1/138
Looks like no tags are added yet.
Name | Mastery | Learn | Test | Matching | Spaced | Call with Kai |
|---|
No analytics yet
Send a link to your students to track their progress
Which of the following correctly, describes the location of the right hepatic vein?
courses superiorly through the right intersegmental fissure
What blood vessels separates the right and left lobes of the liver?
Middle hepatic vein
In a patient with complete situs inversus the liver will be:
Located in the left upper quadrant

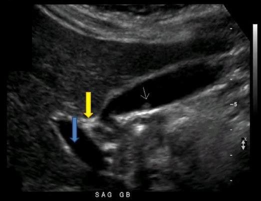
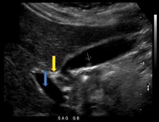
Which of the following statements is true regarding the image displayed?
The gallbladder has a normal variant called a Phrygian cap near the fundal area
The ligamentum venosum travels between:
The left portal vein and the IVC

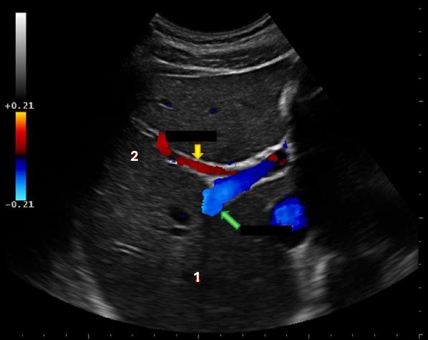
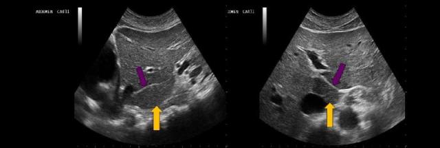
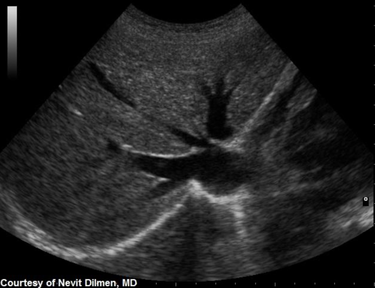
What structure is indicated by the blue arrow?
Right portal vein

