1/129
Looks like no tags are added yet.
Name | Mastery | Learn | Test | Matching | Spaced | Call with Kai |
|---|
No analytics yet
Send a link to your students to track their progress
Corpus cavernosum
Identify the region of the penis

corpus spongiosum
Identify the region of the penis

Penis
Identify the organ

Corpus cavernosum
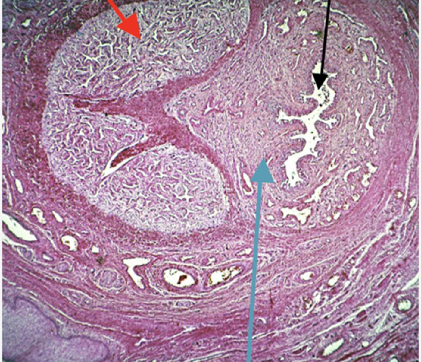
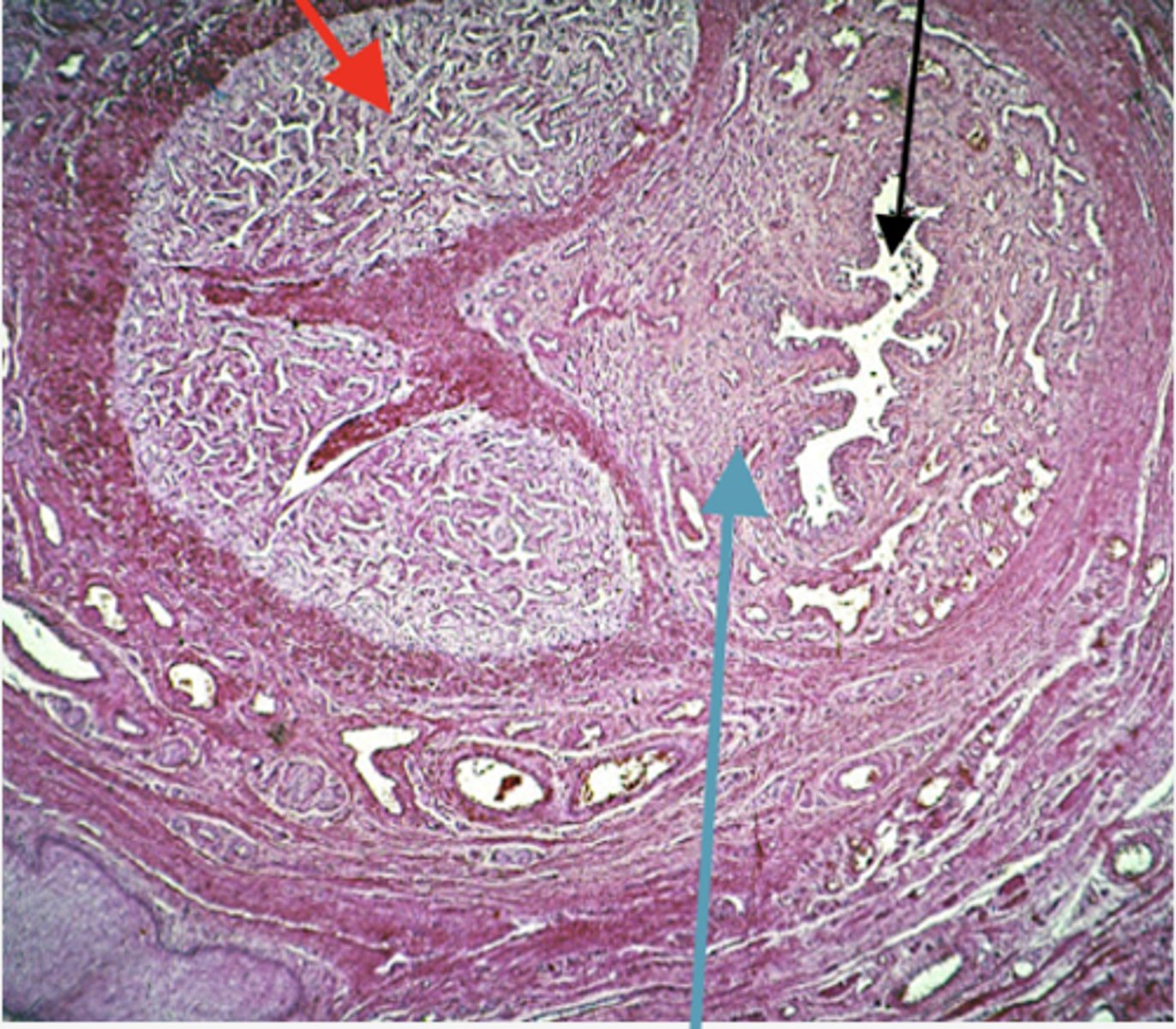
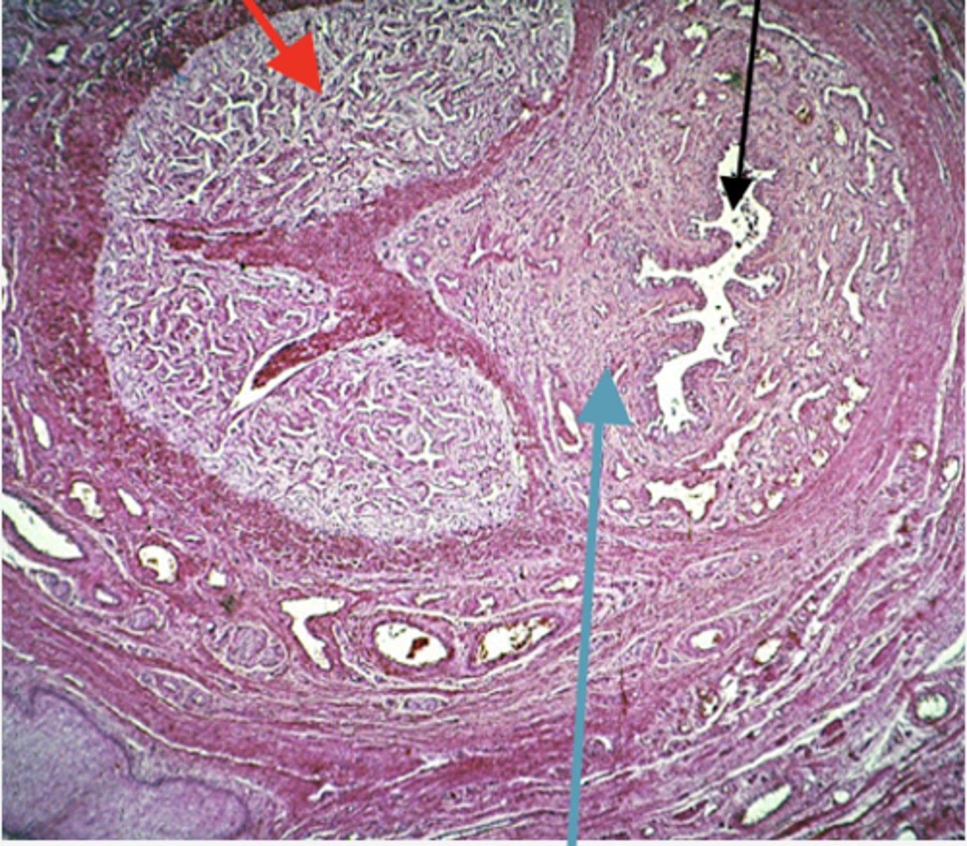
Identify the region (RED ARROW)

