1/109
Looks like no tags are added yet.
Name | Mastery | Learn | Test | Matching | Spaced | Call with Kai |
|---|
No analytics yet
Send a link to your students to track their progress
Kidney
Structure responsible for filtration of the ammonia wastes from the blood
Cortex
Outer layer of Kidney
Medulla
Middle layer, contains renal pyramids with calyx at end connecting to the pelvis
Pelvis
Inner layer, where collecting ducts drain the urine to the ureter
Ureter
Tube that connects the kidney to the urinary bladder
Urinary Bladder
Reservoir for urine to be expelled from the body
Urethra
Connects the urinary bladder to the outside of the body.
Glomerulus
Capillary bed that forces fluid containing salts, glucose, vitamins, and nitrogenous waste out of hte blood
Bowman’s Capsule
Receives filtrate from the glomerulus
Nephron
Functional unit of the kidney
Proximal convoluted tuble
Remove sodium chloride, potassium, water, and other nutrients from nephron to return to blood.
Loop of Helne
Forms a concentration gradient that removes additional water and sodium chloride from the blood, producing concentrated urine
Distal convoluted tuble
selectively remove additional water and sodium chloride from the urine, but absorb potassium into nephron
Collecting duct
Convergence point which further concentrates urine as it travels to the ureter
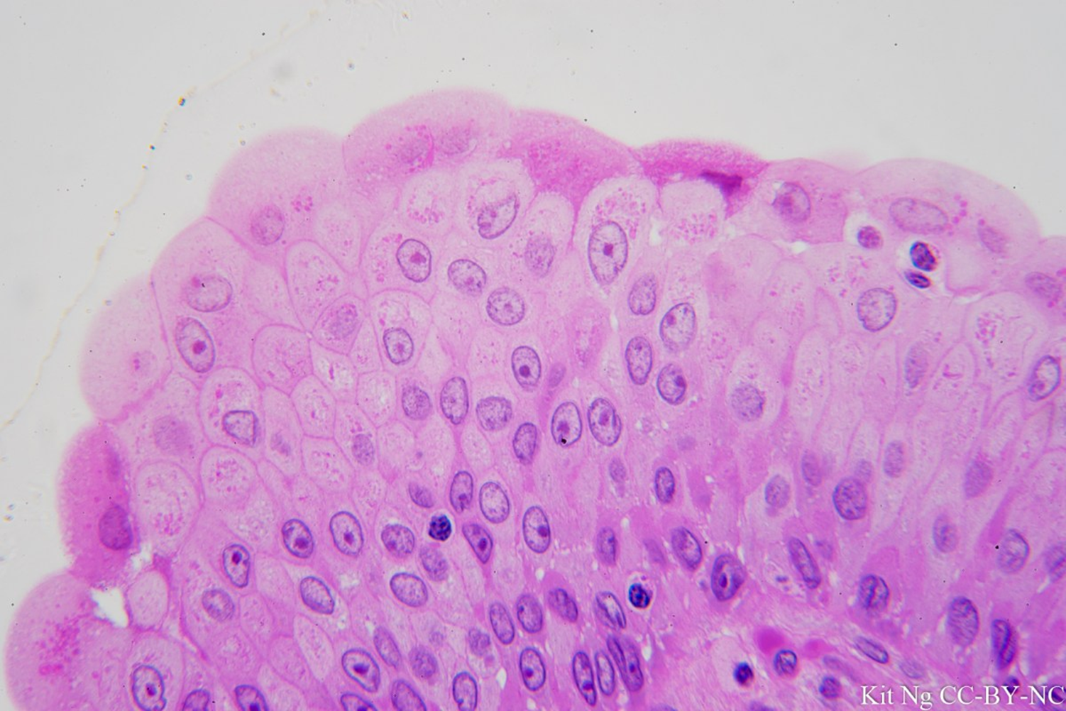
What is this?

