1/106
Looks like no tags are added yet.
Name | Mastery | Learn | Test | Matching | Spaced | Call with Kai |
|---|
No analytics yet
Send a link to your students to track their progress
a cephalic index [>0.85] of 90% in a 28w fetus would be most suggestive of
.
a) exencephaly + spina bifida
b) microcephaly + triploidy
c) dolichocephaly + trisomy 21
d) trisomy 21 + brachycephaly
d) trisomy 21 + brachycephaly

the lecithin/sphingomyelin ratio is used to
.
a) assess the risk for trisomy using chromosomal markers
b) stage endometrial cancer
c) evaluate the mother for Rh antibodies
d) evaluate fetal lung maturity
d) evaluate fetal lung maturity

a dx of IUGR is made when the biometric measurements are more than ___ standard deviations below normal
.
a) 1
b) 2
c) 3
d) 5
b) 2


a pt at 36w for cervical length measurement. she says she has been leaking amniotic fluid for the last few hours.
.
how should the cervical evaluation be performed
.
a) TV approach, empty bladder, sag image
b) cervical measurement cannot be performed on this pt
c) TA approach, moderate bladder distension, sag image
d) translabial approach, empty bladder, sag image
d) translabial approach, empty bladder, sag image

what is menstruation that occurs in >35 days intervals
.
a) oligomenorrhea
b) hypermenorrhea
c) dysmenorrhea
d) polymenorrhea
a) oligomenorrhea


what maternal serum level will be increased
.
this is frog eyes aka anencephaly
.
a) inhibin A
b) estriol
c) delta OD450
d) AFP
d) AFP

which is correct in reference to sterile technique
a) sterile packages or field are opened once the pt checks in for their procedure
b) the only person who must be sterile in the sterile field is the physician performing the procedure
c) when in doubt about sterility, discard the potentially contaminated item, and begin again
d) gowns are considered sterile only from the waist down
c) when in doubt about sterility, discard the potentially contaminated item, and begin again


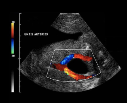
while performing an anatomy scan on a 22w fetus, you are unable to obtain a cross-sectional image of the umbilical cord to show the number of umbilical arteries.
.
what is an alternative method to evaluate the arterial anatomy of the cord
.
a) obtain a cross-section view of the umbilical cord insertion at the placenta + apply color doppler
b) obtain a transverse view of the fetal abd at the level of the kidneys + apply color doppler
c) obtain a transverse view of the fetal pelvis at the level of the bladder + apply color doppler
d) obtain a midline sagittal view of the fetus that includes the fetal bladder + apply color doppler
c) obtain a transverse view of the fetal pelvis at the level of the bladder + apply color doppler

if the mother carries an X-linked recessive gene + the father has the trait, what percent chance do they have for a normal baby girl
.
a) 0%
b) 25%
c) 50%
d) 100%
a) 0%

all are structures that should be measured in a 23w fetus w/suspected trisomy 21 except
.
a) nuchal translucency
b) length of the middle phalanx of the 5th digit
c) nasal bone length
d) binocular diameter
a) nuchal translucency
unopposed estrogen replacement therapy carries an increased risk of
.
a) endometrial atrophy
b) osteoporosis
c) endometrial adenocarcinoma
d) heart disease
c) endometrial adenocarcinoma

when a pt is undergoing ovarian hyperstimulation, the US recording the mean follicle diameter should be performed in the
.
a) luteal phase
b) early follicular phase
c) late follicular phase
d) menstrual phase
c) late follicular phase

a pt has pelvic pressure. she had a total hysterectomy in 2003. while scanning the bladder, you see the vaginal cuff looks prominent. what is the maximum thickness for the vaginal cuff in this pt
.
a) 5.6cm
b) 2cm
c) 0.5cm
d) 4cm
b) 2cm
which has the greatest risk of post-partum hemorrhage
.
a) limb-body wall complex
b) twin gestation
c) IUGR
d) ectopic pregnancy
b) twin gestation