Corpus spongiosum
Identify the region (BLUE ARROW)

Urethra
Identify the region (BLACK ARROW)

Corpus spongiosum
Identify the region (YELLOW ARROW)

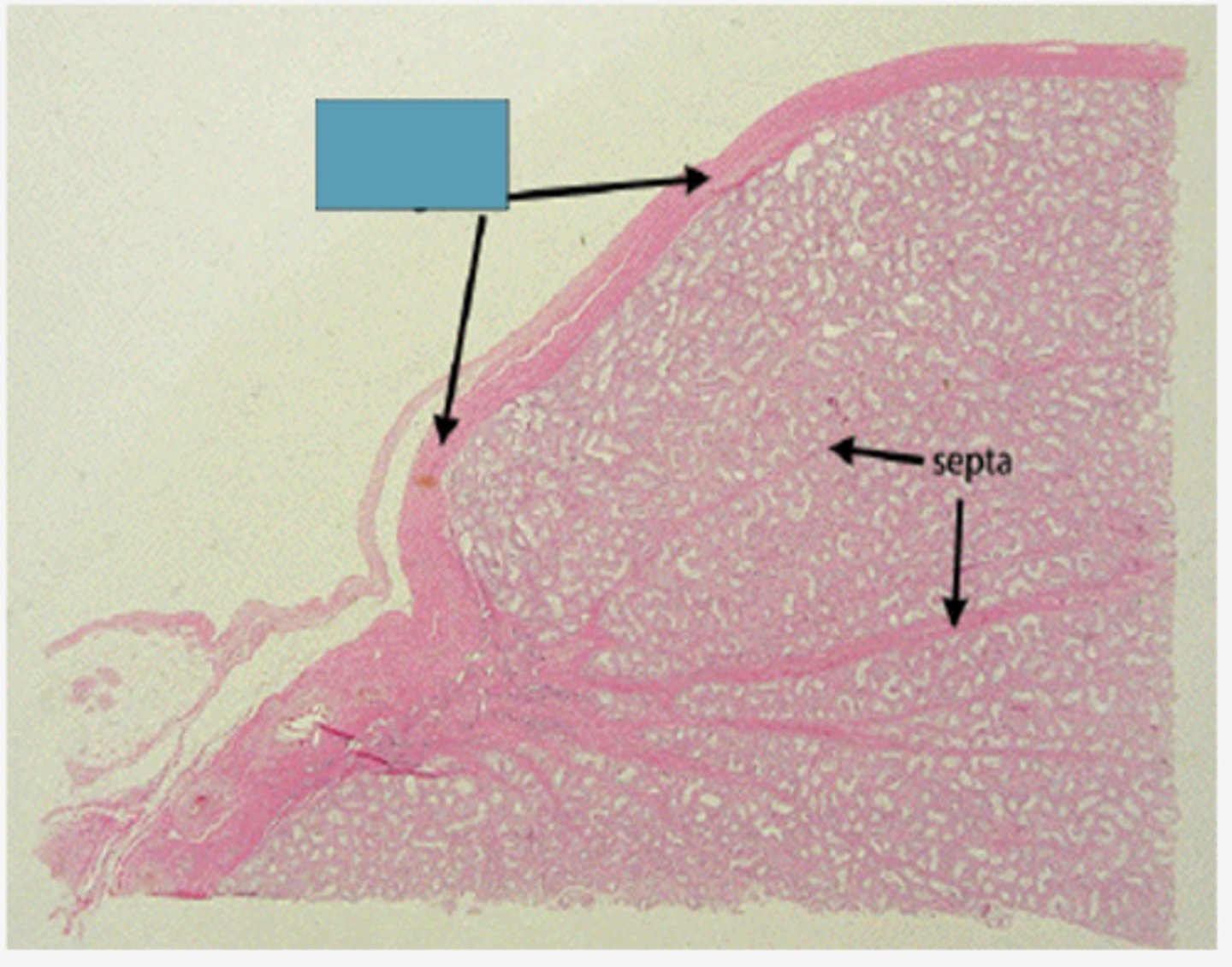
tunica albuginea
Identify the region (BLUE ARROW)

corpora cavernosa
Identify the region (BLACK ARROWS)

