1/100
Looks like no tags are added yet.
Name | Mastery | Learn | Test | Matching | Spaced | Call with Kai |
|---|
No analytics yet
Send a link to your students to track their progress
What are the two primary functions of the urinary system?
1. Excrete waste
2. Control the composition of blood (removing harmful wastes and conserving water and metabolites)
What is the normal length of the kidneys?
9-12 cm
What in the kidney might commonly be mistakened as a stone?
Arcuate arteries when they are calcified
The renal artery arises ___ from the ___ and runs to the kidney
laterally, aorta
Just before entering the renal pelvis, the renal artery branches into 2-3 ___ ___
segmental arteries
The segmental arteries branch inside the kidney to form ___ ___, which then branch into several ___ ___
lobar arteries, interlobar arteries
The interlobar arteries run through the renal ___ into the renal ___
columns, cortex
At the bases of the renal ___, the ___ arteries branch off
the interlobar arteries
pyramids, arcuate
___ arteries branch off the arcuate arteries and feed the
renal ___
Interlobular, cortex

What is the arterial supply to the kidneys? (7)
1. Aorta
2. Renal artery
3. Segmental arteries
4. Lobar arteries
5. Interlobar arteries
6. Arcuate arteries
7. Interlobular arteries
What do the renal veins empty into?
IVC
What is the major function of the kidney?
The excretion of urine
The composition of the ___ depends on what the kidney has to filter out of the ___ to maintain ___.
urine, blood, homeostasis
Serum Creatinine: ___ levels of creatinine in the blood indicate ___ ___
increased, renal failure
What lab value is the most reliable indicator of renal dysfunction/failure?
(Serum) creatinine
If creatinine clearance is LOW (indicating glomerular malfunction), the serum creatinine will be ___
HIGH
The right renal artery runs ___ to the IVC.
posterior

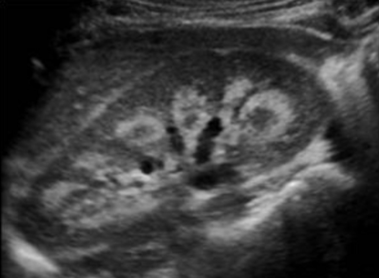
What normal variant of the kidney may mimic a renal mass or duplicated urinary system?
Hypertrophied Column of Bertin

Prominent folds of renal cortical tissue that protrude down into the medulla towards the renal sinus
Clearly separated from the renal sinus
Continguous with renal cortex
Echogenicity is the same as the cortex/renal parenchyma
Not over 3 cm in size as a rule
Hypertrophied Column of Bertin

A dromedary hump is usually on the ___ kidney. And the echogenicity is the ___ as the rest of the renal ___.
left, same, parenchyma

What normal variant of the kidney is a bulge of the renal cortex on the lateral surface of the kidney thought to be a result of pressure on the developing fetal kidney from the spleen?
Dromedary hump

What normal variant of the kidney is an echogenic, triangular indention in the upper pole of the renal parenchyma, which is a result of partial fusion of the two embryonic ranunculi that form the kidney?
Junctional parenchymal defect

Horseshoe kidney is the ___ of the polar regions of the kidneys during fetal development. Almost always involves the ___ poles. Usually located ___ in the ___ than usual. Associated with ___ pelvis, dilated ___ that are prone to infection (pyelocaliectasis), and ___.
fusion, inferior, lower, retroperitoneum, extrarenal, calyces, stones


Fusion of the polar regions of the kidneys during fetal development. Almost always involves the inferior poles. Usually located lower in the retroperitoneum than usual. Associated with extrarenal pelvis, dilated calyces that are prone to infection (pyelocaliectasis), and stones.
Horseshoe kidney


What renal congenital anomaly is when the right and left kidneys are fused and located on one side?
Cross-fusion


What renal congenital anomaly is when the kidneys fuse completely and remain in the midline?
Cake kidney
What congenital anomaly of the lower urinary tract results from when the prostatic urethra is dilated due to an obstruction?
Posterior urethral valves
What congenital anomaly of the lower urinary tract is the most commonly cause of urinary obstruction in male infants?
Posterior urethral valves

