1/49
Looks like no tags are added yet.
Name | Mastery | Learn | Test | Matching | Spaced | Call with Kai |
|---|
No analytics yet
Send a link to your students to track their progress
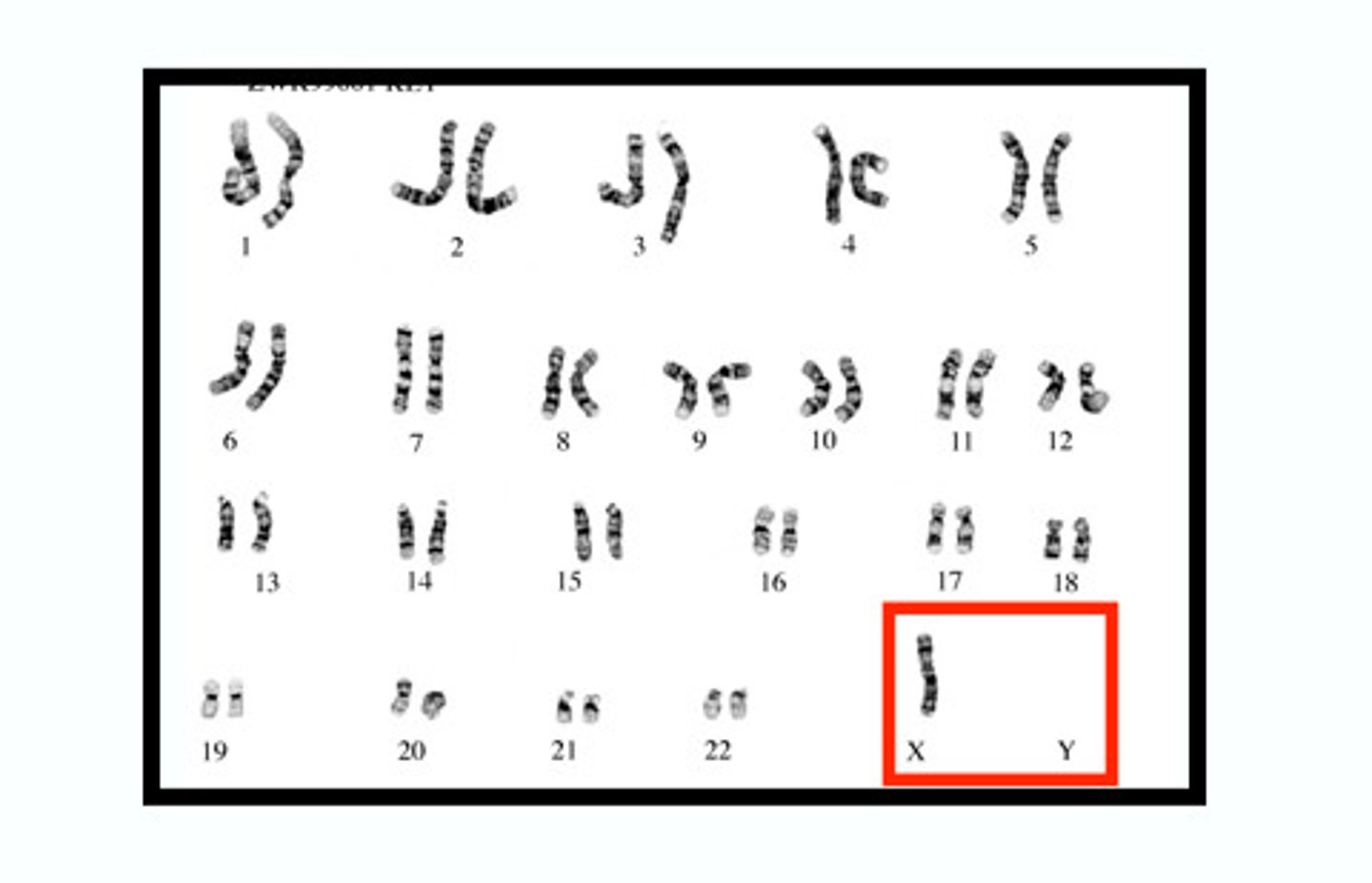
Karyotype
A picture of all chromosomes in a cell.

