1/46
Looks like no tags are added yet.
Name | Mastery | Learn | Test | Matching | Spaced | Call with Kai |
|---|
No analytics yet
Send a link to your students to track their progress

Identify right and left cerebral hemispheres


What is this?
The longitudinal fissure (Fissure: split)
What are the gyri on a brain (gyrus, singular)
The hills “The fold or convolution of cerebral cortex”


This is?
Central sulcus (sulcus: groove)

This is? Function?
Corpus callosum, connects the right and left cerebral hemispheres.

what is this?
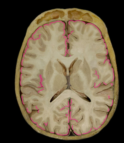
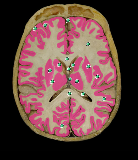
The cerebral cortex, a thin layer of gray matter, lays on the outside of the cerebrum, contains 75% of the neuron cell bodies in the nervous system.

Name the lobes
Frontal lobe, parietal lobe, occipital lobe, temporal lobe.


What is this
Frontal lobe

What is this
temporal lobes

What is this
Temporal lobes

What is this
occipital lobe

What is this
parietal lobes

What nerve is this?
The olfactory nerve (I), smell.


What is this
The optic nerve (II), sight.

What is this
the thalamus, relays sensory information to cortex, relay motor information for movement planning.

what is this
The hypothalamus (hypo-: below, under), master control center for endocrine system, controls autonomic nervous system, regulates body temp, food, water intake, emotional behavior, sleep/wake cycle.

Locate the pituitary gland.
Split into anterior and posterior,
Anterior pituitary produces the following hormones: thyroid-stimulating (TSH), prolactin (PRL), adrenocorticotropic (ACTH), growth (GH), luteinizing (LH), melanocyte-stimulating (MSH), and follicle-stimulating (FSH)
Posterior pituitary stores and releases: antidiuretic hormone (ADH) and oxytocin (OT)
Does not produce any hormones. ADH and OT produced in hypothalamus


this is?
Brain stem

Locate the midbrain


Locate the pons


Locate the medulla oblongata


What is this?
The medulla oblongata.

What is this
the pons

What is this
Midbrain

this is?
The cerebellum!

Right and left cerebellar hemispheres

What is the white matter thats tree like of the cerebellum called?
arbor vitae (árbol: tree)



What are ventricles of the brain and name them.
Ventricles are connected cavities, filled with cerebrospinal fluid. 2 Lateral ventricles, third ventricle, fourth ventricle.

What is 1
Lateral ventricles

What is 2
third ventricle

What is three?
cerebral aqueduct

What is four
Fourth ventricle

axon

dendrites

nucleus

soma or cell body





What is this
Spinal nerve

What is this
Dorsal root ganglion (dorsal:back side): contains cell bodies of afferent neurons

What is this
dorsal root: conducts afferent impulses

What is this
Ventral root: conducts efferent (motor) impulses

What nerve is this
Ulnar nerve

What nerve is this
Median nerve

What nerve is this
RADIAL nerve