1/115
Looks like no tags are added yet.
Name | Mastery | Learn | Test | Matching | Spaced | Call with Kai |
|---|
No analytics yet
Send a link to your students to track their progress
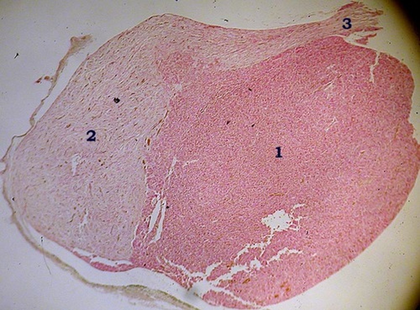
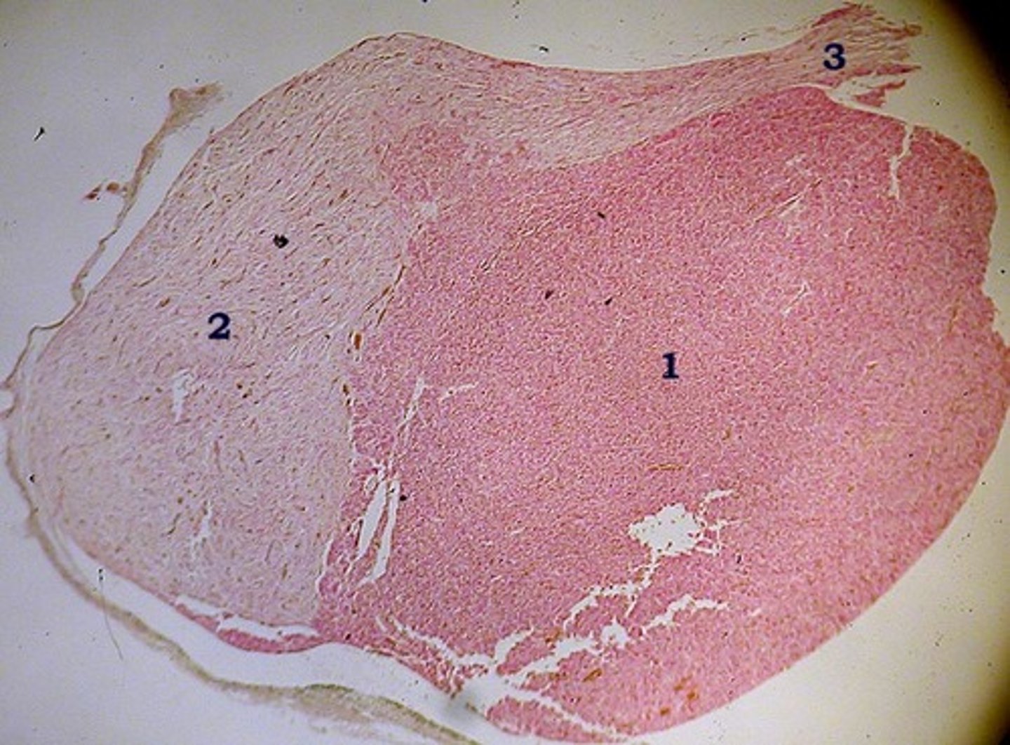
Pituitary Gland
What is the whole picture?

Pars Nervosa
What is 2?

Pars Intermedia
What is 4?

Pars Distalis
What is 1?

