1/70
Looks like no tags are added yet.
Name | Mastery | Learn | Test | Matching | Spaced | Call with Kai |
|---|
No analytics yet
Send a link to your students to track their progress
nasal cavity

nostrils

paranasal sinuses

oral cavity

pharynx

epiglottis

larynx

trachea

left primary bronchus

right primary bronchus

alveoli

superior lobe

bronchi

superior lobe

middle lobe of lung

inferior lobe

bronchioles

diaphragm

cribriform plate of ethmoid bone

sphenoid sinus

posterior nasal aperture

pharyngeal tonsil

opening of pharyngotympanic tube

uvula

palatine tonsil

Isthmus of fauces

laryngopharynx

Esophagus

middle nasal conchae

superior nasal conchae

inferior nasal conchae

superior nasal meatus

middle nasal meatus

inferior nasal meatus

nasal vestibule

soft palate

tongue

linguinal tonsils

hyoid bone

vestibular fold

thyroid cartilage

vocal cords

cricoid cartilage

thyroid gland

laryngeal prominence
Adam's apple

median cricothyroid ligament

cricoid cartilage

Arytenoid cartilage

Vocal folds

Tracheal cartilages

Cricotracheal ligament

Carina

Oblique fissure

Horizontal fissure

Apex of lung

Cardiac notch

Alveolar duct

Alveolar sac

Pulmonary alveoli

Pulmonary Capillary Plexus

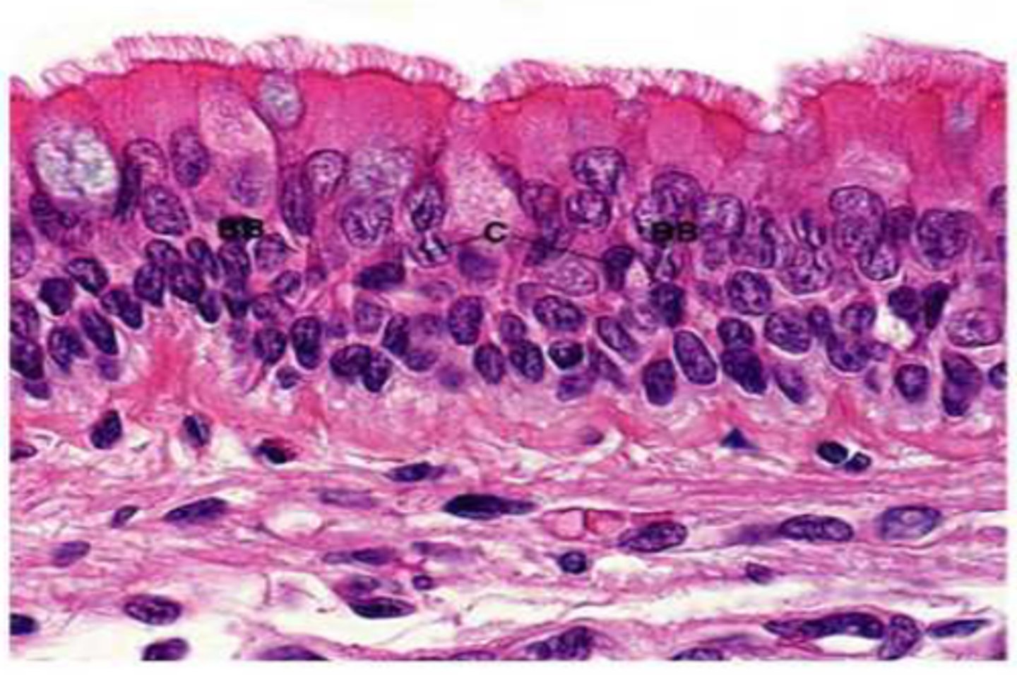
Ciliated pseudostratified columnar epithelium

