1/49
Looks like no tags are added yet.
Name | Mastery | Learn | Test | Matching | Spaced | Call with Kai |
|---|
No analytics yet
Send a link to your students to track their progress

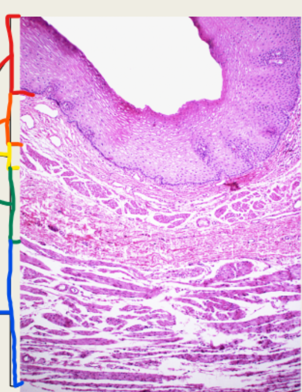
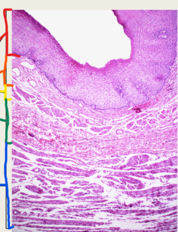
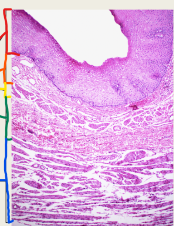
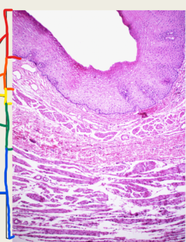
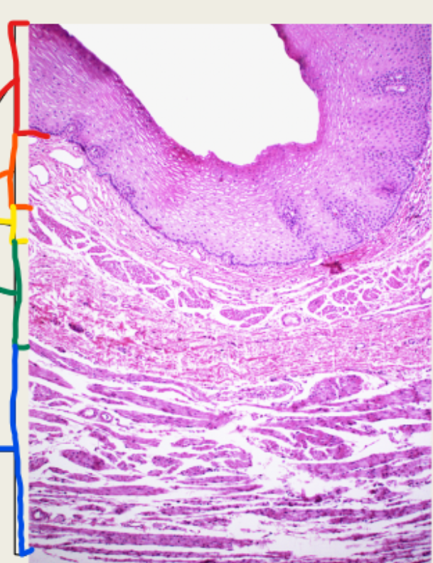
red esophagus
stratified squamous epithelium