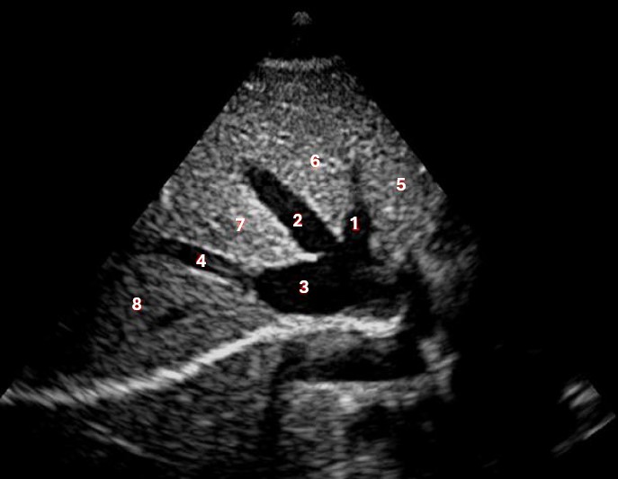
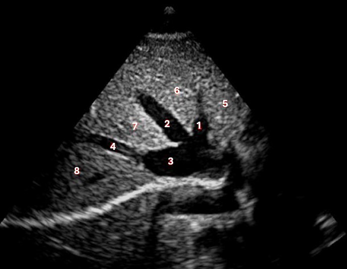
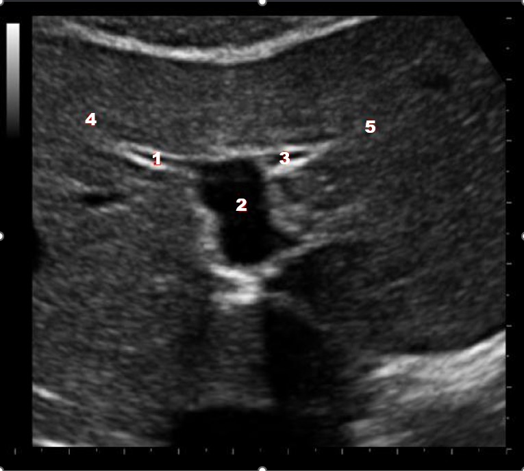
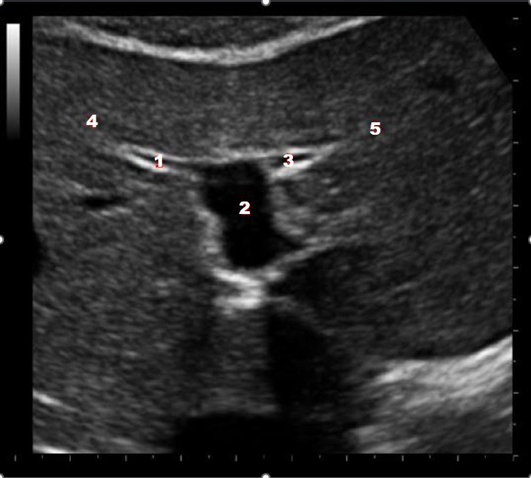
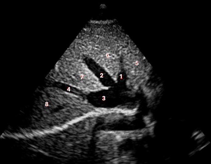
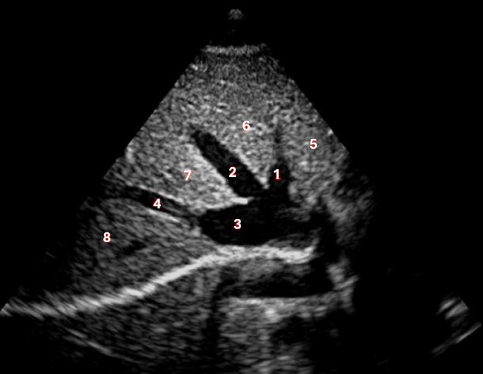
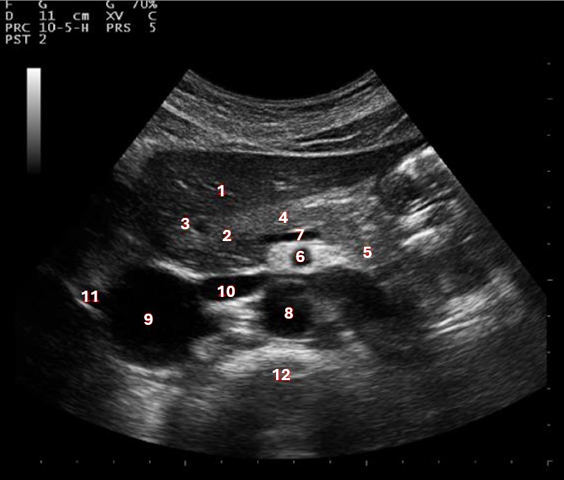
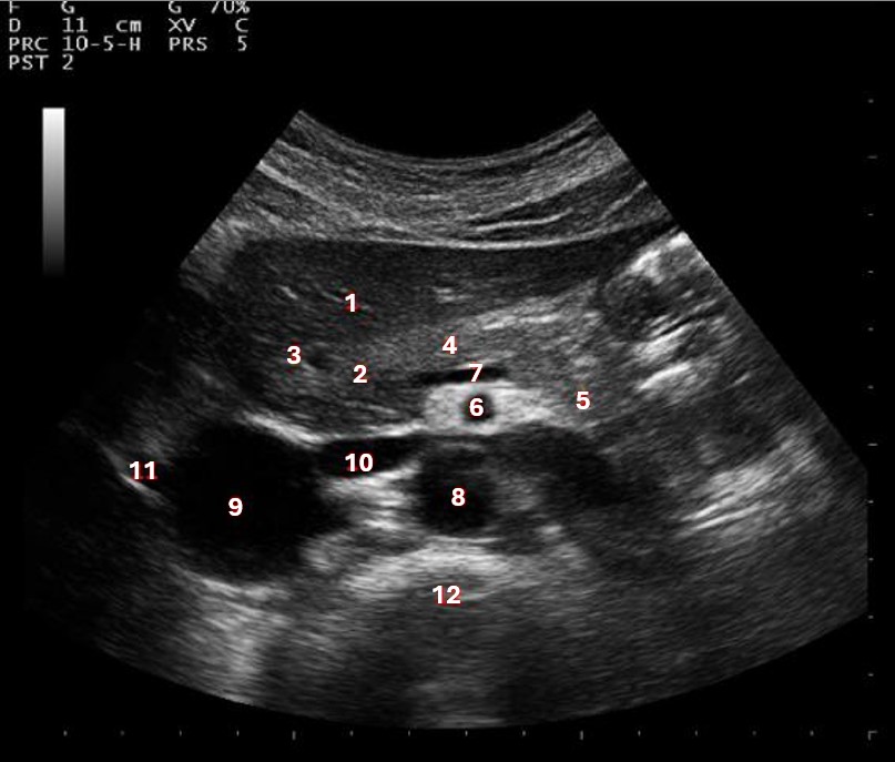
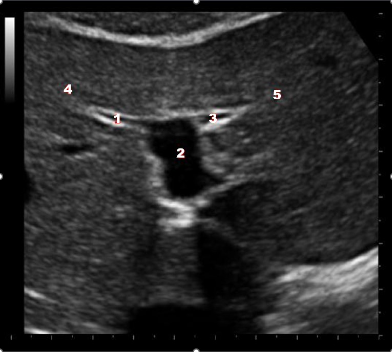
Which of the following structures is labeled number #1?
Left hepatic vein
_________ more merged to form the ampulla of Vater just prior to the duct entering the second portion of the duodenum.
The CBD and duct of Wirsung