which indicates poor ergonomics
.
a) US tech should balance weight on both feet
b) while sitting, forearms + thighs are parallel to the floor
c) arms should be positioned at midline or in front of your body
d) chair height set allows just the toes touch the floor
d) chair height set allows just the toes touch the floor
which biometric measurement has the greatest amount of variation between pts and is least accurate for fetal dating
.
a) abd circumference
b) head circumference
c) femur length
d) biparietal diameter
a) abd circumference
a pt has a scan for 20w gestation. she has a hx of prior pregnancy w/rhizomelia. the best way to evaluate this fetus for the abn is to measure the length of
.
a) the femur + tibia
b) humerus + hand
c) cerebellum + depth of cisterna magna
d) femur + humerus
d) femur + humerus


which abn can be r/o by the presence of a normal retroplacental space
.
a) placenta previa + circumvallate placenta
b) placenta accreta + placental abruption
c) fluid in posterior CDS
d) fluid in anterior CDS
b) placenta accreta + placental abruption

which is not typically part of the quad screen blood test
a) inhibin A
b) MSAFP
c) estriol
d) progesterone
d) progesterone


a 60 yo has hx of intermittent pelvic pain. the exam is normal except for the multiple small echogenic foci in the myometrium. which is the most common cause
.
a) systemic HTN
b) acute PID
c) diabetes
d) stein-levanthal syndrome
c) diabetes


which condition requires immediate delivery of the fetus
.
a) twin to twin transfusion
b) placental abruption
c) placenta previa
d) placenta accreta
b) placental abruption

which are clinical findings w/pelvic inflammatory disease
a) fever, vaginal discharge
b) pyosalpinx + endometritis
c) low levels of CA 125 + leukocytosis
d) leukopenia, pelvic pain
a) fever, vaginal discharge

all are important part of the protocol for evaluating a fetus w/potential IUGR except
.
a) calculation of S/D ratio of umbilical artery
b) measurement of placental thickness
c) calculation of FL/AC
d) measurement of nasal bone length
d) measurement of nasal bone length

a pt has RLQ pain + nausea for 4 days. a complex ovarian mass is seen in the right ovary. there are several areas of dirty shadowing + multiple ring down artifacts showed extending from the mass. what lab value will most likely be evaluated
.
a) white blood cell count
b) AFP
c) bHCG
d) estrogen
a) white blood cell count
____ reduces the ability of the blastocyst to implant normally in the uterus + increases the risk of cervical ectopic
.
a) a long hx of OHS
b) multiple dilation + curettage procedures
c) hx of prior twin pregnancy
d) hx of prior ectopic in fallopian tube
b) multiple dilation + curettage procedures

which fetal measurements is not a standard values used to assess gestational age
.
a) abd circumference
b) cerebellum
c) biparietal diameter
d) crown rump length
b) cerebellum

when measuring the nuchal translucency (11-13w) + nuchal skin fold (15-21w)
.
a) transverse imaging is preferred
b) fetus should be at least 14w
c) fetus should be at least 17w
d) TA imaging is preferred
d) TA imaging is preferred

which describes Coelocentesis
.taking Coelomic fluid around the amniotic sac, used for karotyping******
.
a) TA needle puncture used for sample
b) sample taken of chorionic villi around the amniotic sac
c) used to assess fetal lung maturity
d) can be performed as early as 6w
d) can be performed as early as 6w

if a pt LMP was July 1, 2024, what is the EDD when Naegele’s rule is applied
.(LMP + 7 days - 3 months + 1 year)
.
a) 6/1/2025
b) 4/1/2025
c) 4/8/2025
d) 5/8/2025
c) 4/8/2025

which is used to improve imaging of a fetus of an obese mother
.
a) place the pt in modified sims position [decubitus]
b) turn off spatial ocmpounding
c) turn off harmonic imaging
d) have pt empty bladder + scan beneath panniculus
a) place the pt in modified sims position