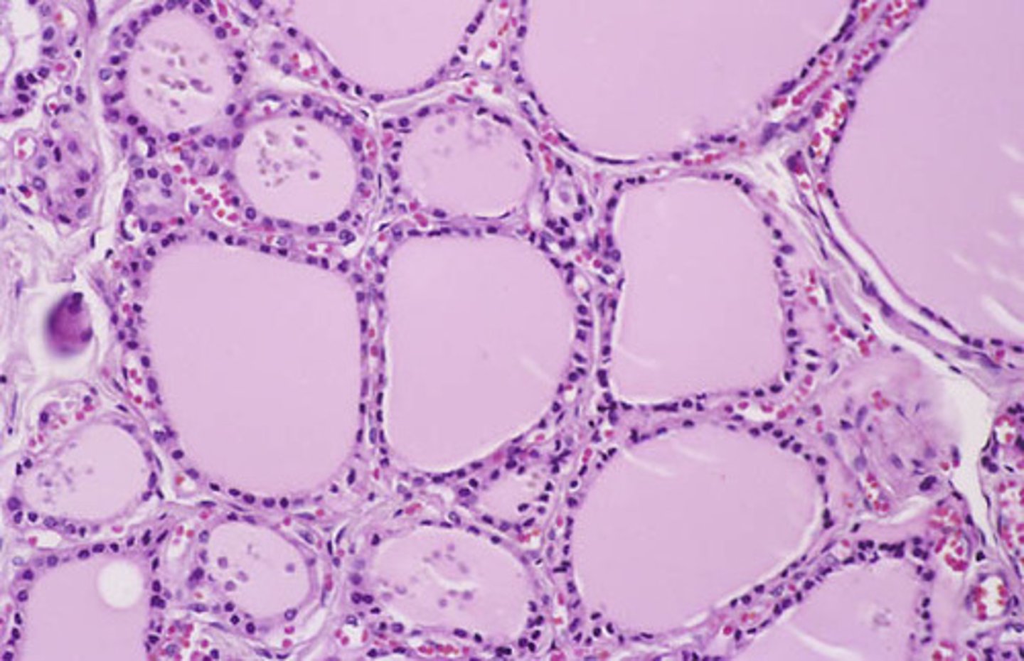
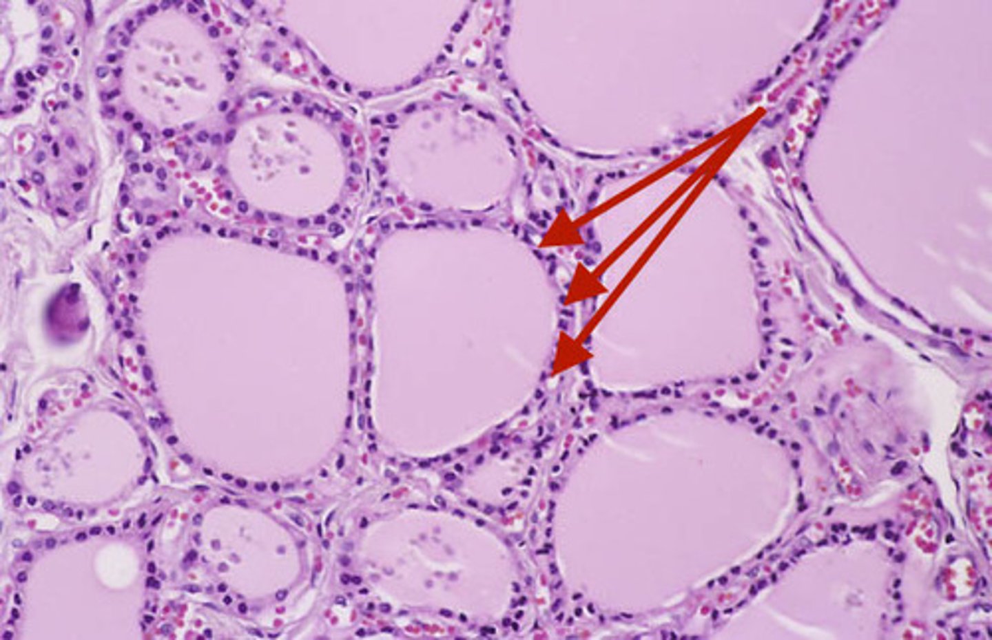
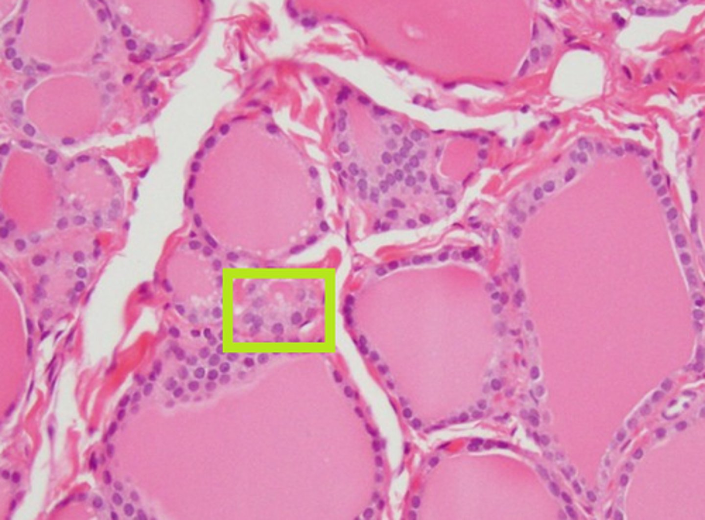
Thyroid

Follicle Cells

C Cells

Colloid

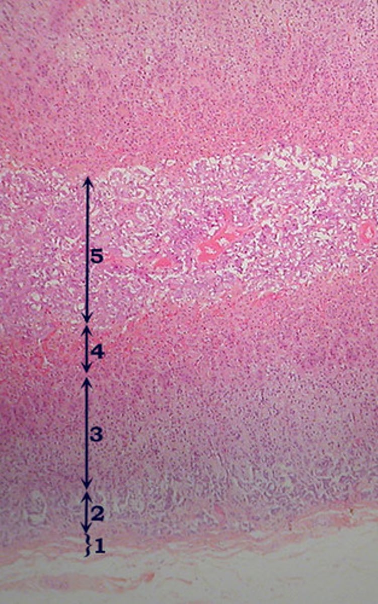
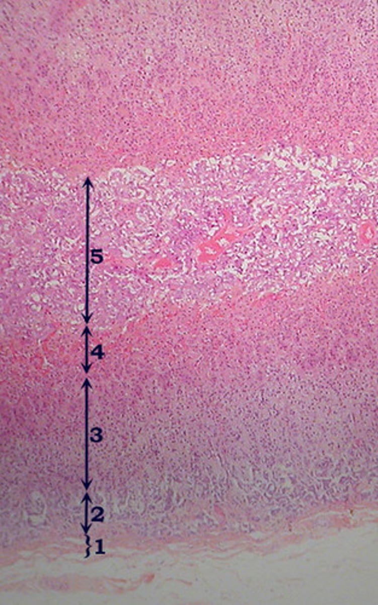
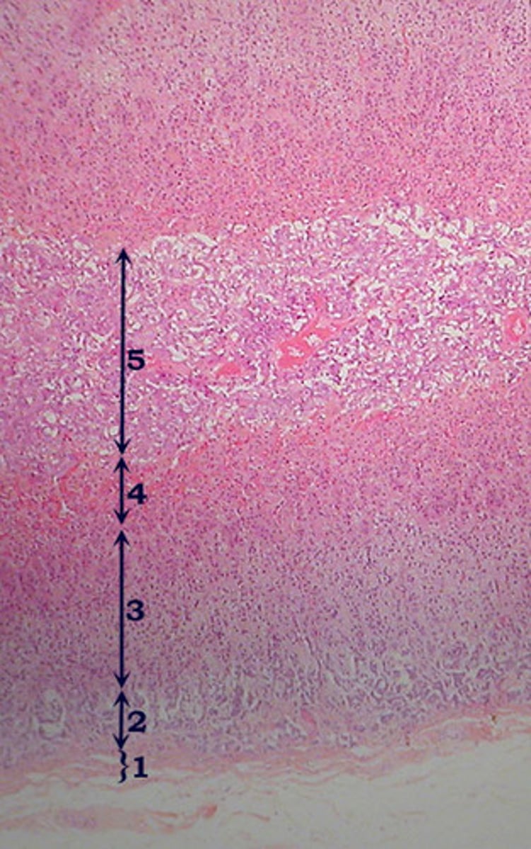
Adrenal Gland

