1/127
Looks like no tags are added yet.
Name | Mastery | Learn | Test | Matching | Spaced | Call with Kai |
|---|
No analytics yet
Send a link to your students to track their progress
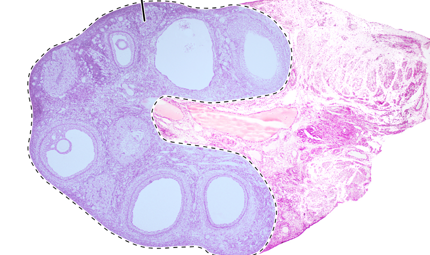
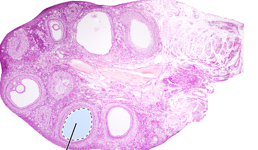
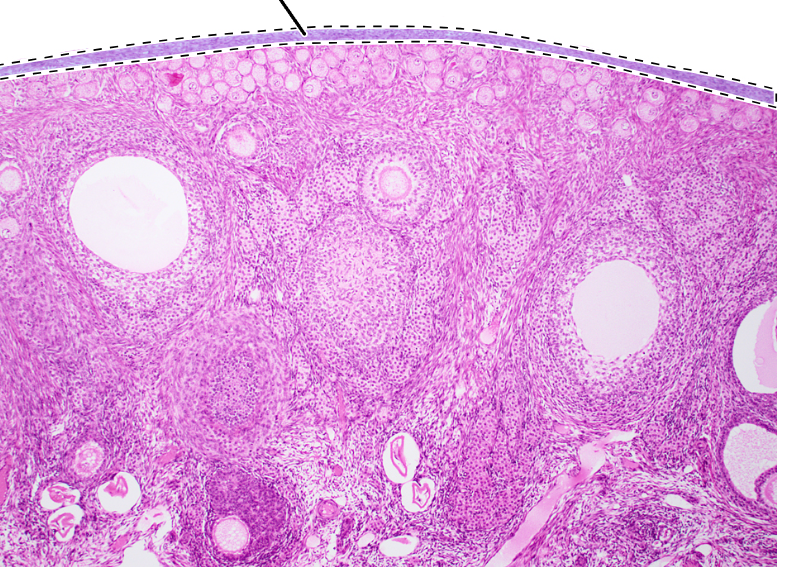
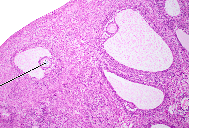
ovary (sagittal section)

cortex

corpus luteum

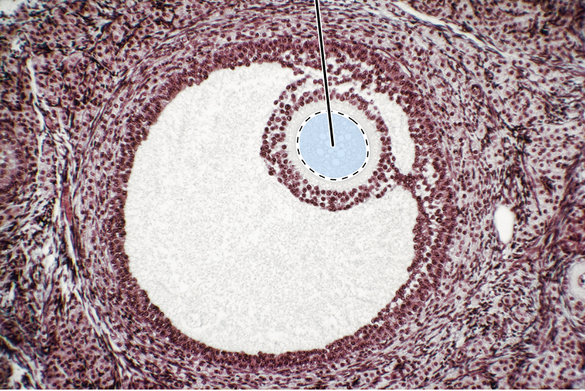
mature tertiary follicle

antrum

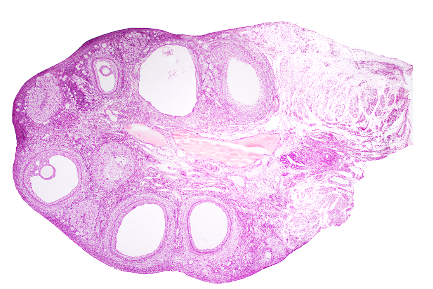
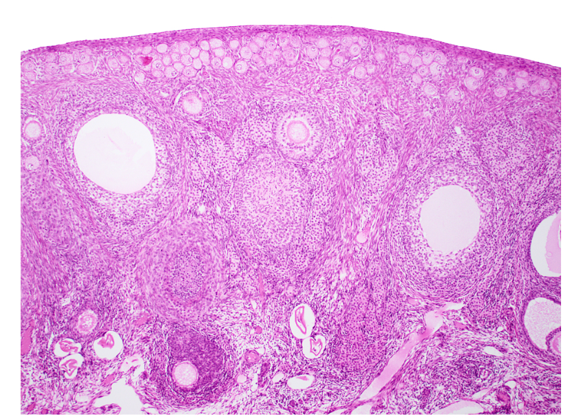
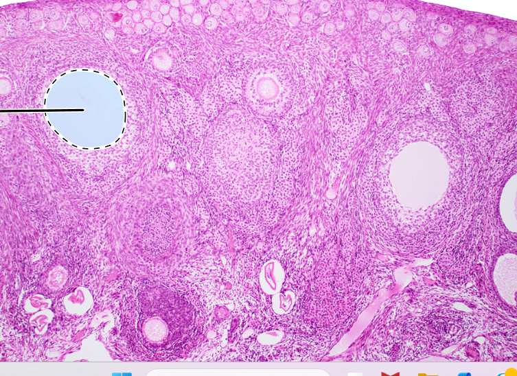
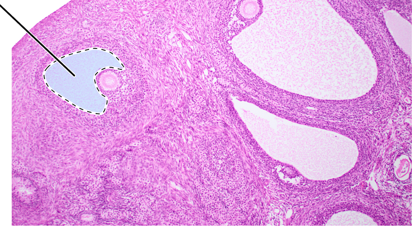
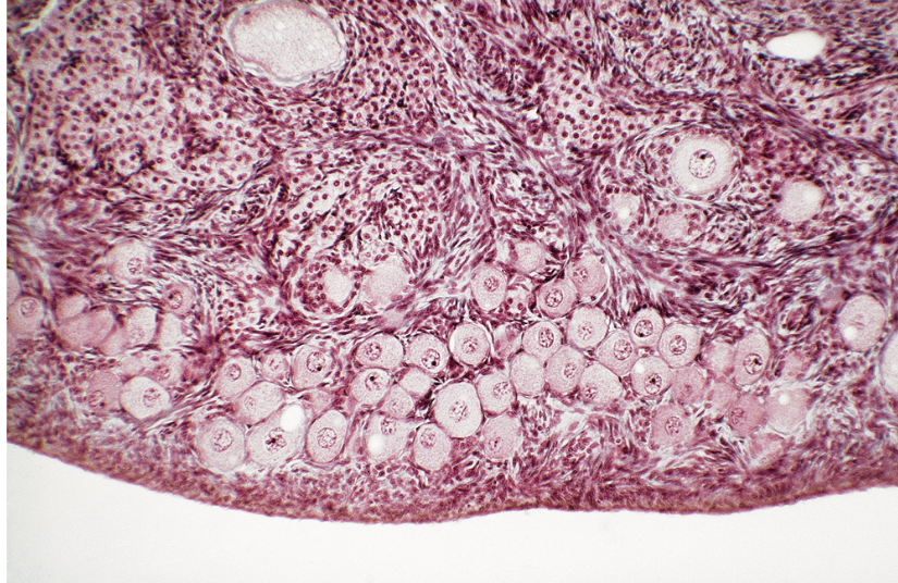
ovary (sagittal section)

