1/64
Looks like no tags are added yet.
Name | Mastery | Learn | Test | Matching | Spaced | Call with Kai |
|---|
No analytics yet
Send a link to your students to track their progress
what is a hollow body cavity, bounded by the diaphragm, abdominal wall muscles, ribcage, lumbar vertebrae, pelvis, and pelvic floor muscles?
abdominopelvic cavity

what covers the intraperitoneal organs and is most easily visible as the shiny surface of intestines?
visceral peritoneum
what covers the inner surface of body wall and retroperitoneal organs?
parietal peritoneum
peritoneum consists of a thin membrane of ___ cells of ___ origin and forms a continuous peritoneal sac filled with ___ fluid that serves to lubricate intraperitoneal organs
peritoneum consists of a thin membrane of simple squamous epithelial cells of mesodermal origin and forms a continuous peritoneal sac filled with peritoneal fluid that serves to lubricate intraperitoneal organs
where can medications be administered to treat peritonitis or metastatic abdominal cancers?
intra-peritoneal route
what happens if volume of peritoneal sac increases dramatically?
ascites (treated with albumin intravenously)
__ organs remain in direct contact with posterior abdominal wall
retroperitoneal
__ organs are connected to abdominal wall by mesenteries
intraperitoneal
__ organs allow for mobility and expansion of GI tract
lubricating
__ organs in place to prevent excessive mobility, torsion, or laceration
tethering
__ for arteries, veins, nerves, and ducts to travel between organs without piercing the peritoneal sac itself
providing pathways
__ is a form of renal replacement therapy in which a catheter is surgically inserted into the peritoneal sac and flushed with fresh dialysis fluid on a daily basis
peritoneal dialysis (replaces function of kidneys)
what is a fatty apron that extends inferiorly from greater curvature of stomach?
greater omentum

the greater omentum is thought to play a role in __
protecting the GI tract from injury and infection by covering affected areas, isolating them from rest of peritoneal cavity and transferring additional immune cells to those areas
what is the double-layered membrane that connects intestines to posterior abdominal wall?
the mesentary

the __ is a major storage site for visceral fat
mesentery

what is the muscular tube from pharynx from stomach and is posterior to trachea?
esophagus
esophagus lacks __
protective mucus
what is the circular muscle at junction of esophagus and stomach?
LES or lower esophageal sphincter

what is the yellow line pointing at?
LES

what is orange line pointing at?
esophagus
what happens if LES weakened? what can treat it?
reflux of gastric contents (GERD or gastroesophageal reflux disease), can be treated with medications that suppress acid production in stomach like proton pump inhibitors (PPIs)
what is the J-shaped organ between esophagus and small intestine?
stomach

stomach produces __ and __, __ allows for stretching
stomach produces acid and enzymes, rugae allows for stretching (increases surface area for secretion and expansion)
what is the thick muscular ring between stomach and duodenum?
pyloric sphincter
pyloric sphincter is a __, in contrast to LES
pyloric sphincter is a true circular sphincter, in contrast to LES
pyloric sphincter regulates __
gastric emptying
weakness of pyloric sphincter and damage of small intestine can lead to __ and __, duodenal ulcers may be treated with medications that __
ulceration and bleeding, suppress acid production in stomach (like PPIs)
rugae increase the ___ of the stomach for secretion of ___; allow it to ___ to accommodate large meals; and facilitate ___ of food when the stomach muscles contract.
rugae increase the internal surface area of the stomach for secretion of acid, enzymes, and mucus; allow it to stretch to accommodate large meals; and facilitate mechanical digestion of food when the stomach muscles contract.
the stomach is composed of __ and is a major site for __
duodenum, jejunum, and ileum; major site for digestion and absorption
what is the first section of the small intestine that is “C” shaped and covered by peritoneum, fused to posterior abdominal wall (retroperitoneal)
duodenum
what does duodenum do?
assists with chemical digestion, resists damage from gastric acid, neutralize gastric acid, and catalyzes breakdown and macronutrients
what are the horizontal folds in the mucosal lining of small intestine and is most prominent in duodenum?
plicae circulares

what facilitates mixing of food with digestive secretions and increase surface area available for absorption in duodenum?
plicae circulares

what is the entry point for common bile and pancreatic ducts?
major duodenal papilla

