1/50
bio 2
Name | Mastery | Learn | Test | Matching | Spaced | Call with Kai |
|---|
No analytics yet
Send a link to your students to track their progress
four tissue types found in mammalian body
epithelial, connective, muscle, nerve
epithelial tissue
covers every surface of the vertebrate body; protection, secretion, absorption, and filtration
connective tissue
supporting, binding, and protecting various structures in the body,, while also facilitating transport and storage of nutrients
muscle tissue
contraction causes bones to move
nerve tissue
transmitting signals throughout the body, coordinating bodily functions and processing information, enabling responses to internal and external stimuli
nucleus in simple squamous epithelial cell
dark purple
where do you find simple squamous epithelial cells in the body
lining of lungs, capillary walls, and blood vessels

simple columnar or simple squamous
simple columnar

simple columnar or simple squamous
simple squamous
where do you find simple columnar epithelial cells in the body
surface lining of stomach, intestines, and parts of respiratory tract
what is the function of the goblet cells
produce mucus

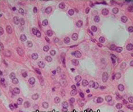
what is this
simple cuboidal
where do you find simple cuboidal epithelial cells in the body
lining of some glands and kidney tubules; covering of ovaries

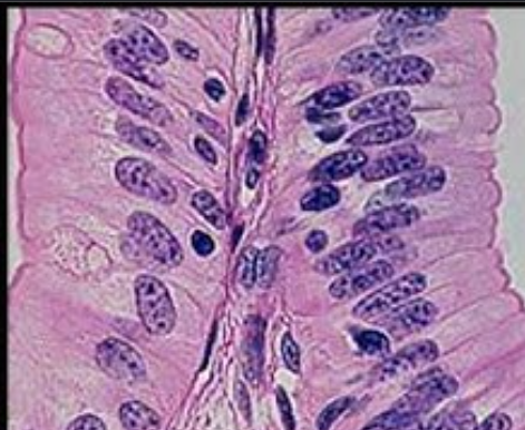
what is this
pseudostratified
what region contains the stem cells for the blood cells in the body
bone marrow
cartilage is located in what
lacunae

what is this
dense regular connective tissue
plaque
athro scelosis
how do you know its a female pig
ventral to tail
how do you know its a male pig
caudal to umbilical cord
intracellular digestion
digestion takes place inside cells, dont have true digestive system: sponge
gastrovascular cavity
digestive system with only one opening: hydra
complete gut
digestive system with two openings: reptiles, birds, mammals
red bone marrow
RBC, WBC, platelets; inside flat bones; produce new blood cells from stem cells; in fetus and young through entire skeleton. sternum, vertebrae, ribs, carpals, metacarpals, tarsals, pelvis, skull
yellow bone marrow
produces fat cells, cartilage, bone; in central cavities of long bones; mostly fat; replaces red bone marrow with age. humerus, radius, ulna, femur, tibia, fibula
axial skeleton
skull: zygomatic, maxilla, mandible; vertebral column: 7 cervical, 12 thoracic, 5 lumbar, 5 sacrum, 4 coccyx
appendicular skeleton
arms: humerus, radius, ulna, carpals, metacarpals, phalanges; leg: femur, tibia, fibula, patella, tarsals, metatarsals, phalanges
mouth
make bolus
esophagus
structures: peristalsis
stomach
structures: rugae
pancrease
exocrine: digestive enzymes, endocrine: insulin, glucagon; structures: acini cell, islets of langerhans
liver
make bile; structures: hepatic portal vein
gall bladder
store and release bile; structure: cystic duct
coronary arteries
supply oxygenated blood to the heart muscle
coronary veins
take nutrient poor deoxygenated blood away from heart muscle back to right atrium
insect open or closed circulation system
open
sea horse open or closed circulation system
closed
reptiles open or closed circulation system
closed
human open or closed circulation system
closed

what is this
amphibian heart; 3 chambered heart

what is this
reptile/turtle; 3 chambered heart except crocodile
function of larynx
breathing, sound production, protecting airway from food aspiration
hydra
asexual; budding
sea star
asexual; regeneration
mouse, pig, human
sexual
function of arrector pili muscle in skin
thermoregulation, contracts to pull hair vertically, “goosebump”
function of sebaceous gland
make and secrete sebum- substance that provides a protective coating for your skin to help it retain moisture
where in the skin can you find receptors for pain, pressure, temperature
dermis
what is the blind spot in the eye
optic disc
which part of the brain controls high function thoughts
cerebrum - frontal lobe
which part of the brain maintains basic homeostasis of the body
hypothalamus