primordial follicles

primary follicle

secondary follicle

antrum

tunica albuginea

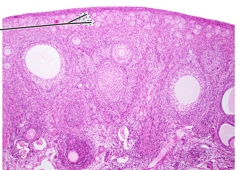
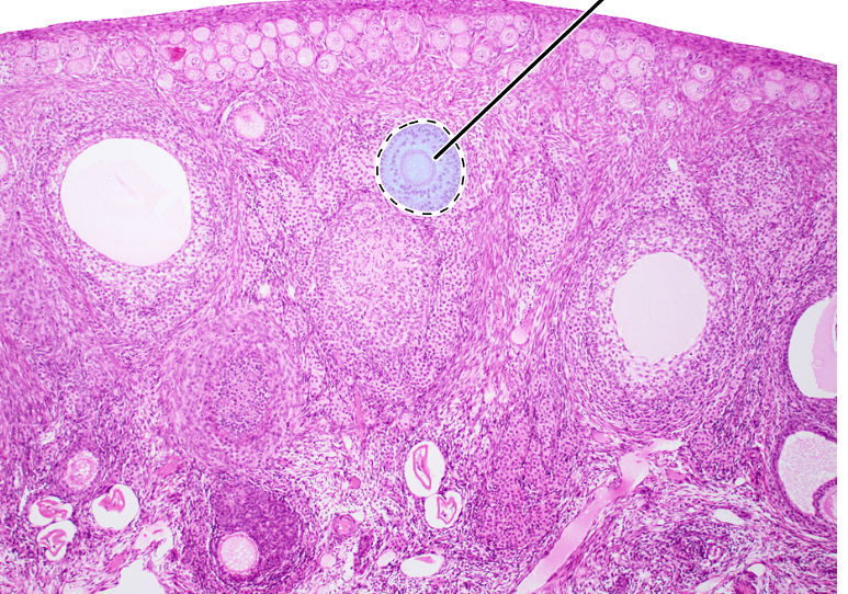
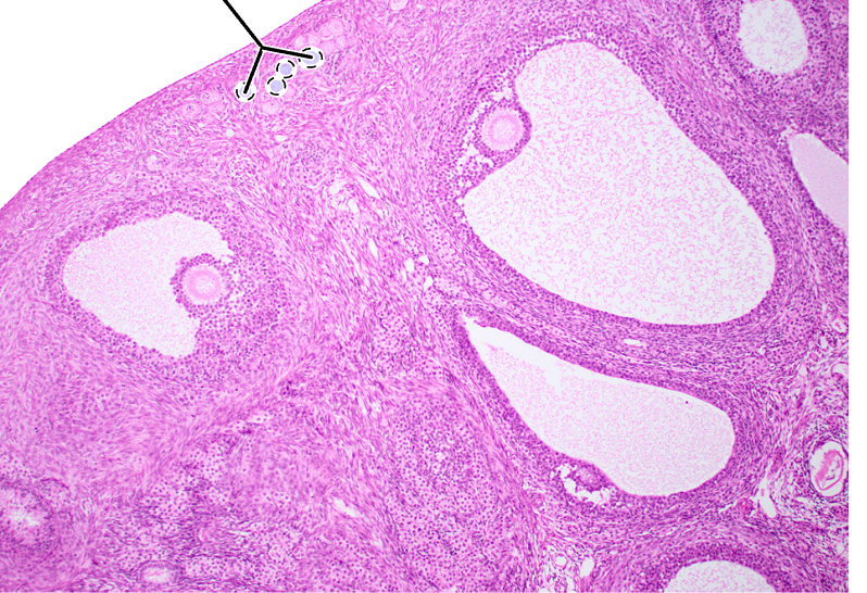
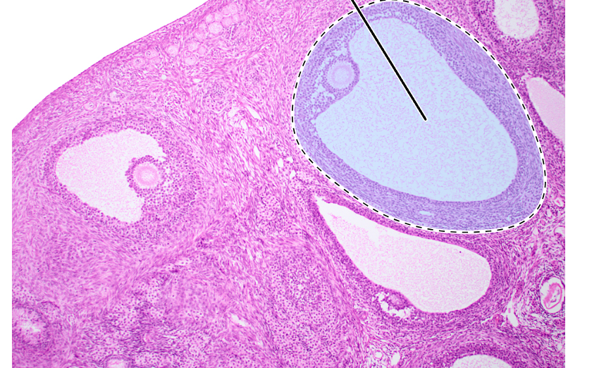
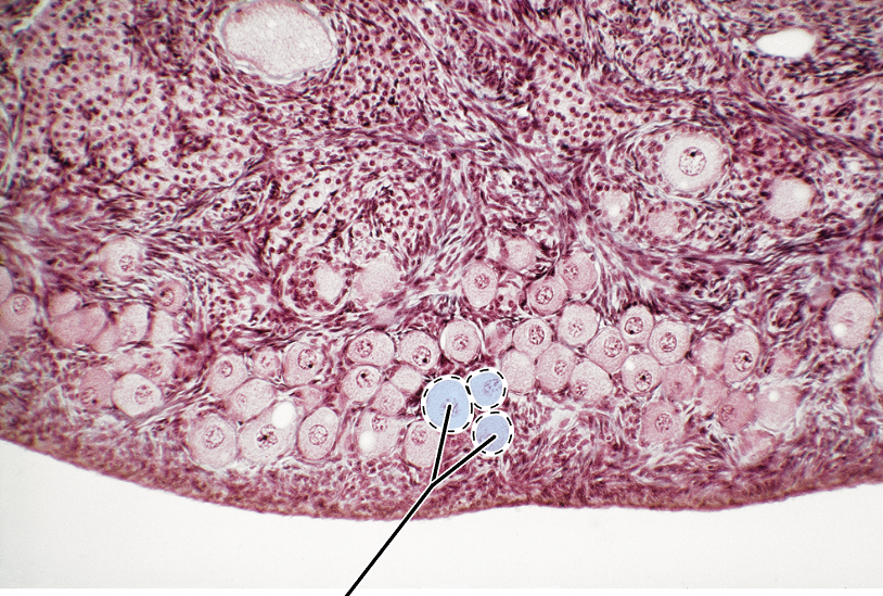
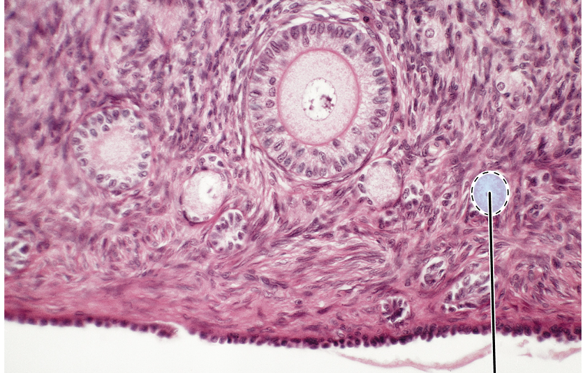
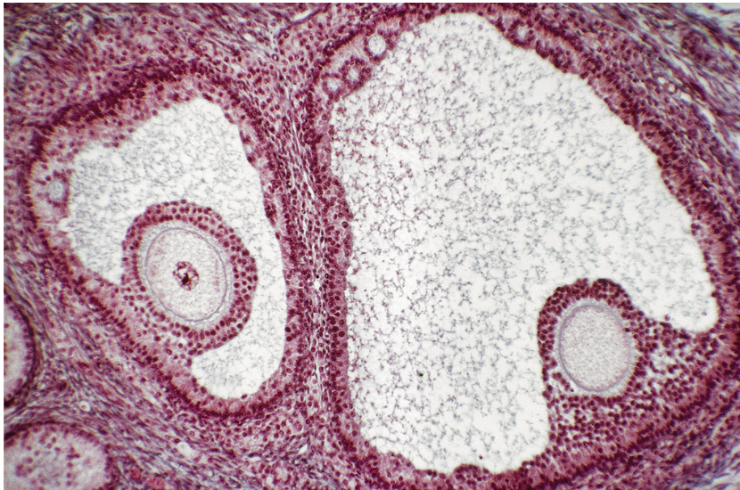
ovary (sagittal section)

