1/56
Looks like no tags are added yet.
Name | Mastery | Learn | Test | Matching | Spaced | Call with Kai |
|---|
No analytics yet
Send a link to your students to track their progress
what structure produces aqueous humor?
ciliary body
where does aqueous humor drain out of the eye?
trabecular meshwork
how is corneal optical clarity maintaned?
avascular
nutrition provided by:
pre-corneal tear film
aqueous humor
dehydrated
maintained by:
hydrophobic corneal epithelium
corneal endothelial cation pump (Na/K ATPase) — pumps H2O out
regular array of collagen lamellae and keratocytes
steps in corneal epithelial wound healing
initial lag phase — 1 hr
sliding of epithelial cells at ulcer margin to cover defect
replication of germinal cells at limbus within 24 hrs
uncomplicated 2mm ulcer heals in a few days
causes of corneal edema
epithelial defects (ulcers) — superficial stromal edema
stromal vascularization — leaky blood vessels
endothelial defects — deep stromal edema
endothelialitis
canine adenovirus-1 vaccine reaction (“blue eye”)
malignant catarrhal fever
endothelial degeneration — age-relatd
endothelial cell damage
clinical appearance of ulcerative keratitis (corneal ulcers)
corneal edema
superficial neovascularization
inflammatory cell infiltrates

which stain can be used to diagnose corneal ulcers?
fluorescein stain — exposed stroma stains green
underlying causes of ulcerative keratitis
trauma
conformational lid defects (ex. entropion)
hair irritation
foreign body
exposure
lagophthalmos, exophthalmos
CN V or VII defects
keratoconjunctivitis sicca (dry eye)
primary or secondary infection
causative agent of infectious bovine keratoconjunctivitis
moraxella bovis (gram negative bacillus)
primary corneal pathogen with cytotoxic effects on neutrophils & corneal epithelial cells
highly contagious
predisposing factors to infectious bovine keratoconjunctivitis
summer months
corneal irritation (fly vectors, UV radiation, long grasses)
Hereford & Hereford-cross breeds
younger cattle (higher morbidity)
cattle house inside have higher infection rate of longer duration but milder clinical disease
clinical appearance of infectious bovine keratoconjunctivitis
unilateral (initially) central corneal ulcer
intense inflammatory cell infiltrates may develop into a stromal abscess
superficial neovascularization

outcomes of infectious bovine keratoconjunctivitis
corneal healing with scarring
or
corneal perforation with iris prolapse (blindness)
clinical appearance of feline herpes virus-1 keratitis
formation of dendritic ulcers (linear ulcers) — characteristic

pathogenesis of feline herpes virus-1 keratitis
virus reactivation and recrudescence
FHV-1 viral replication in corneal epithelial cells → cell death
may develop secondary bacterial infections
which stain is used to visualize FHV-1 keratitis?
rose bengal stain — epithelial defect may not extend to basement membrane; necessary to visualized epithelial lesions
causative agents of equine fungal keratitis
opportunistic pathogens — part of normal conjunctival flora of the horse
vary by geographic location
aspergillus
fusarium
lesions associated with equine fungal keratitis
ulcerative keratitis, frequently deep stromal
cause deep stromal abscesses
difficult to treat; may progress to corneal perforation & iris prolapse
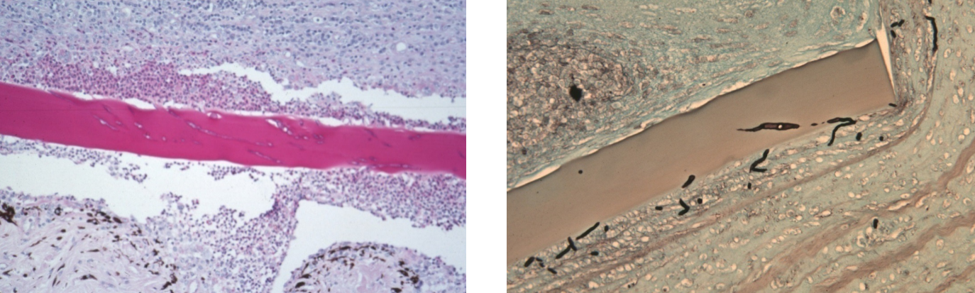
microscopic findings of equine fungal keratitis
involvement of posterior 1/3 of cornea
fungal hyphae found within descemet’s membrane (attracted to carbohydrates) & deep corneal stroma; rarely extend into anterior chamber
breaks in descemet’s membrane with pyogranulomatous inflammation; occasional multinucleated giant cells
often very little corneal neovascularization

what are the components of the tear film?
lipid layer (meibomian glands of the eyelids): forms optically smooth surface & prevents evaporation
aqueous layer (orbital lacrimal gland & gland of 3rd eyelid): provides nutrients & Ig to the avascular cornea
mucous layer (goblet cells of the conjunctival epithelium): adsorbs aqueous layer to corneal epithelium

