1/105
Looks like no tags are added yet.
Name | Mastery | Learn | Test | Matching | Spaced | Call with Kai |
|---|
No analytics yet
Send a link to your students to track their progress

id + func.
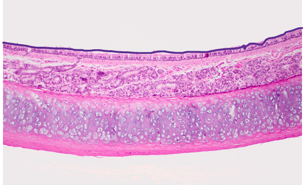
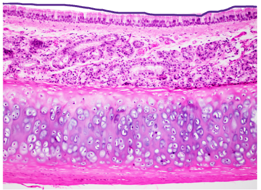
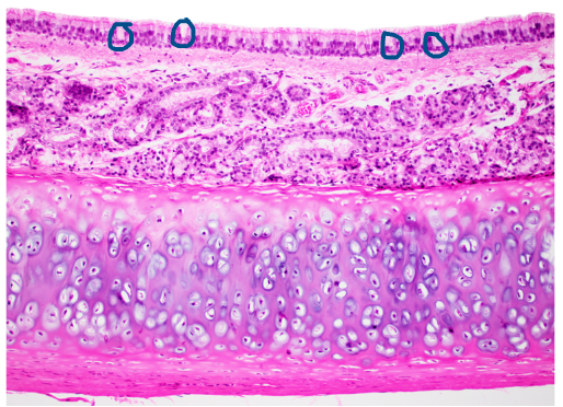
cilia, move debris out of respiratory system

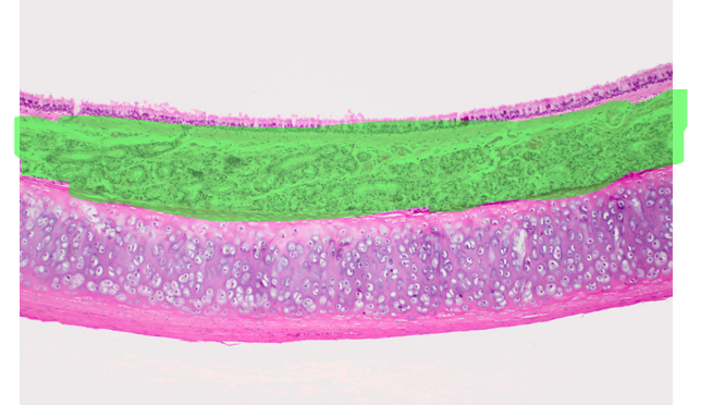
submucosa

pseudostratified columnar epithelium

id + func.
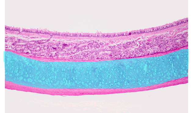
hyaline cartilage, Keep trachea open

id + func.
cilia, move debris out of respiratory system

Id + func.
goblet cells, Makes and secretes mucous

pseudostratified columnar epithelium

submucosa

id + func.
hyaline cartilage, Keep trachea open

id + func.
hyaline cartilage, Keep trachea open

id + func.
alveoli, facilitate exchange of oxygen and carbon dioxide

id + func.
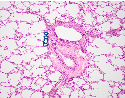
bronchiole, end airways lead to alveoli

id + func.
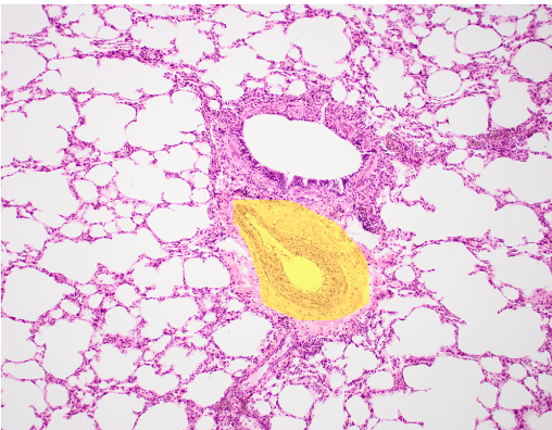
pulmonary artery, carry deoxygenated blood from the heart's right ventricle to the lungs

id + func.
pulmonary vein, transport oxygenated blood from lungs to the left atrium

id + func.
Superior turbinate, warm, moisturizing air- increase the surface air. superior to meatus.

id + func.
Middle turbinate, warm, moisturizing air- increase the surface air. superior to meatus.

id + func.
Inferior turbinate, warm, moisturizing air- increase the surface air. superior to meatus.

id + func.
nare, nostril

id + func.
epiglottis, covers the trachea to keep food from going into trachea

id + func.
Thyroid cartilage, part of the larynx, keeps the larynx open, attachment for vocal folds

id + func.
Cricoid cartilage, structural support for airway

id + func.
True Vocal folds (cords), (larynx), voice, protects our airway

id + func.
uvula, Raises during swallowing to cover entrance of nasopharynx

id + func.
Inferior meatus, warm, moisturizing air- increase the surface air. inferior to turbinate.

id + func.
Middle meatus, warm, moisturizing air- increase the surface air. inferior to turbinate.

id + func.
superior meatus, warm, moisturizing air- increase the surface air. inferior to turbinate.