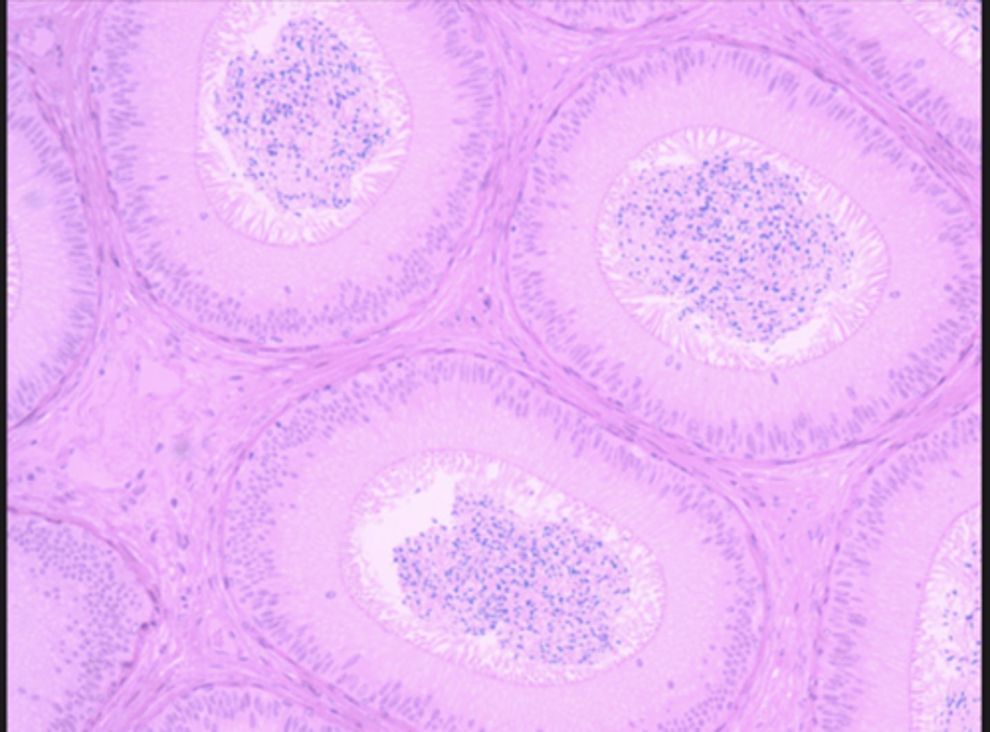
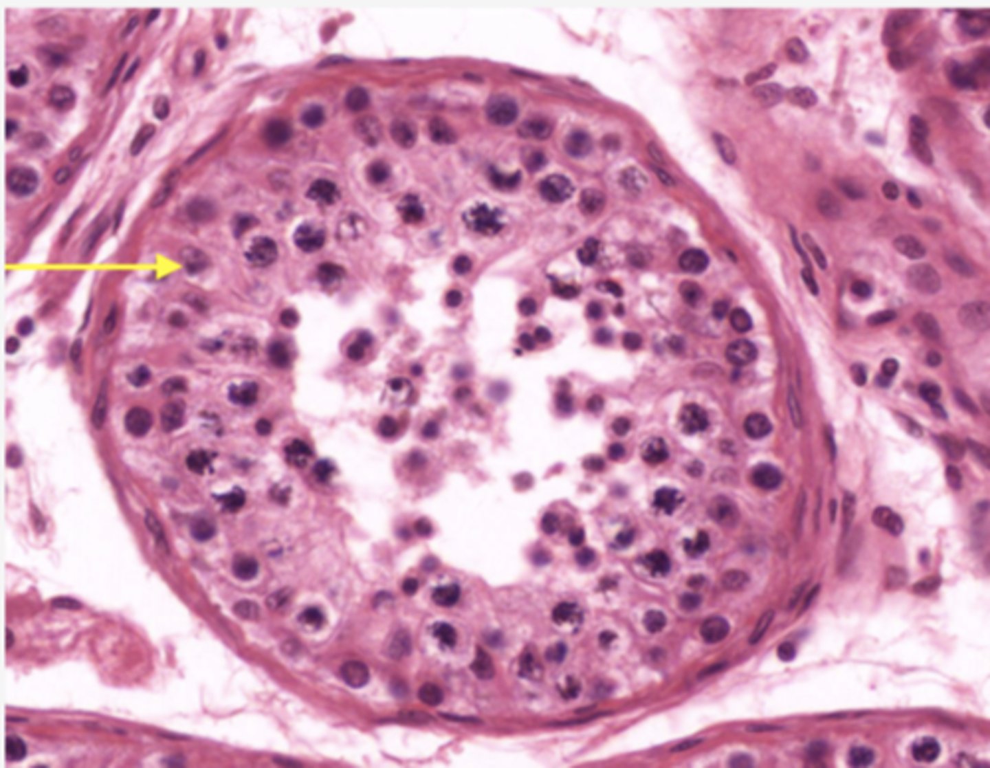
seminiferous tubules
Identify the structure

