t/f: An avulsed tooth with an open apex has worse prognosis than one with a closed apex
endodontic evaluation
When there is a tooth fracture with dentin exposure, what should you always perform?
endo therapy
Any time dental trauma involved the pulp, ______ is required
middle to apical 1/3
A tooth fracture that is limited to the _______ has the best prognosis
coronectomy
if it is determined that after a traumatic tooth injury that an implant would have the best prognosis, performing a ______ can be considered to maintain the bone height until implant placement
apical
the more _____ a root fracture is, the better the prognosis:
•Clean exposed root surface with saline
•Manually reposition segment
•Etch and bond fractured crown and adjacent teeth according to material requirements and apply resin splint.
What are the treatment steps for a root fracture :
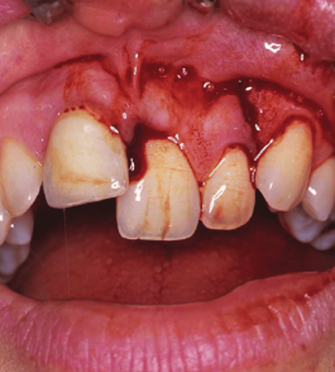
Concussion
Physical injury to tooth and supporting structures without fracture, abnormal loosening or displacement of the tooth:
Subluxation
Loosening of tooth without fracture or displacement:
•Generally doesn't require treatment
•Soft diet for 2 weeks
•Pulp test and PA at 6 months
What are the treatment/management steps for a tooth concussion or subluxation :
•Saline irrigation of any exposed root
•Manual repositioning
•Resin splinting for 4 weeks
What are the treatment/management steps for a tooth lateral luxation :
Options:
•Surgical repositioning and fixation
•Orthodontic repositioning
•Spontaneous eruption
•Endodontic treatment must be performed within 3-4 weeks
What are the treatment/management steps for a tooth intrusion:
•Repositioning and splinting indicated as soon as possible
•2 weeks with resin splint
What are the treatment/management steps for a tooth extrusion:
intrusion
What is the most severe injury to the dentition supporting structures, likely resulting a loss of the tooth:
•Local anesthesia required
•Tooth is repositioned coronally with forcep
•Alveolar bone segments should be repositioned if still connected to periosteum
•Resin splint for 4 weeks
•Irrigation for contamination and bone fragments
•Soft tissue repair as indicated
What are the steps for a surgical repositioning after an intrusion or extrusion?
Avulsion
Complete luxation of tooth from socket:
- time and type of storage
- PDL damage
- Root development
the prognosis of a tooth that is avulsed is dependent upon:
•Do not remove replanted tooth
•Saline irrigation of tissues
•Resin splint x 2 weeks
•Consider Abx
•Endodontic evaluation
•Soft diet x 2 weeks
•Chlorhexidine rinse BID x 1 week
What are the treatment/management steps for a tooth avulsion with a closed or open apex that was replanted immediate OR properly stored in mild within 1 hr of the injury:
•Curette necrotic PDL
•20 minutes in sodium fluoride
•Irrigate and clean socket
•Resin Splint x 4 weeks
•Consider Abx
•Endodontic evaluation
•Soft diet x 2 weeks
•Chlorhexidine rinse BID x 1 week
What are the treatment/management steps for a tooth avulsion with a closed or open apex that was dry for the 1st hour or placed in water during the 1st hour.
Alveolar fractures
•Typically involves mobile segments of two or more teeth
•Occlusal changes and lacerations common
•May extend to maxilla

•Apical repositioning often necessary
•Care must be taken to irrigate tissue injuries
•Resin split to adjacent teeth for 4 weeks
•Erich Arch bars may be used in more extensive fractures
•Antibiotics, Chlorhexidine rinse BID x 7 days, Endodontic eval
What are the treatment/management steps for an alveolar fracture:
Open reduction
the broken bone is realigned during surgery
1.Operative open exploration
2.Open reduction & internal fixation (ORIF)
3.With out without IMF
true
t/f: MIF can be used in both open and closed reduction cases for immobilization
•Internal fixation
______refers to the components that are used to stabilize the bone (screws, plates or rods).
closed reduction
bone repositioning which is performed without the need for surgery:
Abrasion
•Friction injury
•Involves superficial layers of tissue
•Epithelium and sometimes deeper layers
•Terminal nerve ending involvement leads to significant pain
•Generally shows minimal bleeding
•Clean abraded area and remove foreign matter with surgical hand soap and saline irrigation
•Place topical antibiotic ointment on wound
•Loose bandage placed over deep abrasions
•Re-epitheliaization occurs over 1 week under the Eschar
What are the treatment/management steps for a abrasion injury:
Contusion
•Characterized by subcutaneous / submucosal hemorrhage
•"Bruise"
•No soft tissue break
•Secondary to blunt trauma
•Often associated with dentoalveolar injury
•Surgical treatment not indicated
•Cold or pressure dressing may be effective early
•Hematoma may develop if bleeding continues
•May point to underlying injuries
•No antibiotics is necessary unless contusion is secondary to dentoalveolar trauma
What are the treatment/management steps for a contusion:
Laceration
•Tear in epithelial and subepithelial tissue
•Trauma from sharp or blunt object
•Blunt à jagged injury
•Involvement from external surfaces to deep tissue, nerves, vessels, muscles, etc
false
t/f: If a laceration injury is associated with dentoalveolar trauma, treat hard tissue injury last
•Cleansing of wound
--Removal of debris, Soap and saline +/- brush
--Anesthesia usually required-
--Pulse irrigation
•Debridement
--Remove contused and devitalized tissue from the wound
--Remove jagged pieces of skin for linear closure
--Minimize tissue removal
•Hemostasis
--Must be achieved prior to closure
--With cautery or sutures
•Closure
--With sutures or staples
What are the treatment/management steps for a laceration:
secondary intention
How are palatal lacerations to heal?
resorbable (vicryl
What type of suture can be used for deep layers, like muscle tear, suturing?
vermillion
If a patient has a 3 layer lip laceration, where should the 1st suture be placed?
non-resorbable
What type of suture should be used to suture the vermillion border after a laceration?