With posterior urethral valves, you may see an overly distended (enlarged) ___ with ___ hydroureter and hydronephrosis on ultrasound.
bladder, bilateral
Posterior urethral valves are a common indication for a ___ ___ ultrasound.
pediatric renal

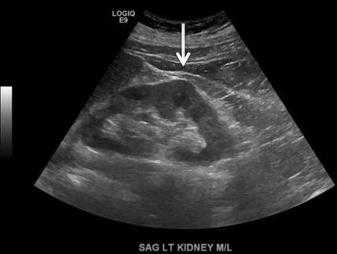
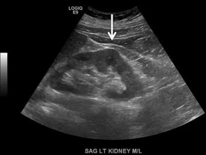
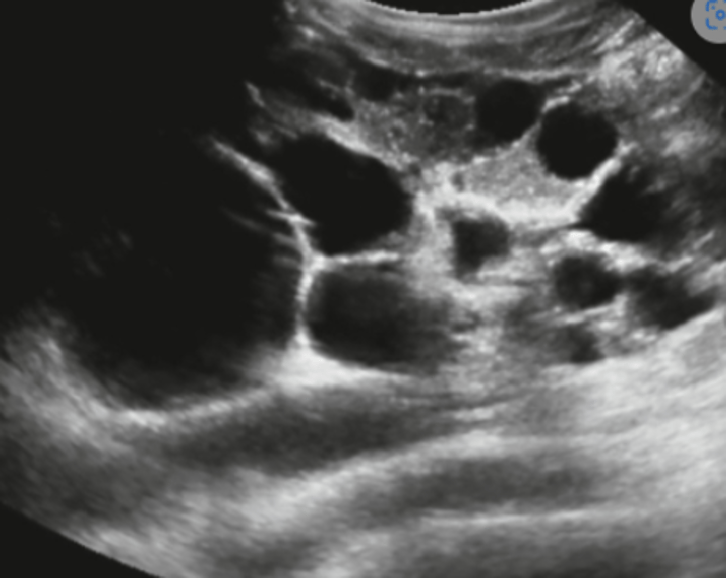
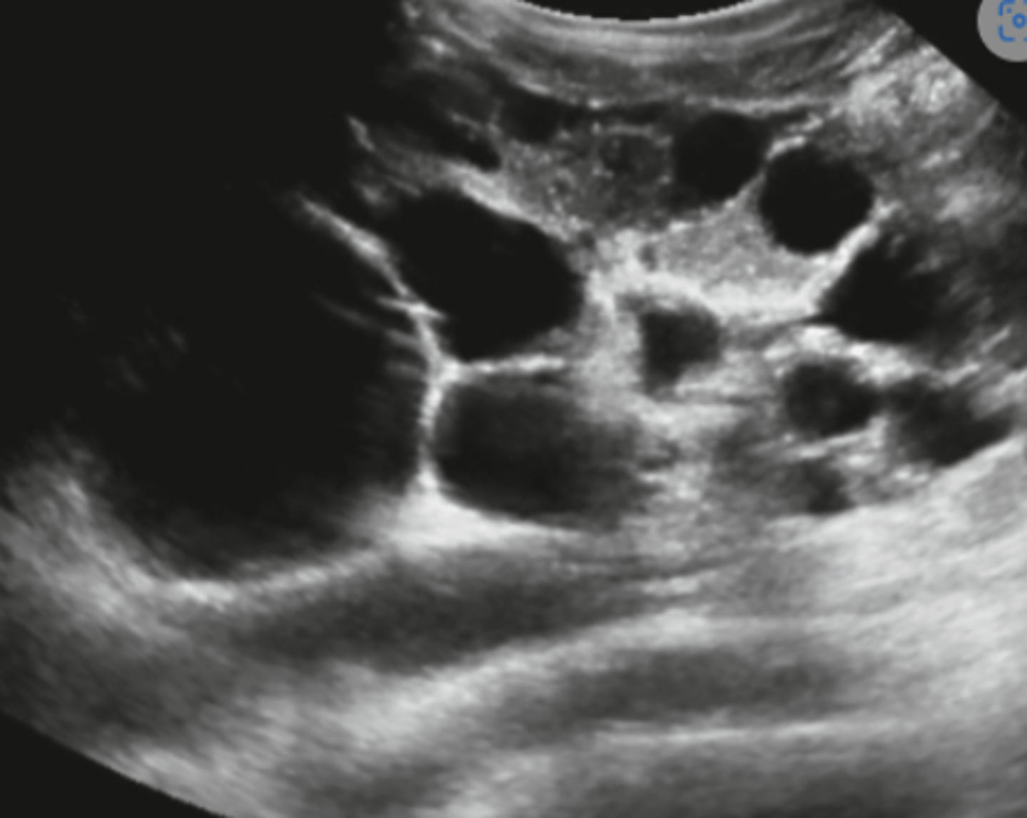
Polycystic Renal Disease
Multicystic Dysplastic Kidney is a ___ developmental disorder.
nonhereditary