if an ellipse is used to document the circumference of a structure, what unit will be used to report the measurement
.
a) cm/s
b) cm3
c) cm2
d) cm
d) cm
a grade 3 placental is considered an abnormal finding in pregnancies that are less than ___ weeks gestation
.
a) 28
b) 30
c) 32
d) 35
d) 35
which describes the best way to differentiate a fibroid from a Braxton Hicks contraction
.
a) repeat the scan of the affected area in 20-30 minutes
b) repeat the scan of the affected area in 2-3 weeks
c) use m-mode to document the motion of the contraction
d) apply color doppler to show flow in the fibroid but not the contracted uterine wall
a) repeat the scan of the affected area in 20-30 minutes

why did mothers in the 1940s take diethylstilbestrol
.
a) to prevent premature rupture of membranes in the 3rd trimester
b) postmenopausal hormone therapy
c) to prevent spontaneous abortion
d) to resolve an ectopic pregnancy
c) to prevent spontaneous abortion
when a malignant neoplasm is seen on the right ovary, what other structures should be evaluated for possible involvement
.
a) liver only
b) bladder only
c) pelvic lymph nodes and bladder, not liver
d) liver, bladder, and pelvic lymph nodes
d) liver, bladder, and pelvic lymph nodes
an autosomal recessive disorder will be seen in a child when
.
a) there is a single extra chromosome
b) there is a duplicate copy of all chromosomes
c) both genes are defective in the pair
d) there is one defective gene in the pair
c) both genes are defective in the pair
which leads to placental thinning
.
a) chorioangioma
b) acute intrauterine infection
c) erythroblastosis fetalis
d) maternal HTN
d) maternal HTN

which is a medication administered to cause the ovaries to produce follicles
.
a) estrogen
b) clomid
c) Luteinizing hormone
d) methotrexate
b) clomid

Maternal cocaine abuse is assoc w/what critical findings on fetal US
.
a) fetal CHF
b) placental abruption + premature birth
c) fetal hydrops + demise
d) theca lutein cyst formation
b) placental abruption + premature birth

what is not evaluated as a part of a triple screen blood test
.
a) AFP
b) estriol
c) bHCG
d) acetylcholinesterase [ACHE]
d) acetylcholinesterase

what anatomic landmark makes it the proper location to perform an abdominal circumference measurement
.
a) duodenum
b) IVC
c) AO
d) portal vein
d) portal vein

while performing the preliminary US exam for a sonohysterogram pt, you seen a possible gestational sac that indicates a 5w pregnancy. what should you do next
.
a) inform the radiologist because they’re contraindications of each other
b) prepare a second bag of saline solution because a pregnant uterus requires more saline to do the procedure properly
c) tell the pt the exam will be cancelled because she’s pregnant
d) ask the pt to empty her bladder completely before the procedure to aid visualization of the endometrial canal
a) inform the radiologist because they’re contraindications of each other

when an embryo cannot be clearly seen to measure CRL, how is the GA estimated by US
.
a) GS volume
b) pt LMP
c) mean GS diameter
d) YS diameter
c) mean GS diameter
an adequately-filled bladder for a 2nd trimester pregnancy US is indicated by
.
a) bladder volume of 100cc or more
b) bladder volume of 200cc or more
c) extension of the bladder to allow visualization of cervix + lower placental edge
d) extension of bladder, just above the uterine fundus
c) extension of the bladder to allow visualization of cervix + lower placental edge
which is most commonly used to assess maternal bHCG levels
.
a) FISH
b) urinalysis
c) GIFT
d) amniocentesis
b) urinalysis

all will increase w/dysgerminoma except serum
.
a) CA 125
b) HCG
c) lactate dehydrogenase
d) WBC count
d) WBC count
which procedures is used to treat a pt w/retain products of conception
.
a) dilation + curettage
b) clomid injection
c) methotrexate
d) colposcopy
a) dilation + curettage

if the father has a dominant X-linked trait, what is the chance his daughter will have the same disorder
.
a) 0%
b) 25%
c) 50%
d) 100%
d) 100%

the highest levels of AFP will be seen in
.
a) omphalocele
b) gastroschisis
c) choroid plexus cysts
d) spina bifida occulta
b) gastroschisis

