1/39
Looks like no tags are added yet.
Name | Mastery | Learn | Test | Matching | Spaced | Call with Kai |
|---|
No analytics yet
Send a link to your students to track their progress

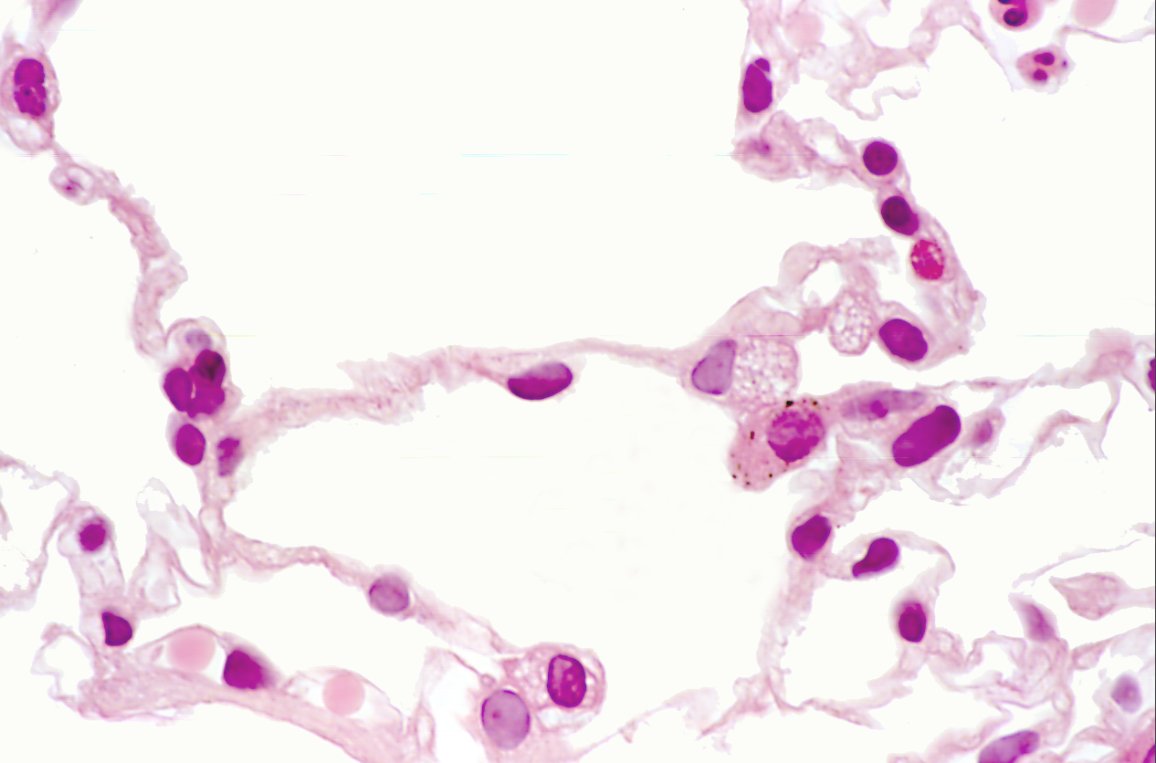
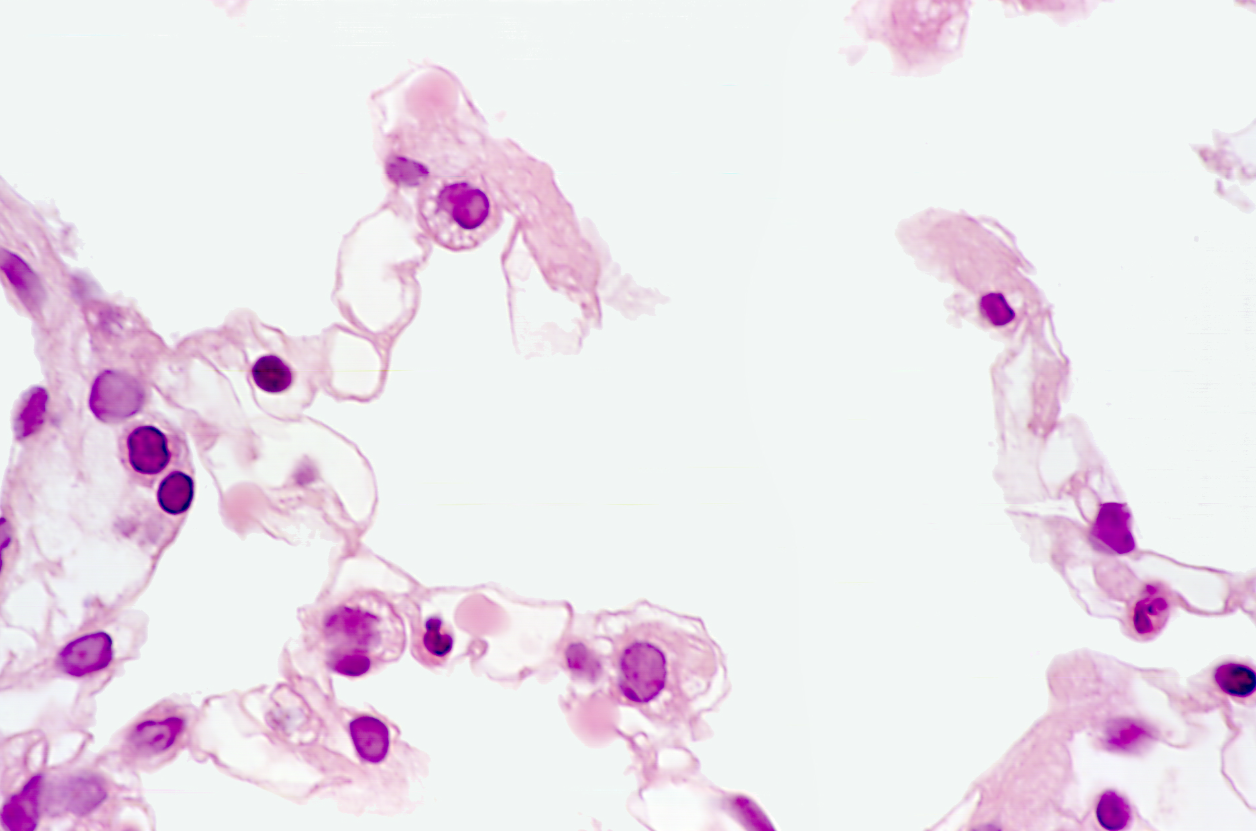
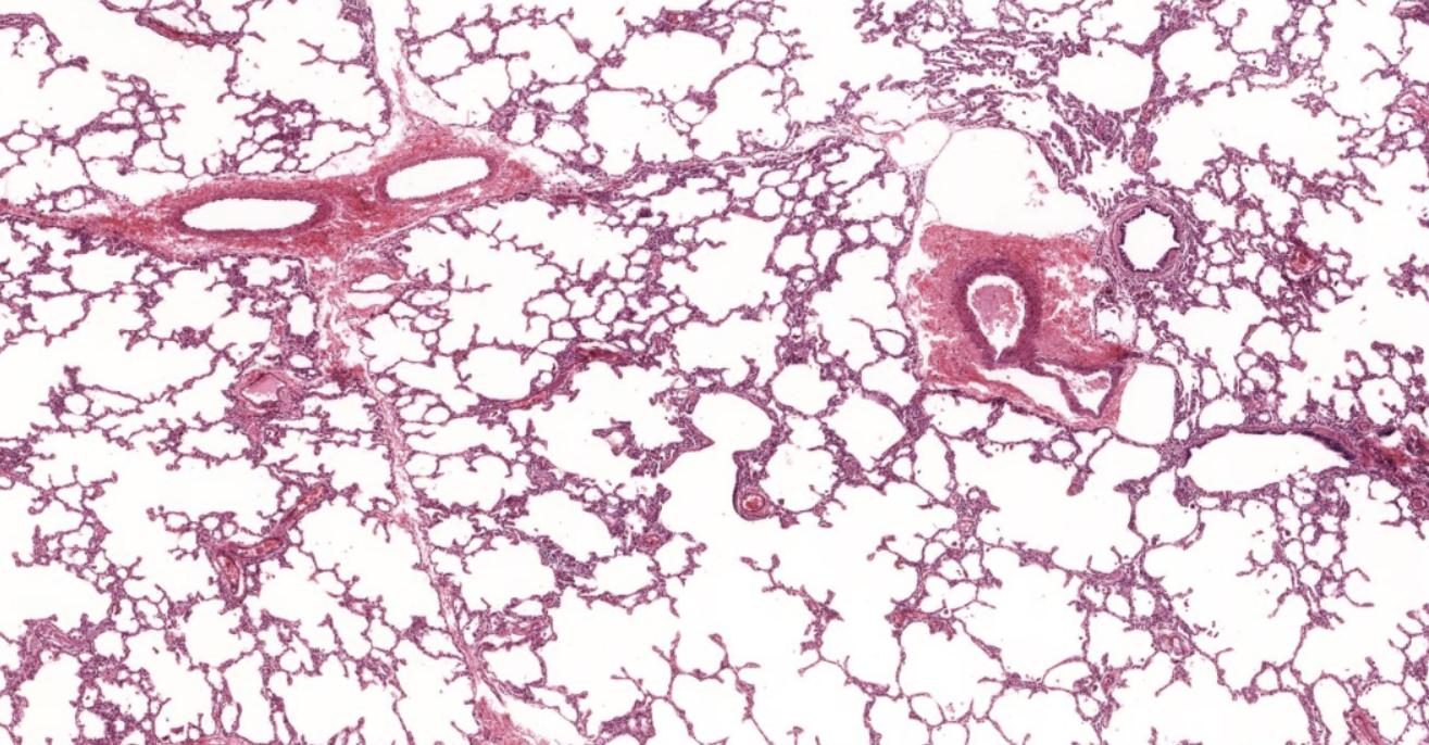
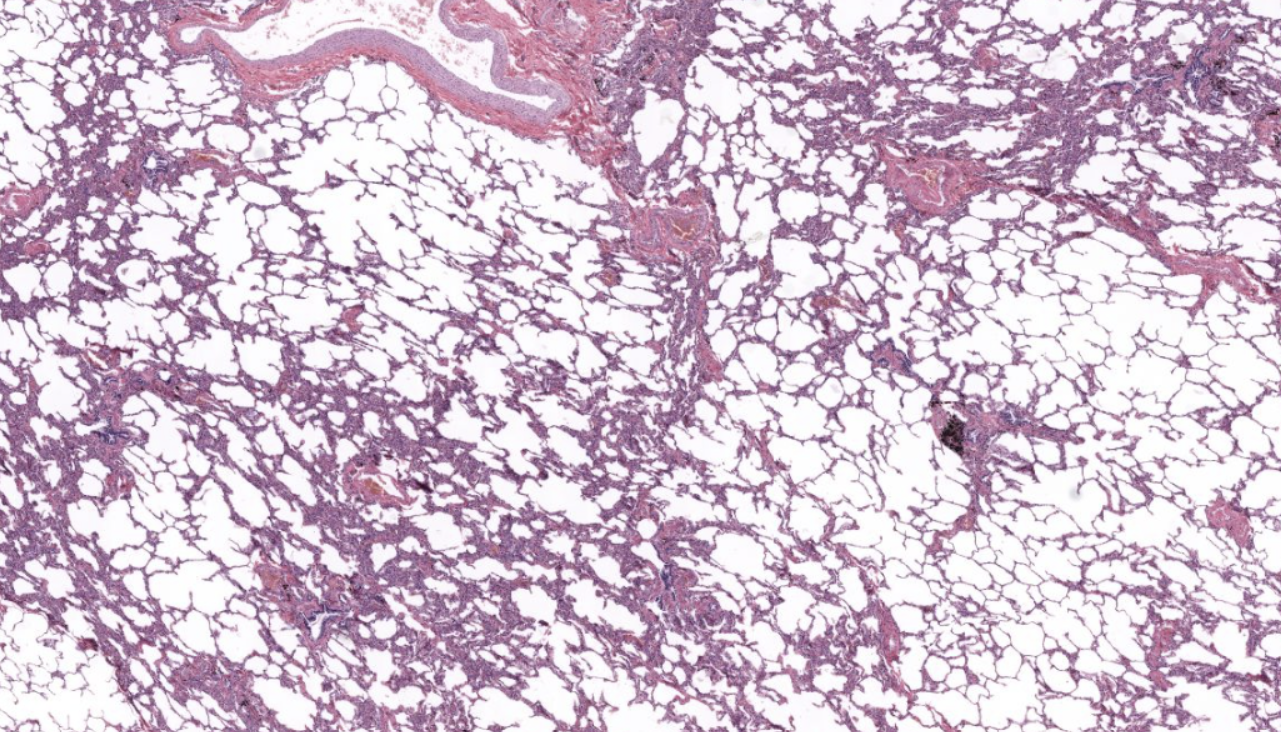
Lung tissue
NOTICE: THE OPEN SPACE OF THE ALVEOLI