Transitional epithelium (bladder)
Kidney Anatomy

Testes
Area of Sperm Production
Seminiferous Tubles
Convoluted tubes where spermatids are produced via meiosis
Spermatids
Immature Sperm
Leydig/Interstitial cells
Located outside of the tubules, produce testosterone
Scrotum
Sac of skin that contains testes
Epididymis
Structure coiled around the testes, site of spermatid maturation into spermatozoa
Spermatozoa
Mature Sperm
Vas Deferens
Tube that brings sperm into the body cavity and empties them into the urethra
Ejaculatory Duct
Duct that combines seminal vesicle and duct and vas deferens. This passes through the prostate.
Urethra
Tube that carries sperm and urine out of the body
Penis
Organ containing the urethra, organ for copulation
Seminal Vesicles
Produce about 60% of the total contribution to the semen, secretes fructose and prostaglandins
Prostate/Preputial Gland
Secretes enzyme that help to buffer the acidity of the vagina
Bulbourethral/Cowper’s glad
Secrets a small amount of fluid in humans, usually released as pre-ejaculate which contains a small amount of mature sperm
Inguinal Canal
Hole in the abdominal muscle where the vas deferens enters the body cavity.
Ovary
Organ which produces eggs
Oviduct/Fallopian tube
Site of fertilization, acts as collecting duct for eggs, does not physically touch ovary
Fimbrae
Finger-like projections at the lateral end which creating sweeping movements to draw the eggs(s) into the oviduct
Uterus
Site of implantation, 3 parts in the pig
Uterus Horns
Provide in increased surface area for embryo attachment
Uterus Body
Main, central component of the uterus
Uterus Cervix
Semi-cartilaginous ring of tissue separating the body of the uterus from the vagina.
Vagina
Passage for birth, tube which provides frictional surface to stimulate male ejaculation
Urogenital sinus/ Vaginal Vestituble
Commons tube that recieves from both the urethra and the vagina in the pig
Genital Papillae
Projection that lies just ventral to the urogenital opening in the female pig, homologous to the human clitoris
Hormonal IUD/IUS
Releases progestin hormone into the uterus which thickens cervical mucus and thus inhibits sperm from reaching the egg, thins the uterine lining, or prevent the ovary from releasing eggs.
Copper IUD
prevents sperm from reaching the egg and copper is a natural spermicide.
Goiter
Enlarged Thyroid
What gland produces Oxytocin and ADH?
Hypothalamus
Which gland Releases Oxytocin and ADH?
Posterior Pituitary
Oxytocin
Smooth Muscle contraction in the uterus
Constricts ducts in breast to allow milk flow
Smooth muscle contraction during ejaculation
ADH
Water conservation via the kidney distal convoluted ducts
What does the Anterior Pituitary produce and release?
Growth Hormone, Prolactin, Follicle Stimulating Hormone (FSH), Luteinizing Hormone (LH), Thyroid Stimulating Hormone (TSH), Adrenocorticotropic Hormone, Melanocyte Stimulating Hormone (MSH), Endorphins
Growth Hormone
Elongation of the long bones, puberty growth spurt
Prolactin
Milk Production; Increase potency of testosterone
Follicle Stimulating Hormone (FSH)
Follicle/Egg Development, Sperm Development
Luteinizing Hormone
Triggers Ovulation on Day 14 of menstrual cycle; Production of testosterone by leydig cells
Thyroid Stimulating Hormone (TSH)
Production and release of T3 and T4 from thyroid
Adrenocorticotropic Hormone
Production and release of glucocorticoids by the zona fasciculata of the adrenal cortex
Melanocyte Stimulating Hormone (MSH)
Darkens the skin after UB exposure by increasing melanin
Endorphins
Natural Pain killer
Estrogens: Mechanism of Action
Ovulation: Inhibits the hypothalamus to suppress FSH and LH release.
Implantation: Prevents the fertilized egg from attaching to the uterus.
Ovum Transport: Accelerates the movement of the egg.
Luteolysis: Causes degeneration of the corpus luteum, dropping progesterone levels to prevent placental attachment.