the nuchal skin fold measurement can be used to assess the fetus’s
.
a) age
b) possibility of chromosome abn but not neural tube defects
c) possibility of neural tube defects but not chromosome abn
d) possibility of chromosome abn + neural tube defects
d) possibility of chromosome abn + neural tube defects
which is a potential cause for heart rate deceleration on a nonstress test
.
a) increased fetal motion
b) compression of the placenta w/fetal motion
c) lack of fetal motion
d) compression of umbilical cord w/fetal motion
d) compression of umbilical cord w/fetal motion
US helps predict the ovarian reserve by documenting the
.
a) arterial impedance during the follicular phase
b) arterial impedance during the luteal phase
c) ovarian volume + antral follicle count
d) presence of dominant follicles on serial exams
c) ovarian volume + antral follicle count

a 34 yo has intermittent vaginal bleeding between cycles. how do you report the symptoms
.
a) menorrhagia
b) hypermenorrhea
c) dysmenorrhea
d) metrorrhagia
d) metrorrhagia

which describes Naegele’s rule for estimating the date of confinement
.
a) +10 months, -7 days to the 1st day of LMP
b) +9 months to the 1st day of LMP
c) +9 months, +7 days to 1st day of LMP
d) +1 year, -9 months, -7 days from 1st day of LMP
c) +9 months, +7 days to 1st day of LMP

which is true regarding fetal femur assessment
.
a) linear transducer can cause artifactual bowing of the long bones, so use a curved transducer for long bone measurements
b) a femur length >2 SD below the expected GA = strong possibility of skeletal dysplasia
c) epiphyseal cartilage should be included in the femoral length measurement
d) femoral lengths are usually normal in cases of IUGR
b) a femur length >2 SD below the expected GA = strong possibility of skeletal dysplasia


a pt has hx of a child w/AO coarctation. which describes how to evaluate the fetus for this anomaly
.
a) assess the fetal pelvic for a single umbilical artery
b) obtain the LVOT + look for narrowing
c) place color doppler on the AO arch + proximal descending AO
d) place color doppler over the descending abd AO
c) place color doppler on the AO arch + proximal descending AO


which imaging plane will best display the fetal diaphragm
a) sagittal
b) coronal
c) transverse
d) transverse oblique
b) coronal

if the mother carries an X-linked recessive gene and the father has the trait, what percent chance do they have for a normal baby boy
.
a) 0%
b) 25%
c) 100%
d) 50%
b) 25%

elevated serum of AFP are commonly assoc w/
.
a) brenner tumor
b) endodermal sinus tumor [aka yolk sac tumor]
c) dysgerminoma
d) polycystic ovarian disease
b) endodermal sinus tumor

the informed consent form for an amniocentesis must include a description of the procedure, expected outcomes, and
.
a) number of people at the facility that experienced complications w/the same procedure
b) possible complications
c) emergency contact information
d) number of people in the US that experienced complications w/the same procedure
b) possible complications
which describes the normal result for contraction stress test
.
a) fetal heart decreases w/each uterine contraction induced by the administration of progesterone
b) fetal heart increases w/each uterine contraction induced by the administration of progesterone
c) fetal heart increases w/each uterine contraction induced by the administration of oxytocin
d) fetal heart decreases w/each uterine contraction induced by the administration of oxytocin
c) fetal heart increases w/each uterine contraction induced by the administration of oxytocin
a pt has fetal dating w/hx of LMP 5-6 weeks + serum bHCG of 3,000 units/mL (IRP).
. anything over 2,000 units/mL
TV US shows a thickened endometrium at 20mm, but no GS. What is the next step
.
a) repeat only the serum bHCG in 5-7 days
b) closely evaluate adnexa for ectopic pregnancy
c) repeat only the US exam in 5-7 days
d) repeat serum bHCG and US in 5-7 days
b) closely evaluate adnexa for ectopic pregnancy