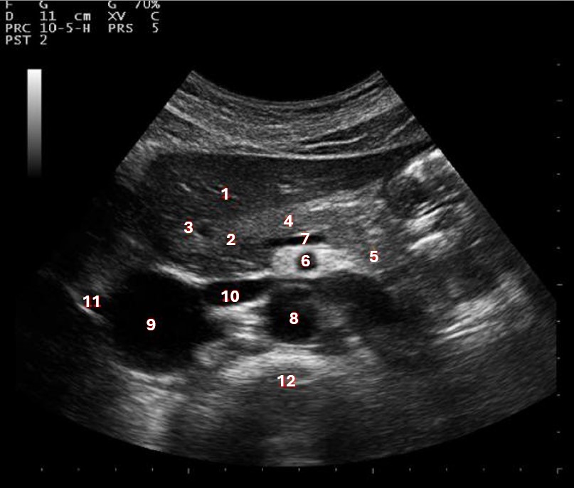
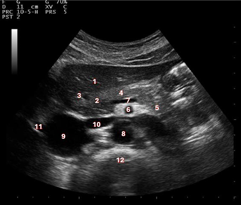
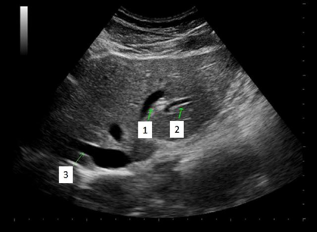
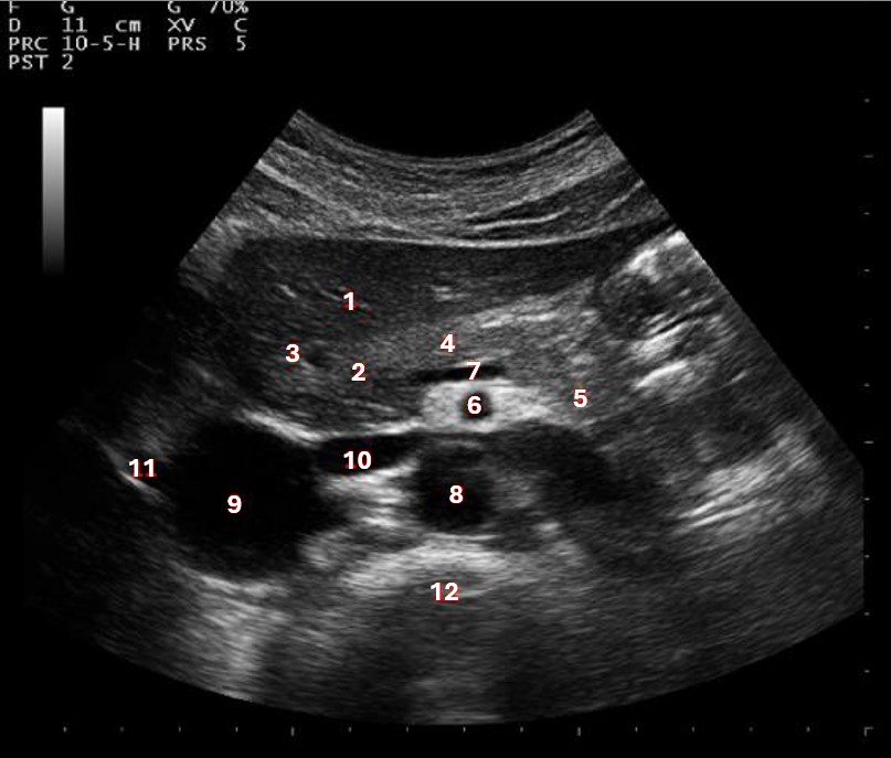
What structure/vessel is indicated by #3?
Gastroduodenal artery
Which of the following terms can be used to describe a normal Doppler tracing from the hepatic veins?
Triphasic