primordial follicles

antrum

corona radiata

oocyte

mature tertiary follicle

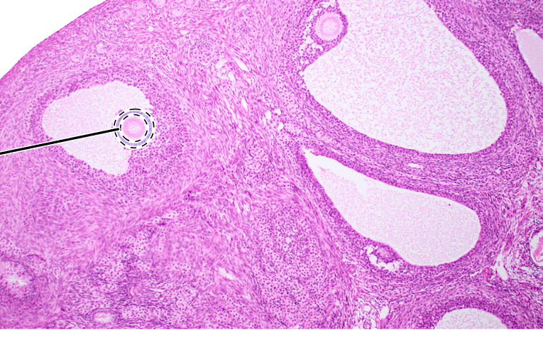
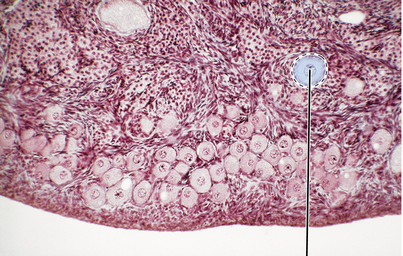
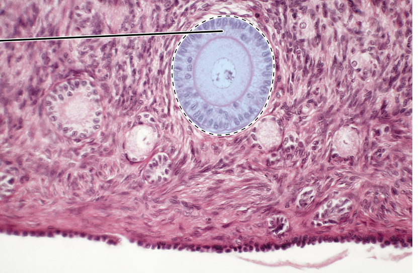
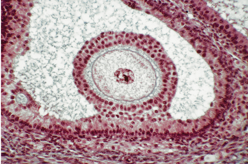
ovary (sagittal section)

antrum

corona radiata

zona pellucida

oocyte

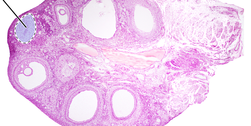
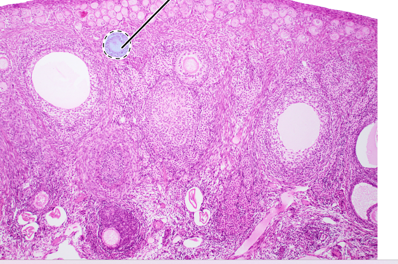
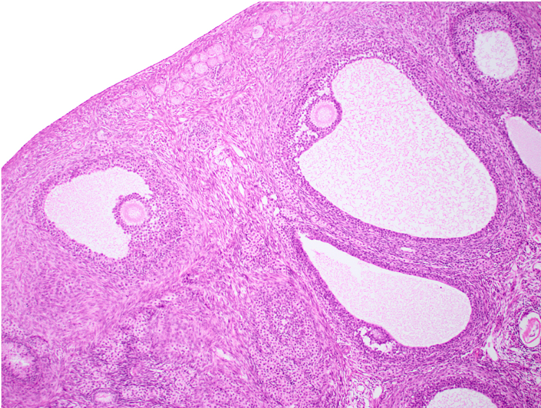
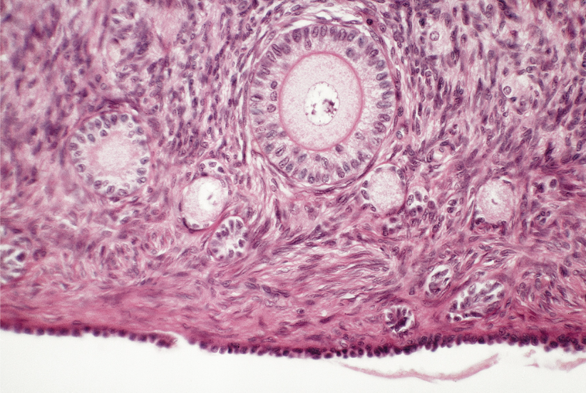
ovary

