1/106
Looks like no tags are added yet.
Name | Mastery | Learn | Test | Matching | Spaced | Call with Kai |
|---|
No analytics yet
Send a link to your students to track their progress

renal hilum

renal capsule

renal column

renal pyramid

base of renal pyramid

papillae of renal pyramid

renal pelvis

minor calyx

major calyx

ureter

detrusor muscle

rugae

trigone

ureteral openings

and what muscle
internal urethral sphincter - smooth muscle

and what muscle
external urinary sphincter - skeletal muscle

internal urinary orifice

exit point of body
external urinary orifice

prostatic urethra

membranous urethra

penile urethra

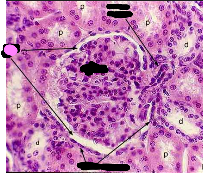
what it is in its entirety + what its made of
renal corpuscle
made of glomerulus and bowman’s capsule

whole white part
bowman’s capsule

bowman’s space

parietal layer

visceral layer

glomerulus

proximal convoluted tubule

distal convoluted tubule

descending limb of loop of henle

ascending limb of loop of henle

collecting duct

whole thing
juxtaglomerular complex
made of macula densa cells and juxtaglomerular cells

juxtaglomerular cells (on afferent arteriole, secrete renin)

macula densa cells (on distal convoluted tubule)

renal artery

segmental arteries

interlobar arteries

arcuate arteries

cortical radiate arteries
blood supply pathway of kidneys
(red)
renal artery
segmental arteries
interlobar arteries
arcuate arteries
afferent arterioles
glomerular capillaries
efferent arterioles
peritubular capillaries
(purple)
cortical radiate veins
(blue)
arcuate veins
interlobar veins
renal vein

red loopies
peritubular capillaries

metaphase plate

meiotic spindle

cleavage furrow

sister chromatids

centromere
chromosomes v.s. chromatids
a chromosome is a packet and a chromatid is a page. undo the packet and each page becomes it’s own packet

homologous pairs (of chromosomes)

tetrad (one mom chromosome and one dad chromosome)

crossing over: the exchange of genetic material between homologous chromosomes

scrotum

dartos muscle

seminiferous tubules

epididymis

spermatic cord

red viney part
testicular artery

blue viney part
pampiniform plexus

cremaster muscle

vas deferens

ampulla of the vas deferens

ejaculatory duct

external urethral orifice

seminal vesicles

prostate gland

cowper’s glands

body of penis

corpora cavernosa (2)

corpus spongiosum

glans penis

prepuce

ovary

fallopian tubes

infundibulum

fimbriae

ampullae

isthmus

fundus of uterus

body of uterus

cervix of uterus

uterine cavity

cervix

endometrium

myometrium

perimetrium

vaginal orifice

vulva

mons pubis