Vet Sci Parasite/Microscopic ID

5.0(1)
Studied by 61 people
call kaiCall Kai
learnLearn
examPractice Test
spaced repetitionSpaced Repetition
heart puzzleMatch
flashcardsFlashcards
GameKnowt Play
Card Sorting

1/44

flashcard set

Earn XP

Description and Tags

Oakdale FFA 2022-2023

Last updated 1:43 AM on 11/20/23
Name
Mastery
Learn
Test
Matching
Spaced
Call with Kai

No analytics yet

Send a link to your students to track their progress

45 Terms

1
New cards
Blowfly (Family Calliphoridae)
knowt flashcard image
2
New cards
Calcium oxalate crystals
knowt flashcard image
3
New cards
Cat Warble (Genus Cuterebra)
knowt flashcard image
4
New cards
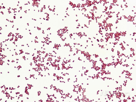
Cocci (bacteria)
knowt flashcard image
5
New cards
Coccidia (Genus Isospora or Eimeria)
knowt flashcard image
6
New cards
Demodectic Mite (Genus Demodex)
knowt flashcard image
7
New cards
Ear mite (Family Psoroptidae; Genus Otodectes)
knowt flashcard image
8
New cards
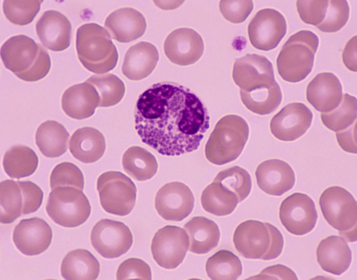
Eosinophils
knowt flashcard image
9
New cards
Epithelial cells (urine)
knowt flashcard image
10
New cards
Flea Larva (Genus Ctenocephalides)
knowt flashcard image
11
New cards
Flea Tapeworm Egg (Genus Dipylidium)
knowt flashcard image
12
New cards
Flea Tapeworm Segment (Genus Dipylidium)
knowt flashcard image
13
New cards
Flea Tapeworm (Genus Dipylidium)
knowt flashcard image
14
New cards
Fleas (Genus Ctenocephalides)
knowt flashcard image
15
New cards
Giardia (Genus Giardia)
knowt flashcard image
16
New cards
Heartworm Adult (Genus Dirofilaria)
knowt flashcard image
17
New cards
Heartworm Microfilaria (Genus Dirofilaria)
knowt flashcard image
18
New cards
Hookworm Adult (Family Ancylostomatidae; Genus Ancylostoma, Uncinaria, Bunostomum or Globocephalus)
knowt flashcard image
19
New cards
Hookworm Egg (Family Ancylostomatidae; Genus Ancylostoma, Uncinaria, Bunostomum, or Globocephalus)
knowt flashcard image
20
New cards
Horse Bots (Genus Gasterophilus)
knowt flashcard image
21
New cards
Horse Strongyles (Family Strongylidae; Genus Strongylus)
knowt flashcard image
22
New cards
Lice - Biting (Order Mallophaga; Genus Bovicola or Trichodectes)
knowt flashcard image
23
New cards
Lice - Sucking (Order Anoplura; Genus Linognathus or Hematopinus)
knowt flashcard image
24
New cards
Liver Fluke (Class Trematoda; Genus Fasciola, Fascioloides or Dicrocoelium)
knowt flashcard image
25
New cards
Mosquito Adult (Family Culicidae; Genus Anopheles, Culex or Aedes)
knowt flashcard image
26
New cards
Mosquito Larva (Family Culicidae; Genus Anopheles, Culex or Aedes)
knowt flashcard image
27
New cards
Neutrophils
knowt flashcard image
28
New cards
Platelets
knowt flashcard image
29
New cards

Red Blood cell (Mammalian)

30
New cards
Rod (bacteria)
knowt flashcard image
31
New cards
Roundworm Adult (Family Ascarididae or Toxocaridae; Genus Toxocara, Toxascaris, Ascaris, Parascaris or Neoascaris)
knowt flashcard image
32
New cards
Roundworm Egg (Family Ascarididae or Toxocaridae; Genus Toxocara, Toxascaris, Ascaris, Parascaris or Neoascaris)
knowt flashcard image
33
New cards
Sarcoptic Mite (Family Sarcoptidae; Genus Sarcoptes or Notoedres)
knowt flashcard image
34
New cards
Struvite crystals (triple magnesium phosphate)
knowt flashcard image
35
New cards
Taenia Tapeworm Egg (family Taeniddae; Genus Taenia)
knowt flashcard image
36
New cards
Taenia Tapeworm Segment (family Taeniddae; Genus Taenia)
knowt flashcard image
37
New cards
Taenia Tapeworm (family Taeniddae; Genus Taenia)
knowt flashcard image
38
New cards
American Dog Tick (Family Dermacentor; Genus variabilis)
knowt flashcard image
39
New cards
Black Legged Deer Tick (Family Ixodes; Genus Scapularis)
knowt flashcard image
40
New cards
Brown Dog Tick (Family Rhipicephalus; Genus Sanguineus)
knowt flashcard image
41
New cards
Lonestar Tick (Family Amblyomma; Genus Americanum)
knowt flashcard image
42
New cards
Whipworm Egg (Genus Trichuris)
knowt flashcard image
43
New cards
Whipworm (Genus Trichuris)
knowt flashcard image
44
New cards
Yeast (cytology)
knowt flashcard image
45
New cards

Red Blood cell (Avian)

knowt flashcard image

Explore top flashcards

flashcards
Quarter 2 Vocabulary Words
30
Updated 861d ago
0.0(0)
flashcards
human geo unit 3 gradesavers
69
Updated 1219d ago
0.0(0)
flashcards
Memory
42
Updated 874d ago
0.0(0)
flashcards
Unit 7: Natural Selection
35
Updated 1073d ago
0.0(0)
flashcards
Polytomic Ions
29
Updated 1015d ago
0.0(0)
flashcards
Vocab G Unit 6
20
Updated 1215d ago
0.0(0)
flashcards
Antidiabetic Drugs
52
Updated 1201d ago
0.0(0)
flashcards
EM E2: Trauma
87
Updated 325d ago
0.0(0)
flashcards
Quarter 2 Vocabulary Words
30
Updated 861d ago
0.0(0)
flashcards
human geo unit 3 gradesavers
69
Updated 1219d ago
0.0(0)
flashcards
Memory
42
Updated 874d ago
0.0(0)
flashcards
Unit 7: Natural Selection
35
Updated 1073d ago
0.0(0)
flashcards
Polytomic Ions
29
Updated 1015d ago
0.0(0)
flashcards
Vocab G Unit 6
20
Updated 1215d ago
0.0(0)
flashcards
Antidiabetic Drugs
52
Updated 1201d ago
0.0(0)
flashcards
EM E2: Trauma
87
Updated 325d ago
0.0(0)