Epididymis
Identify the organ

tunica albuginea
Identify the structure

Seminiferous tubules
Identify the structure

Epididymis
Identify the organ

tunica albuginea
Identify the structure

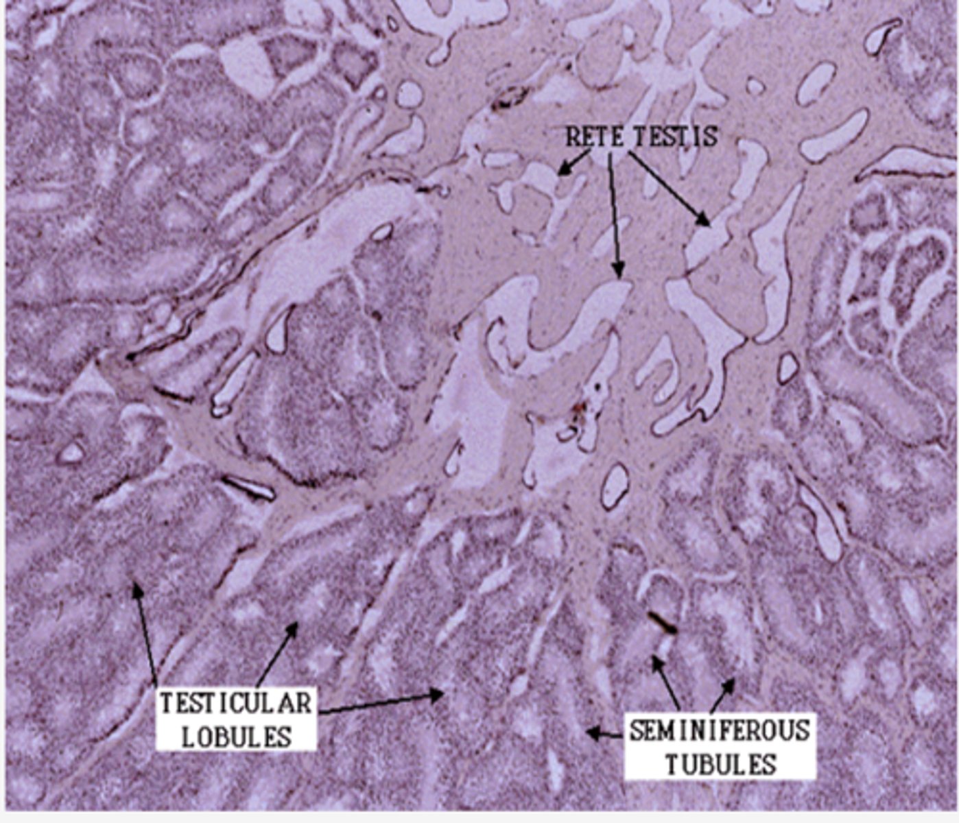
Mediastinum testis
Identify the Region of the Organ

tunica albuginea
Identify the structure

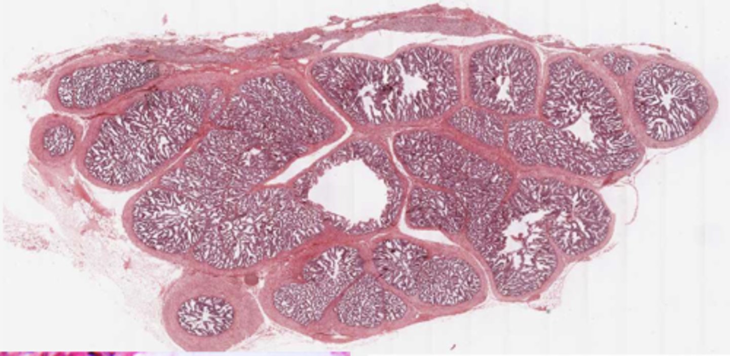
testis
Identify the organ

seminiferous tubules
identify the structure

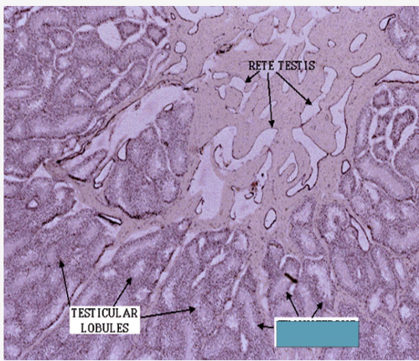
rete testis
Identify the structure of the testis

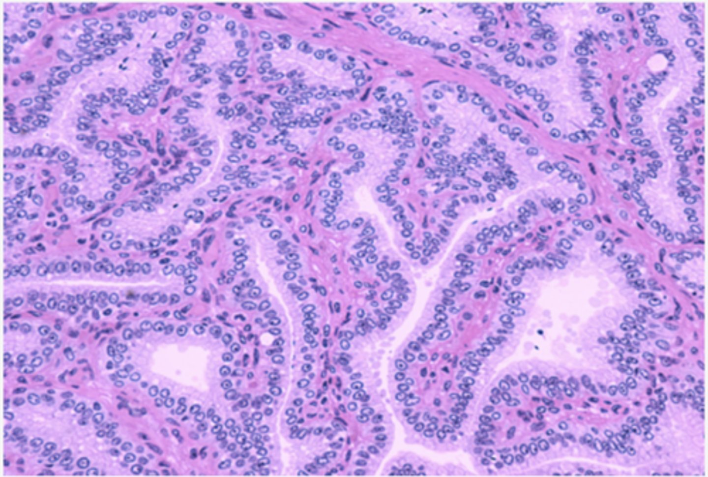
epididymis
Identify the organ

epididymis
Identify the organ

epididymis
Identify the organ

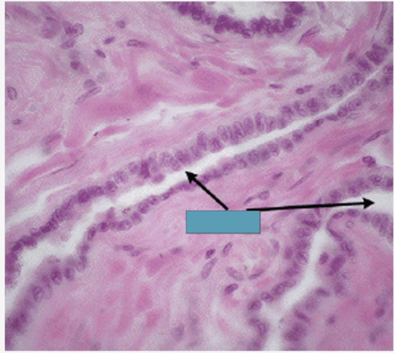
stereocilia
Identify the apical specialization