primordial follicles

primary follicle

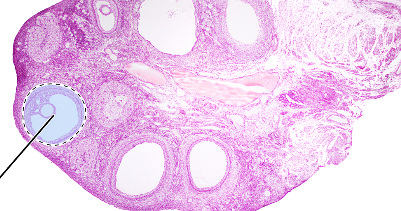
ovary

primordial follicle

primary follicle

secondary follicle

oocyte

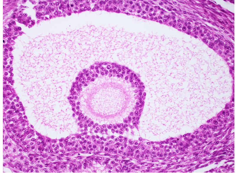
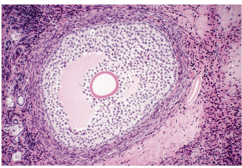
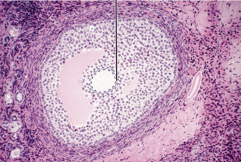
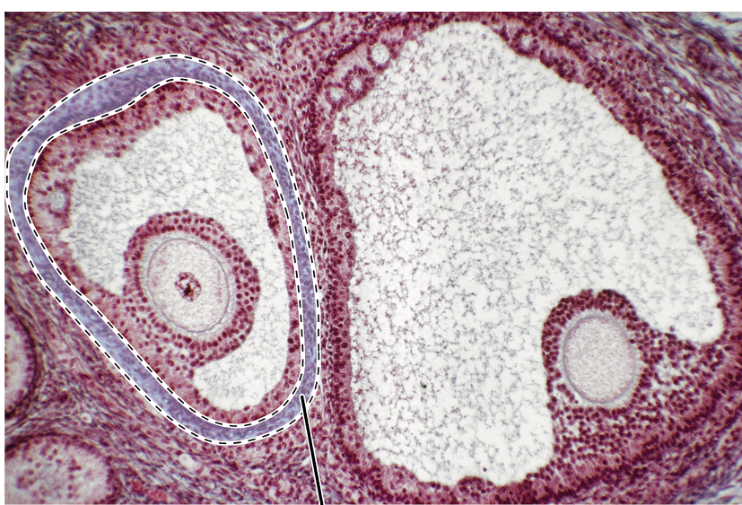
ovary (tertiary follicle)

oocyte

zona pellucida

granulosa cells

antra

theca interna

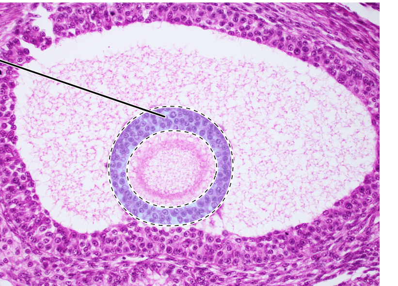
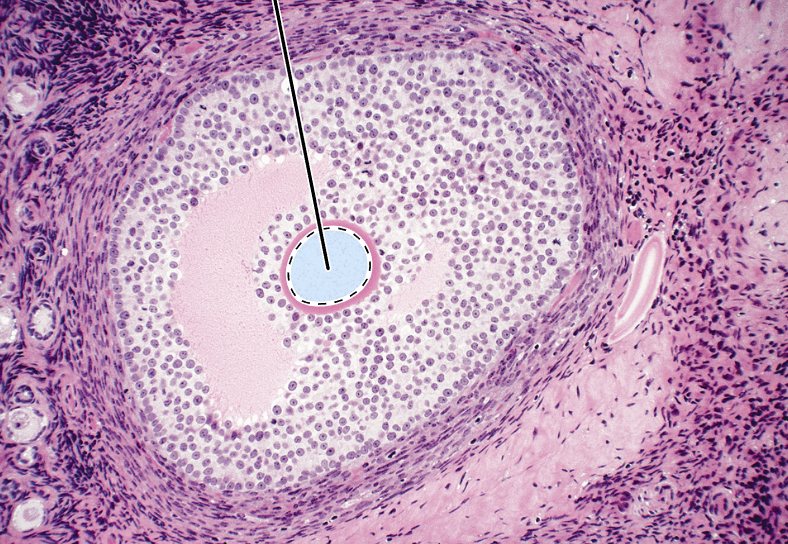
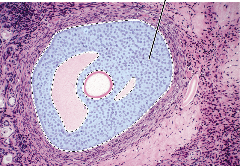
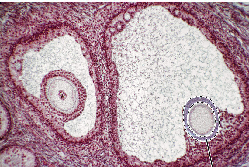
ovary (mature tertiary follicle)

oocyte

zona pellucida

corona radiata

granulosa cells

theca interna

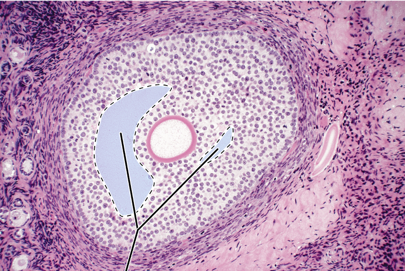
ovary (mature tertiary follicles)