orange esophagus
lamina propria

yellow esophagus
muscularis mucosae

green esophagus
submucosa

blue esophagus
circular muscle

red stomach
simple columnar epithelium

orange stomach
mucosa

yellow stomach
submucosa

green stomach
circular muscle

blue stomach
longitudinal muscle

purple stomach
serosa

pink stomach
oblique muscle

red
fundus

orange
body

yellow
greater curvature

green
lesser curvature

blue
pyloric sphincter

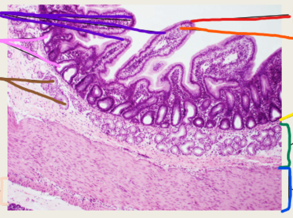
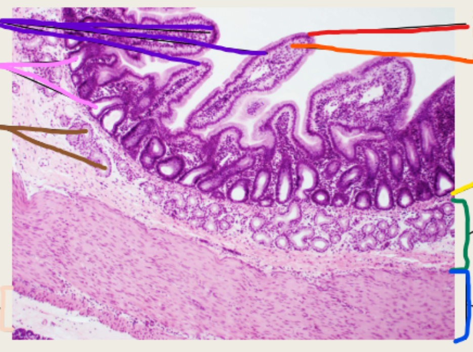
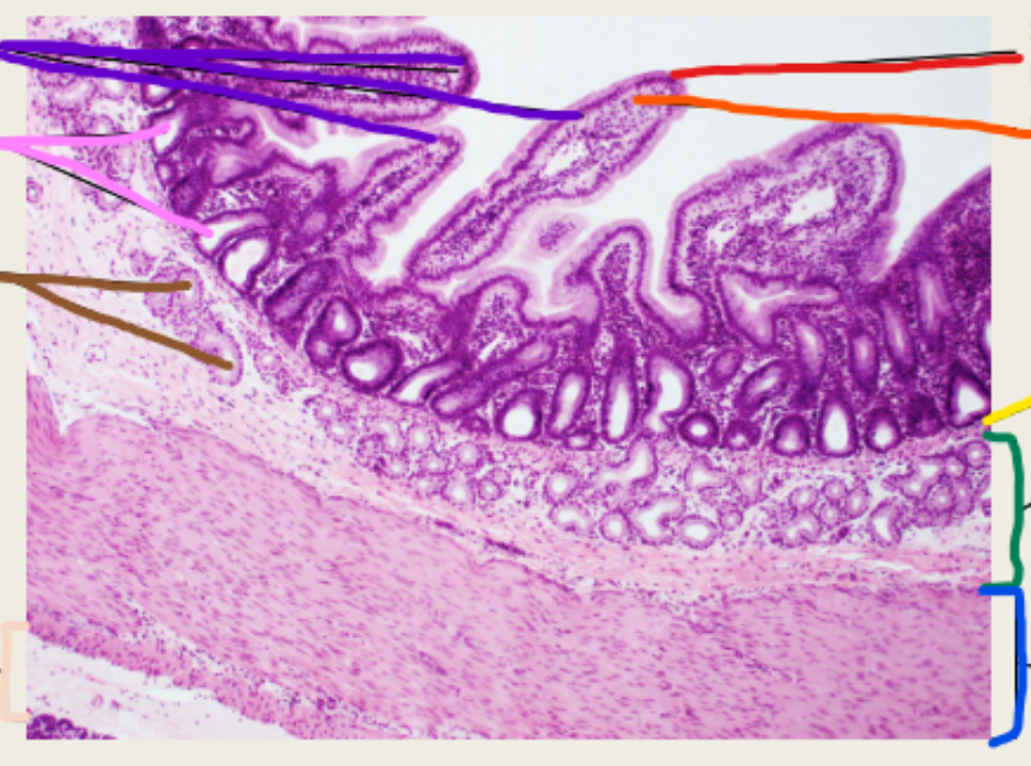
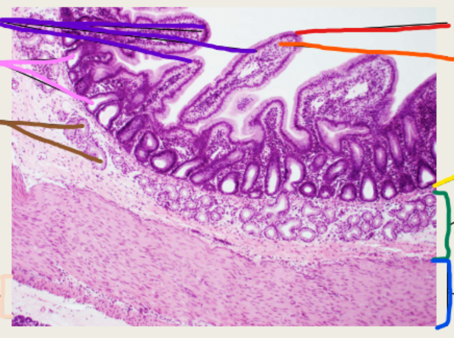
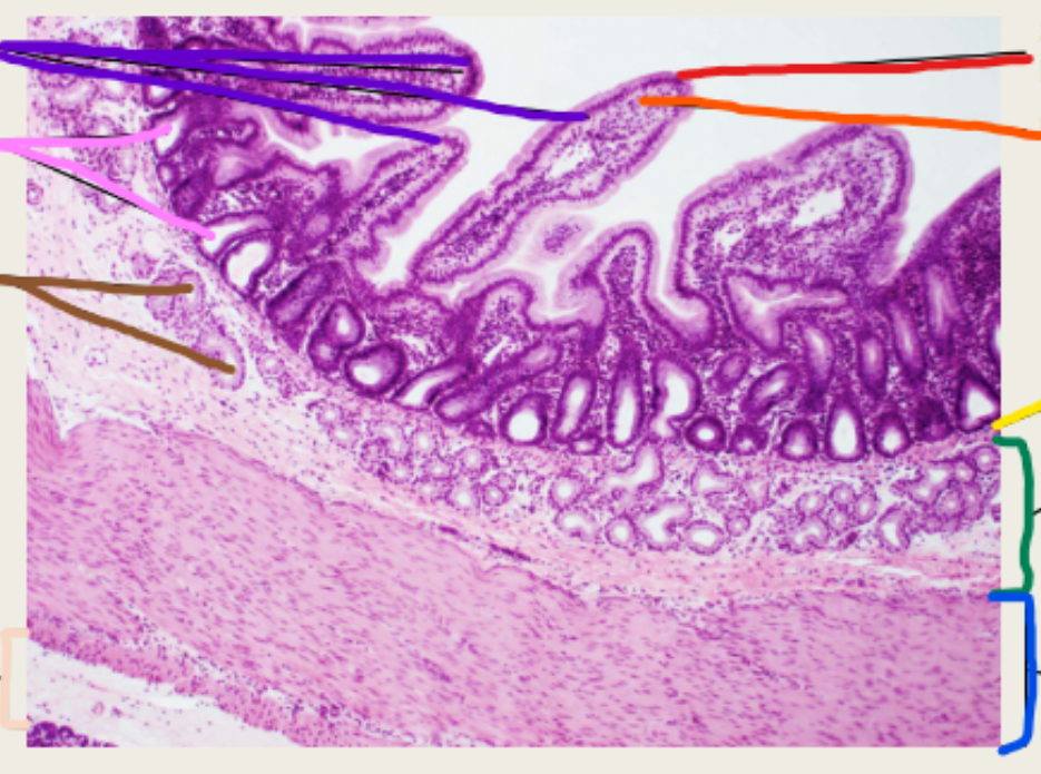
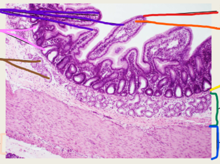
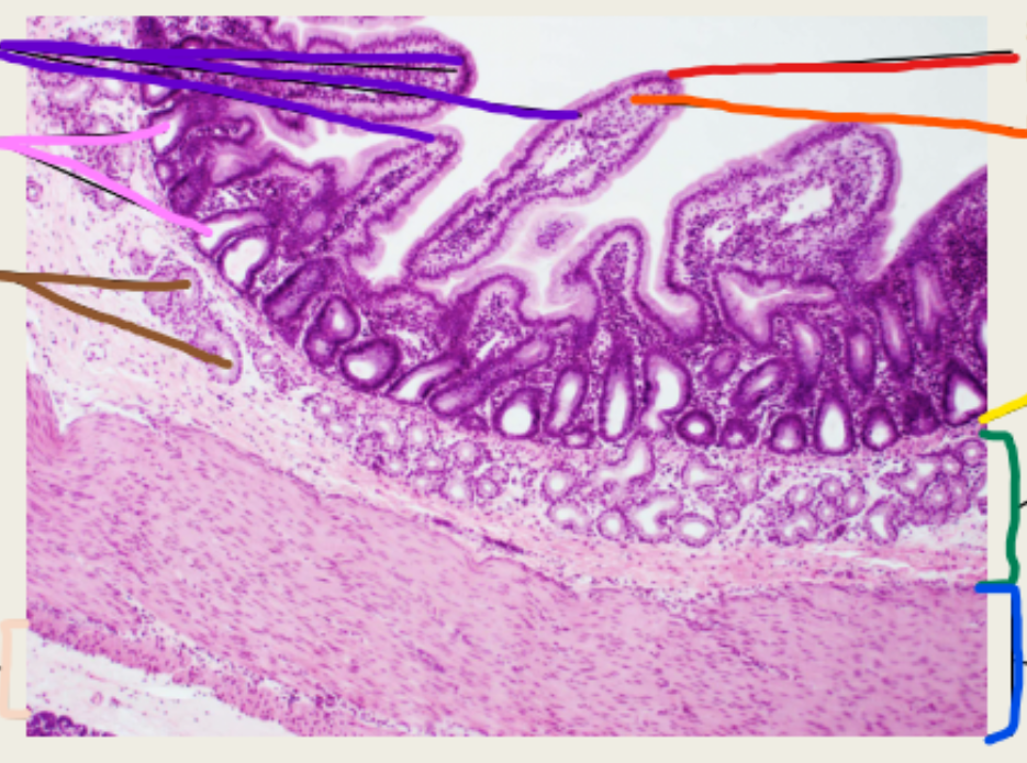
red small intestine
simple columnar epithelium