Multicystic Dysplastic Kidney is usually ___ and if it is ___, it is typically ___.
unilateral, unilateral, asymptomatic
If Multicystic Dysplastic Kidney is bilateral, it is ___.
fatal
The kidney affected by Multicystic Dysplastic Kidney disease is usually ___.
nonfunctional

A kidney affected by Multicystic Dysplastic Kidney is ___ and made up of multiple ___ and little if any normal renal ___.
small, cysts, tissue

What is the most common source of palpable abdominal mass in infants?
Multicystic dysplastic kidney disease

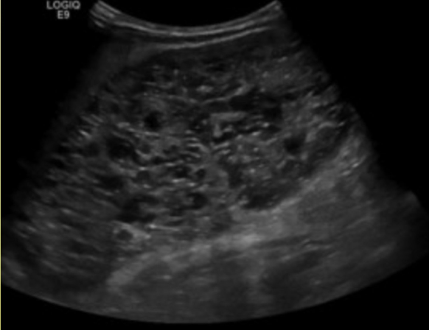
If a patient has autosomal recessive polycystic kidney disease, what will the kidneys look like on ultrasound (Infantile)?
Large and echogenic due to many tiny cysts
Autosomal recessive polycystic kidney disease is usually diagnosed when patients are ___ whereas autosomal dominant polycystic kidney disease is usually diagnosed when patients are in their ___.
young, 30s-40s (adults)