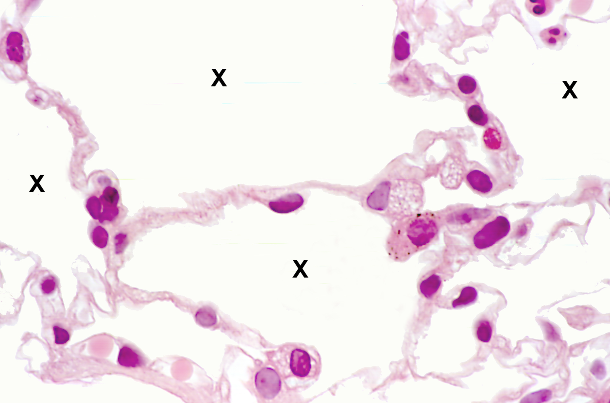
Lung tissue
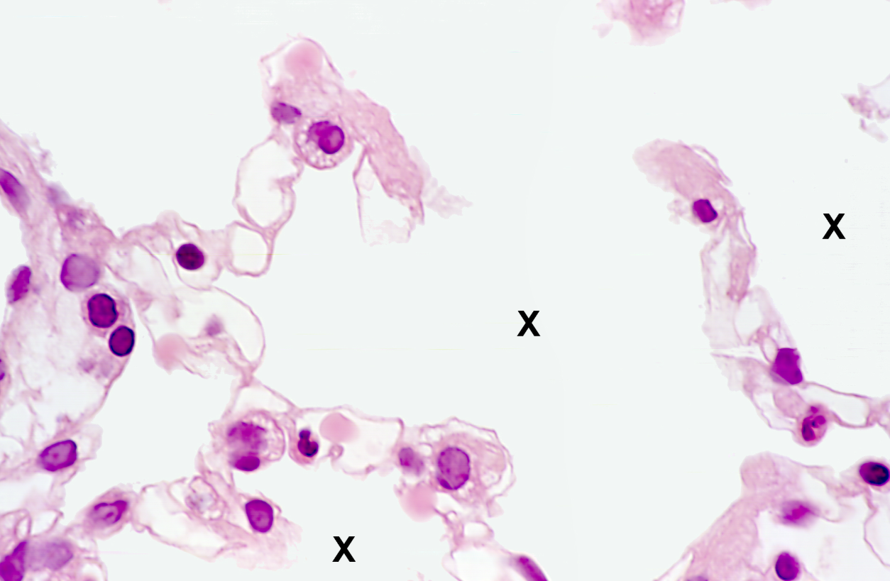
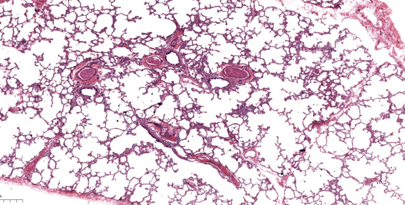
NOTICE: THE OPEN SPACE OF THE ALVEOLI


