1/33
Looks like no tags are added yet.
Name | Mastery | Learn | Test | Matching | Spaced | Call with Kai |
|---|
No analytics yet
Send a link to your students to track their progress
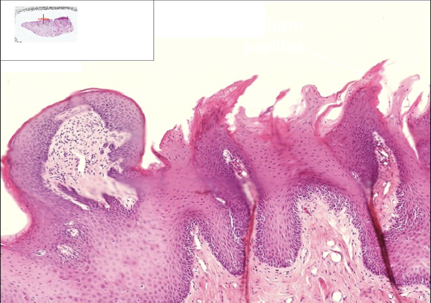
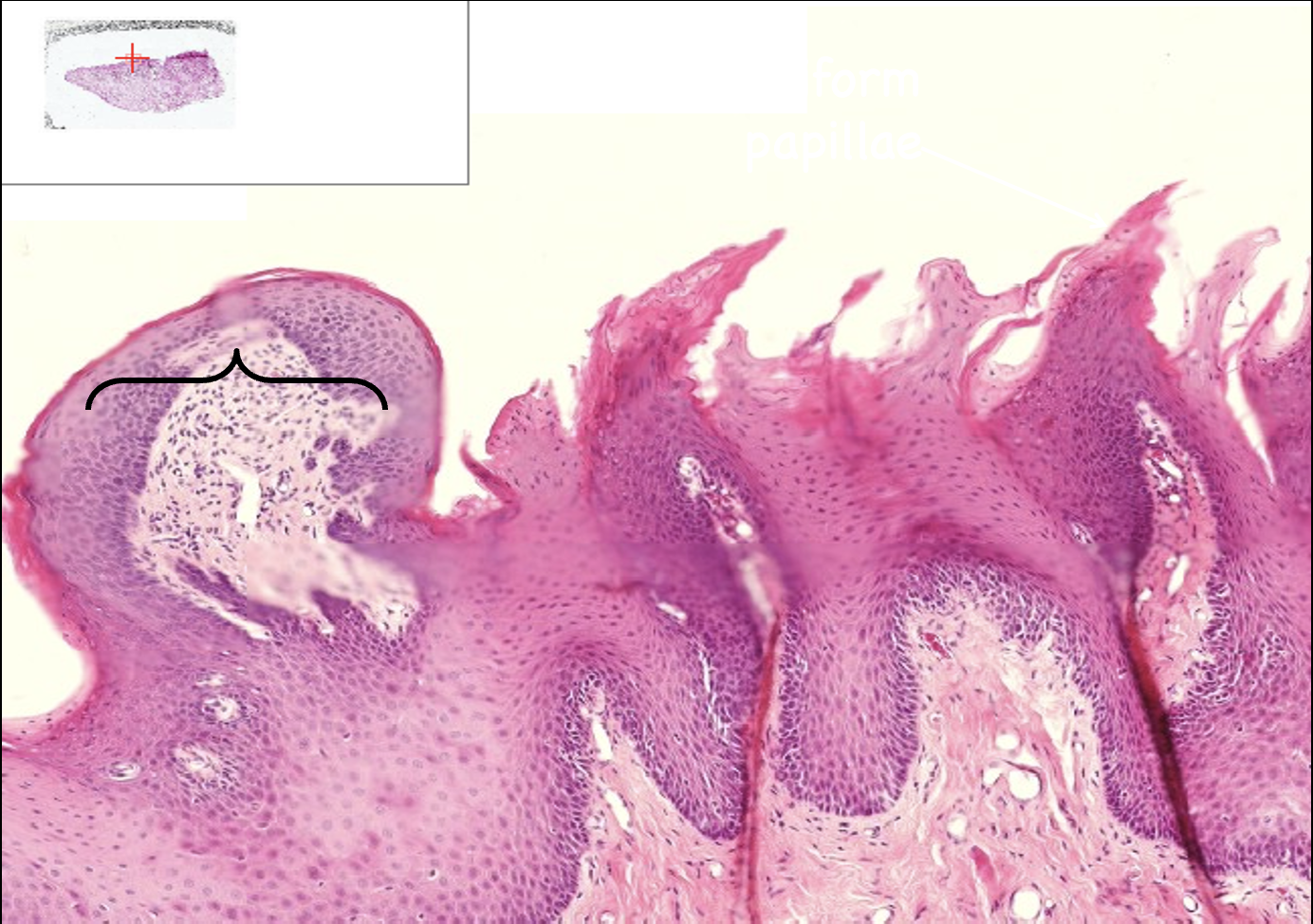
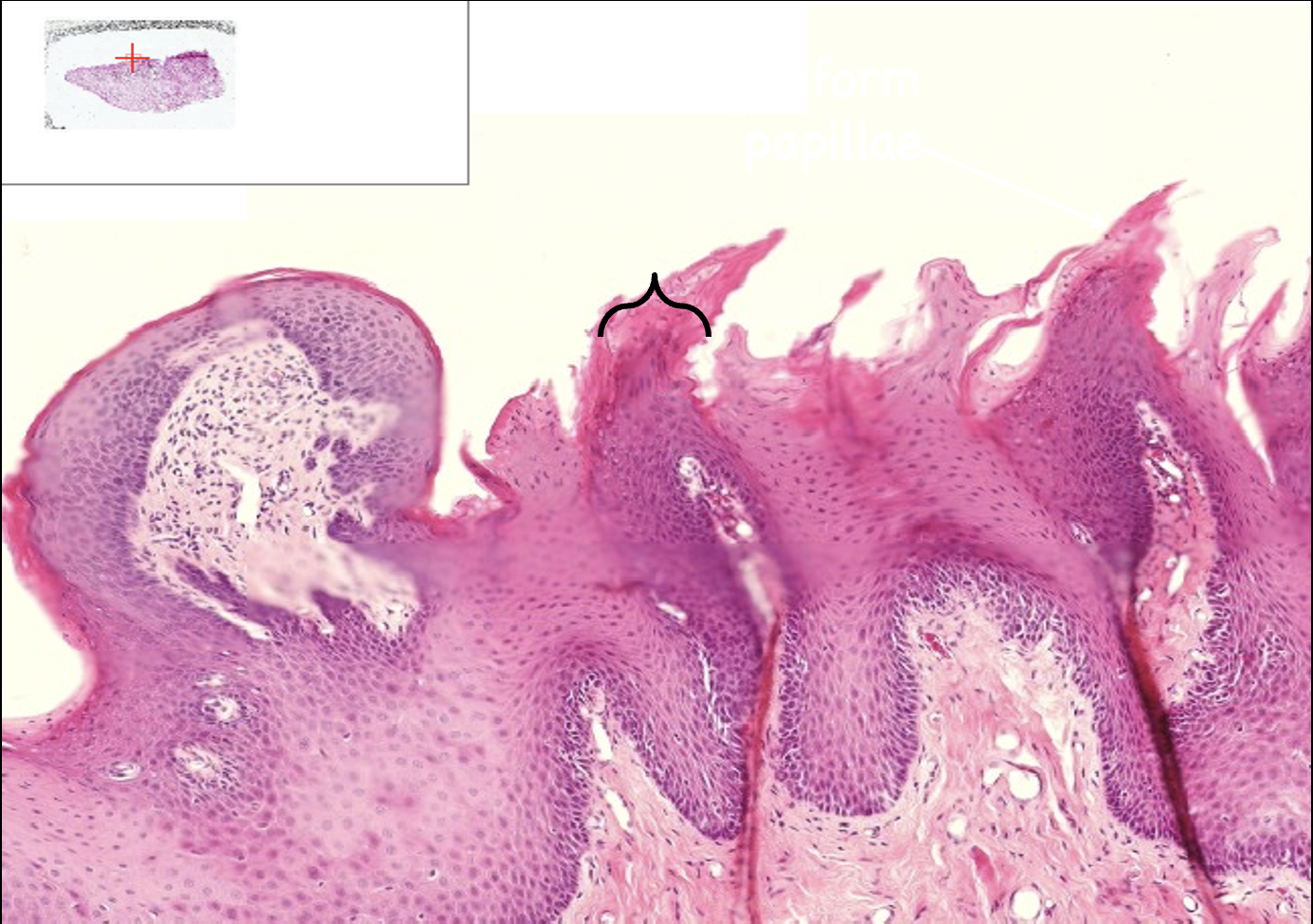
Tongue
What structure is this?