Adrenal Capsule

Adrenal Medulla

Zona Glomerulosa
What is 2?

Zona Fasciculata
What is 3?

Zona Reticularis
What is 4?

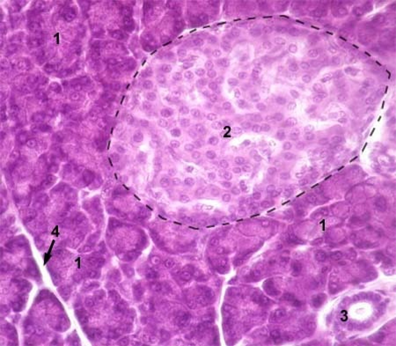
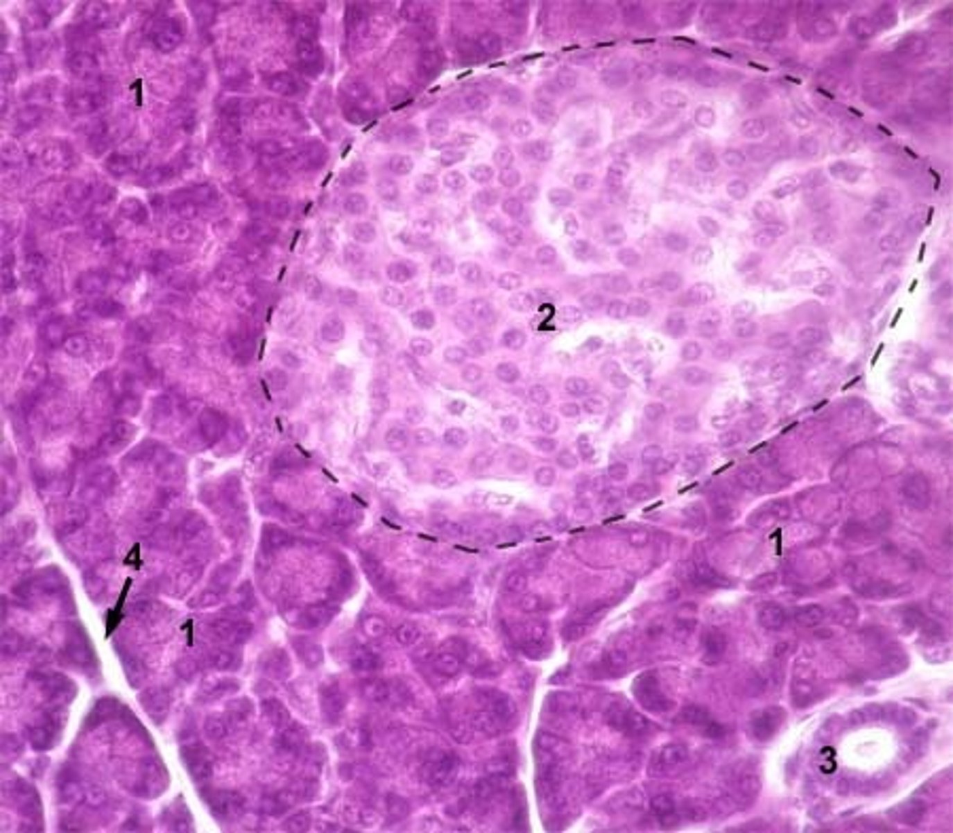
Pancreas
What is the whole picture?

Pancreatic Islets
What is 2?

