1/212
Connective Tissue
Name | Mastery | Learn | Test | Matching | Spaced | Call with Kai |
|---|
No analytics yet
Send a link to your students to track their progress
What is the Bible verse about taking a spiritual shower?
1 John 1:9
What is Dr. Blais’s favorite verse?
John 14:6
3 types of connective tissue:
connective tissue proper (CTP)
support
fluid
What is the most abundant and widely distributed tissue type in primary tissues?
connective tissue
What are the structural elements of connective tissue?
cells, fibers, ground substance
3 types of fibers in CT
collagen, elastic, reticular
What is ground substance?
unstructured material that fills the space between cells
What are the 6 functions of CT?
binding, protection, insulation/storage, transportation/immunity, motion, hemostasis
What two structures made of CT are used for binding?
tendons and ligaments
What structure of CT is used for insulation and storage?
fat
What structure of CT is used for transportation and immunity?
blood
What structure of CT is used for motion?
cartilage
What structure of CT is used for hemostasis?
platelets
2 subcategories of CTP:
dense and loose
3 types of dense CTP:
regular, irregular, elastic
3 types of loose CTP:
adipose, areolar, reticular
2 types of fluid CT:
lymph and blood
2 types of support CT:
bone and cartilage
What embryonic layer is connective tissue made of?
mesoderm
What are the cells of CT characterized by?
oval nuclei with prominent nucleoli and fine chromatin
many thin cytoplasmic processes
abundance and viscous extracellular matrix
What are cytoplasmic processes?
fibers being produced and exocytosed by a cell
What are the 6 cells of CT?
fibroblasts
adipocytes
macrophages
mast cells
plasma cells
leukocytes
Which of the 6 CT cells stay in the CT?
fibroblasts, adipocytes, and mast cells
Which of the 6 CT cells circulate the blood then move into CT?
plasma cells and leukocytes
Which of the 6 CT cells move through CT for a few days and usually die by apoptosis?
leukocytes
Which of the 6 cells originate from mesoderm? (it is only one)
fibroblasts
Which of the 6 cells originate from bone marrow?
all but fibroblasts
What are the most common cells in connective tissue?
fibroblasts
Active cells are called fibroblasts. What are inactive cells called?
fibrocytes
What does a fibroblast look like?
abundant and irregular branched cytoplasmic processes
ovoid large nucleus with large nucleolus
abundant RER and well-developed golgi
What does a fibrocyte look like?
smaller spindle shape with few processes
smaller and darker nuclei
less RER and acidophilic cytoplasm
In what two scenarios are fibroblasts activated?
body growth and tissue repair
During tissue repair, fibroblasts are targets for growth factor and produce _________ after undergoing mitosis.
collagen
What are 6 things that fibroblasts can secrete?
collagen fibers
elastic fibers
reticular fibers
glycosaminoglycans (GAGs)
proteoglycans
multiadhesive glycoproteins
Purpose of collagen fibers:
give tissues strength
Purpose of elastic fibers:
gives tissues flexibility
Purpose of reticular fibers:
gives tissues compartments and structure
Purpose of GAGs:
provide resistance to pressure bc water sticks to them
Purpose of proteoglycans:
major component of the animal ECM, the filler substance between cells
Purpose of multiadhesive glycoproteins:
act to stabilize ECM and link to cell surfaces
2 examples of mutliadhesive glycoproteins:
fibronectin and laminin

fibroblast

fibrocytes and fibroblasts
When tissue is destroyed, what cells are activated? What do they do?
fibroblasts are activated, undergo mitosis and begin producing collagen fibers to fill the space formed by the trauma
What to myofibroblasts produce?
both collagen and actin (which causes the scar to contract)
3 phases of wound healing:
scab formation
granulation tissue
scar tissue
What occurs when myofibroblasts are done with scar formation?
apoptosis
What can happen if myofibroblasts are not killed after scar formation is done?
fibrotic diseases like liver cirrhosis, keloids, or hypertrophic scars

What structure is this?
keloid

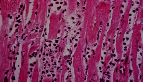
What has happened to this heart tissue?
it is scarred
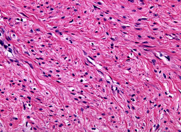
What is granulation tissue?
new fibroblasts laying down tissues
Two types of hyperactive scars:
keloids and hypertrophic scars
What appearance does collagen have in a keloid?
bubble gum collagen appearance

What type of scar is this?
keloid

What type of scar is this?
hypertropic scar

What type of scar is this?
hypertrophic scar
What collagen types are found in hypertrophic scars?
type 3
What collagen types are found in keloids?
types 1 and 3
Fiber arrangement of hypertrophic scars:
parallel to epidermis
Fiber arrangement of keloid scars:
random to epidermis
Are myofibroblasts in hypertrophic vs keloid scars?
present in hypertrophic and absent in keloid
Cell number _______ in hypertrophic scars.
increases
Cell number _______ in nodules and ________ in periphery in keloid scars.
decreased; increased

What cell types are these?
adipocytes
Macrophages in the liver are called:
Kupffer cells
Macrophages in the brain are called:
microglia
Macrophages in the epidermis are called:
Langerhan cells
What do macrophages do?
phagocytize and pinocytos substances

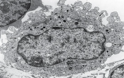
What cell is this?
macrophage
Macrophage in lymph nodes are called:
dendritic cells
Macrophages in bone are called:
osteoclasts
What forms when lysosomes cannot properly break down debris anymore because of their age?
residual bodies
What forms inside of residual bodies?
lipofuscin
Inflammation for less than 72 hours is called _______.
acute
Inflammation for more than 72 hours is called ________.
chronic
What cell types are present in acute inflammation?
neutrophils and macrophages
What cell types are present in chronic inflammation?
B and T lymphocytes
Two types of acquired immunity:
artificial and natural
Two types of artificial/natural immunity:
active and passive
How might one get artificially acquired active immunity?
a vaccine
How might one get artificially acquired passive immunity?
antibodies injected into the immune system
How might one get naturally acquired active immunity?
getting the infection/contacting the pathogen
How might one get naturally acquired passive immunity?
antibodies given via breastmilk or across the placenta
What is the antibody in breast milk?
IgA
Mast cells are large, oval cells containing ________.
granules
What type of granules do mast cells contain?
metachromatic
List the 5 different mast cell granules:
heparin, histamine, serine protease, leukotrienes, eosinophil and neutrophil chemoxatic factors
Function of heparin:
anticoagulant
Function of histamine:
promotes increased vascular permeability and smooth muscle contraction
Function of serine protease:
activates various mediators of inflammation
Function of leukotrienes C4, D4, E4:
triggers smooth muscle contraction
What antibody must bind to mast cells to trigger degranulation?
IgE

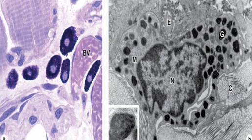
What cell type is this?
mast cell
In what two locations are mast cells most abundant?
respiratory mucosa and perivascular (small vessels of the skin)
Binding of two or more IgE molecules to a mast cell activates the release of _______ and ________.
histamine and heparin
A severe allergic reaction can cause what life-threatening condition?
anaphylaxis
Mastocytosis
abnormal high amount of mast cells produced
What is the cure for mastocytosis?
there is no cure, only treatments for the symptoms
What is the treatment of choice for mastocytosis?
Zafirlukast
Two types of leakage from normal blood vessels:
transudate and exudate