1/21
Looks like no tags are added yet.
Name | Mastery | Learn | Test | Matching | Spaced | Call with Kai |
|---|
No analytics yet
Send a link to your students to track their progress
Toxoplasma gondii
ID the following parasite (cat)
10-12 um

Eimeria oocyst
ID the following parasite (dog)
40x30um

Sporulated Cystoisospora oocyst
ID the following parasite (dogs and cats)
25-40 um

Sporulated Eimeria oocyst
ID the following parasite (goat)

Eimeria oocysts
ID the following parasite (calf)

Isospora felis (Cystoisospora felis)
ID the following parasite (cat)
30x40um

Isospora ohioensis (Cystoisospora ohioensis)
ID the following parasite (puppy)
~25um

Leishmania infantum
ID the following parasite as a nest within a macrophage (dog)

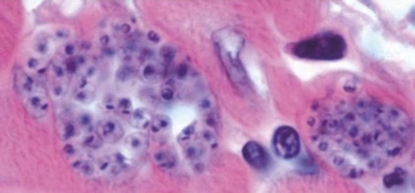
Trypanosoma cruzi
ID the following parasite nest of amastigotes in heart muscle histopath (dog)

Hepatozoon americanum
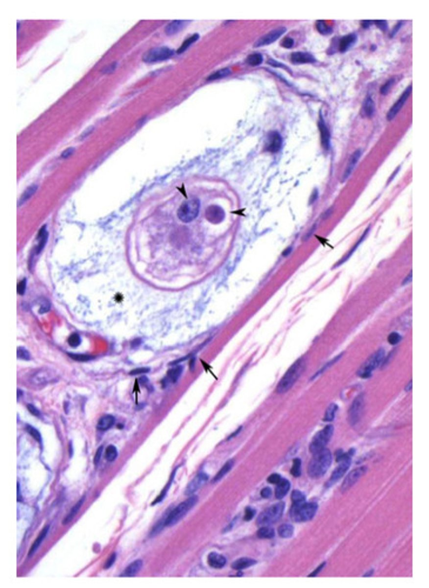
ID the following parasite encysted in muscle (dog)

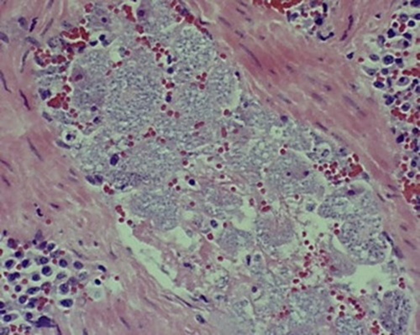
Cytauxzoon felis
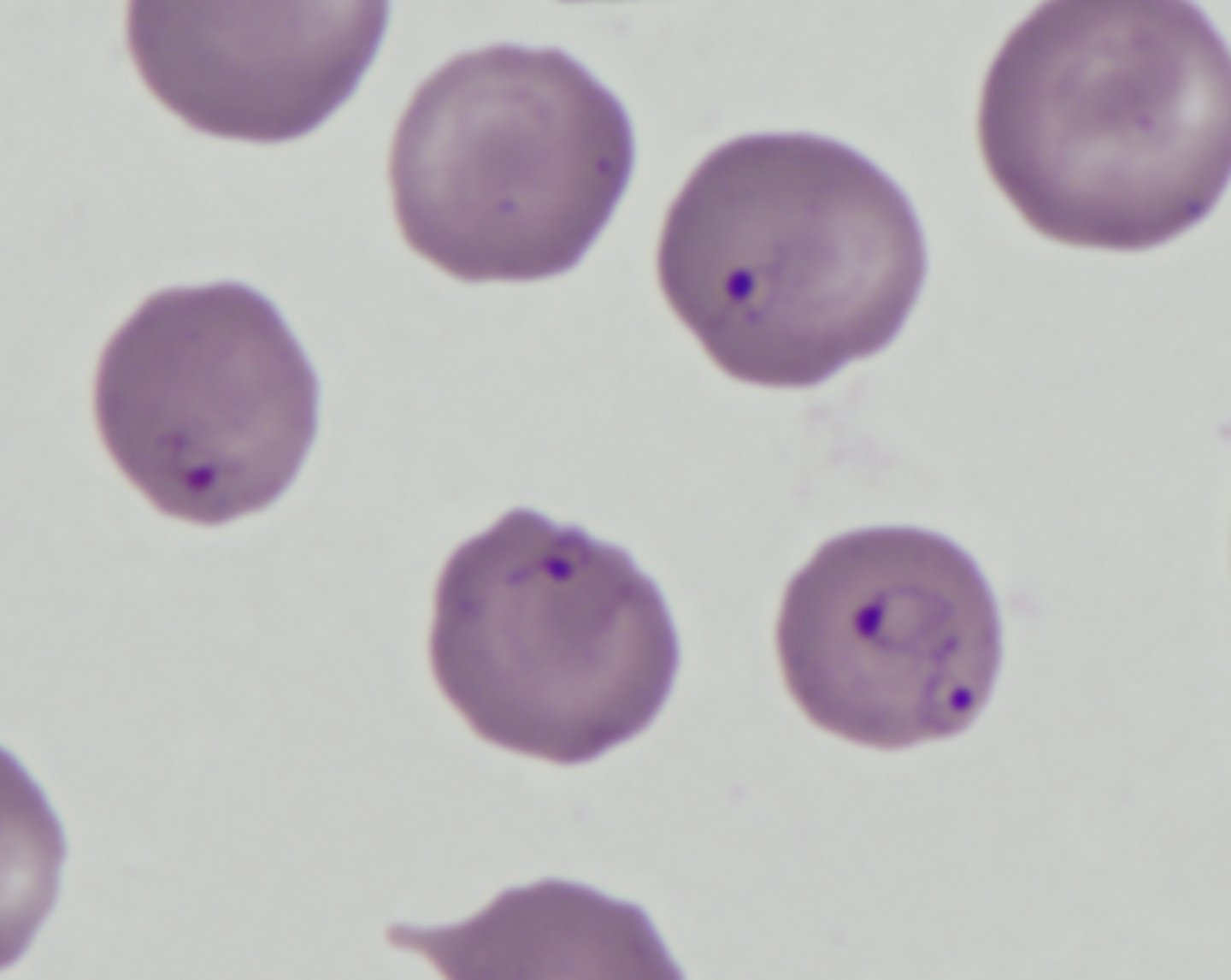
ID the following parasites occluding blood vessel (cat)

Babesia sp.
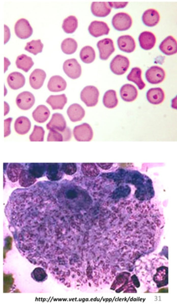
ID the following parasites on blood smear (dog)
3-5um

Eimeria sp.
ID the following parasite sp. (different animals)

Cystoisospora sp.
ID the following parasite (dogs and cats)

Toxoplasma gondii
ID the following parasite (cats)

Toxoplasma gondii
ID the following parasite that would cause white foci of necrosis in the cotyledons of placentas in a herd of ewes

Neospora caninum
ID the following parasite (dog)

Neospora caninum
ID the following parasite

Sarcocystis sp.
ID the following parasite

Hepatozoon americanum
ID the following parasite (dog)

Hepatozoon americanum
ID the following parasite (dog)

Cytauxzoon felis
ID the following parasite (cat)