orange small intestine
lamina propria

yellow small intestine
muscularis mucosae

green small intestine
submucosa

blue small intestine
circular muscle

purple small intestine
villi

pink small intestine
intestinal crypts

brown small intestine
duodenal glands

beige small intestine
longitudinal muscle

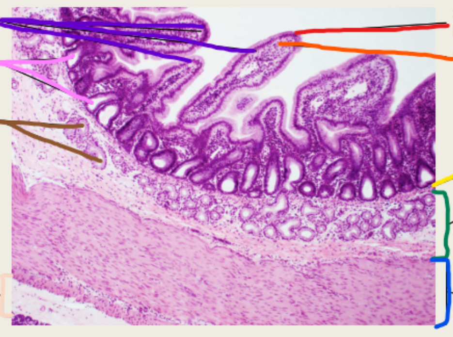
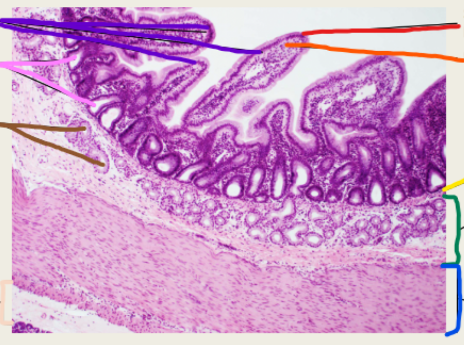
red small intestine jejunum
villi

orange small intestine jejunum
simple columnar epithelium

yellow small intestine jejunum
lamina propria

green small intestine jejunum
intestinal crypts

blue small intestine jejunum
muscularis mucosae

purple small intestine jejunum
submucosa

pink small intestine jejunum
circular muscle

brown small intestine jejunum
longitudinal muscle

red ileum
submucosa of plicae circulares

orange ileum
plicae circulares

yellow ileum
muscularis externa

green ileum
peyers patches

blue ileum
submucosa

red
goblet cells

orange
villi

yellow
muscularis mucosae

green
peyers patch

blue
circular muscle

purple
longitudinal muscle

red large intestine
goblet cells

orange large intestine
submucosa

yellow large intestine
simple columnar epithelium

green large intestine
intestinal crypts

blue large intestine
muscularis mucosae