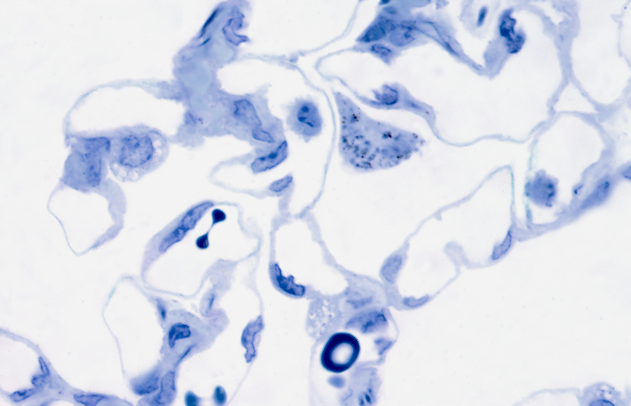
Lung tissue
NOTICE: THE OPEN SPACE OF THE ALVEOLI


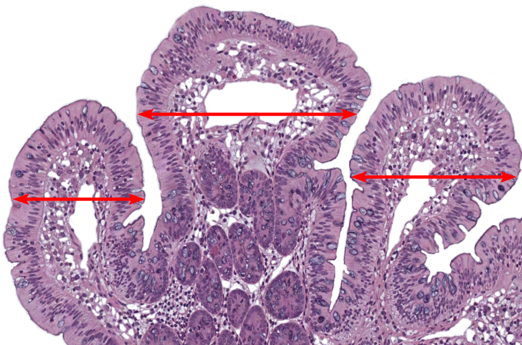
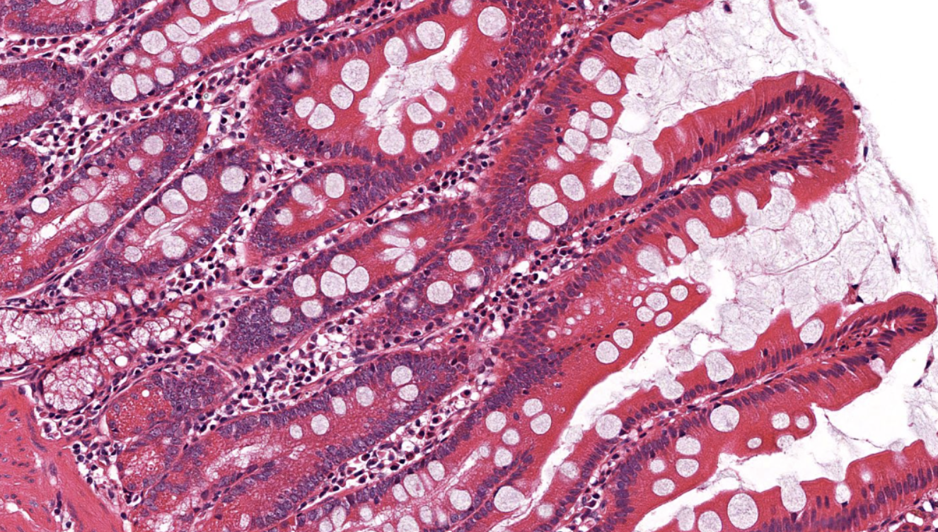
Colon
NOTICE: THE LARGE NUMBER OF GOBLET CELLS WHICH ARE LIGHTER IN COLOR DUE TO THE WATER CONTENT NEEDED TO PROTECT FROM SOLID WASTE, THE MUCOSA ALSO HAS MORE UNIFORM RIDGES


Colon
NOTICE: THE LARGE NUMBER OF GOBLET CELLS WHICH ARE LIGHTER IN COLOR DUE TO THE WATER CONTENT NEEDED TO PROTECT FROM SOLID WASTE, THE MUCOSA ALSO HAS MORE UNIFORM RIDGES


Colon
NOTICE: THE LARGE NUMBER OF GOBLET CELLS WHICH ARE LIGHTER IN COLOR DUE TO THE WATER CONTENT NEEDED TO PROTECT FROM SOLID WASTE, THE MUCOSA ALSO HAS MORE UNIFORM RIDGES


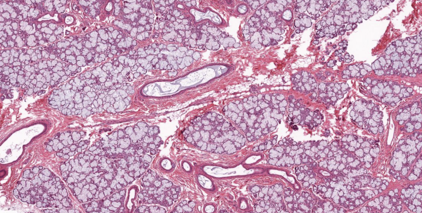
Salivary Gland
NOTICE: THE OPEN SPACES WHICH IS THE DUCTS THAT THE SECRETIONS ARE RELEASED THROUGH