Pineal Gland

Hypothalamus

Pituitary Gland

Thyroid Gland

Parathyroid Gland

Thymus Gland

Adrenal Gland

Pancreas

Ovaries

Testes

Epididymus

Spermatozoa

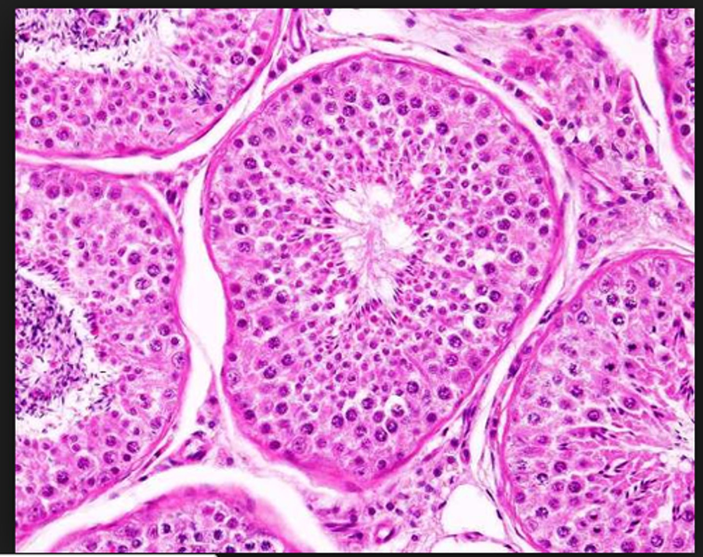
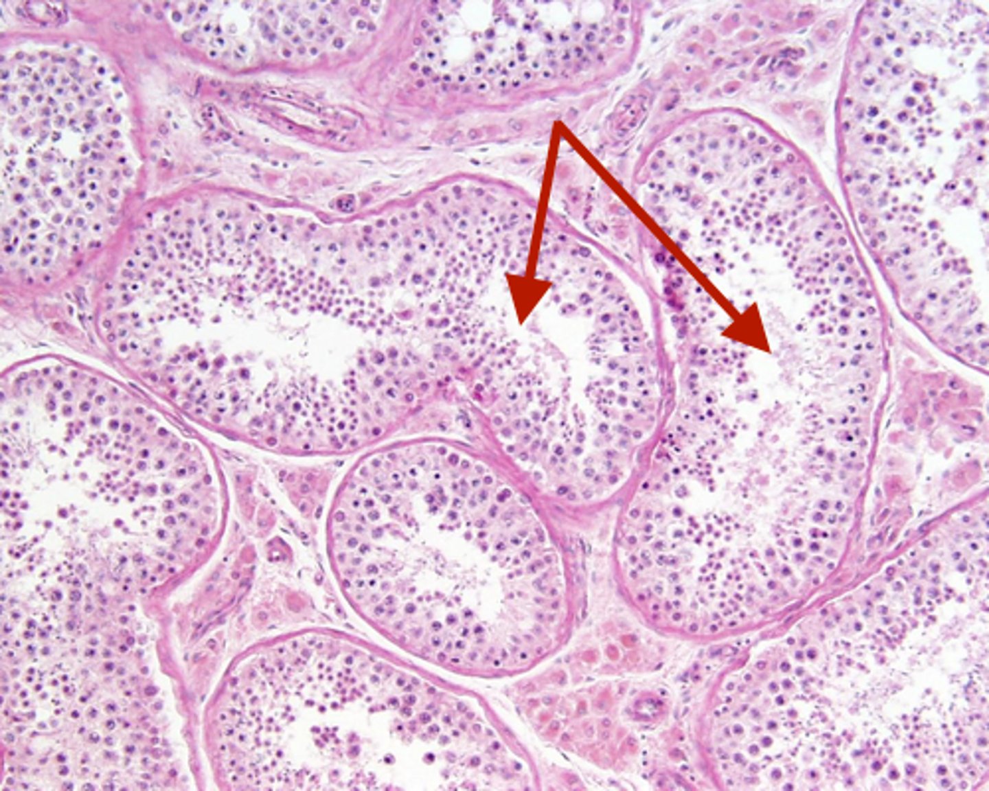
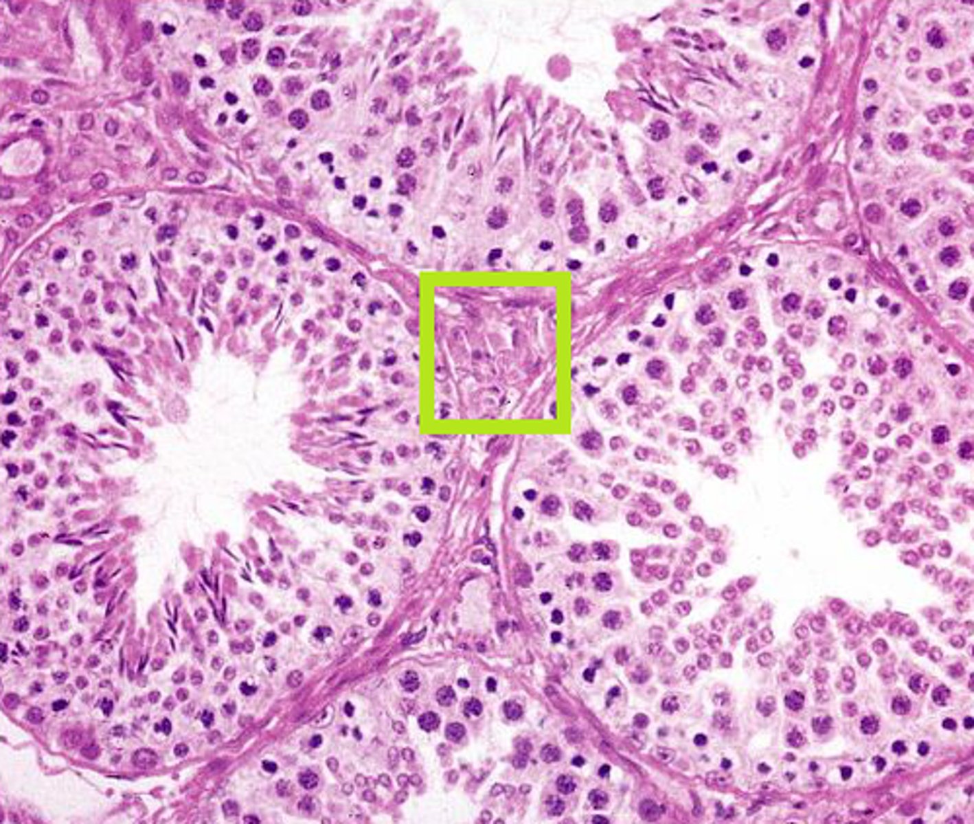
Testis