Sertoli cell
Identify the cell

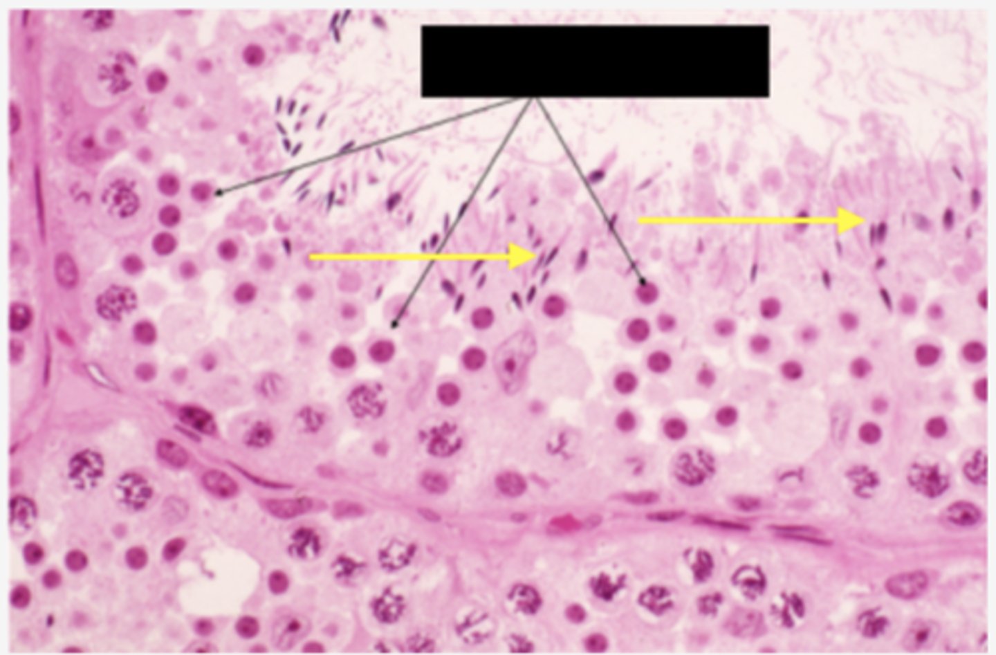
Spermatozoa
Identify the cell

Spermatid
Identify the cell

primary spermatocyte
Identify the cell

Spermatogonia
Identify the cell

primary spermatocytes
Identify the cells

Sertoli cell
Identify the cell

Spermatogonia
Identify the cell

Spermatids
Identify the cell

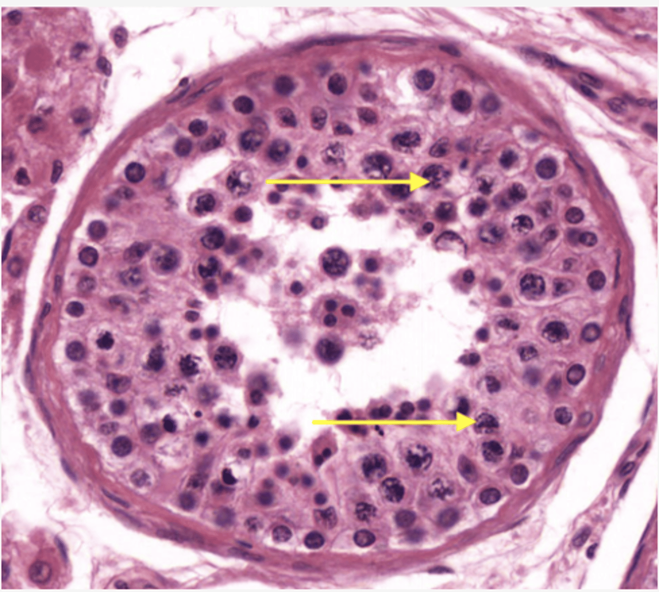
spermatogonia
Identify the cells (GREEN ARROW)

spermatids
Identify the cells (BLUE ARROW)

spermatocytes
Identify the cells (BLACK ARROW)