unlike retroperitoneal organs, intraperitoneal organs are __ within the abdominal cavity
mobile (intraperitoneal organs are connected to posterior abdominal wall by mesentery)
ileum is the site for __
absorption of vitamin B12 and reabsorption of bile acids
patients without a functional ileum may require parental __
vitamin B12 supplementation to prevent pernicious anemia
describe the difference between small and large intestine
the small intestine primarily absorbs nutrients and leaves its contents liquid, while the large intestine primarily absorbs water and leaves its contents solid
adaptations such as ___ allow the large intestine to perform the more difficult task of transporting solid fecal matter
teniae coli, haustra, larger diameter, and more muscular walls
what is the worm-like appendage at the end of cecum, with variable size and position?
appendix
Clostridium difficile is a highly resistant bacteria that can infect the ___
large intestine, can be treated by administering antibiotics by oral or rectal routes
Trace the path of food through the entire GI tract from mouth to anus.
mouth → esophagus → lower esophageal sphincter → stomach → pyloric sphincter → duodenum → jejunum → ileum → large intestine (colon) → rectum
what lines the oral cavity, esophagus, and anal canal
stratified squamous epithelium (durable, protective barrier for body surfaces subjected to high friction and abrasion)
stratified squamous epithelium lacks ability to __, making it vulnerable to damage from gastric acid
secrete protective mucus

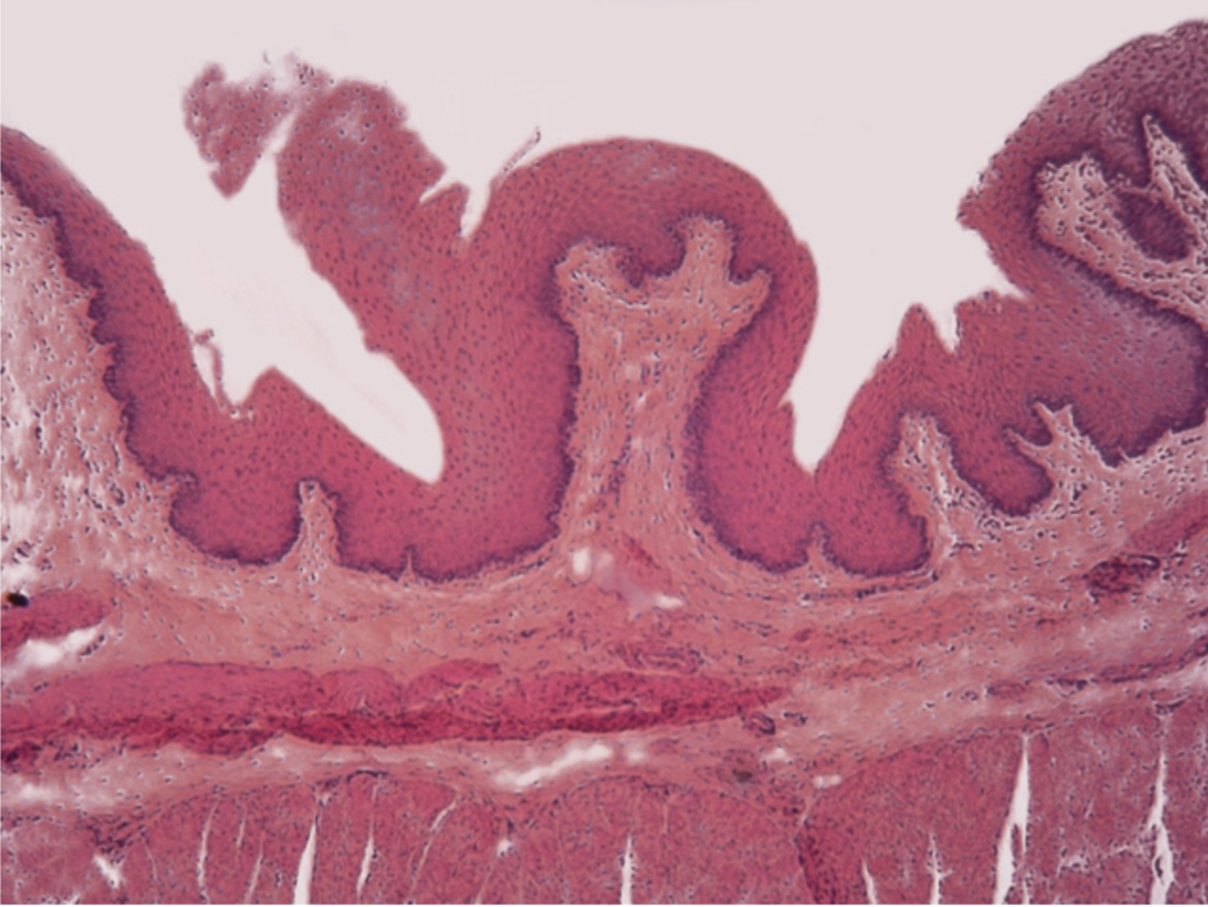
this image is of what structure?
esophagus

esophagus is made out of what cells?
stratified squamous epithelium
stomach has __ layers
3
what are mucosal features of the stomach?
columnar epithelium (surface cells secrete mucus, which protects stomach lining)
parietal cells (secrete hydrochloric acid)
chief cells (secrete pepsinogen)
what are submucosal features of the stomach?
extensive loose connective tissue (allows stomach to expand)
what are muscularis features of the stomach?
extensive smooth muscle tissue (allows stomach to perform powerful contractions needed for mechanical digestion)