Seminiferous Tubules

Interstitial Cells

Testes Spermatozoa

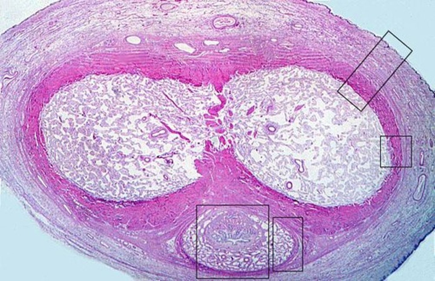
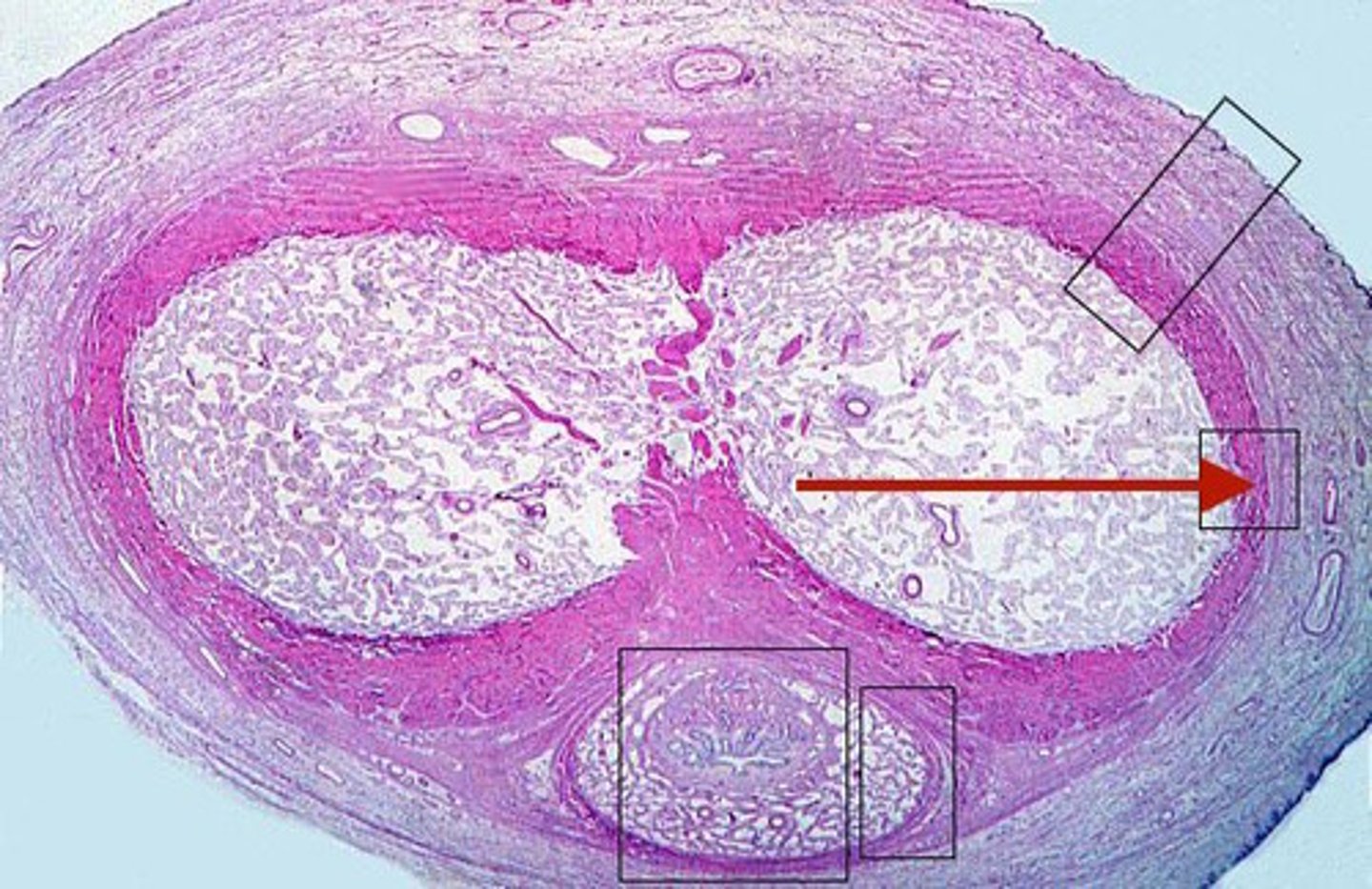
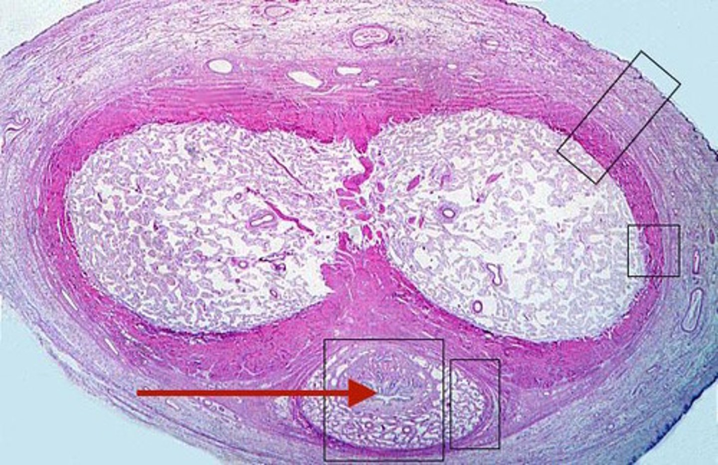
Penis

