1/31
Looks like no tags are added yet.
Name | Mastery | Learn | Test | Matching | Spaced | Call with Kai |
|---|
No analytics yet
Send a link to your students to track their progress
What is the most common splenic abnormality?
Splenomegaly
What is the most common cause of splenomegaly?
Portal HTN with cirrhosis
What is splenomegaly?
Enlarged spleen greater than 13 cm in length
What is the Asher sign?
When upper border of spleen extends across anterior aorta by more than 2 cm
What diseases cause splenomegaly with normal splenic echogenicity?
Mononucleosis
Portal HTN
Early sickle cell
Wilson Disease
Leukemia
Polycythemia
What diseases cause HYPERECHOIC splenomegaly?
Leukemia
Lymphoma
Metastasis
Sarcoidosis
TB
Hematoma
What diseases cause HYPOECHOIC splenomegaly?
Leukemia
Lymphoma
Metastasis
Portal HTN
Gaucher disease
What diseases cause HETEROGENOUS splenomegaly?
Abscesses
Metastasis
Infarction
Hemorrhage
What is sarcoidosis?
Inflammatory disease that causes granuloma formation in spleen
What is mononucleosis?
Infection of spleen associated with Ebstein Barr virus
What are splenic granulomas?
Systemic fungal respiratory disease caused by histoplasmosis or TB
What is the sonographic appearance of splenic granulomas?
Diffuse echogenic foci in spleen

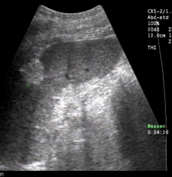
Identify this image.
Splenic granulomas
What is a splenic abscess?
Abscess in spleen associated with endocarditis, septicemia, and trauma
What is the sonographic appearance of a splenic abscess?
Complex fluid collection with internal echoes
Irregular borders

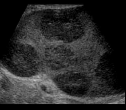
Identify this image.
Splenic abscess
What is the most common benign tumor of the spleen?
Cystic cavernous hemangioma
What is a cystic cavernous hemangioma?
Benign splenic tumor associated with Kasabach-Merritt Syndrome and Klippel-Trenaunay-Weber syndrome

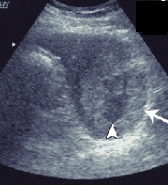
Identify this image.
Splenic hemangioma
What is a hamartoma?
Benign splenic tumor associated with tuberous sclerosis and Wiskott-Aldrich syndrome
What is Gaucher disease?
Autosomal recessive disorder that causes massive splenomegaly due to hypersplenism
What is the sonographic appearance of Gaucher disease?
Massive splenomegaly > 18 cm
Hypoechoic nodule formation in spleen
Hepatomegaly
What is the most common splenic malignancy?
Lymphoma
What is lymphoma?
Malignant lymphatic tumor involving spleen
What is Hodgkin lymphoma?
Cancer that most commonly occurs in patients aged 15 - 24 and over 60
What is the most common type of lymphoma?
Non-Hodgkin
What is Non-Hodgkin lymphoma?
Cancer that most commonly occurs in patients over 60

Identify this image.
Lymphoma
What is angiosarcoma?
Malignant splenic tumor that is very aggressive
What is the sonographic appearance of angiosarcoma?
Heterogenous spleen
Splenomegaly
Hypervascularity
Complex mass with cystic and solid components

Identify this image.
Angiosarcoma

Identify this image.
Splenic metastasis