Salivary Gland
NOTICE: THE OPEN SPACES WHICH IS THE DUCTS THAT THE SECRETIONS ARE RELEASED THROUGH


Salivary Gland
NOTICE: THE OPEN SPACES WHICH IS THE DUCTS THAT THE SECRETIONS ARE RELEASED THROUGH


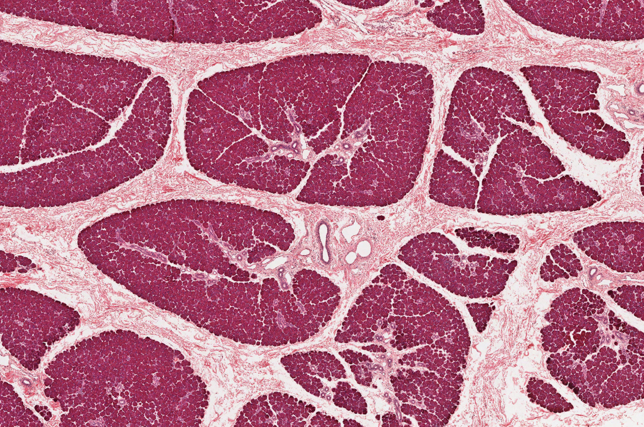
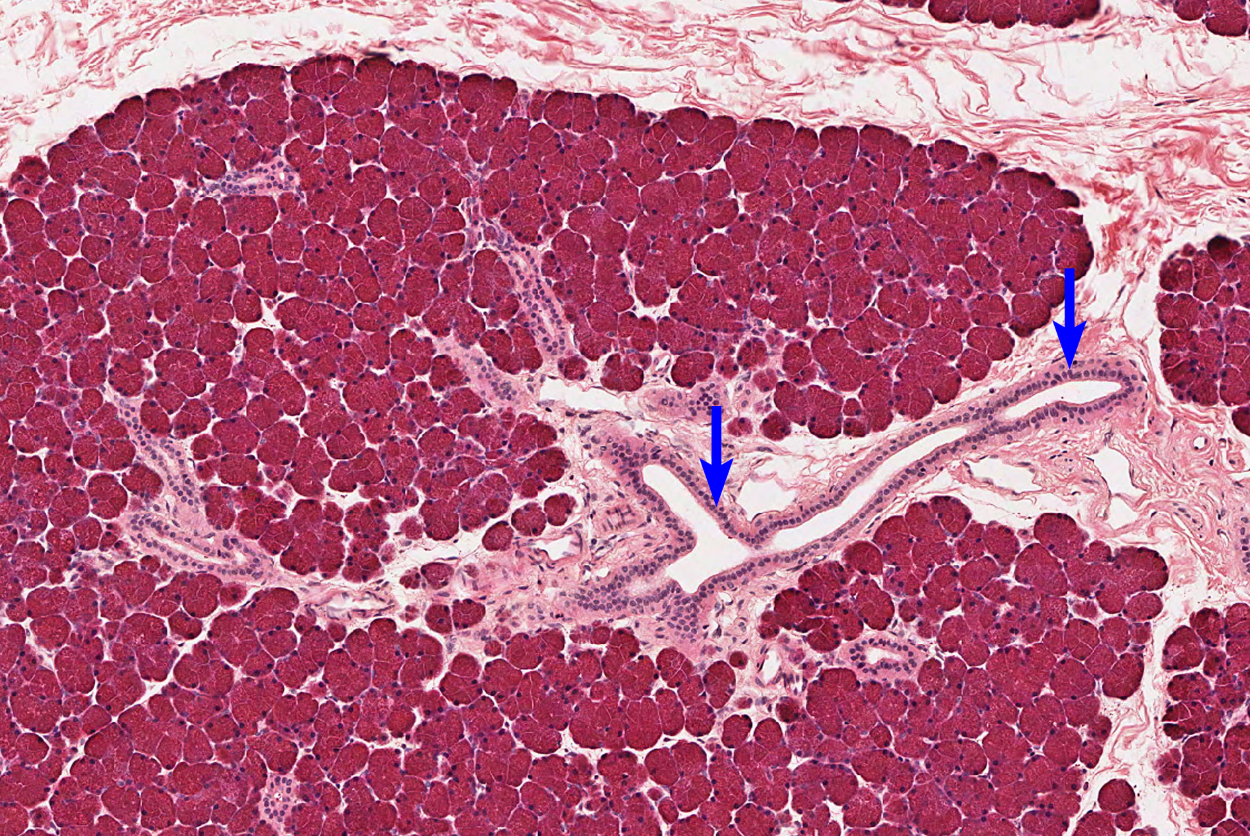
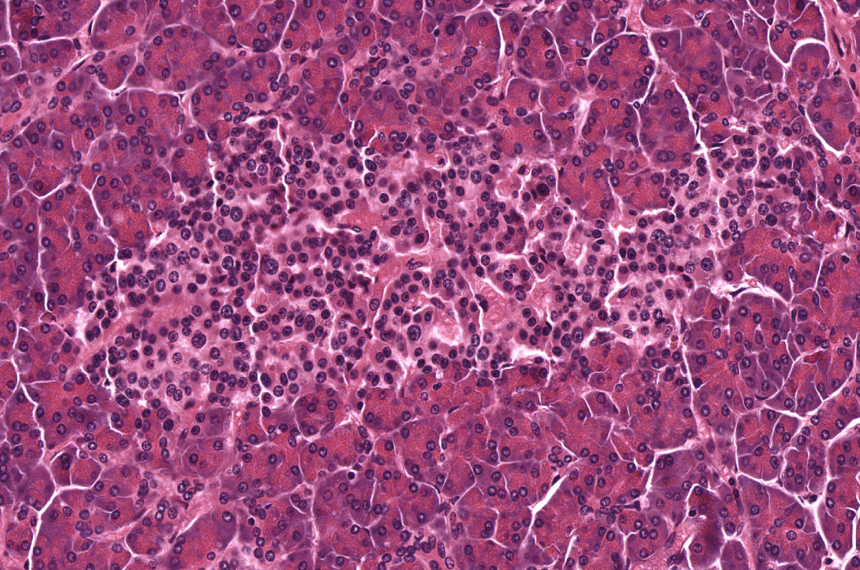
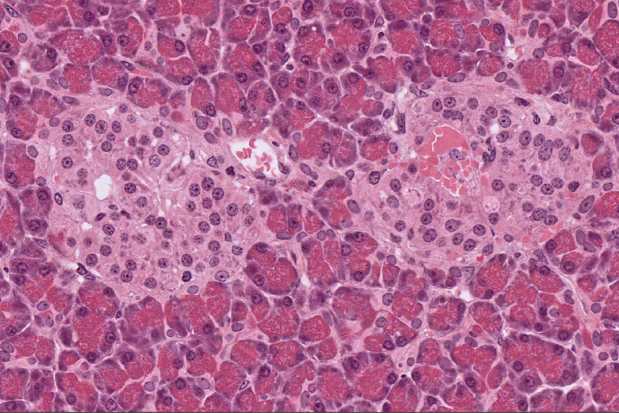
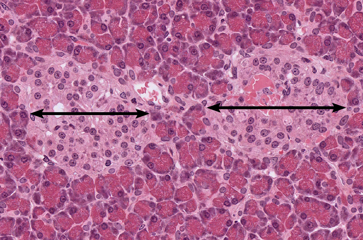
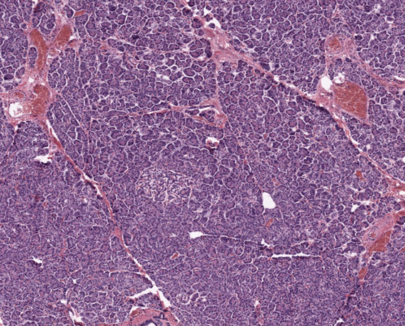
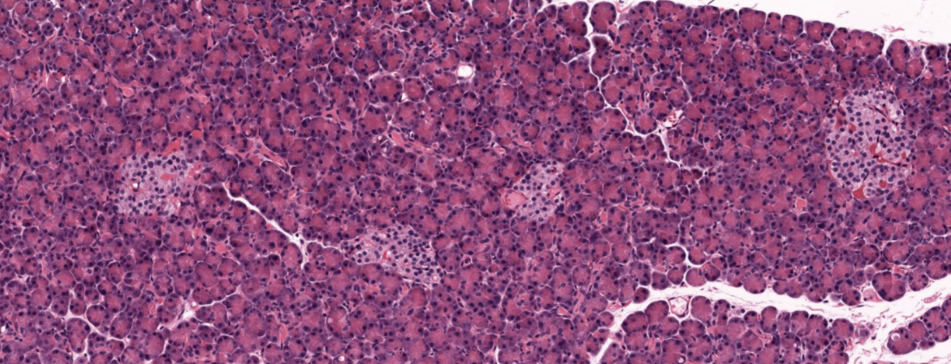
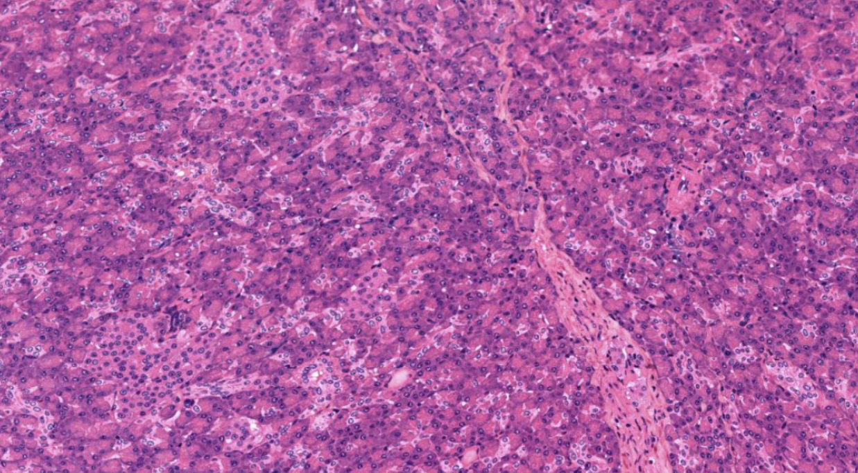
Pancreas
NOTICE: ISLET OF LANGERHANS WHICH ARE ENDOCRINE CELLS ALL PACKED TOGETHER