oocyte

zona pellucida

granulosa cells

theca interna

corona radiata

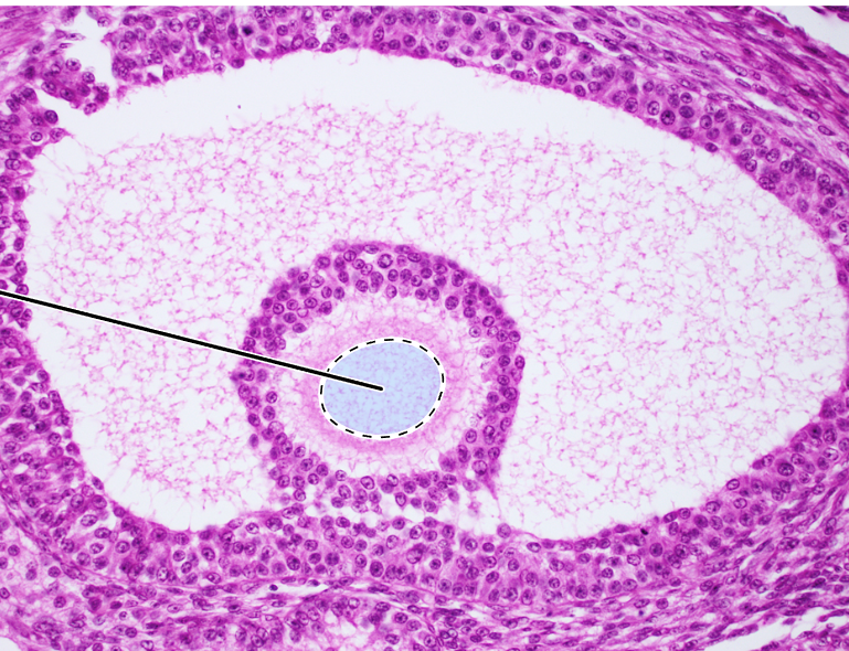
ovary (mature tertiary follicles)

oocyte

zona pellucida

corona radiata

antrum

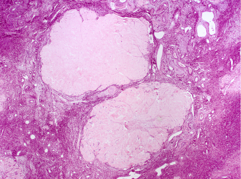
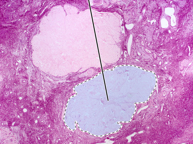
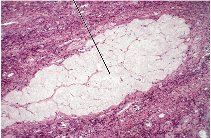
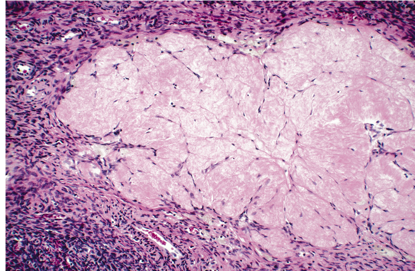
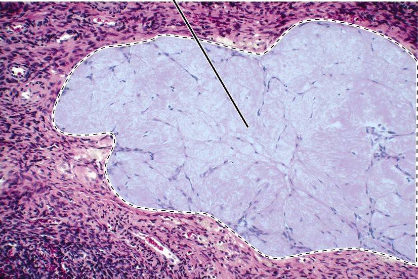
ovary

corpus albicans

ovary

corpus albicans

ovary

corpus albicans

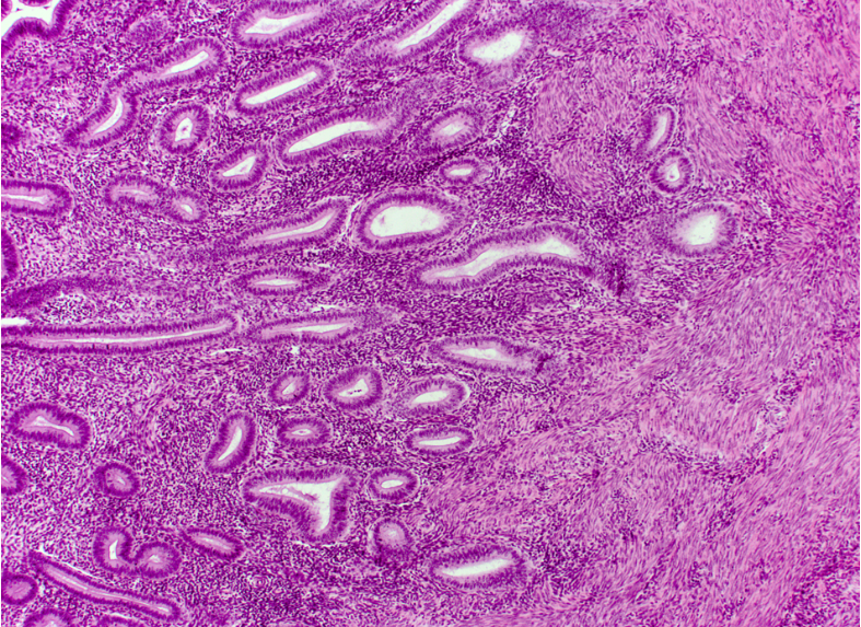
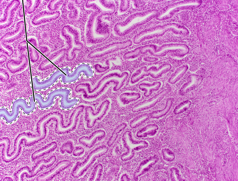
uterus

endometrium

uterine glands

myometrium

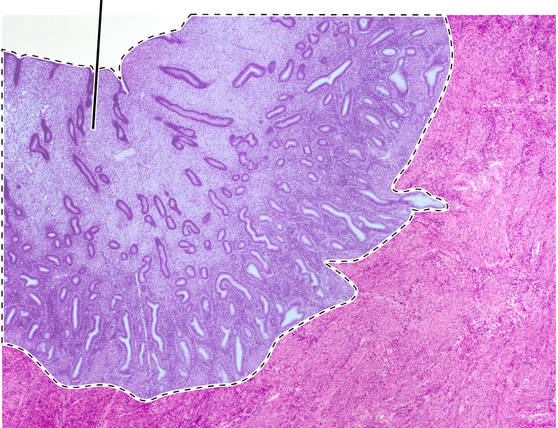
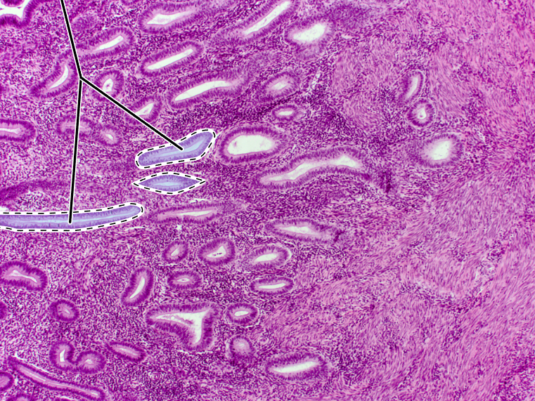
uterus

