1/23
Looks like no tags are added yet.
Name | Mastery | Learn | Test | Matching | Spaced | Call with Kai |
|---|
No analytics yet
Send a link to your students to track their progress
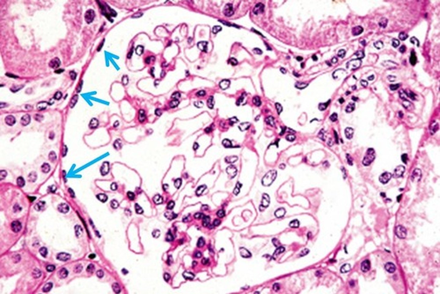
Simple Squamous Epithelium

Simple Cuboidal Epithelium

Simple Columnar Epithelium

Pseudostratified Ciliated Columnar Epithelium

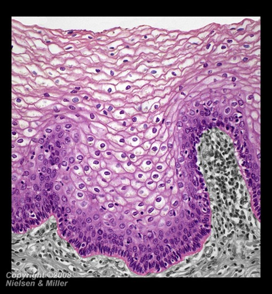
Stratified Squamous Epithelium

Stratified Cuboidal Epithelium

Stratified Columnar Epithelium

Transitional Epithelium

Goblet cells
What type of mucus-secreting cells are found in this tissue?

Connective tissue
What type of tissue is found deep to this tissue?

Secretion of serous fluid, diffusion, and secretion
Function of simple squamous epithelium
Secretion and absorption
Function of simple cuboidal epithelium
Secretion of mucus enzymes and other substances and absorption
Function of simple columnar epithelium
Propulsion of mucus or reproductive cells
Function of ciliated simple columnar epithelium
Protects underlying tissues in areas subject to abrasion
Function of stratified squamous epithelium
Protection
Function of stratified cuboidal epithelium
Protection and secretion
Function of stratified columnar epithelium
Permits distension of urinary organs through stretching of the cells
Function of transitional epithelium
Secretion of mucus
Function of pseudo-stratified non-ciliated columnar epithelium
Propulsion of mucus
Function of pseudo-stratified ciliated columnar epithelium
Lumen
The empty space found in all epithelial tissue.
Basement membrane
Thin membrane found on the basal side of stratified, transitional, and pseudostratified epithelial tissue.
Apical surface
The top side of all epithelial tissue
Basal surface
The bottom side of all epithelial tissue