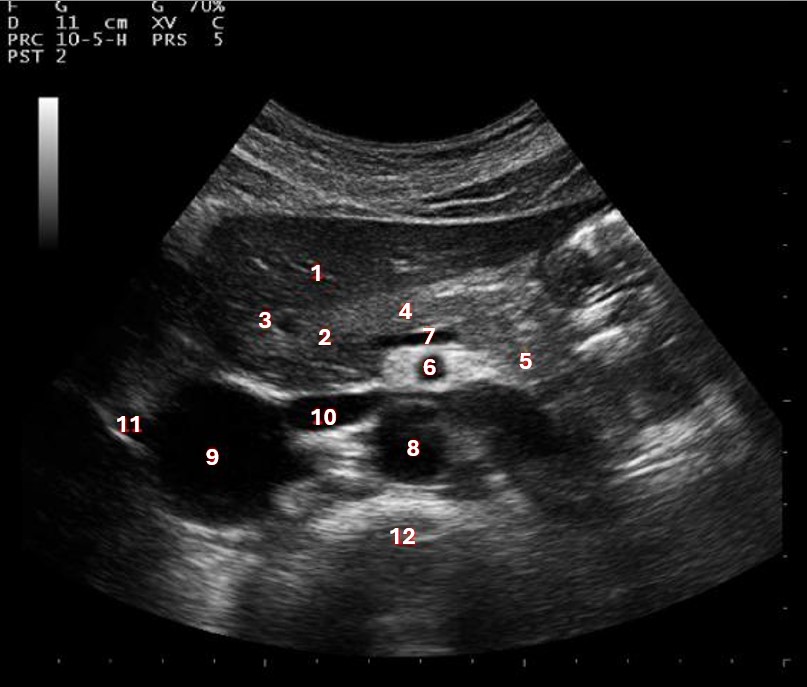
What structure/vessel is indicated by #2?
Head of pancreas
on a transverse sonogram, the CBD enter_______ aspect of the head of the pancreas and lays ______ to the IVC.
posterior, anterior
The _______ lobe of the liver is located between the right and middle hepatic vein
Anterior right
What vessel drains the blood from the caudate lobe?
Emissary veins

What lobe of the liver is indicated by #1?
Posterior right lobe

what liver vessels indicated by the yellow arrow?
Anterior right portal vein
The accessory duct of the pancreas is called
Duct of Santorini

