1/15
Looks like no tags are added yet.
Name | Mastery | Learn | Test | Matching | Spaced | Call with Kai |
|---|
No analytics yet
Send a link to your students to track their progress
Pulmonary Regurgitation
Least likely to have significant regurgitation - likely mild
Trivial-Mild PR
Seen in 75% of the population
2D Features of Chronic PR
RV dilation with normal function - overload
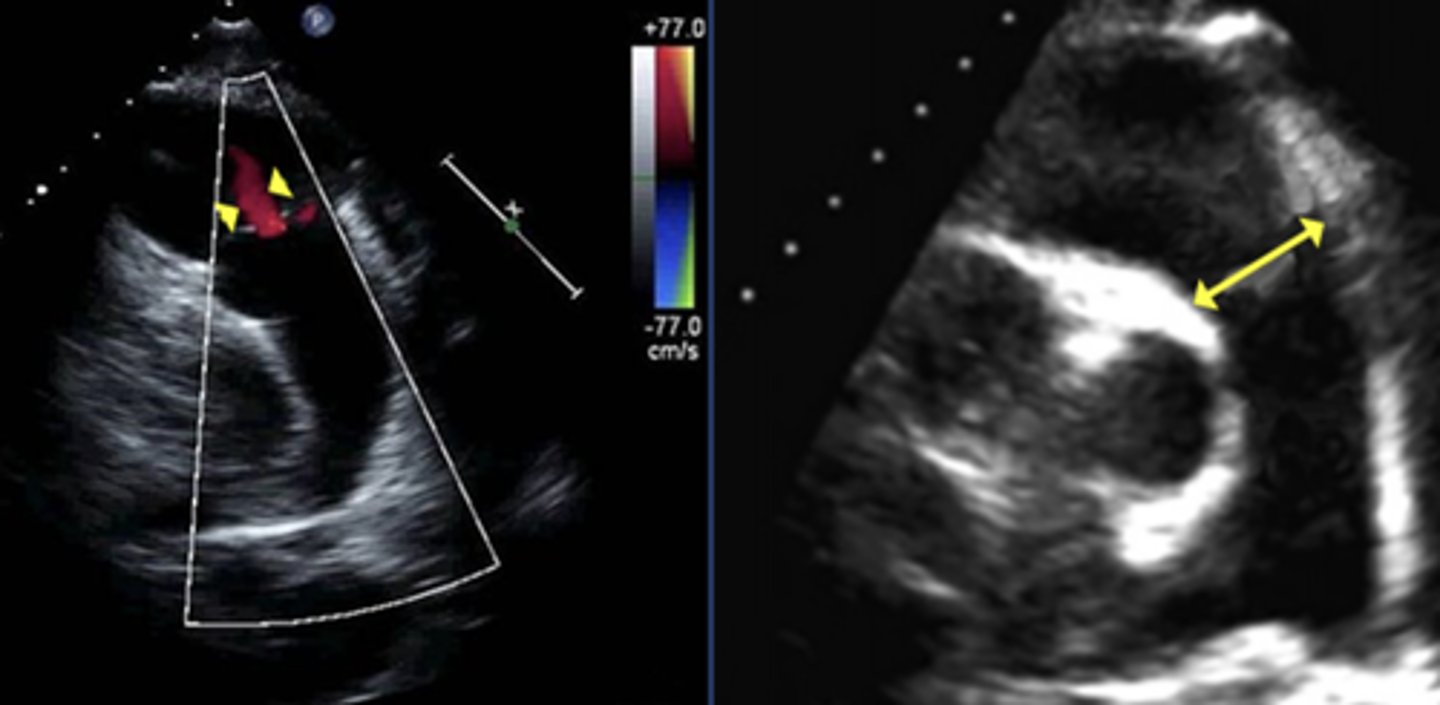
Jet Width to RVOT annulus ratio for Severe PR
≥ 70%

Vena Contracta for PR
Measure in PSAX
Must see flow convergence, neck, and PR jet

VCW to PV annulus diameter ratio for Severe PR
> 50%
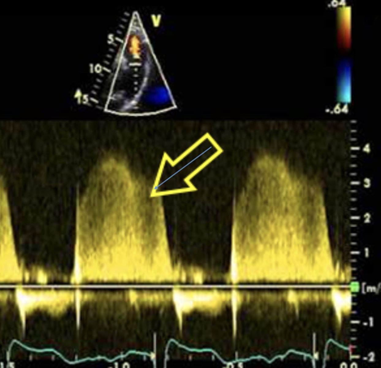
Spectral Doppler Features of Severe PR
Brighter/denser signal
Rapid deceleration