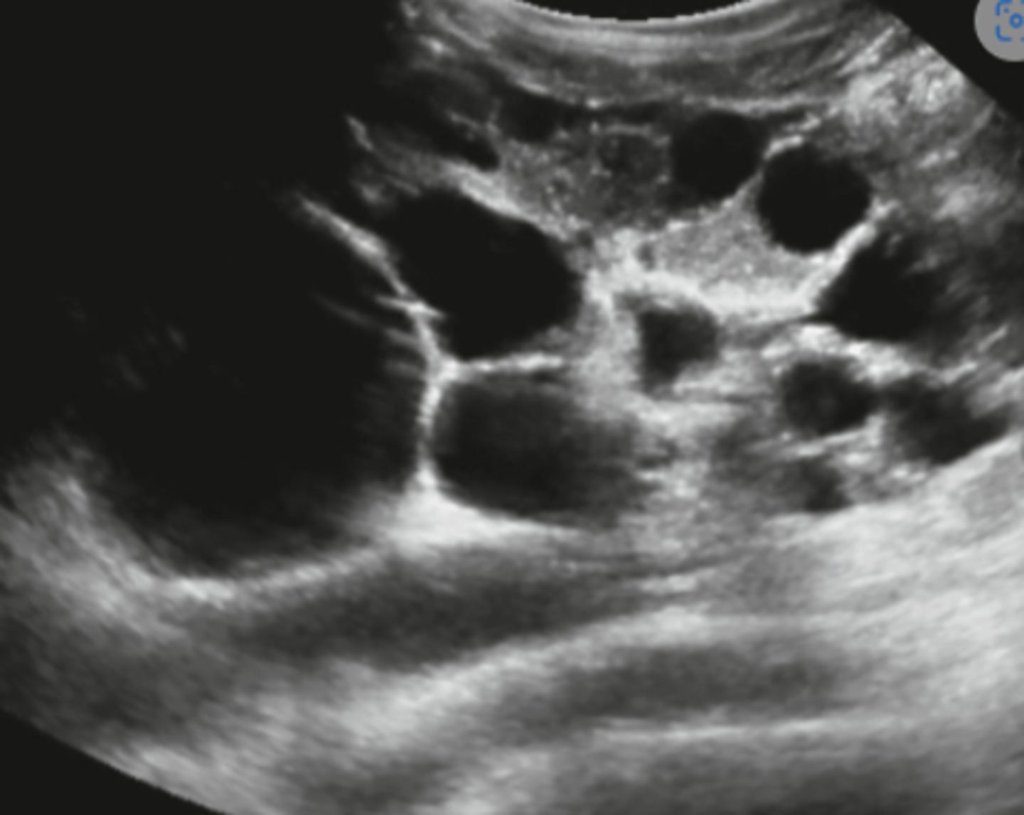
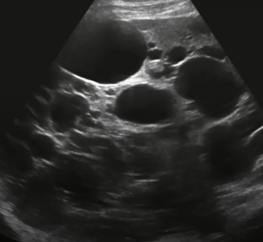
If a patient has autosomal dominant polycystic kidney disease, what will that look like?
Kidneys become enlarged and are slowly replaced by large cysts
What is the most common inherited renal disorder?
Autosomal dominant polycystic kidney disease

When is autosomal dominant polycystic kidney disease usually diagnosed?
30s-40s
What are onset symptoms of autosomal dominant polycystic kidney disease?
Hypertension and renal failure


___% of patients with autosomal dominant polycystic kidney disease will also have ___ ___
50, liver cysts

___% of adults over the age of ___ have renal cysts.
50, 50

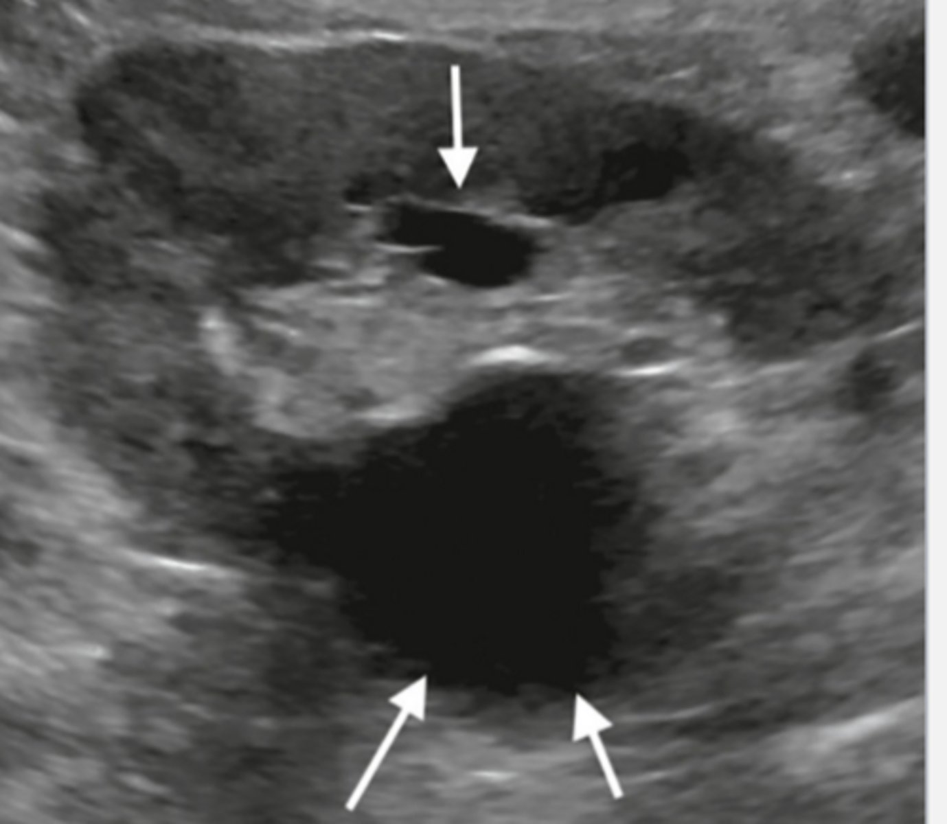
The parapelvic cyst is going to be located in the ___ ___, originate from the ___ ___, and protrude into the ___ ___.
renal hilum, renal parenchyma, renal sinus
A parapelvic cyst may cause ___.
hypertension (because it compresses on those arteries in the hilum)
Which kidney cyst may cause hypertension?
Parapelvic cyst (because it compresses on those arteries in the hilum)