endometrium

uterine glands

myometrium

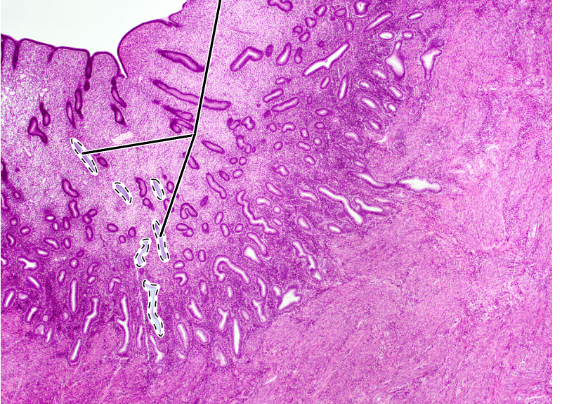
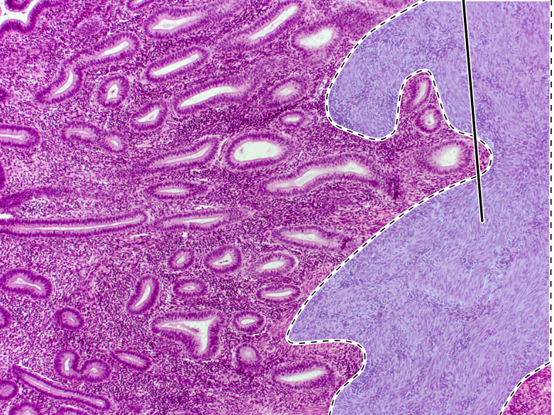
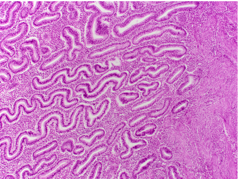
uterus

endometrium

uterine glands

myometrium

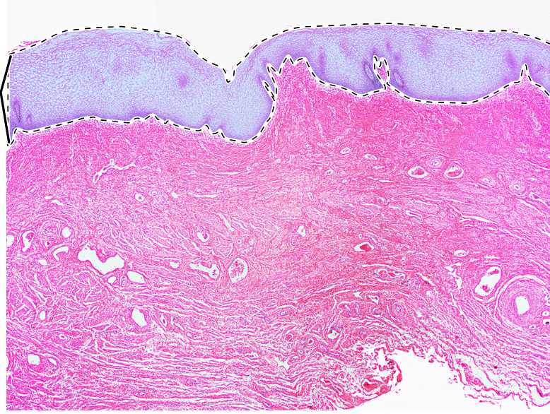
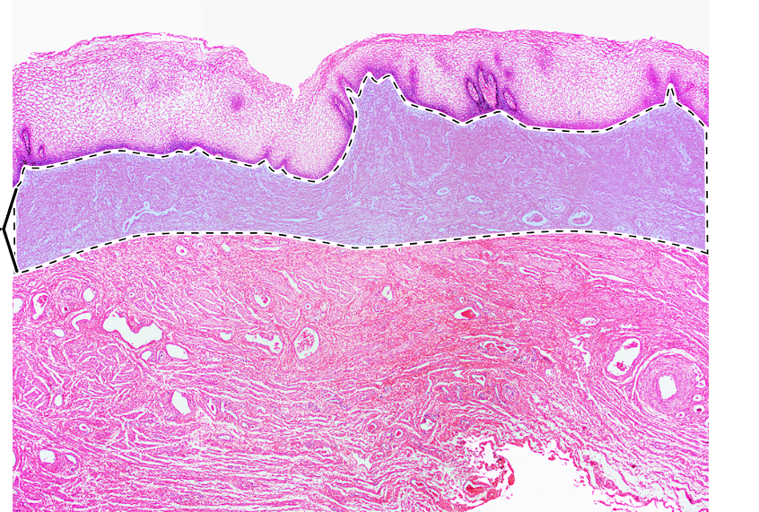
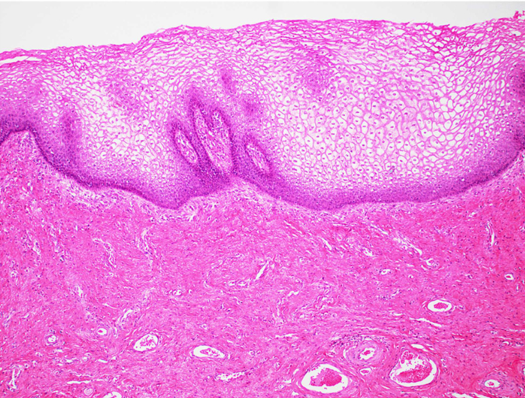
vagina

mucosa

stratified squamous epithelium

lamina propria

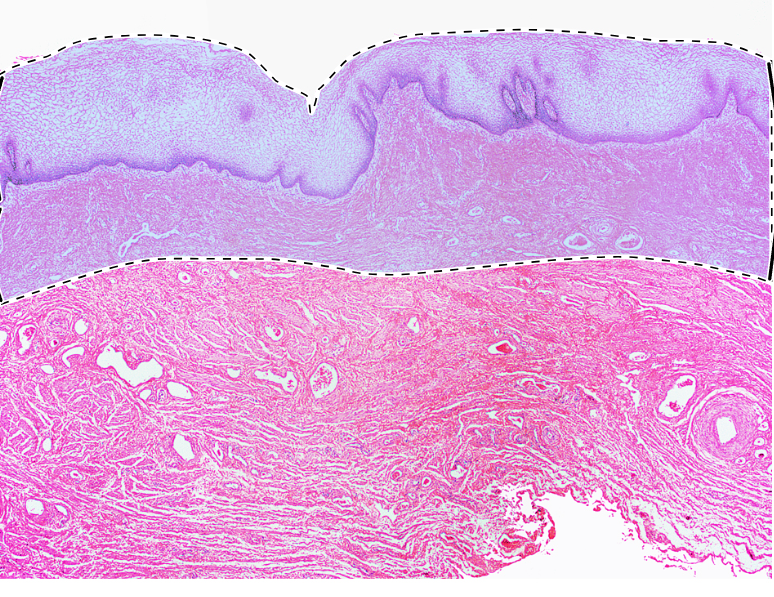
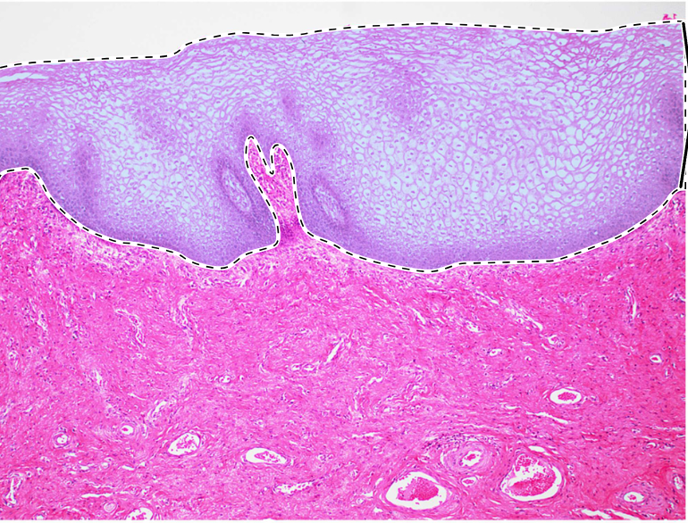
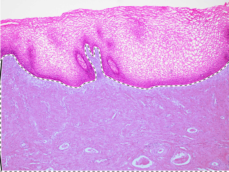
vagina