C-shaped hyaline cartilage

Irregular hyaline cartilage rings in large bronchi

Alveolar duct histology

Terminal bronchiole histology

respiratory bronchiole histology

alveolar sac histology

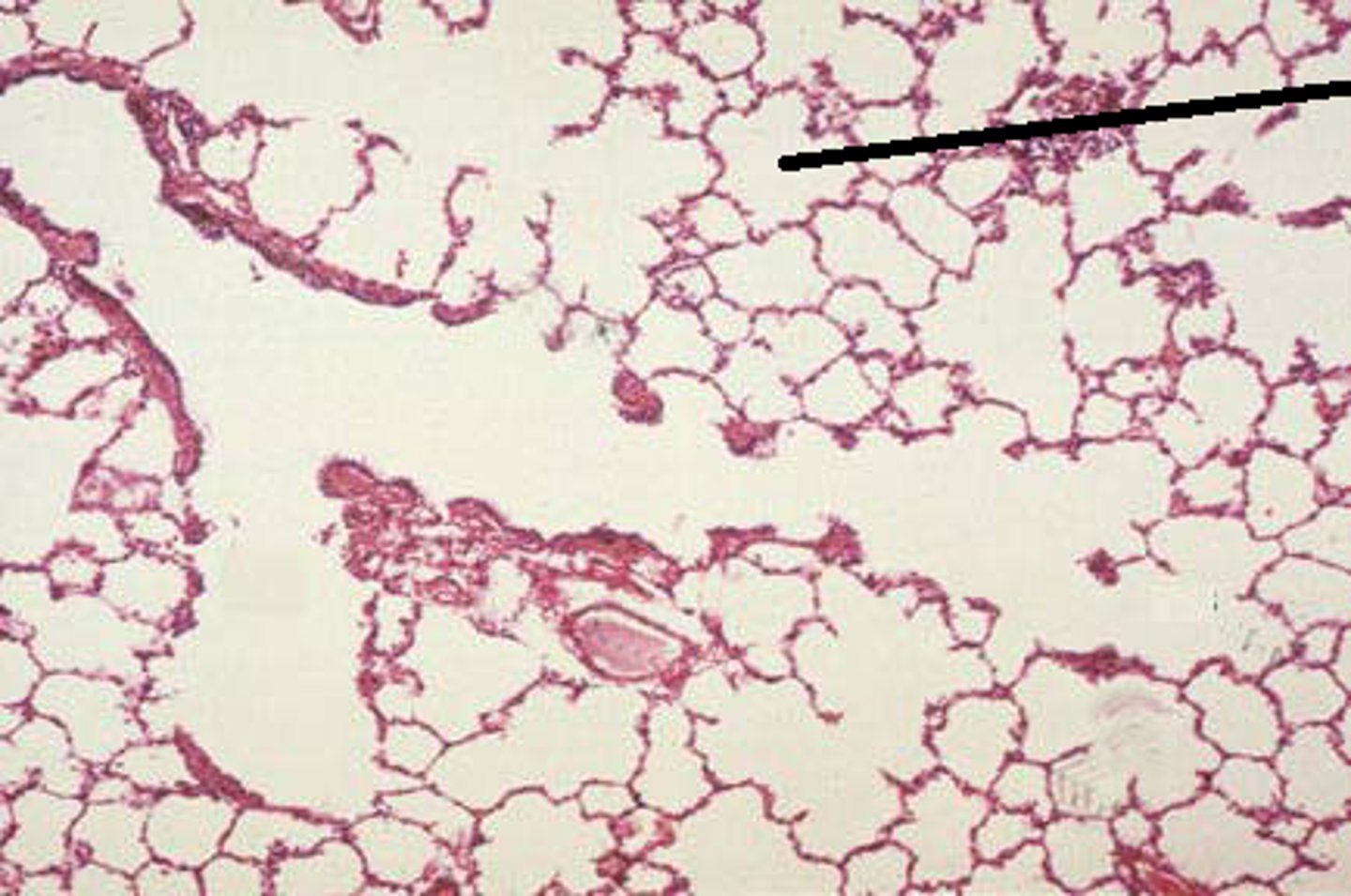
alveolus histology

bronchial breath sound
high pitch, loud, hard
heard over trachea
Bronchio-Vesicular Breath Sounds
soft, breezy pitch
heard over 1st and 2nd spaces or between scapulas
vesicular breath sound
softer, swishy sound
heard over lungs periphery