1/41
Looks like no tags are added yet.
Name | Mastery | Learn | Test | Matching | Spaced | Call with Kai |
|---|
No analytics yet
Send a link to your students to track their progress
What is the gestation of a dog from ovulation?
63 days +/- 1 day
What is the gestation of a dog from LH surge?
65 days +/- 1 day
What is the acceptable period of gestation from mating date?
57-73 days.
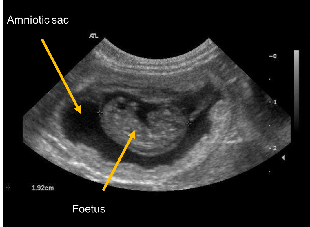
What diagnostic method can we use for pregnancy from 25 days onwards?
Ultrasound —> smaller dogs with front legs in air to help drop uterus caudally (makes imaging easier)
Heartbeat can be detected from 25 days onwards

What diagnostic method for pregnancy can we use from day 30 onwards?
Relaxin assay or palpation.
Relax produced by CL, endometrium & placenta (allanto-chorion) —> stimulates endometrial growth & vascularisation in prep for embryonic implantation
What diagnostic method for pregnancy can we use from day 45 onwards?
Radiography (but more expensive than US)
What are the benefits of ultrasound for PD?
Rapid
No sedation
Assessment of foetal heart rate
Earliest detection method
What are the limitations of ultrasound for PD?
Cannot get an accurate foetal count
Can also see false negatives (if scanned too early; repeat in 2 wks if negative)
Operator error
What is the main benefit of radiography for PD?
Can count puppies (foetal skeletal ossification from d42 onwards)
Important to know how many expecting
How long can stage 1 of pregnancy last in the bitch?
6-36 hours
What hormonal changes occur in stage 1 of pregnancy in the bitch?
Drop in progesterone and rise in prolactin.
What does the rectal temp drop to in stage one of parturition?
Below 37.5C
What behavioural changes occur in stage 1 of pregnancy in the bitch?
Restlessness,, anorexia, milk production, nesting behaviour
Foetus begins to move into pelvis due to uterine contractions
How long can stage 2 of parturition last in the bitch?
2-12 hours.
What happens in stage 2 of normal parturition?
Rupture of allantochorion of 1st puppy → regular straining → puppy producee in 30mins
What behavioural changes occur in stage 2 of pregnancy in the bitch?
Strong regular straining with a puppy produced within 30 minutes.
What occurs in stage 3 in pregnancy of the bitch?
Expulsion of placenta (allantochorion & amnion)
What is an acceptable time interval between pups in stage 2?
5 mins to 4 hours.
How long is lochia passed for?
Approx 3 wks
What are the main signs of foetal distress during parturition?
Meconium staining
Green vaginal discharge without a puppy
What are the main maternal problems which are concerning during parturition?
Vaginal haemorrhage
Exhaustion/collapse or other systemic disease signs
Severe pain
When should we intervene in delays of parturition?
Foetus visible in birth canal with no progression to delivery
Greater than 30 mins of strong contractions without a puppy
Greater than 4 hours between pups
Give a maternal factor which can cause dystocia
Uterine inertia (primary or secondary)
Give a foetal factor which can cause dystocia
Oversized, malformation, malpresentation.
What is primary uterine inertia and why does it occur?
Failure to start stage 2 of parturition —> due to very large litter (myometrial stretch & inability to contract) or very small litter.
What is secondary uterine inertia and why does it occur?
Failure to progress through second stage parturition and complete —> typically due to hormonal lack (oxytocin), lack of glucose/calcium or maternal exhaustion.
What is Ferguson's Reflex and what does this tell us about parturition?
Vaginal palpation results in strong uterine contraction —> lack of these indicates uterine inertia.
Other than normal components of a minimum database (for blood tests) what else do we check in pregnant bitches?
Calcium —> give more if low.
How do we manage secondary uterine inertia medically?
Give calcium (if abnormal)
Give glucose (if abnormal)
Give oxytocin if there is no obstruction
Repeat 2x if needed and should see pup within 40 mins
What are you looking for on US when investigating possible dystocia?
Maternal —> evidence of uterine rupture (free abdominal fluid / free floating puppies)
Foetal —> visability (HR?), distress (HR should be >160, lower = distress)
When is surgical management indicated?
Maternal —> primary uterine inertia, secondary uterine inertia non-responsive to medical management, maternal obstruction incl. uterine torsion, uterine rupture, systemically unwell dam
Foetal —> distress on US, oversized, malpresentation not corrected with manipulation, valuable litter
What is the main surgical management technique used for dystocia?
Caesarian section.
Why do we want to delay rolling the dam on their back for a C-section as long as possible?
As it can cause venous obstruction (if gravid uterus is on vena cava).
Elevate thorax to drop abdominal contents away from diaphragm
What considerations must we have for the dam during a C-section?
Higher CO and increased oxygen demands so provide O2
Risk of foetal CV & resp depression
Delayed gastric emptying so give antiemetics
Foetal hypothermia
How does the typical anaesthetic plan change for C-section bitches?
Avoid premed (unless bitch is really anxious where then chose an agent which can be reversed)
Give pre-oxygenation but give it in the most stress free way (not always the mask!)
No pre-emptive analgesia given so give skin and lines alba local blocks

What fluid therapy should be used for C-section bitches?
Isotonic crystalloids given at 5ml/kg/hour.
What considerations are needed for an induction agent for C-section?
Rapid onset of action
Rapidly metabolised (minimises impacts on pups)
Can be titrated to effect
I.e. propofol or alfax
What are our options for systemic analgesia for C-section bitches?
NSAID injection, opioids (methadone IM), paracetamol (IV) —> wait until all puppies of delivered if you can.
What may inadequate pain control in the bitch result in?
Prevention of nursing behaviours and increased risk of aggression towards pups.
What are the main considerations for pups after a C-section?
Box with lots of warmed towels (one per expected pup + 2)
Heat pad in box
What is the problem with using doxapram (resp stimulant) on puppies to help increase their breathing?
Causes increased myocardial and cerebral oxygen demand which results in worsening hypoxia.
What are the main points for after C-section has finished?
Clean the teats (do not use hibiscus or surgical prep)
Do not leave mum and pups unattended
Discharge ASAP