production of what layer of the tear film is decreased with keratoconjunctivitis sicca (dry eye)?
aqueous portion
consequences of corneal desiccation
acute: corneal epithelium becomes ulcerated
chronic: corneal epithelium undergoes “epidermalization”
features of corneal “epidermalization”
not specific to KCS — any chronic, end-stage corneal disease
epithelial thickening with keratinization (↑ opacity)
rete ridge formation
pigmentation of the epithelium & superficial stroma
superficial neovascularization
superficial inflammation
goblet cell hyperplasia (conjunctiva)

what is aqueous flare?
turbid aqueous humor, caused by the presence of:
fibrin & other proteins
inflammatory cells
seen with uveitis
hypopion
neutrophils (pus) in anterior chamber

what are consequences of intraocular inflammation?
corneal edema
effects on corneal endothelial cell function
pre-iridal fibrovascular membranes (PIFM)
synechia (adhesion)
block aqueous drainage
secondary glaucoma
retinal detachment
protein exudation ± inflammatory cells from choroidal vessels into subretinal space
how do preiridal fibrovascular membrnaes (PIFM) form?
angiogenic factors are released into the eye & stimulate iridal blood vessels to proliferate on the anterior surface of the iris
fragile vessels may bleed spontaneously; leaky!
hyphema = blood in anterior chamber

different types of synechia (adhesion)
anterior: adhesion to the cornea
posterior: adhesion of the lens
peripheral anterior: over the iridocorneal angle

how can secondary glaucoma result from intraocular inflammation?
accumulation of inflammatory cells & fibrin in the iridocorneal angle may obstruct aqueous outflow
peripheral anterior synechia caused by preiridal fibrovascular membrane can close the angle
pupillary block: anterior or posterior synechia
where is blastomycosis common? which species does it affect?
common in wisconsin
dogs > cats > people (not zoonotic)
pathologic findings of blastomycosis
pyogranulomatous endophthalmitis & chorioretinitis
retinal detachment
thick-walled yeast, broad-based budding
systemic disease: lungs, skin, bone, eye

where is cryptococcosis common? which species does it affect?
more widespread than blastomycosis; associated with river systems, pigeon droppings
more common in dogs than cats
pathologic findings of cryptococcosis
pyogranulomatous chorioretinitis
also: nasal cavity, cutaneous involvement, brain
thin-walled yeast, narrow-based budding, thick capsule

where is coccidioidomycosis common?
valley fever (AZ, NM, CA)
pathologic findings of coccidioidomycosis
pyogranulomatous chorioretinitis
primarily pulmonary infections; may disseminate: long bones, heart, CNS, eyes
round spherules, filled with small endospores

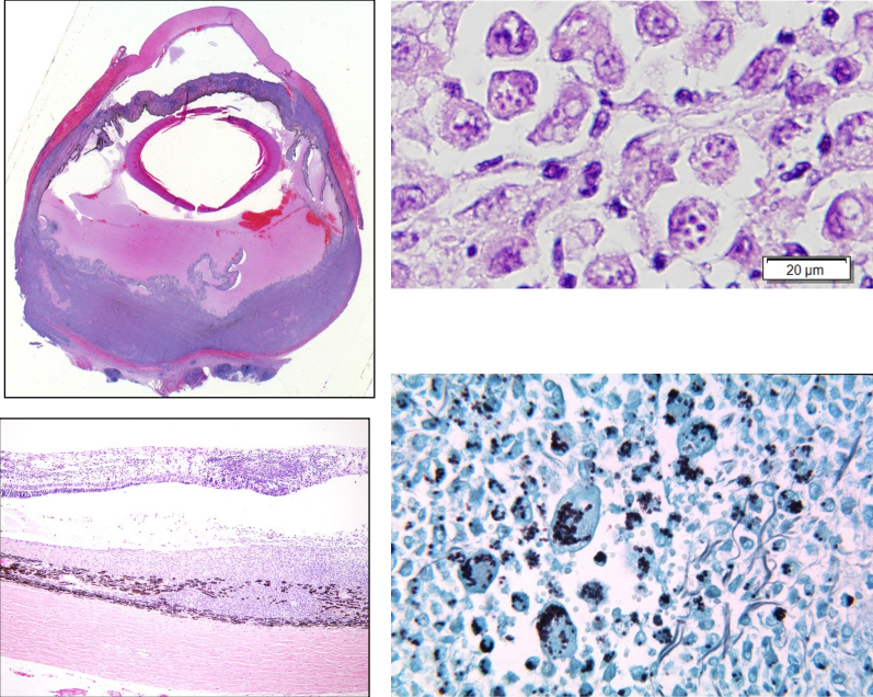
where is histoplasmosis common? what species does it affect?
widely distributed, esp. Ohio & Mississippi river valleys
soil fungus associated with bird & bat droppings
most common in dogs and cats
pathologic findings of histoplasmosis
pyogranulomatous chorioretinitis
primary pulmonary infection with dissemination to GI, liver
small round yeast, intracytoplasmic in macrophages