Corpora Cavernosa

Tunica Albuginea

Corpus Spongiosum

Urethra

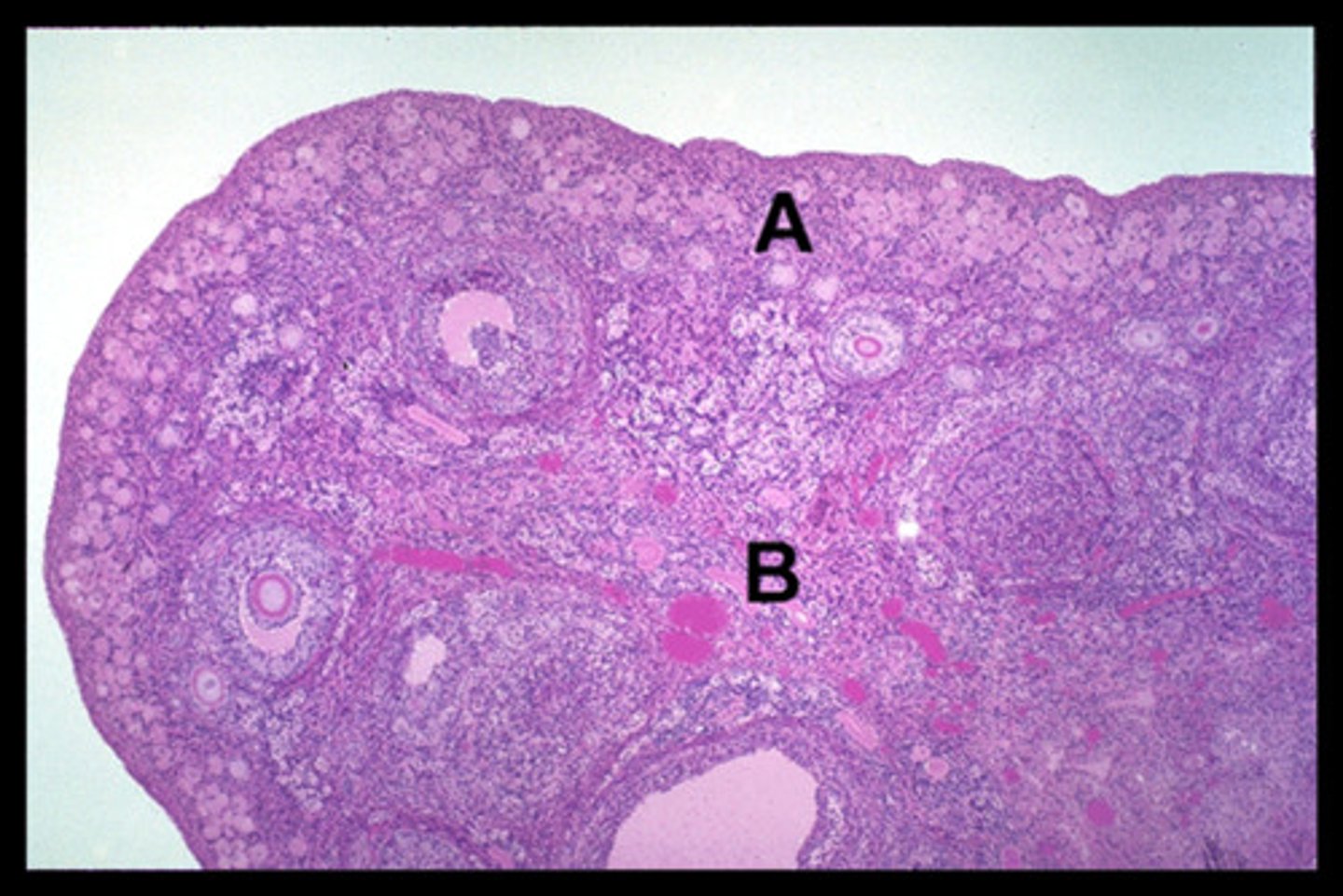