Which cyst is NOT located in the renal hilum? Where is it located?
Peripelvic cyst; It is located in the sinus around the edge of the hilum
Both parapelvic cysts and peripelvic cysts do NOT communicate with the ___ ___.
collecting system
Genetic disorder that affects many parts of the body (*Under Cystic Masses Associated with Systemic Disease)
Von Hippel-Lindau Disease
What renal manifestations often appear with Von Hippel-Lindau disease?
Renal ___
Renal ___ (benign, solid)
Renal ___ (malignant)
Usually ___, often _lateral
cysts, adenomas, adenocarcinomas, multiple, bi
If a renal tumor is malignant, what area do you want to closely look at?
the venous system (renal vein, IVC, right atrium)
tumor will typically extend here
What is the most common malignancy of the kidney?
renal cell carcinoma (RCC)
What are the 3 most common symptoms associated with renal cell carcinoma?
- hematuria
- weight loss
- flank pain
What are the sonographic appearances of renal cell carcinoma? (11)
o Solid
o Most often isoechoic (86%)
o May be hypoechoic (10%)
o May be echogenic to renal parenchyma (more often in tumors measuring <3cm)
o Small tumors often have a hypoechoic rim
o Occasionally complex
o Cystic (5-15%)
o May be Unilocular with thick walls, multi-locular with septations, or necrosis of solid mass
o May see calcifications (8-18%)
o Irregular borders
o Disrupts renal contour, corticomedullary border, and/or renal sinus
What indicates major progression of renal cell carcinoma? What stage of RCC is this considered?
invasion to the IVC. Stage 3
What is another name for Wilm's tumor?
nephroblastoma
Is a Wilm's tumor benign or malignant?
malignant
What is the most common pediatric solid renal mass?
wilm's tumor/nephroblastoma
The wilm's tumor is rare in __________ , 50% appear by age ___, most patients approx __ years old.
newborns ; 3 ; 2
What is a wilm's tumor associated with? (4)
o Beckwith-Wiedemann Syndrome
o Sporatic Aniridia (no color of iris)
o Omphalocele
o Hemihypertrophy
What is the most common symptoms of Wilm's tumor?
palpable abdominal mass
What is the difference between a UPJ and UVJ?
o UPJ (Ureteropelvic Junction) Obstruction: occurs where the ureter joins the renal pelvis
o UVJ (Ureterovesicle Junction) Obstruction: occurs where the ureter joins the bladder
What can cause acquired hydronephrosis? (8)

What can cause intrinsis hydronephrosis? (4)

What are the causes of congenital hydronephrosis? (4)