Pancreas
NOTICE: ISLET OF LANGERHANS WHICH ARE WHERE ENDOCRINE CELLS ALL PACKED TOGETHER


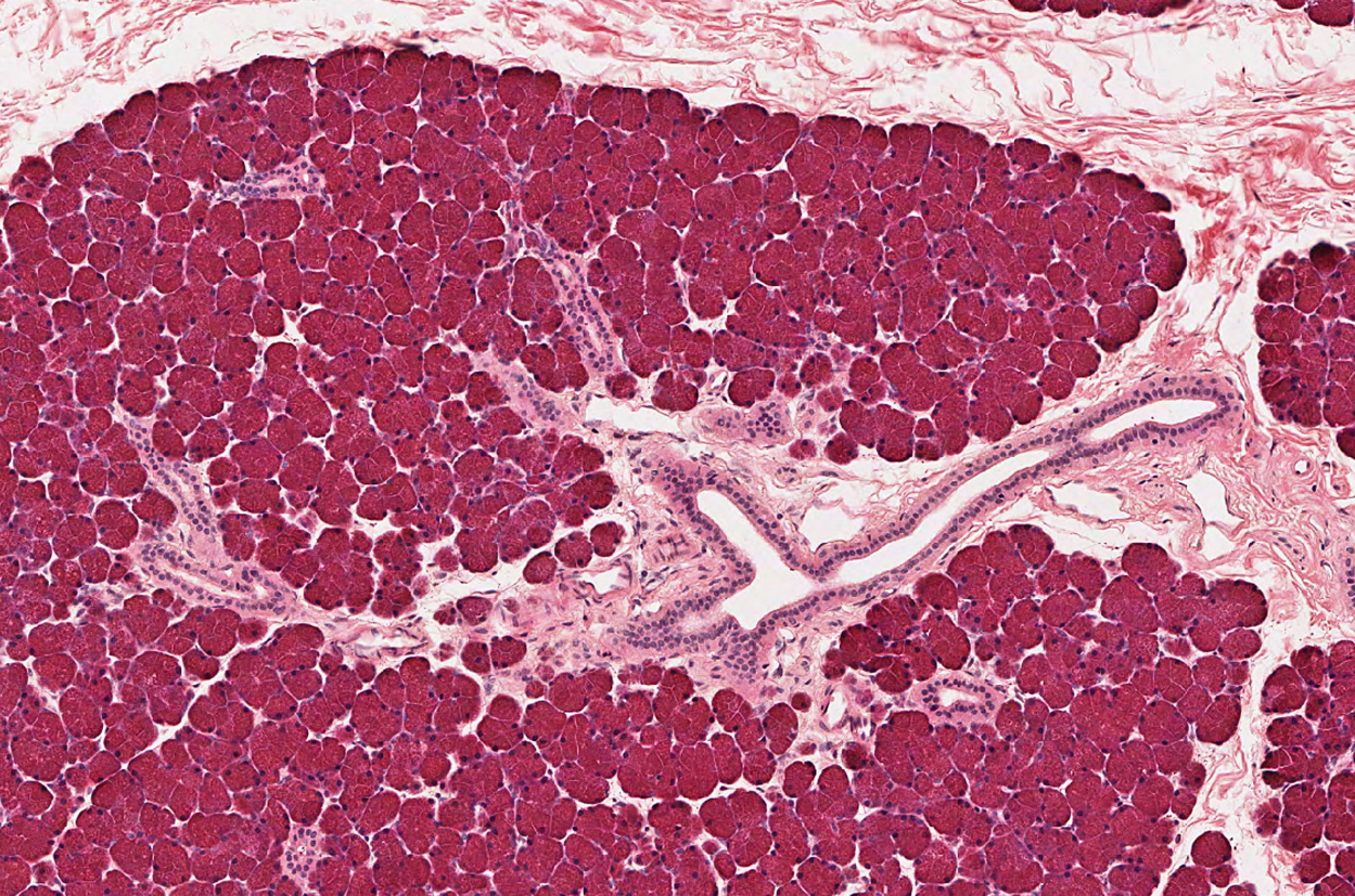
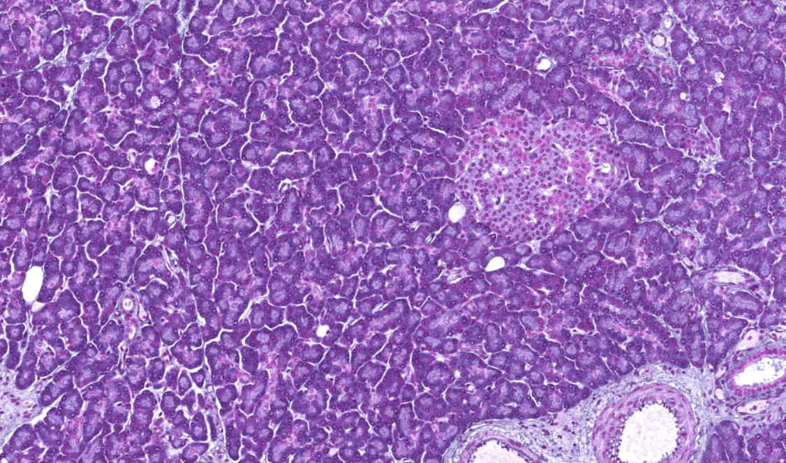
Pancreas
NOTICE: ISLET OF LANGERHANS WHICH ARE WHERE ENDOCRINE CELLS ALL PACKED TOGETHER