which is correct about sex-linked recessive traits
.
a) causes the disorder when there is no corresponding paired Y chromosome w/normal gene
b) more likely to occur than autosomal recessive disorders
c) if the father carries the abn X gene, all his daughters will show the trait
d) arise from an abn Y chromosome
b) more likely to occur than autosomal recessive disorders


how to properly perform the occitpital-frontal (OFD) measurement of a fetus
.
a) coronal view of fetal head w/calipers placed from leading edge of the cranium
b) axial view of fetal head w/calipers placed from outer frontal edge to outer occipital edge of the cranium
c) axial view of fetal head w/calipers placed from the outer edge of one side of the cranium to the opposing outer edge of the cranium
d) axial view of fetal head w/calipers placed from side to side on outer edge of one side of the cranium to the opposing inner edge of the cranium
b) axial view of fetal head w/calipers placed from outer frontal edge to outer occipital edge of the cranium
which abnormality will show normal AFP levels in the amniotic fluid
.
a) spina bifida occulta
b) acrania
c) anencephaly
d) gastroschisis
a) spina bifida occulta

BPD measurements are taken from ____ edge of the skull to ___ edge of the skull
.
a) inner, inner
b) outer, inner
c) outer, outer
d) inner, outer
b) outer, inner

a pt has hx of nabothian cyst. where will you scan for this
.
a) cervix
b) endometrium
c) vaginal canal
d) ovary
a) cervix

which question do you ask the mother to correlate her hx w/rhabdomyoma (most common peds heart tumor)
.
a) are you diabetic
b) have you had a recent infection
c) do you have a hx of tuberous sclerosis
d) do you have prior hx of a child w/down syndrome
c) do you have a hx of tuberous sclerosis

the ___ can be used to estimate fetal age up until 30 weeks gestation
.
a) BPD
b) bHCG
c) cerebellum
d) liver
c) cerebellum

which offers the most accurate assessment of fetal age
.
a) biparietal diameter, 22w gestation
b) crown rump length, 6w gestation
c) crown rump length, 12w gestation
d) gestational sac diameter, 5w gestation
b) crown rump length, 6w gestation
you see fetal ascites. Evaluate the fetal ___ for ___
.
a) brain, ventricular size
b) liver, cystic changes
c) heart size + function
d) kidneys for cystic changes
c) heart size + function

which should be performed using sterile gel
.
a) 2nd trimester US on pt w/recent cerclage placed in the cervix
b) early fetal US using a TV probe
b) early fetal US on pt w/MRSA
d) 2nd trimester fetal US on pt who had an amniocentesis in the last 3 days
b) early fetal US using a TV probe
maternal smoking during pregnancy can cause
.
a) grade 3 placenta in 2nd trimester
b) echogenic intracardiac focus
c) calcification of the fetal aortic valve
d) fetal coronary artery disease
a) grade 3 placenta in 2nd trimester

an asymptomatic pt has hx of LMP 5-6w + serum bHCG of 1,200 units/mL (IRP).
.
the TV US shows thickened endometrium at 20mm, but no gestational sac. what is the next step
.
a) repeat serum bHCG levels in 3-5 days, no additional US needed
b) closely evaluate adnexa for ectopic pregnancy
c) repeat serum bHCG levels + US exam in 5-7 days
d) repeat US exam in 3-5 days, no additional labs needed
c) repeat serum bHCG levels + US exam in 5-7 days


28 yo pt. which hx questions would provide pertinent information
.
a) are you using any form of birth control
b) have you had a fever
c) have you had a urine or blood test performed to check for a possible pregnancy
d) are you currently being treated for infertility
d) are you currently being treated for infertility

which serum level will be elevated when a molar pregnancy is suspected
.
a) AFP only
b) bHCG only
c) AFP + bHCG but not estradiol
d) AFP, bHCG, and estradiol
b) bHCG only
which biometric measurement is most accurate when predicting fetal age
.
a) AC
b) HC
c) BPD
d) FL
b) HC

what is injected into the fetus during a selective termination procedure
.
a) saline
b) potassium chloride
c) methotrexate
d) trimethadione
b) potassium chloride