Bilateral or unilateral hydronephrosis? Bladder or urethra obstruction?
bilateral
Bilateral or unilateral hydronephrosis? Stone in the right kidney?
unilateral
What grade of hydronephrosis is this?
splaying of the calyces—distinguish from peripelvic cyst by
imaging in two planes and showing communication with the ureter. Use
color Doppler to distinguish from renal vessels.
Grade 1

What grade of hydronephrosis is this?
Fluid extends into major and minor calyces. "Bear Claw" or
"Cauliflower" effect.
Grade 2

What grade of hydronephrosis is this?
Severe dilatation of the renal pelvis with loss of renal
parenchyma
Grade 3

When evaluating hydronephrosis on US, you must scan the patient ___ and _______ _____.
pre ; post void
What syndrome is medullary nephrocalcinosis associated with?
Cushing's syndrome
With medullary nephrocalcinosis there are _______ deposits in the renal _______.
calcium ; pyramids

What is classified as an abrupt decrease in renal function?
acute renal failure
What is the main symptoms associated with acute renal failure?
oliguria (decreased urine output)
What are causes of acute renal failure? (4)
o Acute inflammatory process in the kidney
o Renal Vein Thrombosis
o Renal Artery Occlusion (rare)
o Also caused by some drug overdoses and antifreeze intake
What is the US appearance of acute renal failure? (3)
- Large kidneys
- Hypoechoic or echogenic kidney
- Loss of corticomedullary junction
What are the lab values that indicated chronic renal failure?
high BUN and Creatinine
What will the kidney look like on US with Acute Glomerulonephritis? (2)
large and echogenic
What is Acute Glomerulonephritis associated with? (4)
• Pharyngitis
• Edema
• Oliguria
• Hematuria
What is an auto-immune connective tissue disorder that affects many parts of
the body?
Lupus nephritis/systemic lupus erythrematosus
______ ________ generally affects the blood vessels, joints, liver, kidneys, and causes retroperitoneal fibrosis.
Lupus nephritis
Lupus nephritis rarely affects what?
the central nervous system
What is lupus nephritis associated with?
butterfly shaped rash on the face

What renal symptoms will somone with lupus nephritis have? (5)
o Hematuria
o Proteinuria
o HTN
o Renal Vein Thrombosis
o Renal Insufficiency - increased BUN and creatinine
What is the sonographic appearance of lupus nephritis? (2)
- renal atrophy
- echogenic kidneys
What is the most common medical renal disease that causes acute renal failure?
acute tubular necrosis
What is the name for herniation of the bladder wall?
bladder diverticulum
What is the US appearance of bladder diverticulum? (3)
o Cystic protrusion from the wall of the bladder
o May remain filled with fluid even after bladder is emptied
o Urine stasis predisposes patients to bladder stones and infections
Infectious cystitis typically occurs in ______.
women
(From E.coli bacteria from the rectum. Why women wipe from front to back)
What are the symptoms with infectious cystitis? (2)
- hematuria
- urinary frequency and burning
What is the US appearance of Emphysematous Cystitis? (2)
o Echogenic foci
o Dirty or ring-down shadow within bladder wall
What type of cystitis will have the lining of the bladder inflamed and starts to bleed and is associated with fever, abnormal urinalysis with RBC's and WBC's present?
hemorrhagic cystitis
What are masses of urothelium in the lamina propria (connective tissue) of the bladder wall? And what is this associated with?
Brunn's Nests
Chronic cystitis

Sites that scan any pediatric patients will scan a LOT of kidneys. We are typically following up _________ or looking for any abnormality associated with ____ ______.
hydronephrosis ; bed wetting
If a patient has a _______ based on urine analysis, we may see nothing abnormal on ultrasound.
UTI
_____ ______ ______ is a very typical indication for a renal ultrasound
acute renal injury
________ patients are known to have kidney problems and vascular issues.
diabetic
If a patient complains of frequent urination, leaking, or the order specifies, it is necessary to obtain _____-______ bladder images to calculate the ____-______ residual. In an adult we want the amount of urine left in the bladder after urination to be _____ than ___cc
post-void ; post-void ; less ; 40