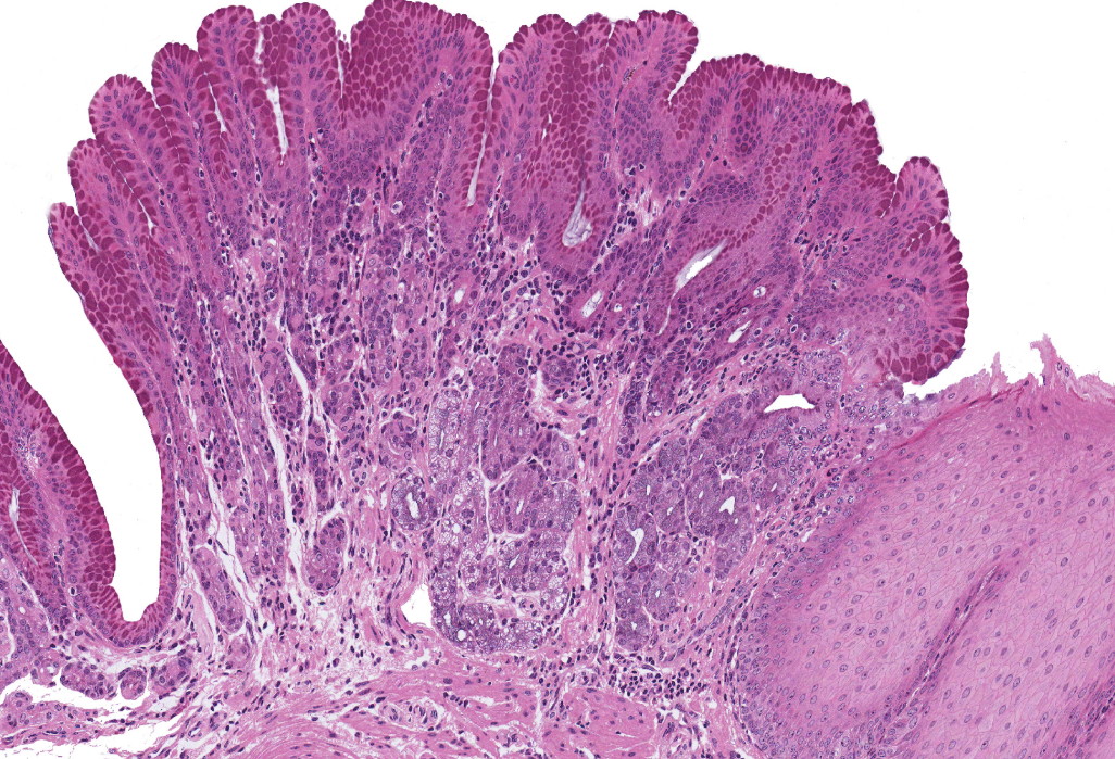
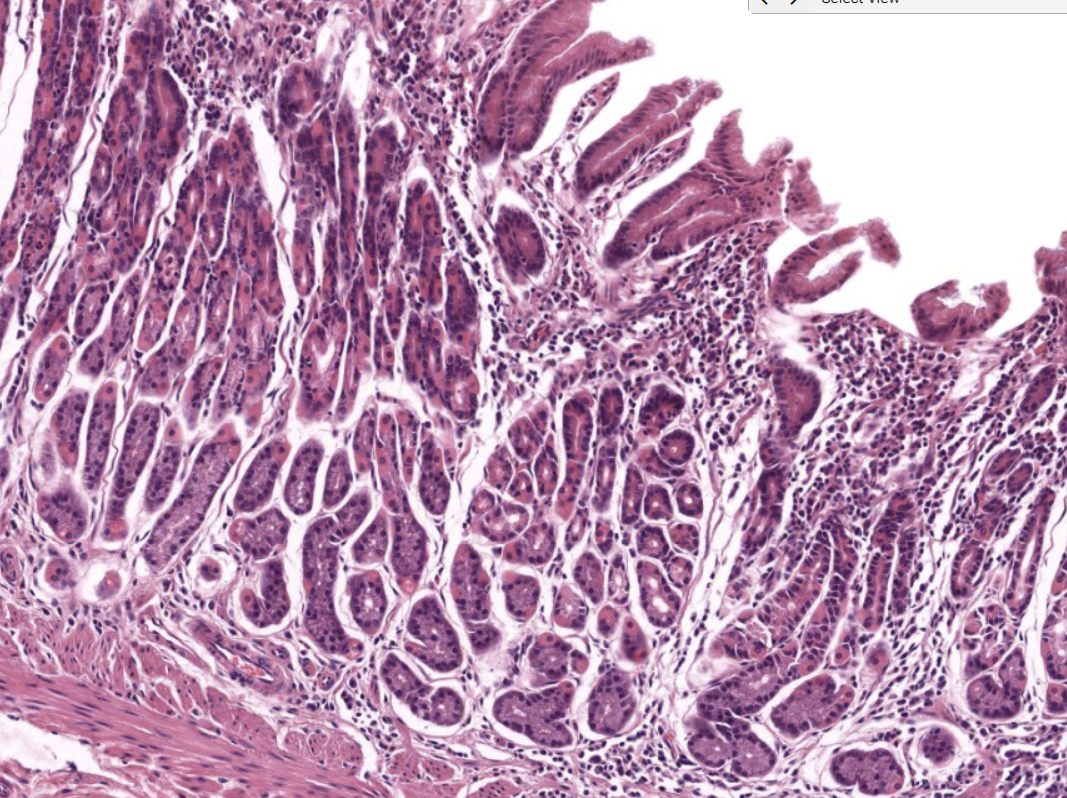
Stomach
NOTICE: THE DEEP GASTRIC PITS WITH DARK STAINED GASTRIC GLANDS AROUND THEM AND NOT MANY GOBLET CELLS