id + func.
nasopharynx, “throat”

id + func.
oropharynx, “throat”

id + func.
Laryngopharynx (hypopharynx), “throat”

id + func.
right lung, gas diffusion

Superior lobe

id + func.
Middle lobe, gas diffusion

Inferior lobe

id + func.
diaphragm, primary muscle of respiration

Inferior lobe

Superior lobe

id + func.
Left lung, gas diffusion

id + func.
trachea, tube for air delivery

id + func.
thyroid cartilage, part of the larynx, keeps the larynx open, attachment for vocal folds

id + func.
Secondary bronchi, end airways lead to alveoli

id + func.
Tertiary bronchi, end airways lead to alveoli

id + func.
Right primary (main) bronchus, inferior to carina airways

id + func.
Left primary (main) bronchus, inferior to carina airways

Id + func.
Horizontal fissure, separates the right superior lobe from the right middle lobe

Oblique fissure

id + func.
Right inferior lobe, gas diffusion

id + func.
Right middle lobe, gas diffusion

id + func.
Right superior lobe, gas diffusion

id + func.
Left superior lobe, gas diffusion

id + func.
trachea, tube for air delivery

Oblique fissure

id + func.
Left inferior lobe, gas diffusion

id + func.
Thyroid cartilage, part of the larynx, keeps the larynx open, attachment for vocal folds

id + func.
trachea, tube for air delivery

id + func.
Left main bronchus, inferior to carina airways

id + func.
Pulmonary vein, transport oxygenated blood from lungs to the left atrium

id + func.
Pulmonary artery, pulmonary artery, carry deoxygenated blood from the heart's right ventricle to the lungs

id + func.
Right main bronchus, inferior to carina airways

id + func.
nose, incoming air , warms and moistens air, captures debris in hair
upper trachea
airway

id + func.
Carina, place where the trachea bifurcates

1.
outer cage/thoracic cavity

2.
“trachea”

3.
primary bronchus

4.
Lungs

5.
pleural cavity

6.
diaphragm
pull diaphragm down: What happened to the lungs?
Lung inflated
pull diaphragm down: What happened to the volume in the pulmonary cavity?
increased
pull diaphragm down: What happened to the pressure in the pulmonary cavity?
decreased
pull diaphragm down: Why did air enter the “lungs”?
moved from high to low pressure
Which skeletal muscles work with the diaphragm during quiet inspiration?
External intercostals
push diaphragm upwards: What happened to the lungs?
deflate
push diaphragm upwards: What happened to the volume in the pulmonary cavity?
decreased
push diaphragm upwards: What happened to the pressure in the pulmonary cavity?
increased
push diaphragm upwards: Why did air enter leave “lungs”?
moved from high pressure to low pressure
How does quiet expiration differ from quiet inspiration?
Expiration is passive (requires no ATP)

name and def.
Total Lung Capacity (TLC), the amount of exchangeable and nonexchangeable air; equals the sum of all pulmonary volumes

name and def.
Inspiratory Reserve Volume (IRV), maximum volume of air that can be forcibly inspired after a tidal respiration

name and def.
Tidal Volume (TV), volume of air exchanged during each normal (quiet) breath

name and def.
Expiratory Reserve Volume (ERV), maximum volume of air that can be forcibly expired after a tidal respiration

name and def.
Vital Capacity (VC), total amount of exchangeable air; equals the sum of TV, ERV, and IRV.

name and def.
Expiratory Capacity (EC), the maximum volume of air that can be exhaled following a normal (quiet) inhalation. TV + ERV = EC

name and def.
Inspiratory Capacity (IC), total amount of air that can be inspired; IC = TV + IRV

name and def.
Functional Residual Capacity (FRC), total amount of air that normally remains in the lungs after a tidal expiration; FRC = RV + ERV

name and def.
Residual Volume (RV), volume of air that remains in the lungs after a forced expriation.
How can you calculate respiratory rate
By counting breaths in 15 seconds * 4= breaths per minute
Calculate the predicted VC for a male
VC = (0.052 H) - (0.022 * A) - 3.60
H = height in cm
A = age in years
Calculate the predicted VC for a female
VC = (0.041 H) - (0.018 * A) - 2.69
H = height in cm
A = age in years
Calculate IC
IC = TV + IRV
Calculate EC
EC = TV + ERV
Calculate FRC
FRC = ERV + RV
Calculate TLC
TLC = RV + TV + IRV + ERV
Things that could decrease the predicted VC of a person?
- Smoking (tubes + alveoli damage)
- Asthma (tube issue)
- Bronchitis (tube issue)
- Age (loose elasticity of lungs)
- Trauma (cage and recoil issue)
- Nerves that innervate diaphragm

id and func. + which lung
Right Lung
Hilum, things enter exit the lung. Has pulmonary artery, vein and bronchi

id and func. + which lung
Left Lung
Hilum, things enter exit the lung. Has pulmonary artery, vein and bronchi

id and func. + which lung
Right Lung
pulmonary arteries, carry deoxygenated blood from the heart's right ventricle to the lungs

id and func. + which lung
Left Lung
pulmonary arteries, carry deoxygenated blood from the heart's right ventricle to the lungs

id and func. + which lung
Right Lung
Horizontal fissure, separates the right superior lobe from the right middle lobe

id and func. + which lung
Right Lung
middle lobe, gas diffusion