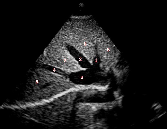
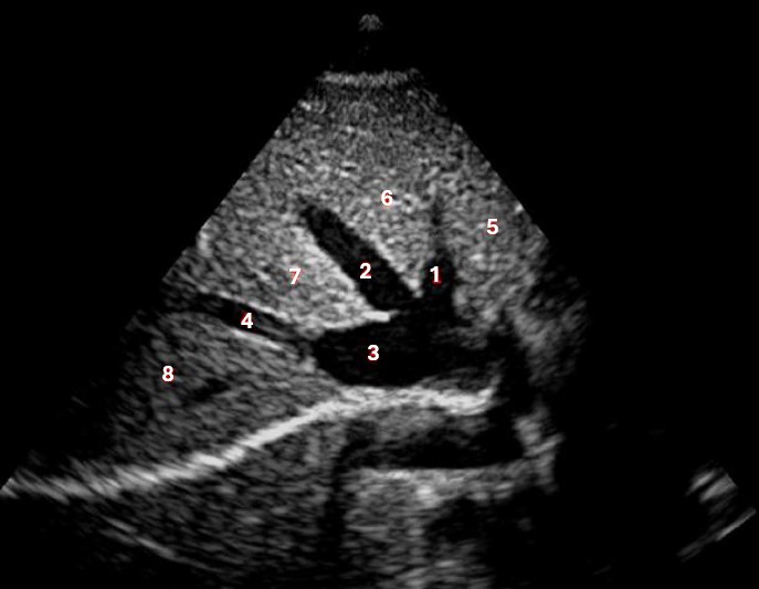
Which of the following structures is labeled #2?
Middle hepatic vein
Which of the following correctly describes the ducts of Luschka?
Bile thickening occurs within them
The main lobar fissure
Separates anterior right lobe and medial left lobe
The hepatoduodenal ligament contains, which of the following structures?
Main portal vein, proper hepatic, artery, and common bile duct
The pancreatic duct should normally be less_____ in diameter in children and young adults
2mm
All of the following are intrasegmental vessels of the liver, except?
hepatic veins
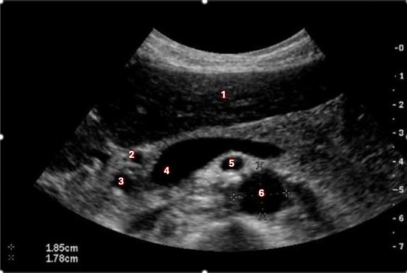
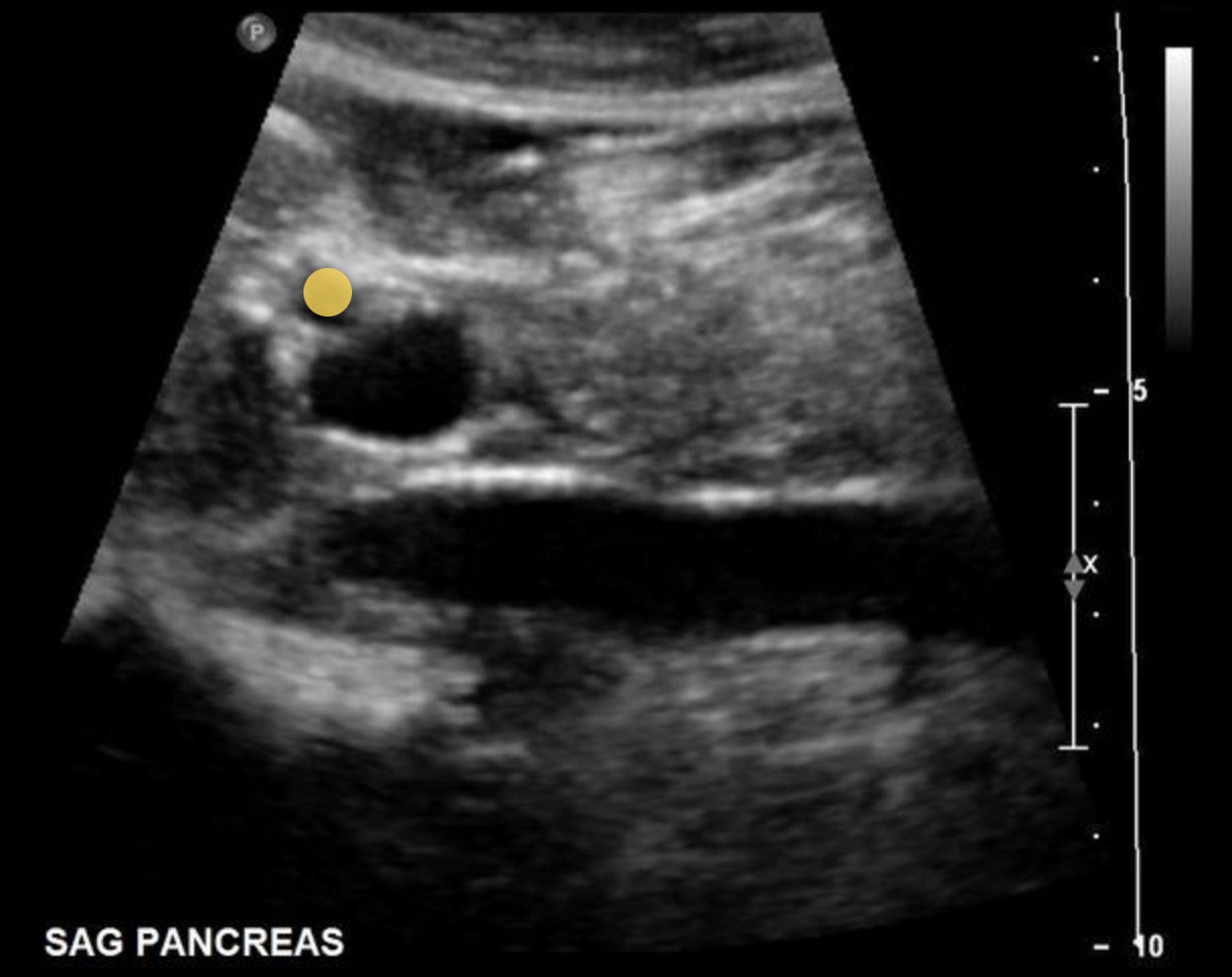
During an abdominal ultrasound, a small circular anechoic structure is identified at the anterior portion of the pancreas head. Color flow is identified in the structure. What is it?
Gastroduodenal artery
During an abdominal ultrasound, a 4 mm circular anechoic structure is identified at the posterior portion of the pancreas head. Color flow is not identified in the structure. What is it?
Common bile duct

What structure is indicated by the yellow arrow?
Main lobar fissure
The _______ are called intersegmental vessels of the liver
Hepatic veins
Trypsin breaks down ______, amylase breaks down________ and lipase breaks down_____ during digestion
Protein, carbs, fat

Which of the numbered vessels is part of the portal system?
2
the right and left hepatic ducts come together to form the common hepatic duct:
Inside the liver, near the Porta hepatis
the formation of a Hartmann pouch, usually occurs in what portion of the gallbladder?
Neck
The liver is divided into superior and inferior segments by the:
Branching of the portal veins