Shows changes in chromosomes such as
when a person has too many or lacking
chromosomes;
Reveals the loss part of chromosome or
deletion;
Estimates distances between genes on
chromosome;
Shows possible location of gene
on a chromosome
Enumerate four (4) uses for karyotypes:
SRES
Turner syndrome
A chromosomal condition that alters development in females. Women with this condition tend to be shorter than average and are usually unable to conceive a child (infertile) because of an absence of ovarian function.

Down Syndrome
A genetic disorder caused by the presence of all or part of a third copy of chromosome 21. It is typically associated with physical growth delays, characteristic facial features and mild to moderate intellectual disability.

Trisomy 21
Another term for "Down Syndrome."
Human DNA
Consists of 3 billion bases, and more than 99 percent of those bases are the same in all people.
Human DNA
The genetic material that contains all the genetic information.
Human DNA
Responsible in controlling all cellular activities within living organisms.
Mitochondria (mtDNA)
Human DNA can be found in _____.

Nucleus
Human DNA can be found in _____.

Adenine and Guanine
Enumerate the two (2) Purine DNA bases (double ring):

Cytosine and Thymine
Enumerate the two (2) Pyrimidine DNA bases (sintering):

Thymine
Adenine pairs with _____.
Guanine
Cytosine pairs with _____.
Nucleotide
_____ is the building block made up of: four bases, five-carbon sugar deoxyribose, phosphate group.

Four bases; Five-carbon sugar deoxyribose; Phosphate group
Enumerate the three (3) parts the Nucleotide is made up of:
Watson and Crick
In 1953, they developed the structure of a DNA as a "double helical structure" since the structure contains two strands winding around each other.
5' and 3'
Indicate the carbon numbers in the DNA's sugar backbone.
5' carbon
Has a phosphate group attached to it.
3' carbon
Has a hydroxyl (-OH) group.
DNA replication
The 2 strands of DNA separate from one another when enzymes (helicase) break the hydrogen bond between them.
DNA replication
Produces two new complementary strands following the rules of base pairing. Each strand serves as a template, or model, for the new strand.
ATGCAA
In DNA replication, a strand that has the bases TACGTT produces a strand with the complementary bases ______.
DNA to RNA
In decoding genetic messages, a part of the nucleotide sequence will be copied from _____.

RNA molecules
Carry out the process of making proteins.
Deoxyribose
A sugar in DNA is called _____.
Ribose
A sugar in RNA is called _____.
A,T,G,C
DNA consists of _____ bases.
A,U,G,C
RNA consists of _____ bases.
Has
DNA has/does not have a helix.
Does not have
RNA has/does not have a helix.
Protein synthesis
Proteins inside the cell is responsible in controlling activities of the cell.
Messenger RNA (mRNA)
Transcribes and copies the genetic information in making proteins from the DNA strand.

Nucleus
mRNA is found inside the _____.

Ribosomal RNA (rRNA)
Reads the copied information from the mRNA as codon code which contains three consecutive nitrogenous bases.

Transfer RNA (tRNA)
Starts to bring anticodon to the ribosomes; each anticodon contains a single type of amino acid.
Anticodon
Complementary copy of the mRNA codon.

Codon
A three-nucleotide sequence that codes for an amino acid.

Start Codon
Signals the start of translation (methionine).

AUG
Found at the 5'-end, the start codon.
End codon
Signals the end of the amino acid chain.
UAA, UAG, UGA
Enumerate three (3) Stop Codons:
Codons
Read as a series of three nonoverlapping nucleotides. A change in the reading frame change the resulting protein.
Translation
Stops when all codons are converted into amino acids and when a specific protein molecule is produced.
Central Dogma of Molecular Biology
States information flows in one direction, from DNA to RNA to proteins.
Francis Crick
He defined Central Dogma of Molecular Biology.
DNA Replication
Copies DNA.
RNA Transcription
Converts a DNA message into an intermediate molecule, called RNA.
Protein Translation
Interprets RNA message into a string of amino acids, called a polypeptide which composes the protein.
Polypeptide
A string of amino acids which composes the protein.