Stomach
NOTICE: THE DEEP GASTRIC PITS WITH DARK STAINED GASTRIC GLANDS AROUND THEM AND NOT MANY GOBLET CELLS


Stomach
NOTICE: THE DEEP GASTRIC PITS WITH DARK STAINED GASTRIC GLANDS AROUND THEM AND NOT MANY GOBLET CELLS


Stomach
NOTICE: THE DEEP GASTRIC PITS WITH DARK STAINED GASTRIC GLANDS AROUND THEM AND NOT MANY GOBLET CELLS


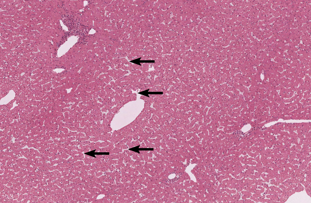
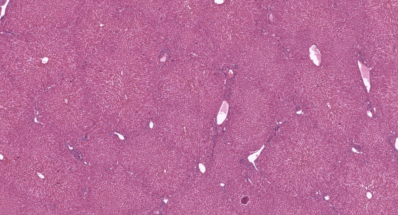
Liver
NOTICE: THE TIGHTLY PACKED HEPATOCYTES FORMING THE UNIQUE HEXAGONAL SHAPE OF THE LOBULES AND THE LIVER SINUSOIDS THAT SUPPLY THEM WITH NUTRIENTS


Liver
NOTICE: THE TIGHTLY PACKED HEPATOCYTES FORMING THE UNIQUE HEXAGONAL SHAPE OF THE LOBULES AND THE LIVER SINUSOIDS THAT SUPPLY THEM WITH NUTRIENTS


Liver
NOTICE: THE TIGHTLY PACKED HEPATOCYTES FORMING THE UNIQUE HEXAGONAL SHAPE OF THE LOBULES AND THE LIVER SINUSOIDS THAT SUPPLY THEM WITH NUTRIENTS


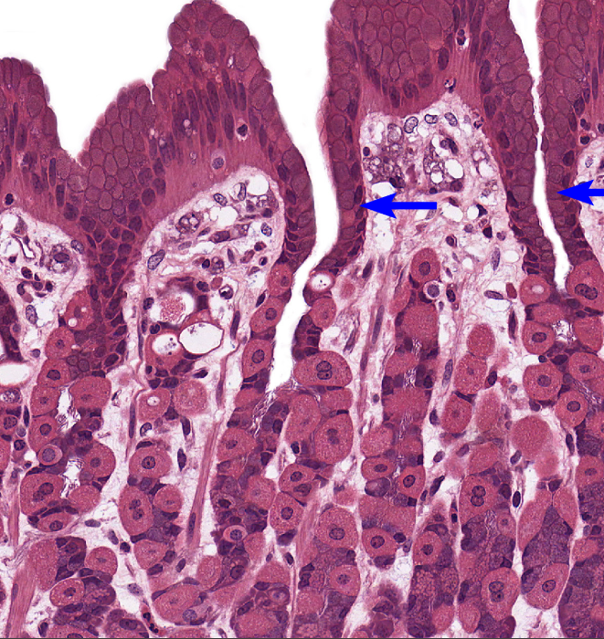
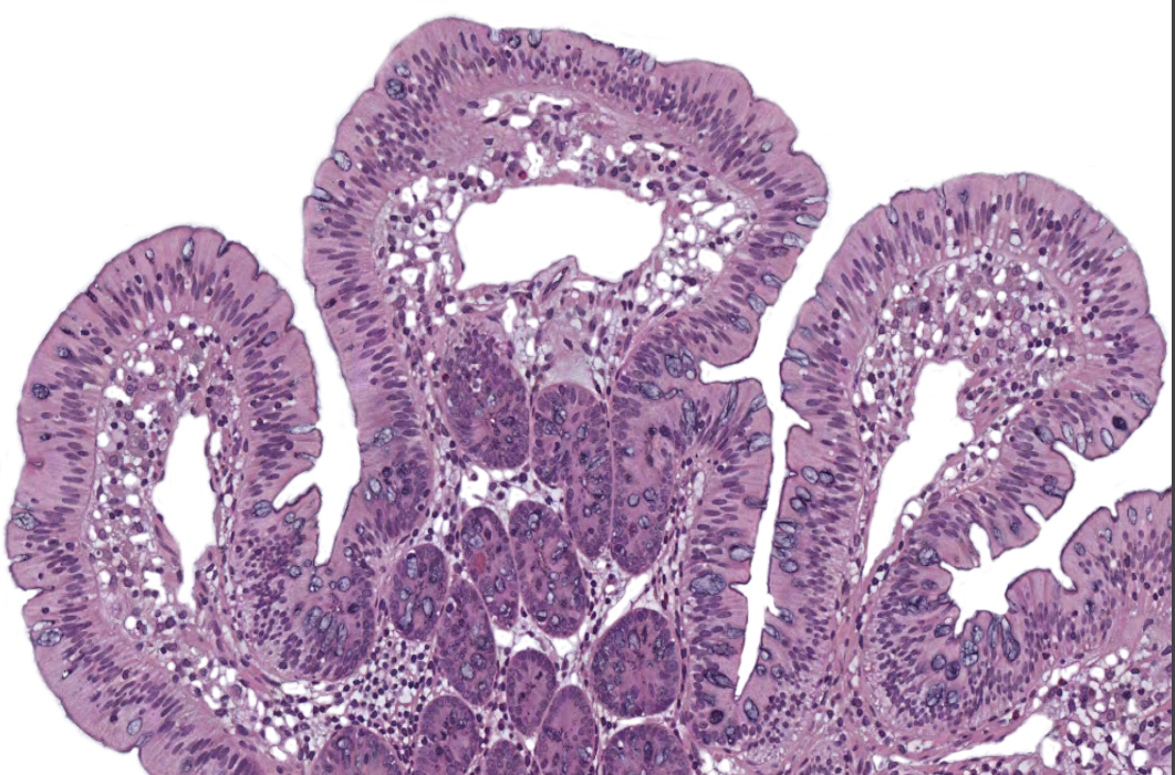
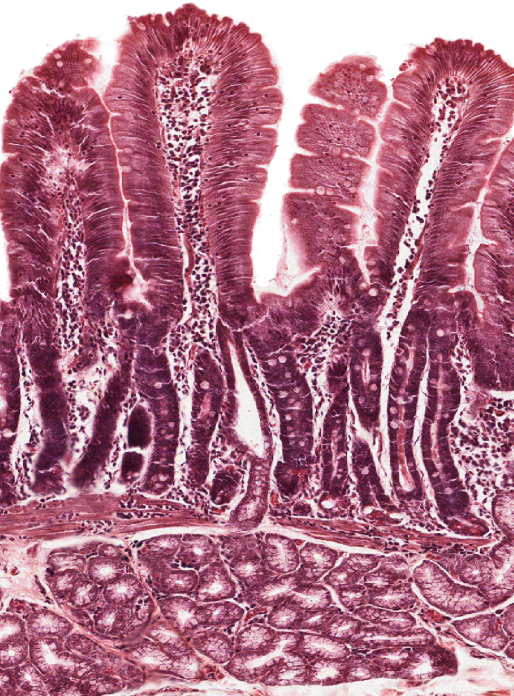
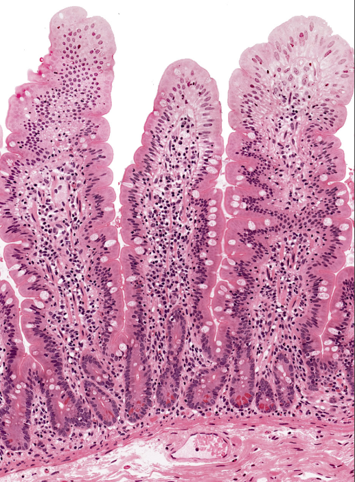
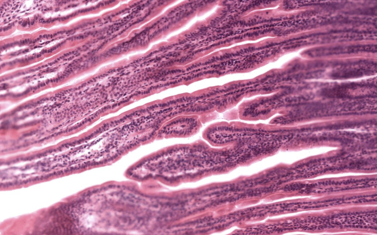
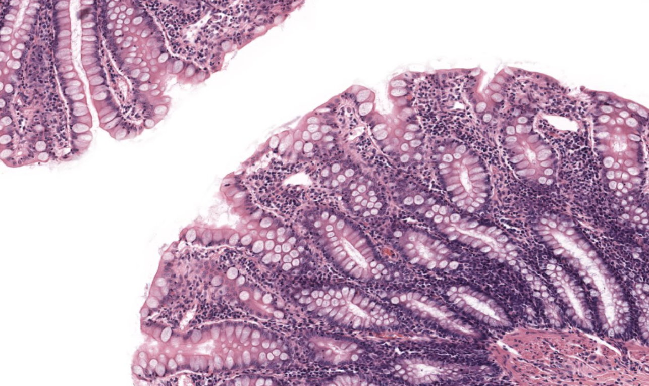
Small Intestine
NOTICE: THE FINGER-LIKE PROJECTIONS (VILLI) WITH OPEN SPACE INSIDE AND A FEW GRAY/BLUE GOBLET CELLS ALONG THE SIDES (NOT AS MANY AS LARGE INTESTINE