What structure is indicated by the purple circle?
Portal triad
______ is produced by the exocrine function of the pancreas _________ is produced by the endocrine function of the pancreas
Sodium Bicarbonate, insulin
if a liver mass is located between the middle hepatic vein and the right portal vein, and what lobe of the liver is the mass located?
Anterior right lobe
The IVC is located posterior to the pancreatic_________.
Head
The pancreas is found in what retroperitoneal space?
Anterior pararenal
Which of the following correctly list the structures found in an intrahepatic portal triad?
Portal vein, proper hepatic artery, and bile duct

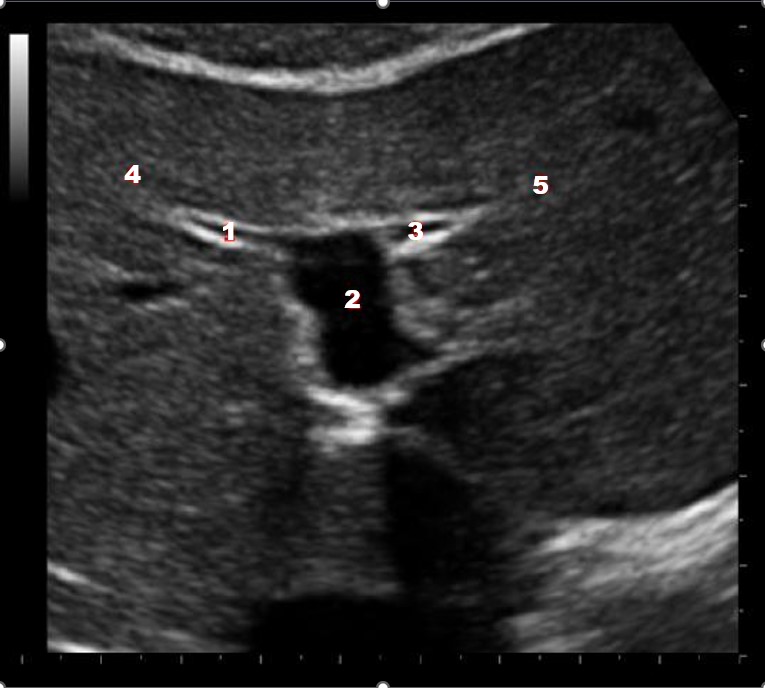
What structure/vessel is indicated by #1?
Medial branch of LPV
Which of the following ligament separates the medial and lateral left lobes of the liver?
Ligamentum teres

The yellow arrow on the image represents which of the following structures?
Caudate lobe
What causes the hepatic vein flow to have a triphasic waveform?
Right atrial contraction and relaxation

What structure/vessel is indicated by #6?
Superior mesenteric artery

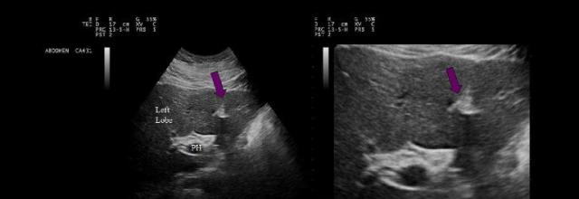
The purple arrows point to which of the following liver structures?
Ligamentum teres
Sonographically, the _______ appears to connect the GB neck and junction of right and left portal veins.
Main lobar fissure

What structure/vessel is indicated by #2?
Left portal vein

What structure is marked with the X on the image?
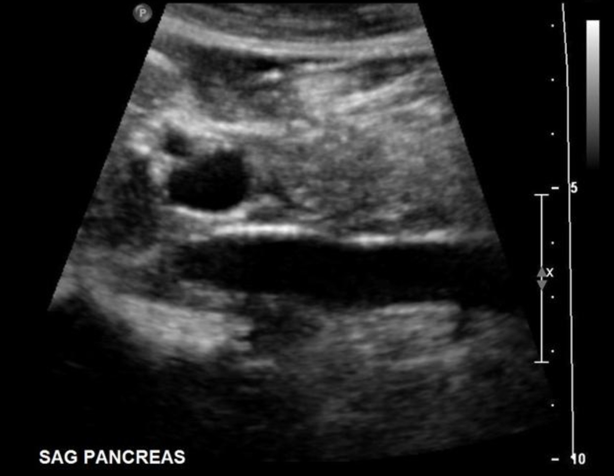
Main pancreatic duct
The first branch of the common hepatic artery is the
Gastroduodenal artery
a patient presents with a history of Reidel lobe. What are the expected findings on the ultrasound exam?
the right lobe of the liver will have a tongue like extension that extends inferior to the lower pole of the right kidney
Which statement best describes the location of the ligamentum venosum?
it forms the anterior border of the caudate lobe
The majority of the liver is covered with a thick capsule composed of fibrous and elastic elements called _______
Glisson capsule
in the porta hepatis, what structure is anterior to the portal vein and lateral to the proper hepatic artery?
Common hepatic duct