What are the 2 forms of Oral Birth Control
Estrogens and Progestins
Peak Fertility Window
High Risk of Pregnancy:
Timing: Most likely to occur around the time of ovulation.
Sperm Longevity: Sperm can survive for up to 7 days in the female reproductive tract.
Effective Window: Conception is possible if intercourse occurs up to a full week before ovulation happens.
Low Fertility Window
Lowest Risk of Pregnancy:
Pre-Menses: Immediately before the period begins.
During Menses: While menstruation (the period) is actively occurring.
What hormone does the Thyroid produce AND release
Triiodothyronine (T3), Thyroxine (T4), and Calcitonin
T3 & T4
Regulate metabolism, low levels results in lethargy, weight gain)
Calcitonin
Lowers blood calcium levels when too high
Causes excess calcium to be stored in the bones
What hormone is produced and released by parathyroid
Parathyroid Hormone (PTH)
PTH
Raises blood calcium levels when too low. Causes bone breakdown
What 3 hormones does the pancreas produce and release?
Insulin, Glucagon, Somatostatin
Insulin
Lowers blood glucose levels when too high
causes conversion of glucose into of glycogen in liver
Glucagon
Raises blood glucose levels when too low
Causes breakdown of glycogen stored in liver
Somatostatin
Inhibits insulin and glucagon when blood sugar is optimal
What hormones does the Adrenal Gland produce and release
Epinephrine, Noepinephrine, Androgens, Glucocorticoids, Mineralocorticoids
Epinephrine and Noepinephrine
Flight or fight response
Shunts blood away from digestive system in favor of the brain, heart, skeletal muscles, and lungs
Androgens
Testosterone and regulates the libido/sex drive
Glucocorticoids
Cortisone
reduces inflammation
Raises blood glucose levels by breakdown of lipids and proteins
Mineralocorticoids
Aldosterone
Increases Sodium reabsorption by kidneys, leading to greater water retention and increased blood pressure
Where exactly is epinephrine and noepinephrine produce in adrenal gland?
medulla
Where exactly are androgens produced in adrenal gland
Zona reticularis of the cortex
Where exactly are Glucocorticoids produced in adrenal gland
Zona Fasciculata of the cortex
Where exactly are Mineralocorticoids produced in adrenal gland
zona glomerulosa of the cortex
What hormone is produced and released by testes
Androgens (testosterone)
Androgens
Facilitates proper sperm production
Maintains secondary sex characteristics: hair pattern, upper chest development, vocal cord lengthening and thickening, enlargement of genitalia during puberty.
Ovary produces and releases what hormones?
Progesterone & Estrogen
Progesterone
Keeps uterus lining in a thickened state during pregnancy
causes abortion of fetus if levels drop below optimal
Estrogen
Facilitates proper follicle development
maintains secondary sex characteristics:
hair patterns, fat deposition around mammary glands, fat deposition in hips, pelvic girdle bones shallowing and widening
What hormone produced and released in Pineal Gland?
Melatonin
Melatonin
Regulation of circadiun rhythms
Increased levels cause sleepiness
What does thymus produce and release?
Thymosin
Thymosin
Stimulates Development of lymphocytes/ T cells by thymus

What structure is arrow pointing to?
Adrenal Gland

What structure is Arrow pointing to?
Interlobular Vessels

What structure is arrow pointing to?
Arcuate Vessels

What structure is arrow pointing to?
Renal Vein

What structure is arrow pointing to?
Renal Pyramid

What structure is arrow pointing to?
Renal Artery

What structure is arrow pointing to?
Renal Pelvis

What structure is arrow pointing to?
Calyx

What structure is arrow pointing to?
Renal Medulla

What structure is arrow pointing to?
Renal Cortex

What structure is arrow pointing to?
Ureter

What structure is arrow pointing to?
Bowman’s Capsule