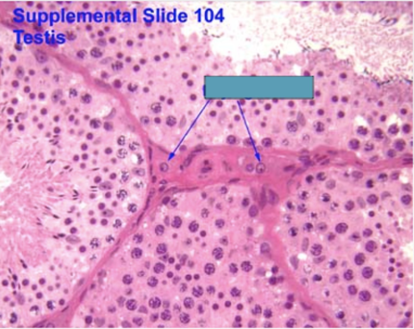
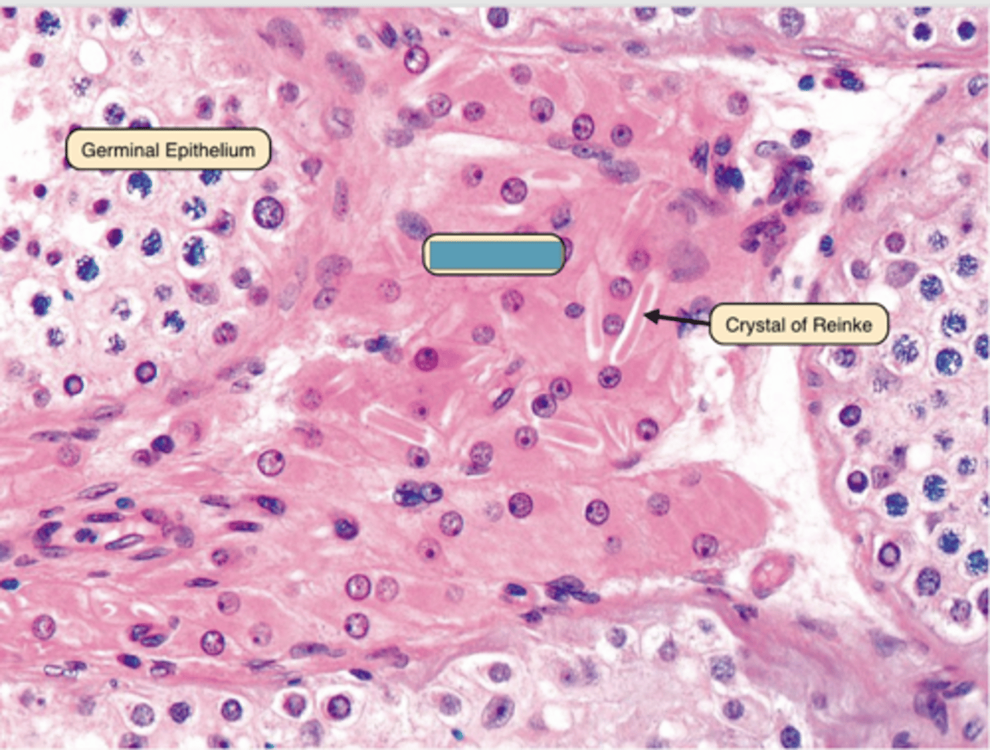
Leydig cells
Identify the cells

Leydig cells
Identify the cells

Sertoli cells
Identify the cells

Spermatogonia
Identify the cells

Primary spermatocytes
Identify the cells

Spermatids
Identify the cells

primary spermatocyte
Identify the cell

Leydig cells
Identify the cells

Spermatozoa
Identify the cell

Sertoli cell
Identify the cell

Ductus Deferens
Identify the organ

Ductus Deferens
Identify the organ

Ductus Deferens
identify the organ

Ductus Deferens
identify the organ

Ductus Deferens
identify the organ

Seminal vesicles
Identify the organ

Seminal vesicles
Identify the organ

Seminal vesicles
Identify the organ

Seminal vesicle
Identify the organ

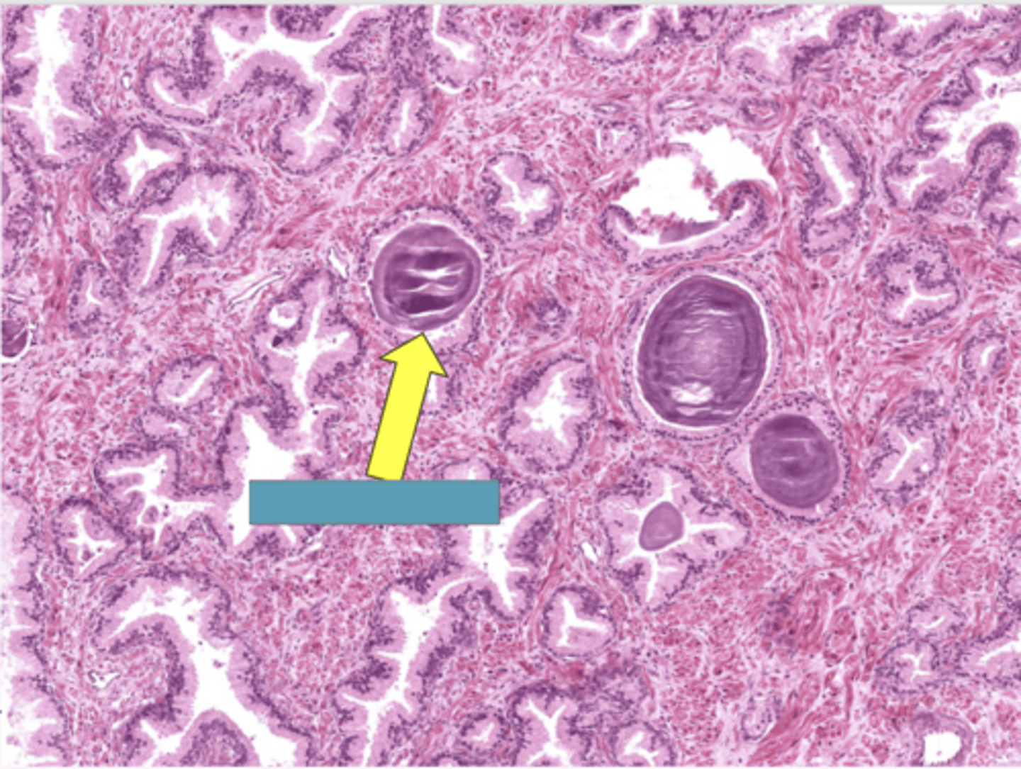
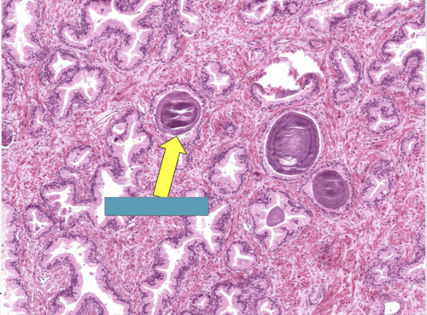
corpora amylacea
identify the structure