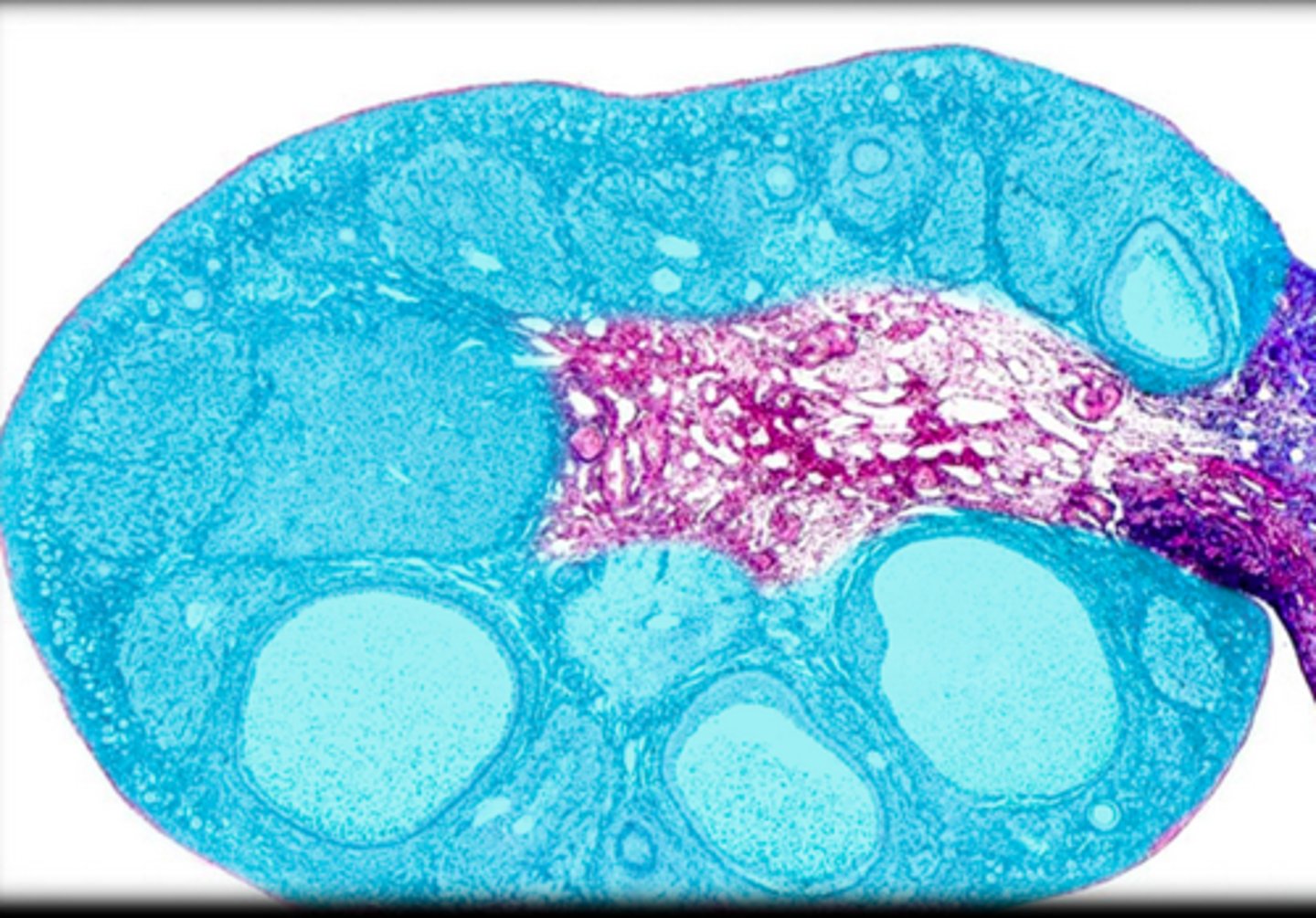
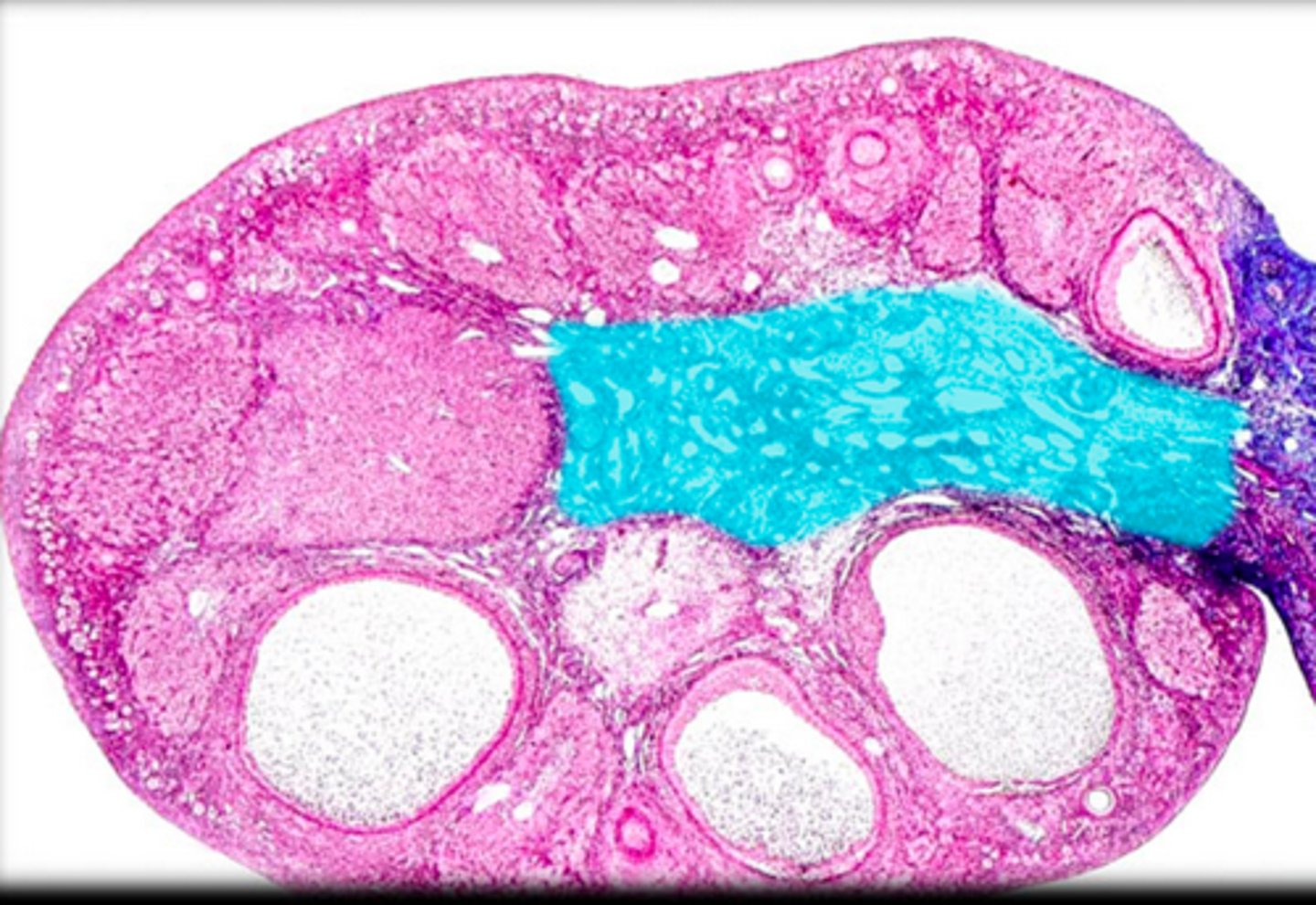
Ovary
What is the whole picture?