Which of the following structures is labeled #3?
IVC

Which of the following structures is labeled #6?
Medial left lobe
Which of the following produces insulin?
Islets of langerhans
which of the following blood vessels delivers the majority of oxygenated blood that enters the liver?
Main portal vein

What structures last vessel is indicated by #4?
Medial left lobe
in a normal adult patient, the intrahepatic, common hepatic duct lumen measures less than or equal to_____
4mm
Which lobe of the liver receives blood from the left and right portal veins?
Caudate lobe
Which of the following hormones is responsible for causing the gallbladder to contract?
Cholecystokinin
The ______ can be identified anterolateral to the pancreas tail
Stomach
in the normal liver, which of the following correctly, describes the changes and flow in the hepatic artery after eating?
Increased resistive index (RI)

Which of the following structures is labeled #4?
Right hepatic vein

Which structure/vessel is indicated by #5?
Lateral left lobe

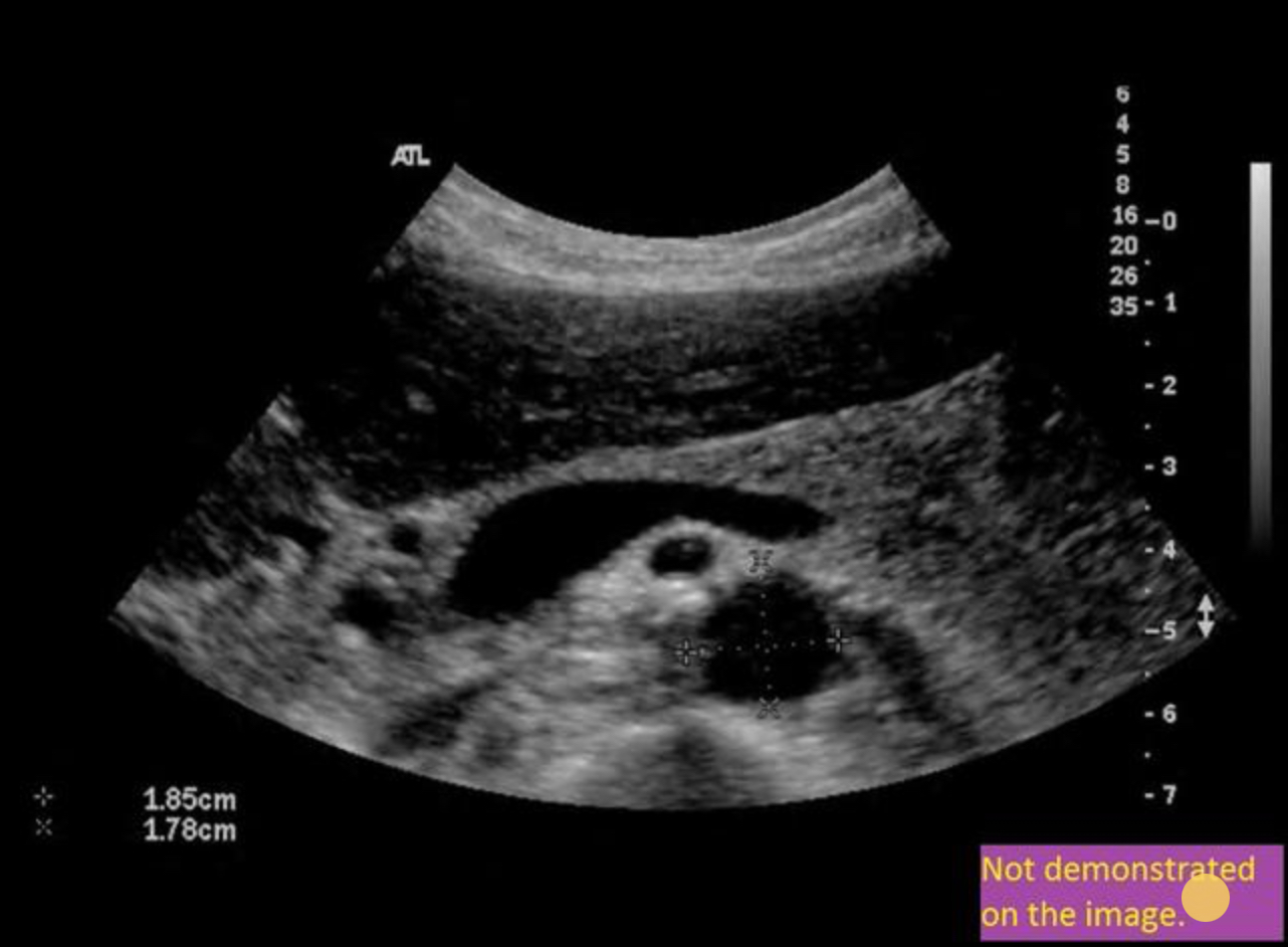
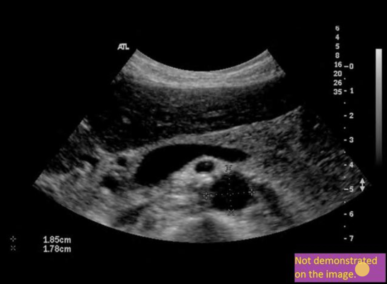
Use your mouse to place your cursor over the superior mesenteric vein and click to mark the vessel if the vessel is not demonstrated on the image, mark the purple box that says “not demonstrated on the angle”.