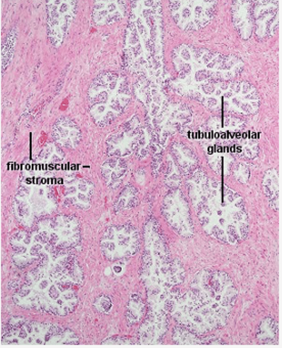
prostate gland
Identity THE ORGAN

prostate gland
identify the organ

prostate gland
identify the organ

Primordial follicle
Identify the stage of the follicle

zona pellucida
Identify the structure

Zona granulosa
Identify the layer

Primordial follicle
Identify the stage of the follicle

Primordial follicle
Identify the stage of the follicle

primordial follicle
Identify the stage of the follicle

growing follicle
Identify the stage of the follicle

secondary follicle
Identify the stage of the follicle

Zona granulosa
Identify the layer

zona pellucida
Identify the layer

theca interna
Identify the layer

Zona Pellucida
Identify the structure in the follicle

Granulosa
Identify the layer of the follicle

Graafian follicle
Identify the stage of the follicle

Secondary follicle
Identify the stage of the follicle

antrum
Identify THE SPECIFIC REGION OR SPACE (RED STARS)

secondary follicle
Identify the stage of the follicle

primary follicle
Identify the stage of the follicle