Fungiform papilla
What structure is this?

Filiform papilla
What structure is this?

Back of tongue
What structure is this?

Vallate papilla
What structure is this?

Taste buds
What structure is this?

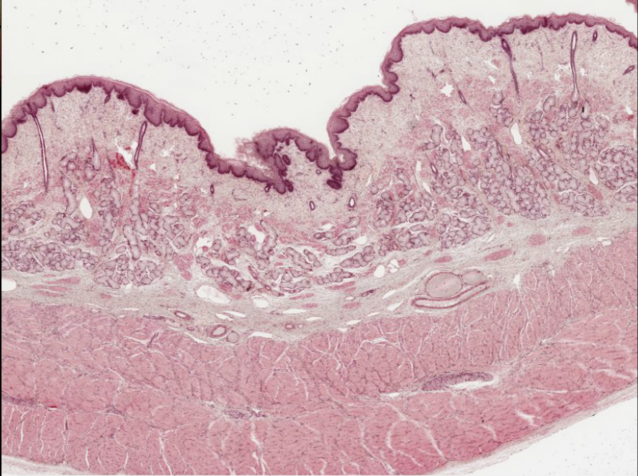
Esophagus
What structure is this?

Mucosa
What layer is this?

Stratified squamous epithelium
What type of tissue is this?

Submucosa
What layer is this?

Muscularis
What layer is this?

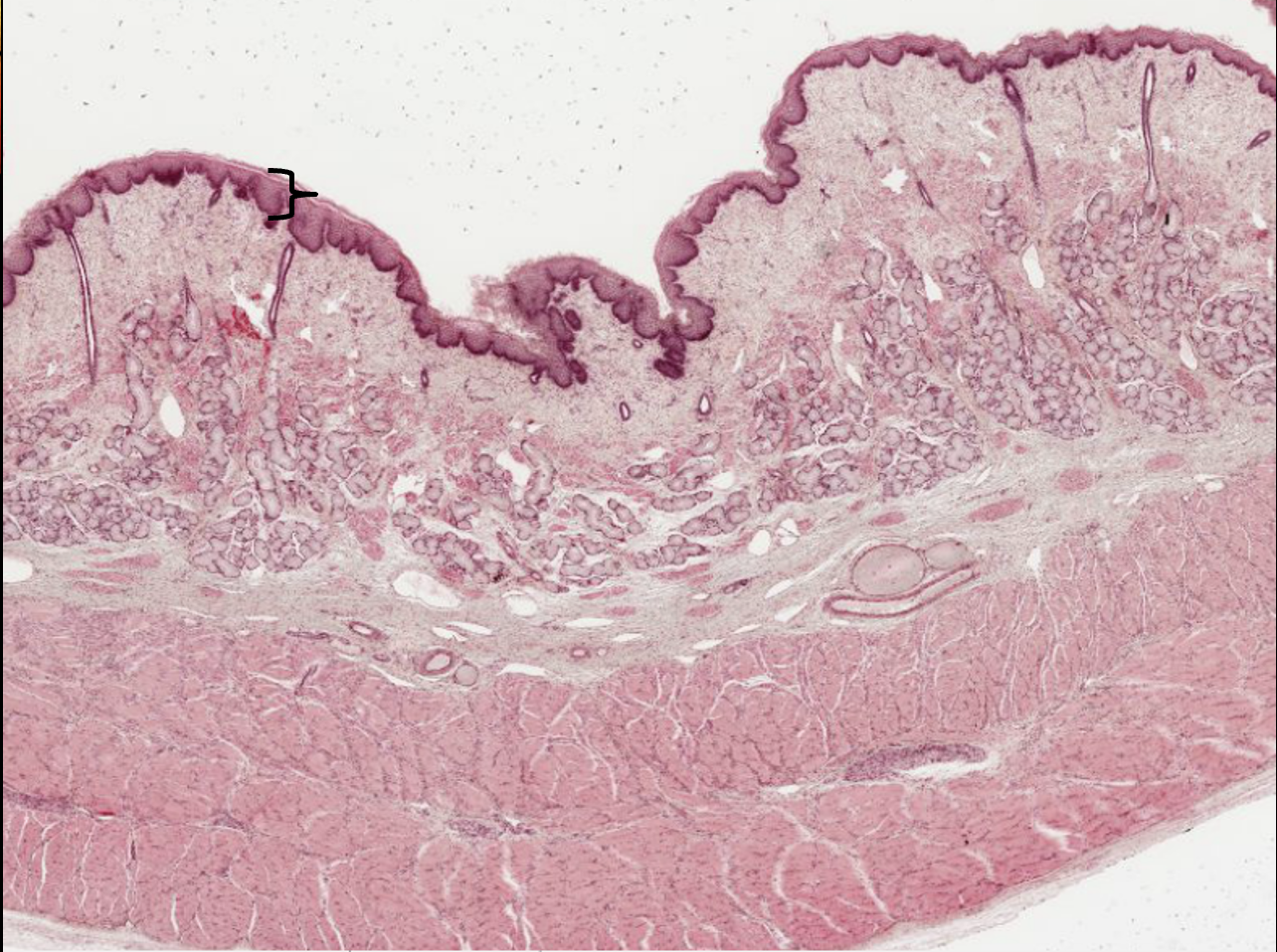
Stomach
What structure is this?