while scanning a 35w fetus for a biophysicial profile, the pt becomes nauseous + dizzy. what is the most common cause
.
a) braxton-hicks syndrome
b) gestational diabetes
c) pre-eclampsia
d) supine hypotension
d) supine hypotension
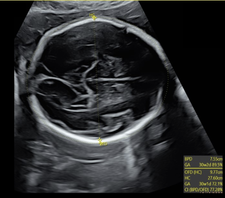
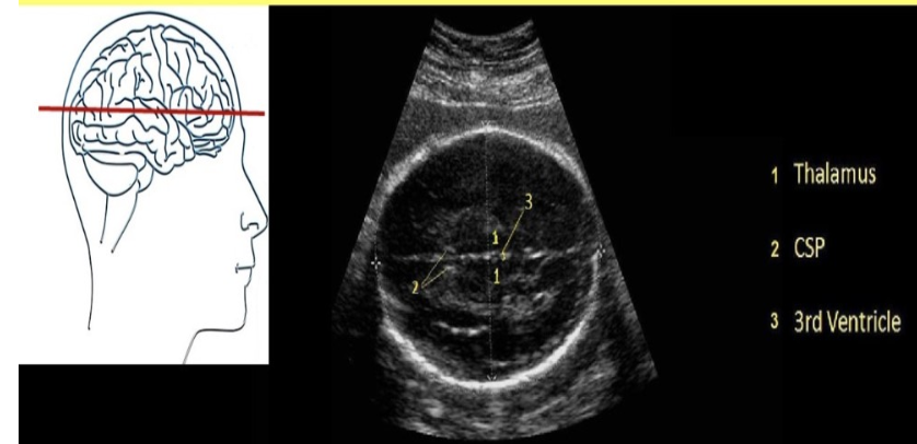
the correct cranial level for BPD + HC assessment is
.
a) Transverse axial view of the fetal skull at the level of the cavum septum pellucidum, third ventricle, and thalamus
b) Transverse axial view of the fetal skull at the level of the cerebellum and cisterna magna
c) Coronal view of the fetal skull at the level of the cavum septum pellucidum, third ventricle and thalamus
d) Transverse axial view of the fetal skull at the level of the lateral ventricles and choroid plexus
a) Transverse axial view of the fetal skull at the level of the cavum septum pellucidum, third ventricle, and thalamus

a/an ____ can lead to initial onset of ovulation and uterine enlargement in females ____ yo
.
a) pituitary tumor, less than 8 yo
b) yolk sac tumor, 20 yo
c) cerebellar tumor, less than 10 yo
d) dermoid cyst, 50 yo
a) pituitary tumor, less than 8 yo
which lists the equation used to calculate ovarian volume
.
a) (L x W)2
b) (L x W x H)2
c) (L x H)2
d) L x W x H x 0.523
d) L x W x H x 0.523
estrogen therapy causes an increased risk of
.
a) coronary artery disease
b) osteoporosis
c) thrombosis
d) early menopause
c) thrombosis

if the gestational sac measures 30 × 30 × 39 mm, what is the estimated age of the pregnancy
.
estimated age = mean GSD mm + 30 = GA [days] accurate within 2 weeks
.
a) 9 weeks +/- 7 days
b) 6 weeks +/- 7 days
c) 6 weeks +/- 14 days
d) 9 weeks +/- 14 days
d) 9 weeks +/- 14 days

methotrexate is used to
.
a) prevent ectopic pregnancy
b) cause involution [shrinkage of an organ in old age or when inactive] of early ectopic pregnancies + preserve fertility
c) accelerate fetal lung development in pregnancies at a high risk of early delivery
d) prevent premature rupture of membranes in 3rd trimester
b) cause involution of early ectopic pregnancies + preserve fertility
pt has RLQ pain. you see a solid ovarian mass w/mild posterior shadowing + fluid in posterior CDS + Morison pouch.
.
the pt chart has recent chest x-ray showing mild pleural effusion on right side. recent labs show normal WBC but elevated estrogen level
.
a) fibroma
b) thecoma
c) abscess
d) mucinous cystadenoma
b) thecoma