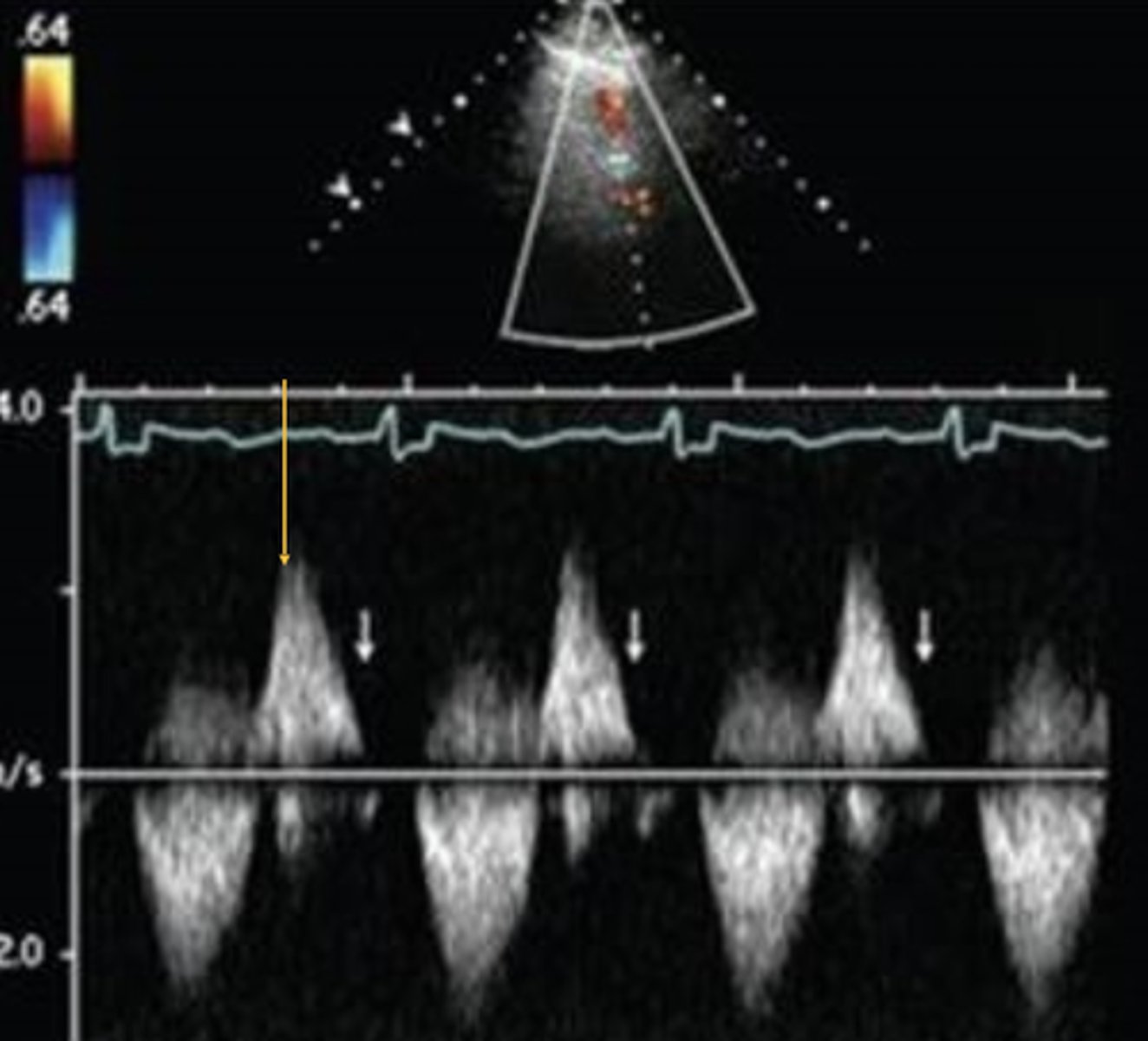
Flow Reversal in Pulmonary Artery Branches
Indicates severe PR

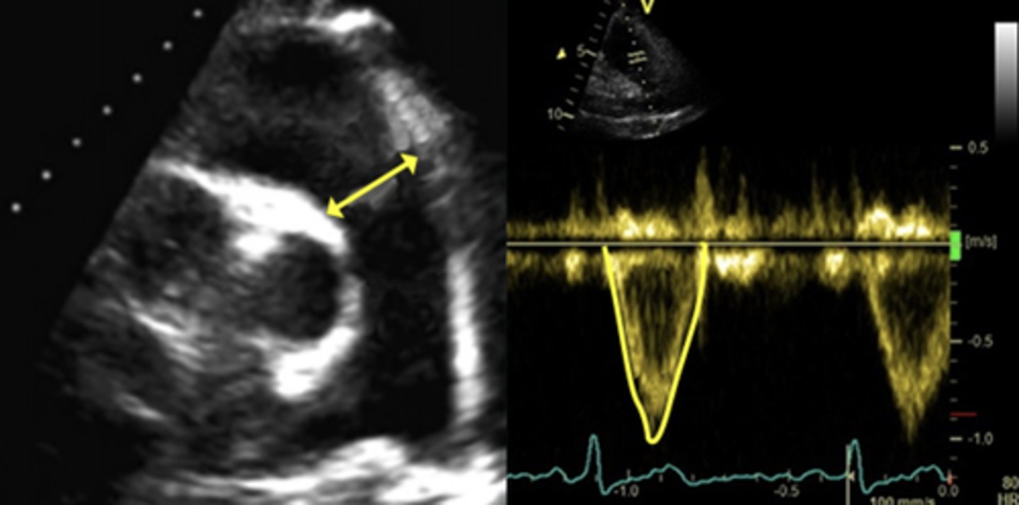
Pressure Half Time for PR
Calculated from deceleration time tracing of the slope
Shorter PHT = more severe PR
PHT or DT for Severe PR
< 100 msec or < 260 msec
PR Index
Ratio of PR duration to total diastolic duration

PR Index for Severe PR
< 0.77
Regurgitant Fraction for PR
Not validated yet
Uses stroke volume to calculate RF

Why is the Stroke Volume difficult to calculate for the RVOT?
The RVOT changes size during each cardiac cycle
RF for Mild PR
< 20%