Mucosa
What layer is this?

Submucosa
What layer is this?

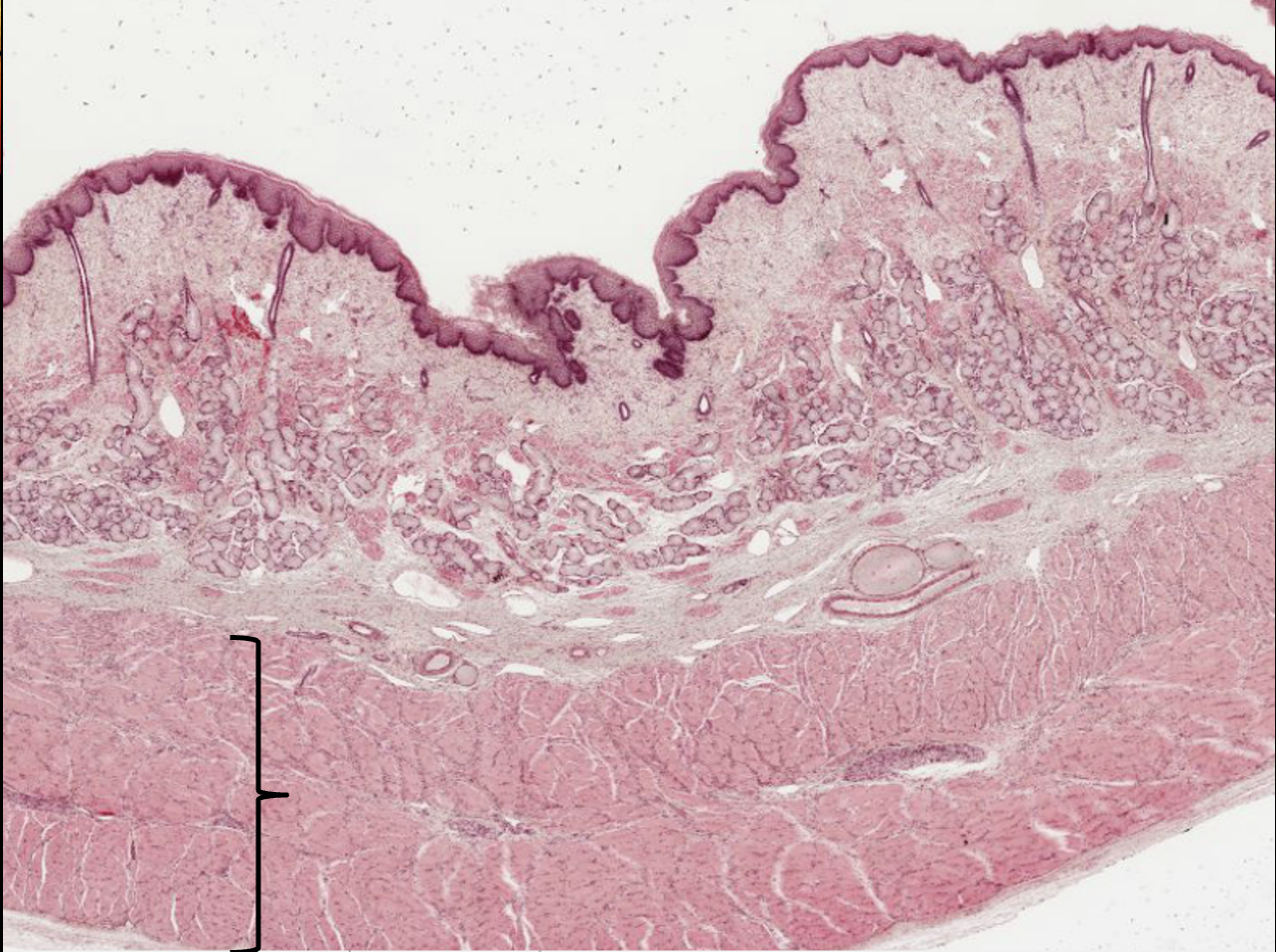
Muscularis
What layer is this?