Which of the following can be used to differentiate Reidel lobe from hepatomegaly?
The left lobe is normal in size Reidel lobe but enlarged with hepatomegaly
In the Porta Hepatis, what structures anterior to the portal vein and medial to the common hepatic duct?
Proper hepatic artery

What structure is indicated by the green arrow?
Main portal vein
The cystic artery originates at the _______ and the cystic vein empties into the _______
Right hepatic artery, right portal vein
An ERCP is commonly performed to evaluate:
The ampulla of vater
Well discussing the medical history with a patient, he tells you that the doctor recommended that he increase his intake of vitamin K due to some recent abnormal lab results. Which of the following lab values was abnormal?
Prothrombin time
Branches of which of the following vessels supply the pancreas with blood?
Superior mesenteric artery and gastroduodenal artery

Which of the following structures is labeled #8?
Posterior right lobe

What structures/vessel is indicated by #5?
Tail of the pancreas

the purple arrow on the images represents, which of the following structures?
Ligamentum venosum
a patient presents for an abdominal sonogram due to a history of hepatic congestion. What structure(s) should be closely evaluated for related findings?
Portal system
The abdominal organ that produces the majority of alkaline phosphate is?
Liver

Which of the following structures is labeled #2?
gastroduodenal artery
The caudate lobe lies between what two structures?
IVC and medial left lobe
The right lobe of the liver is divided into ________ Segments, while the left lobe is divided into _______ Segments.
Anterior and posterior, medial and lateral

Use your mouth to place your cursor over the hepatic artery and click to mark the vessel.

The ______ separates the caudate lobe from the left lobe of the liver.
Ligamentum venosum
Which portions of the gallbladder and/or Billary tree are involved in the formation of a Phrygian cap?
Body and Fundus
The ____ is located within the inferior margin of the falciform ligament.
Ligamentum teres

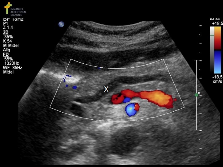
Which of the following statements is true regarding the Doppler tracing displayed?
it could represent a Doppler tracing of normal flow in the right hepatic vein

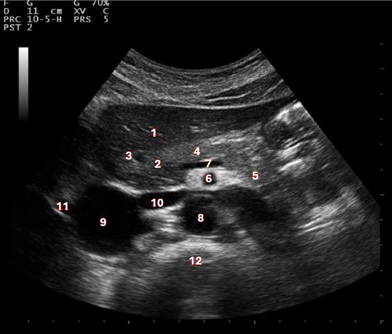
What structure/vessel is indicated by #12?
Spine

Which waveform represents a normal inferior vena cava waveform?
A
a patient presents with a history of choledocholithiasis. How will you assess the common bile duct for the presence of a stone?
Demonstrate a longitudinal view of the main portal vein and look for the CBD anterior to it
Which of the following hepatic ligament separates the medial and lateral left lobes of the liver?
Falciform ligament
Islets of langerhans secrete ______ into _____
Insulin, bloodstream
Which of the following correctly describes the pediatric pancreas?
Pancreatic echogenicity increases with age

Which structure/vessel is indicated by #4?
Body of the pancreas
All of the following are true regarding Couinaud liver, segmentation, except:
Right and left lobes are divided by the branches of the main hepatic vein

Use your mouse to place your cursor over the left medial superior segment of the liver and click to mark the structure


What structure/vessel is indicated by #3?
Lateral branch of LPV

What structure/vessel is indicated by #7?
Splenic vein
What causes the appearance of this normal variant of the uncinate process?
Reduce concentration of fat in the area of interest
The superior mesenteric vein
Joins the splenic vein posterior to the neck of the pancreas

Use your mouth to place your cursor over the main lobar fissure

all of the following laboratory test are used to evaluate the liver function, except:
Sodium bicarbonate