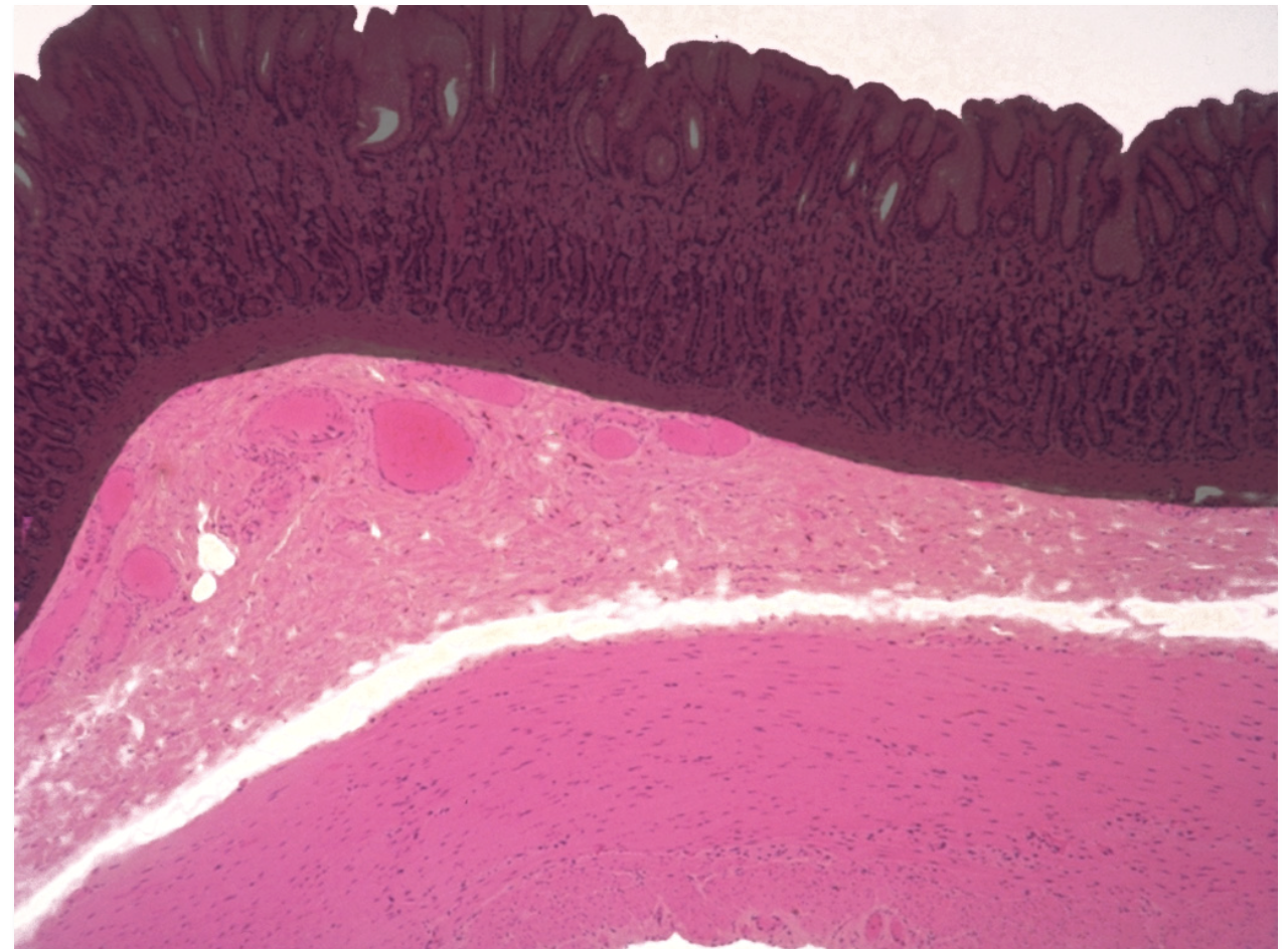
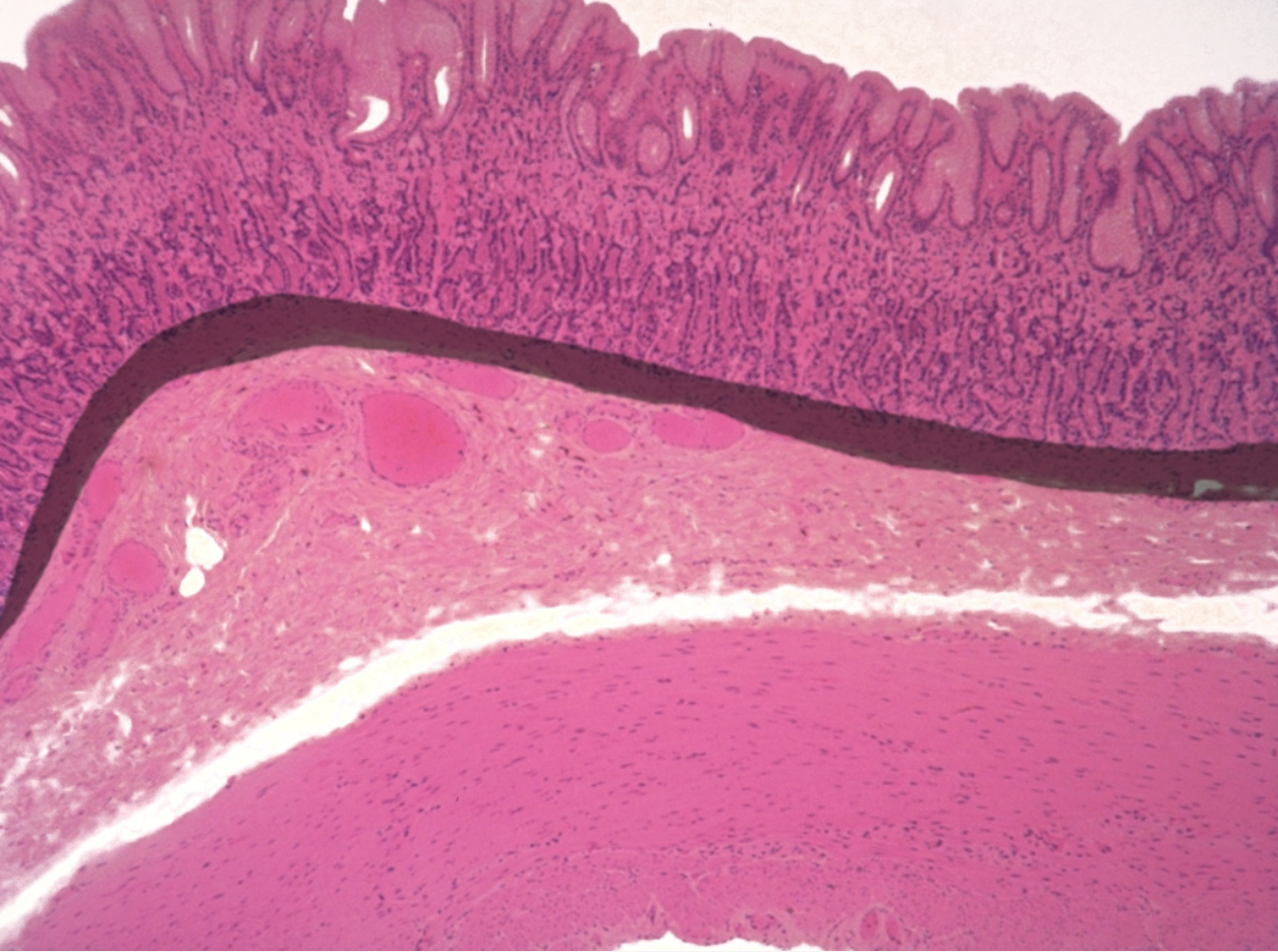
what is this structure?
mucosa of stomach

