1/96
Looks like no tags are added yet.
Name | Mastery | Learn | Test | Matching | Spaced | Call with Kai |
|---|
No analytics yet
Send a link to your students to track their progress

what organ is this
kidney

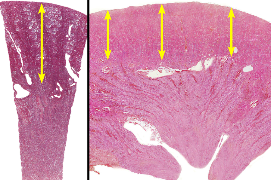
renal cortex

renal medulla

renal pyramid

renal column

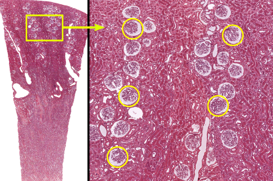
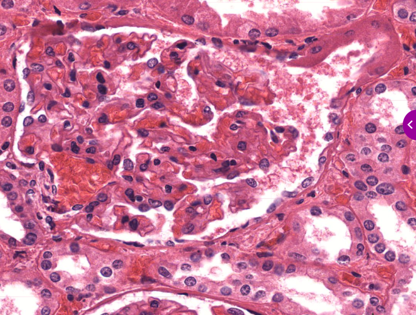
renal corpuscle

glomerulus

glomerular capsular space

renal corpuscle

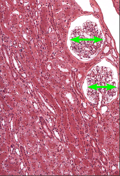
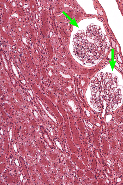
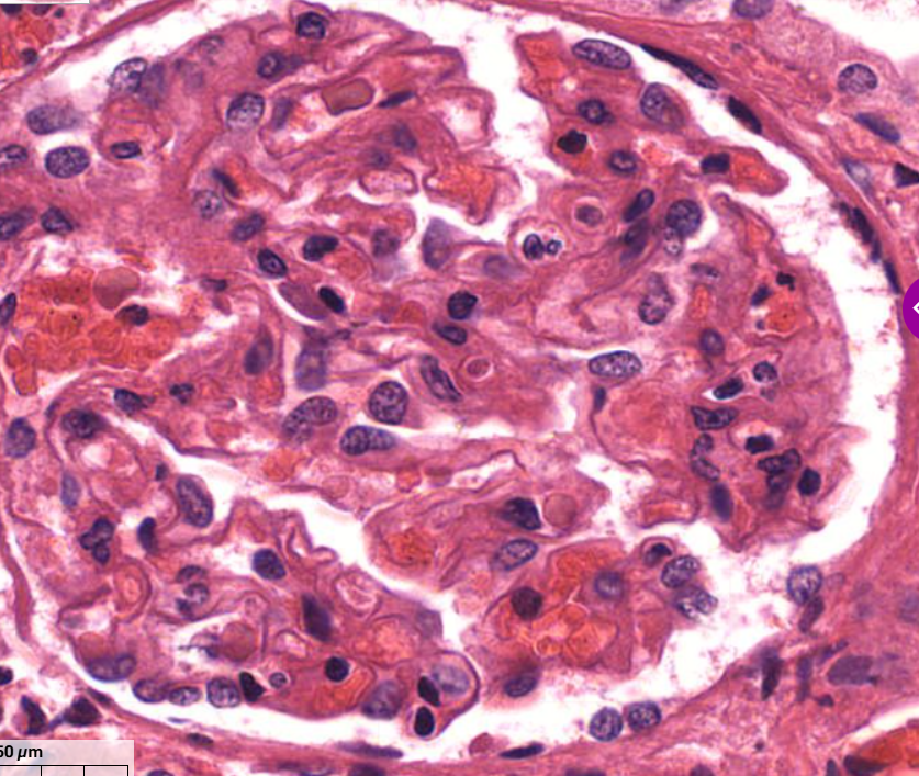
outer layer name
glomerular capsule