stratified squamous epithelium

lamina propria

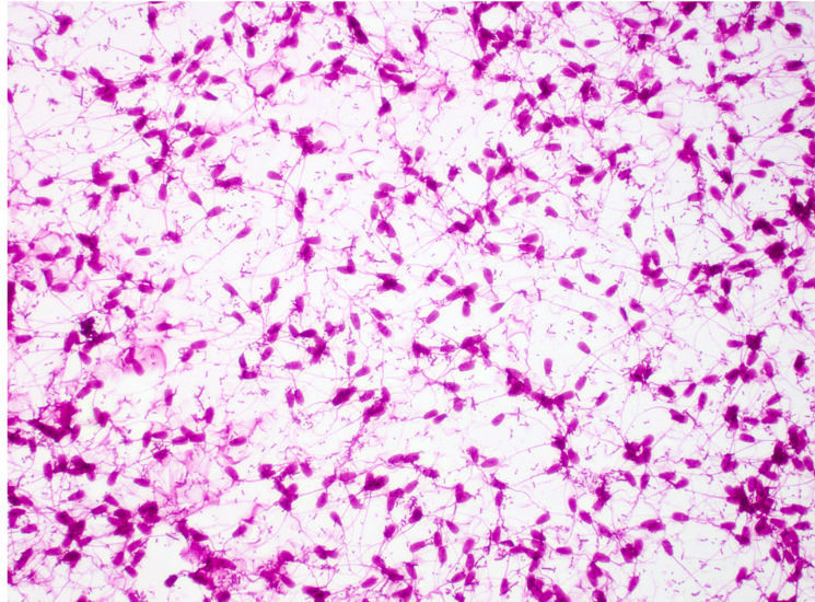
sperm

sperm

heads

tails

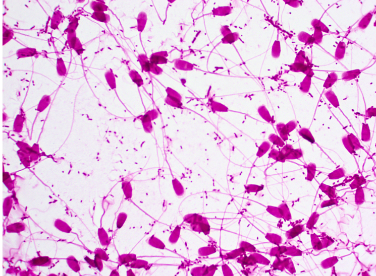
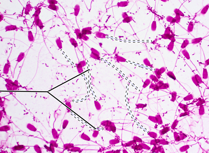
sperm

tail

midpiece

head

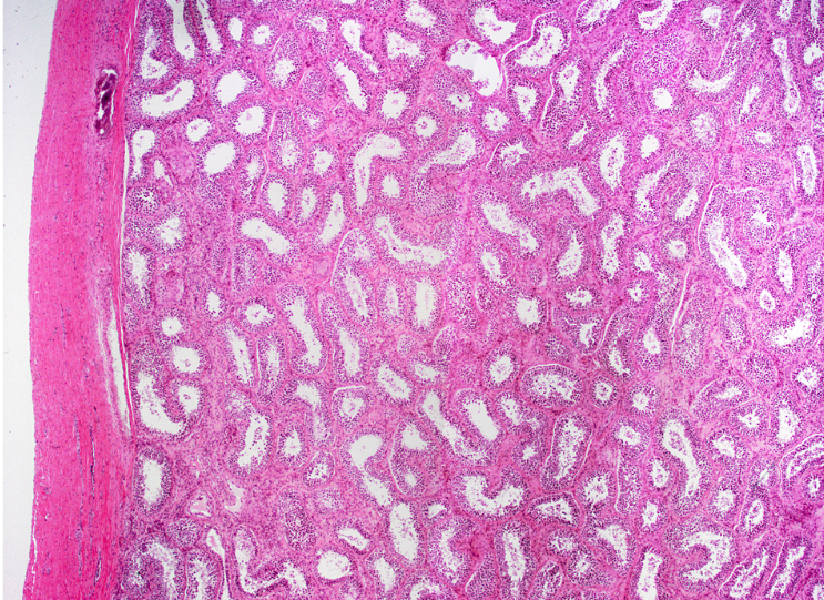
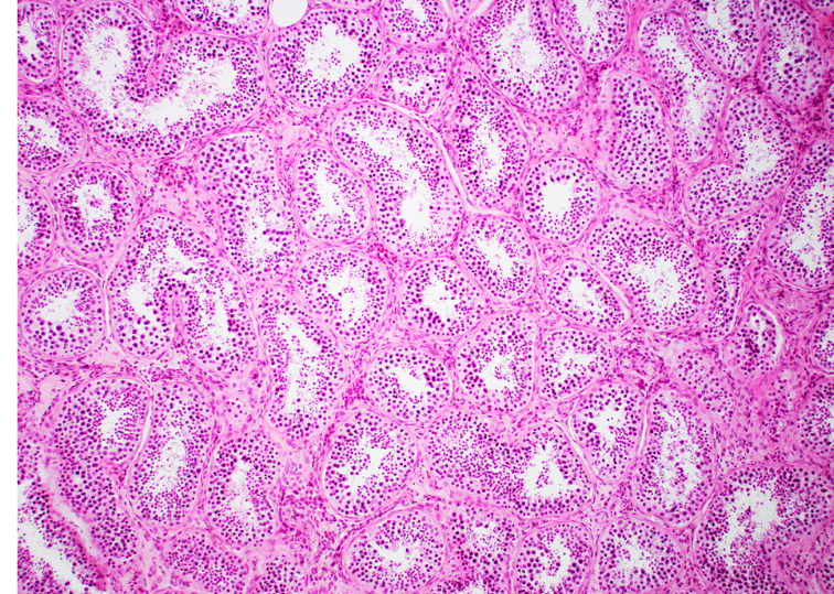
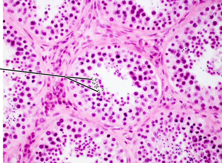
testis (cross section)