Small Intestine
NOTICE: THE FINGER-LIKE PROJECTIONS (VILLI) WITH OPEN SPACE INSIDE AND A FEW GRAY/BLUE GOBLET CELLS ALONG THE SIDES (NOT AS MANY AS LARGE INTESTINE


Small Intestine
NOTICE: THE FINGER-LIKE PROJECTIONS (VILLI) WITH OPEN SPACE INSIDE AND A FEW GRAY/BLUE GOBLET CELLS ALONG THE SIDES (NOT AS MANY AS LARGE INTESTINE


Small Intestine
NOTICE: THE FINGER-LIKE PROJECTIONS (VILLI) WITH OPEN SPACE INSIDE AND A FEW GRAY/BLUE GOBLET CELLS ALONG THE SIDES (NOT AS MANY AS LARGE INTESTINE


Stomach

Small Intestine

Small Intestine

Large Intestine (colon)

Large Intestine (colon)

Pacreas

Pancreas

Pancreas

Salivary Gland

Salivary Gland

Salivary Gland

Pancreas

Liver

Liver

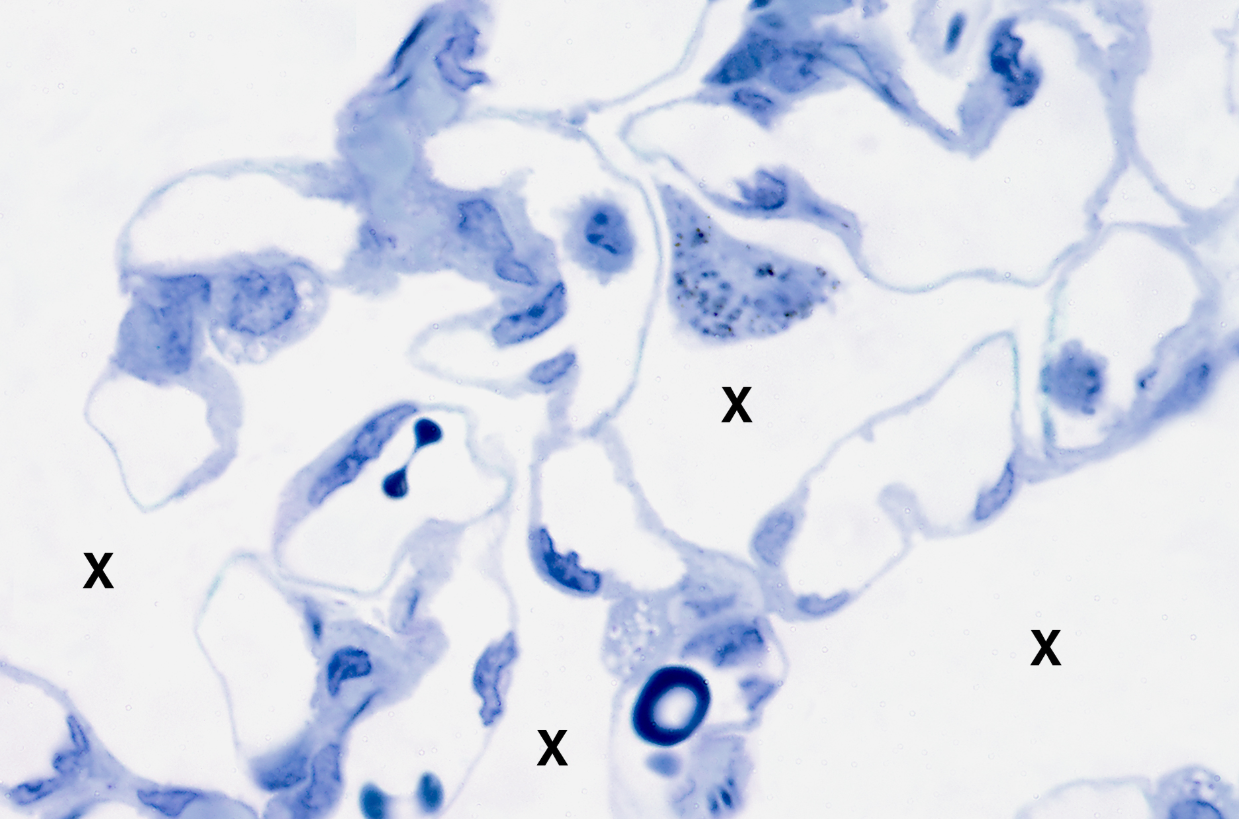
Lung

Lung

Lung