1/23
Looks like no tags are added yet.
Name | Mastery | Learn | Test | Matching | Spaced | Call with Kai |
|---|
No analytics yet
Send a link to your students to track their progress
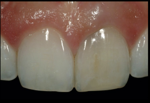
ceramic veneer
a thin bonded ceramic restoration that restores the facial, incisal, and part of the proximal surfaces of teeth requiring esthetic restoration
success of veneers is based on what 3 things
pre-operative phase
operative phase
post-operative phase
of the three steps involved in the success of veneers, which is most important
pre-operative phase
operative phase
post-operative phase
they are all equally important and determine success
what 2 things go into the pre-operative phase in determining the success of veneers
proper tx planning
proper selection of ceramics
what 2 things go into the operative phase in determining the success of veneers
proper preparation of teeth
proper selection of the material and methods (BONDING) of cementation
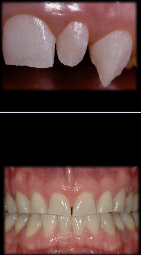
indication for veneers
modify tooth color
modify tooth shape/length
close diastema
correct mild misaligned teeth
if someone wants to correct tooth color, you want to start conservative w _______ rather than jumping to veneers
bleaching/whitening teeth
veneers can be done to modify tooth color that have been caused by… (3)
endo tx
tetracycline discoloration
to enhance existing tooth color

veneers can be done to modify tooth shape/length that have been caused by… (3)
congenital malformation
fx teeth
tooth wear

contraindications for veneers
pronounced enamel defects
severe malformations
severe malalignment
poor oral hygiene
why is pronounced enamel defects a contraindication for veneers
no enamel → bad for bonding procedures
in the pre-operative tx phase, esthetic analysis should be done, what does this include
gingival display at smile
tooth display at rest
3 kinds of gingival display at smile
low smile
average smile
high smile

what shows in a low smile
see no gums
display < 75% of anterior teeth

what shows in a average smile
reveal interproximal gingival only → papilla
reveal 75-100% of anterior teeth

what shows in a high smile
reveal and contiguous band of gingiva
reveal the total cervico-incisal length of the maxillary anterior teeth

rank low, average, and high smile from most to least prevalence including the % of population
average smile 68.94%
low smile 20.48%
high smile 10.57%

gingival display at smile
high smile

as age increases, how does tooth display at rest change in maxillary centrals
will decrease

as age increases, how does tooth display at rest change in mandibular centrals
will increase

most conservative tx option for replacing maxillary laterals
implants
options for veneer material
feldspathic porcelain
pressable ceramics
milled ceramics
techniques for feldspathic porcelain
platinum foil technique
refractory die technique
materials under pressable ceramics
leucite reinforced glass (IPS empress)
lithium disilicate glass (IPS e.max press)