tunica albuginea

seminiferous tubules

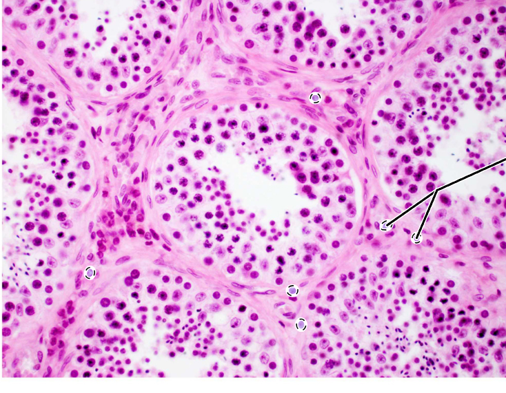
testis (cross section)

seminiferous tubules

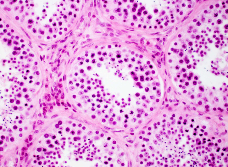
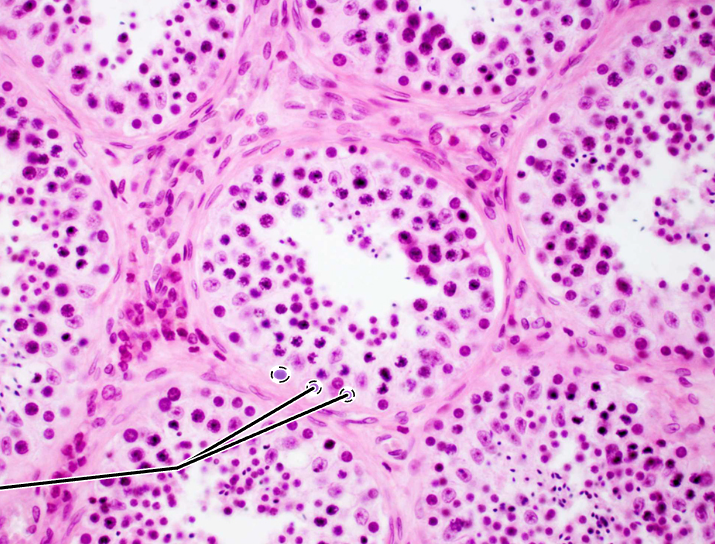
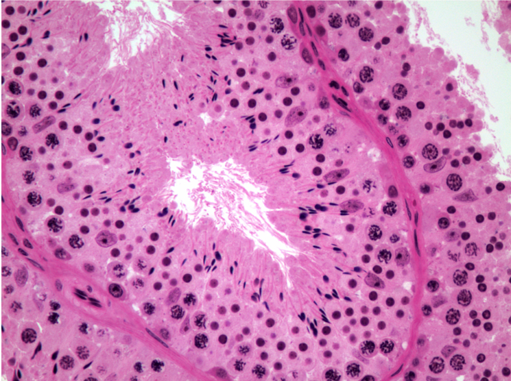
testis (cross section)

spermatogonia

primary spermatocytes

spermatids

interstitial cells

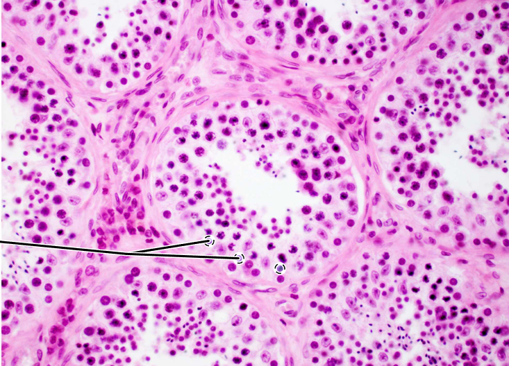
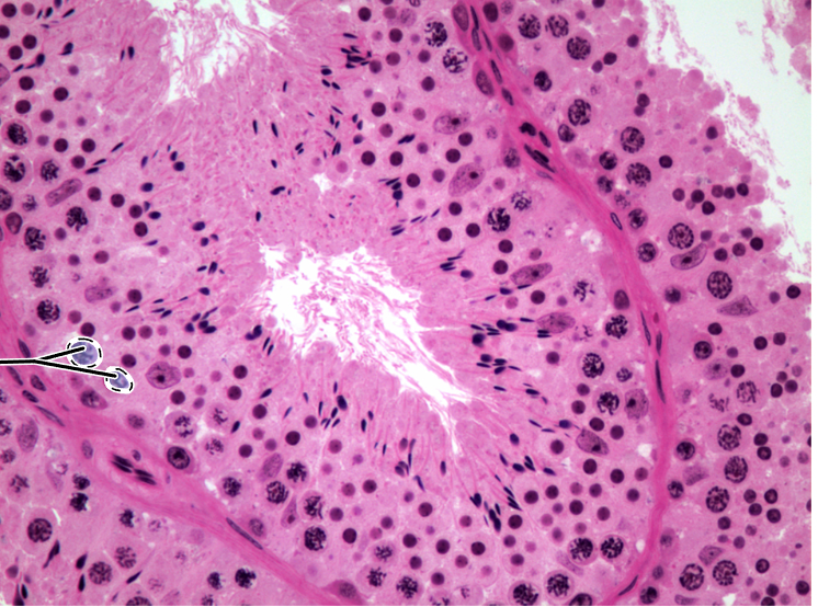
testis (cross section)

spermatogonia

primary spermatocytes

spermatids