which species is affected by lymphoplasmacytic uveitis?
idiopathic disease of cats
clinical signs of lymphoplasmacytic uveitis
anterior uveitis (bilateral)
aqueous flare
hypopion (pus in anterior chamber)
rubeosis iridis (fibrovascular membrane)
anterior & posterior synechia
iridal nodules — lymphoid follicles
may obliterate ICA → secondary glaucoma

what is the most common cause of blindness in horses?
equine recurrent uveitis — recurrent episodes of anterior & posterior uveitis, typically progressive
equine recurrent uveitis pathogenesis
multifactorial, complex, controversial
inciting factors
most common: Leptospira infection → antigens cross react with equine cornea and lens antigens
immune mediated mechanisms result in recurrent bouts, even in the absence of the initiating factor
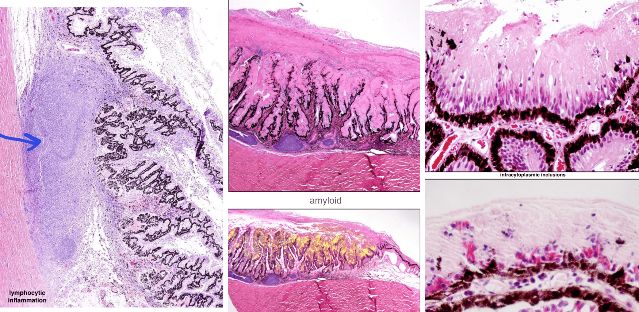
histopathologic findings of equine recurrent uveitis
lymphocytic inflammation in the uvea, sometimes follicular
eosinophilic (hyalinized) membrane coats the ciliary processes — amyloid
intracytoplasmic inclusions in non-pigmented ciliary body epithelium

causes of impaired aqueous outflow
fibrovascular membranes
synechia — anterior, posterior, peripheral anterior
pupillary block — iris bombe
clogging of trabecular meshwork with cells
obliteration of iridocorneal angle by neoplasia
goniodysgenesis
what is goniodysgenesis?
congenital abnormality — malformation of the iridocorneal angle structures
predisposes animal to development of glaucoma at any age

breed dispositions to goniodysgenesis
cocker spaniel, bassett hound, samoyed, great dane, chow chow, norwegian elkhound
(any breed can be affected)
morphologic features of glaucoma
retinal atrophy
decreased numbers of retinal ganglion cells
atrophy & gliosis of the never fiber layer
full thickness retinal atrophy (in dogs only)
cupping of the optic nerve head
end stage changes
buphthalmia (bulging)
lens luxation
phthisis bulbi (eye shrinks, atrophies)

what is the most common intraocular tumor in the dog?
melanocytoma/malignant melanoma
distribution of melanocytoma/malignant melanoma
anterior uveal tract — most common
choroid
epibulbar/limbar

biologic behavior of melanocytoma/malignant melanoma
melanocytoma does not metastasize
malignant melanoma infrequently metastasizes
melanocytoma can transform to malignant melanoma
what is the most common intraocular tumor in the cat?
feline diffuse iris melanoma (FDIM)
gross appearance/biologic behavior of feline diffuse iris melanoma (FDIM)
gross appearance:
begins as hyperpigmented foci (freckles) on the iris, over months to years coalesce and form masses involving the iris, ciliary body, choroid
may invade the iridocorneal angle & cause secondary glaucoma
distant metastasis may occur infrequently
most commonly to liver, lung, kidney, and spleen

characteristics of iridociliary epithelial tumors (origin, species, biologic behavior)
cell of origin: pigmented or nonpigmented ciliary body epithelium
common in dogs, less common cats
biologic behavior
vast majority benign = iridociliary adenomas
scleral invasion: iridociliary adenocarcinoma
gross appearance of iridociliary epithelial tumors
mass arises in posterior chamber
may extend through the pupil or invade the iris
often well vascularized
typically cream-colored mass; may be partial or completely pigmented

origin/associated risk factors of feline post-traumatic sarcoma
associated with previous ocular trauma & lens capsule rupture
development of tumor may occur months to years following the traumatic event
cell of origin: lens epithelial cells, released following lens capsule rupture
distribution of feline post-traumatic sarcoma
lines chambers of the eye, fills globe, extends through sclera, and can invade the optic nerve into the brain
may reoccur in orbit after enucleation
distant metastasis possible

which species are most commonly affected by squamous cell carcinoma of eyelids and conjunctiva?
cattle > horses > cats > dogs
how does squamous cell carcinoma develop? what are associated risk factors?
develops through pre-cancerous stage (plaques > papilloma) before malignant transformation over months or years
can be associated with viral infections: papilloma, herpes
associated with UV light exposure
tumors that commonly metastasize to the eye
lymphoma
histiocytic sarcoma
melanoma
hemangiosarcoma
mammary adenocarcinoma
other carcinomas