![<p>pt has 20w gestation. she has hx of prior pregnancy w/<strong>clinodactyly </strong>[curving of pinky]. what is the best way to evaluate</p><p>.</p><p>a) measure the humerus length</p><p>b) measure the length of the middle phalanx on the 5th digit</p><p>c) assess hands/feet for proper digit formation</p><p>d) evaluate the cranial anatomy for cerebral clefts</p>](https://knowt-user-attachments.s3.amazonaws.com/a4f8b695-6bf4-45be-9ed2-3eae07d10299.png)
pt has 20w gestation. she has hx of prior pregnancy w/clinodactyly [curving of pinky]. what is the best way to evaluate
.
a) measure the humerus length
b) measure the length of the middle phalanx on the 5th digit
c) assess hands/feet for proper digit formation
d) evaluate the cranial anatomy for cerebral clefts
c) assess hands/feet for proper digit formation

chorioangiomas are assoc w/
.
a) L/S ratio >2.0
b) decreased hematocrit levels + anemia
c) elevated CA 125
d) elevated MSAFP
d) elevated MSAFP
if the father has a dominant X-linked trait and the mother is normal, what is the chance the son will have the same disorder?
.
a) 0%
b) 25%
c) 50%
d) 100%
a) 0%


what is the most common solid pelvic mass seen in pregnancy
.
a) thecoma
b) endometrioma
c) corpus luteum
d) fibroid
d) fibroid
when oligohydramnios is present, which structures may be hard to document sonographically in most cases
.
a) stomach, kidneys, and bladder
b) stomach only, visible kidneys + bladder
c) bladder only, visible stomach + kidney
d) kidneys + bladder, stomach visible
a) stomach, kidneys, and bladder

an adequately-filled bladder for pelvic exam is indicated by
.
a) extension of the bladder to reach the iliac veins on both sides of the pelvis
b) bladder volume of 200cc or more
c) bladder volume of 100cc or more
d) extension of the bladder just above the uterine fundus
d) extension of the bladder just above the uterine fundus
discordant twin growth is present when there is more than ___ difference in fetal weight between the two fetuses
.
a) 200g
b) 500g
c) 1,000g
d) 1,500g
b) 500g
focal thickening of the endometrium in postmenopausal pt is shown on saline-infusion sonohysterography. what would be the next step
.
a) endometrial biopsy
b) hysterectomy
c) hysterosalpinogram
d) hysteroscopy
a) endometrial biopsy


which should be evaluated to clarify the findings
.
a) fetal limbs to r/o arthrogryposis
b) fetal head to r/o anasarca
c) fetal spine to r/o spina bifida
d) fetal face to r/o clefting
b) fetal head to r/o anasarca


the OFD of the skull is measured from ___ edge of the skull to the ___ edge of the skull
.
a) inner, outer
b) outer, inner
c) inner, inner
d) outer, outer
d) outer, outer
what is the most common cystic pelvic mass seen w/pregnancy
.
a) theca lutein [assoc w/Gestational Trophoblastic Disease]
b) corpus luteum
c) endometrioma
d) fibroid
b) corpus luteum

how to obtain the nuchal translucency measurement
.
a) 2 echogenic lines should be seen posterior to the neck
b) the full fetus should be seen on the screen
c) the measurement must be taken at the widest space + from inner to inner dimension recorded
d) the fetal neck should be hyperextended
c) the measurement must be taken at the widest space + from inner to inner dimension recorded

which ovarian neoplasm is assoc w/increased levels of testosterone + hirsutism
.
a) granulosa cell tumor
b) thecoma
c) fibroma
d) sertoli leydig cell tumor
d) sertoli leydig cell tumor


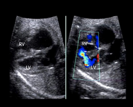
what view of the fetal heart is preferred to evaluate a possible muscular VSD
.
a) 4 chamber view
b) 3 vessel view
c) short axis of LV
d) LVOT view
a) 4 chamber view