secondary follicle
Identify the stage of the follicle

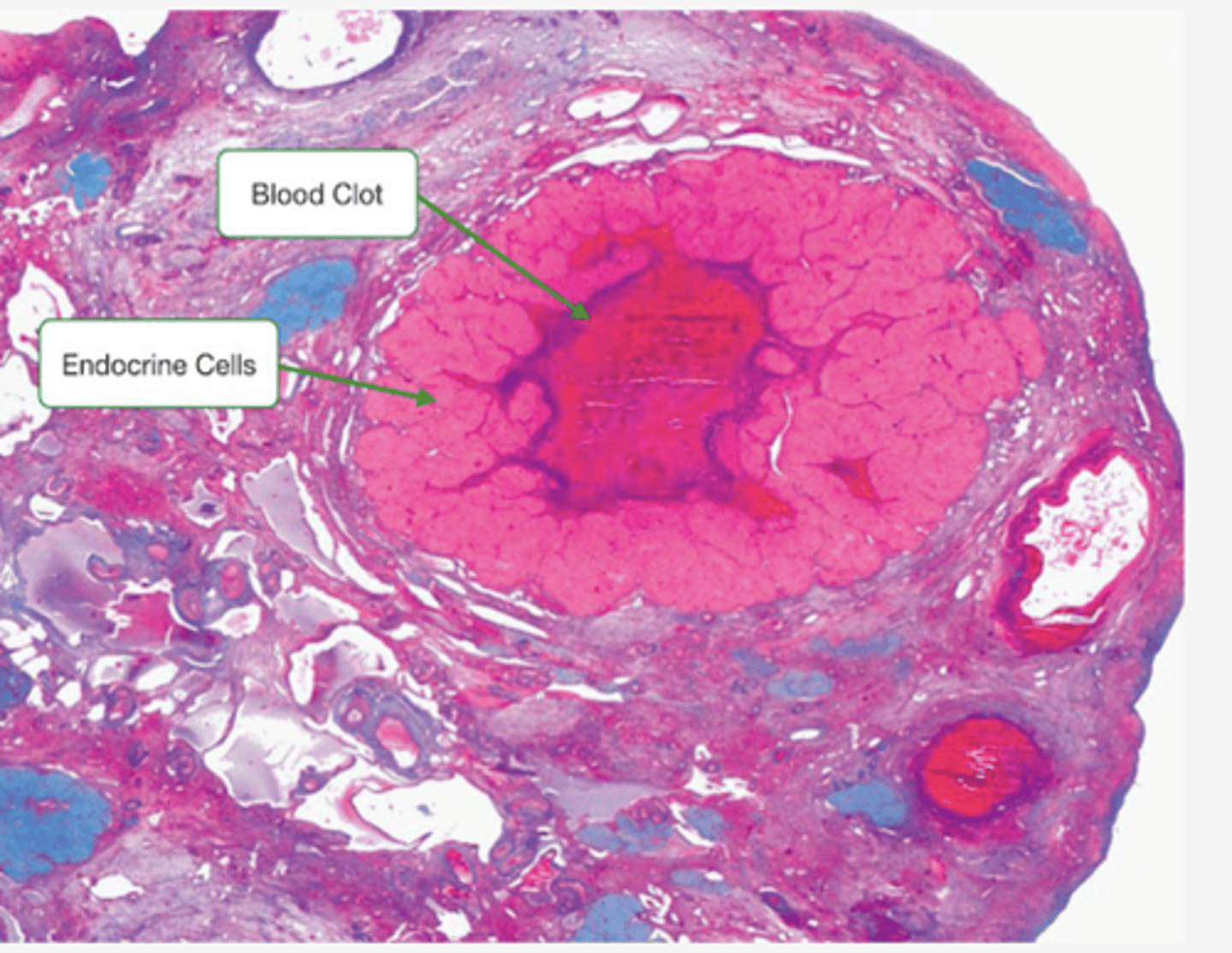
Corpus luteum
Identify the structure

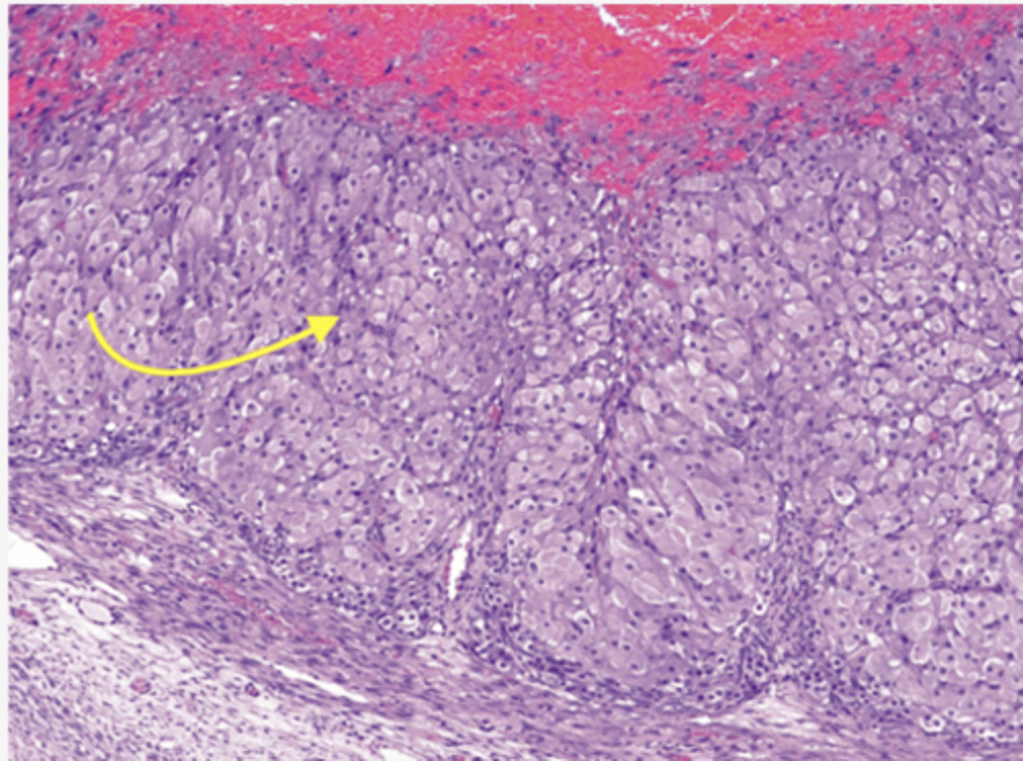
Theca lutein cells
Identify the cells

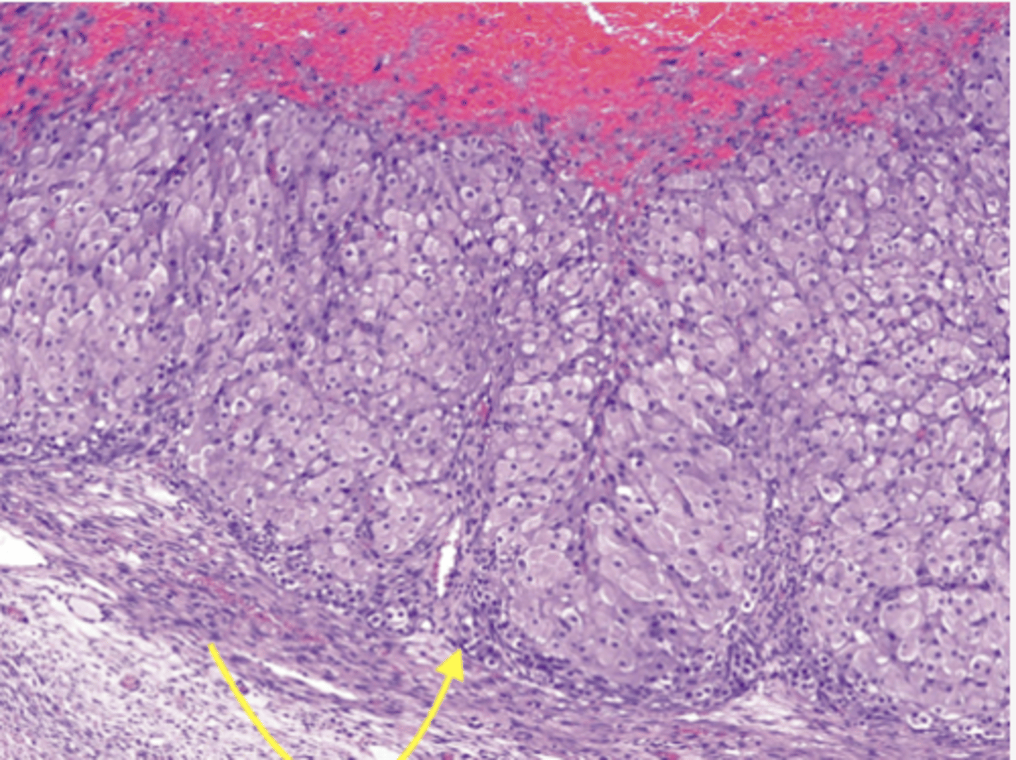
Granulosa lutein cells
Identify the cells

Corpus luteum
Identify the structure

Granulosa lutein cells
Identify the cells

Theca lutein cells
Identify the cells (yellow arrow)

Granulosa lutein cells
Identify the cells

Theca lutein cells
Identify the cells

Theca lutein cells
Identify the cells

atretic follicle
Identify the structure

corpus albicans
identify the structure

Corpus albicans
identify the structure

Atretic follicle
Identify the structure

Atretic follicle
Identify the structure

Atretic follicle
Identify the structure

Fimbriae
Identify the structure

fimbriae
Identify the structure

Oviduct
Identify the organ

fallopian tube
identify the organ

Fallopian tube
Identify the organ

uterus
Identify the organ

Proliferative uterus
Identify the stage of the uterus