glomerulus

glomerular capsular space

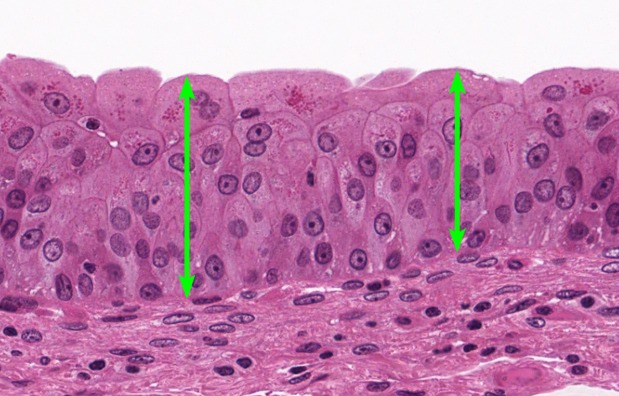
transitional epithelium

what organ is this
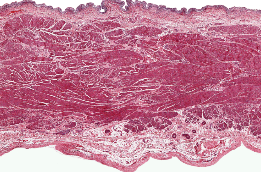
urinary bladder

detrusor muscle

renal column

fibrous capsule

renal pyramid

renal papilla

minor calyx

major calyx

renal pelvis

renal artery

renal vein

interlobar vein

interlobar artery

renal corpuscle

vasa recta

collecting duct

fibrous capsule

collecting duct

what type of nephron
juxtamedullary nephron

what type of nephron
cortical nephron

proximal convoluted tubule

distal convoluted tubule

glomerular capsule

cortical radiate artery

cortical radiate vein

1
cortical radiate vein

2
cortical radiate artery

3
arcuate vein

4
arcuate artery

5
interlobar vein

6
interlobar artery

7
segmental artery

8
renal artery

9
renal vein

1
ureter

2
renal pyramid

3
fibrous capsule

1
urinary bladder

2
detrusor muscle

3
external urethral orifice

1
internal urethral sphincter

2
external urethral sphincter

3
external urethral orifice

4
urethra

5
urinary bladder

6
detrusor muscle

1
detrusor muscle

2
urinary bladder

3
internal urethral sphincter

4
prostatic urethra

5
prostate gland

6
external urethral sphincter

7
membranous urethra

8
spongy urethra

9
external urethral orifice

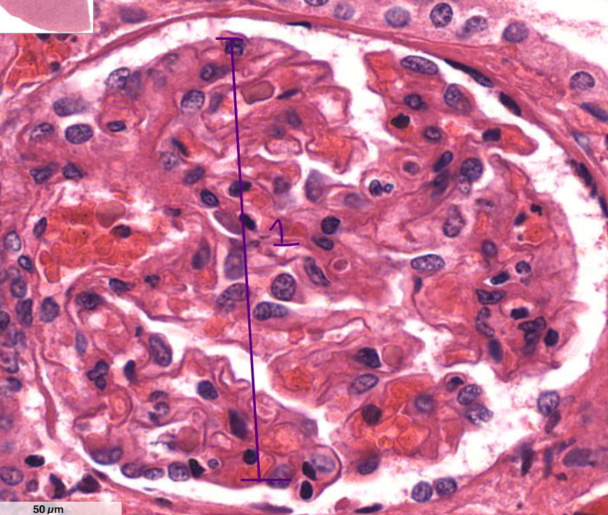
1
afferent arteriole

2
efferent arteriole

3
glomerulus

4
glomerular capsule

space in 4
glomerular capsular space

5
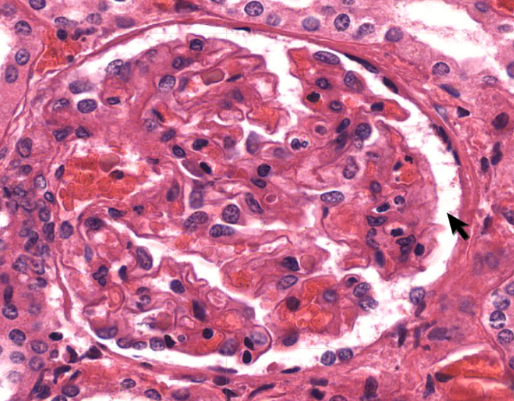
proximal convoluted tubule

1
distal convoluted tubule

2
renal corpuscle

3 (red)
glomerulus

3 (blue)
glomerular capsular space

4
collecting duct

5
ascending limb of the nephron loop

9
descending limb of nephron loop

7
vasa recta

10
peritubular capillaries

11
proximal convoluted tubule

1
renal cortex

2
renal medulla

4
renal hilum

3
fibrous capsule

5
renal papilla

6
renal column

7
major calyx

8
minor calyx

9
renal pyramid

10
ureter

11
renal pelvis

12
renal vein

13
renal artery