what is this structure?
muscularis of stomach

what is this structure?
submucosa of stomach
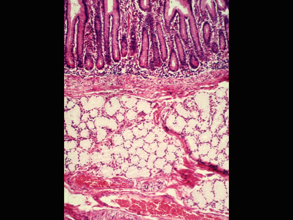
brunner’s glands are only found in the __
duodenum
brunner’s glands secrete __
mucus and bicarbonate to protect the epithelial lining of duodenum from damage caused by stomach acid
what protects the epithelial lining of duodenum from stomach acid damage?
brunner’s glands
__ are found throughout the small intestine and increase surface area available for nutrient absorption
villi
__ are primarily found in the ileum
peyer’s patches (clusters of lymphoid cells that are important for immune system function in GI tract)
large intestine lacks __ but has an abundance of __
large intestine lacks villi but has an abundance of intestinal glands (secretes mucus for lubrication of feces)
large intestine’s mucosal surface consists of a single layer of __
absorptive cells (removes water from feces)

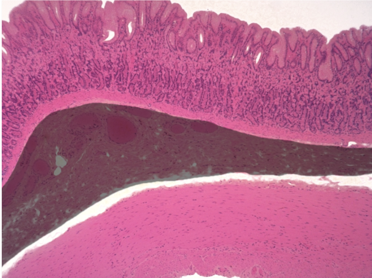
this image is of what structure
small intestine

this image is of what structure
colon (large intestine)