Ovary Cortex
What is A?

Ovary Medulla

Ovary Follicle

Ovary Oocyte

Corpus Luteum

Tertiary Follicle
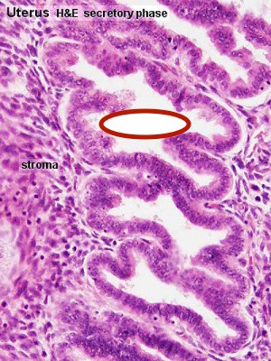
Uterus

Uterine Glands

Endometrium

Myometrium

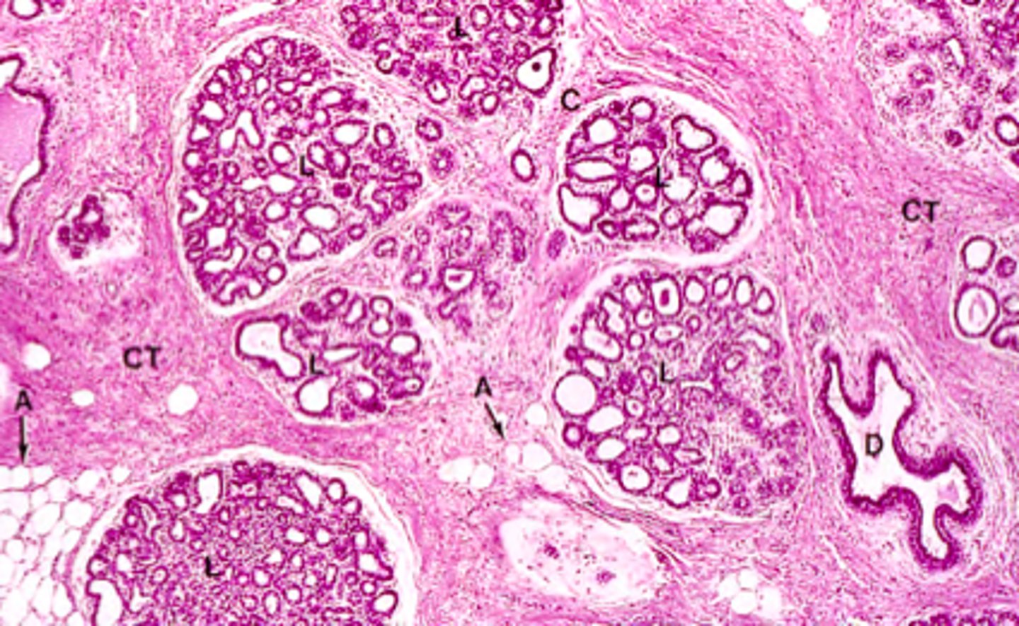
Nonlactating Mammary Glands

Lactating Mammary Glands

Bulbourethral Gland

Ductus Deferens

Ejaculatory Duct

Epididymus

Inguinal Canal

Penis

Corpora Cavernosa

Corpus Spongiosum

Glans Penis

Prepuce

Prostate Gland

Seminiferous Tubules

Seminal Vesicle

Scrotum

Spermatic Cord

Testes

Testicular Arteries

Testicular Veins

Tunica Albuginea

Urethra

External Urethral Orifice
What is 10?

Membranous Urethra

Penile Urethra

Prostatic Urethra

Urinary Bladder

Ovary

Ovary Cortex

Ovary Medulla

Ovary Follicle

Uterus

Fundus

Uterus Body

Uterine Cavity

Endometrium

Myometrium

Perimetrium

Cervix

Internal Os

External Os

Symphysis Pubis

Mons Pubis

Labium Majora

Labium Minora

Clitoris

Urethral Orifice

Vaginal Orifice

Urinary Bladder

Vagina

Fornix

Uterine Tube