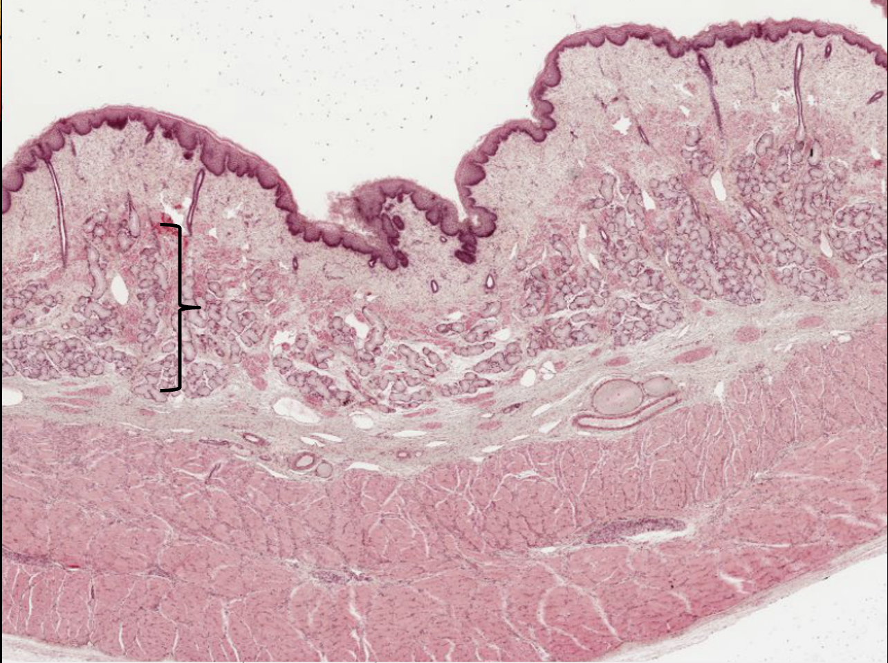
Stomach
What structure is this?

Mucosa
What layer is this?

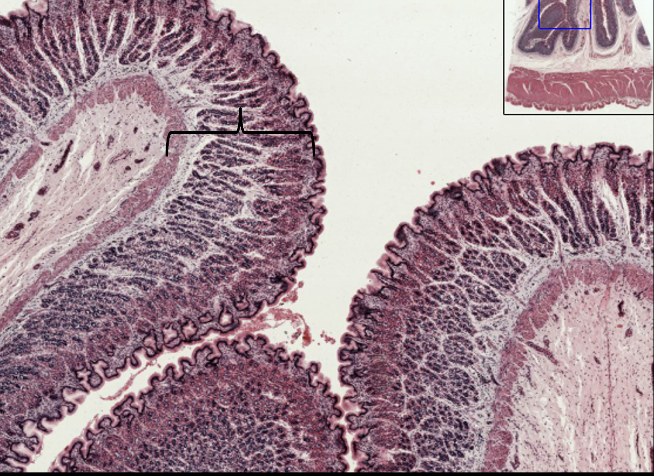
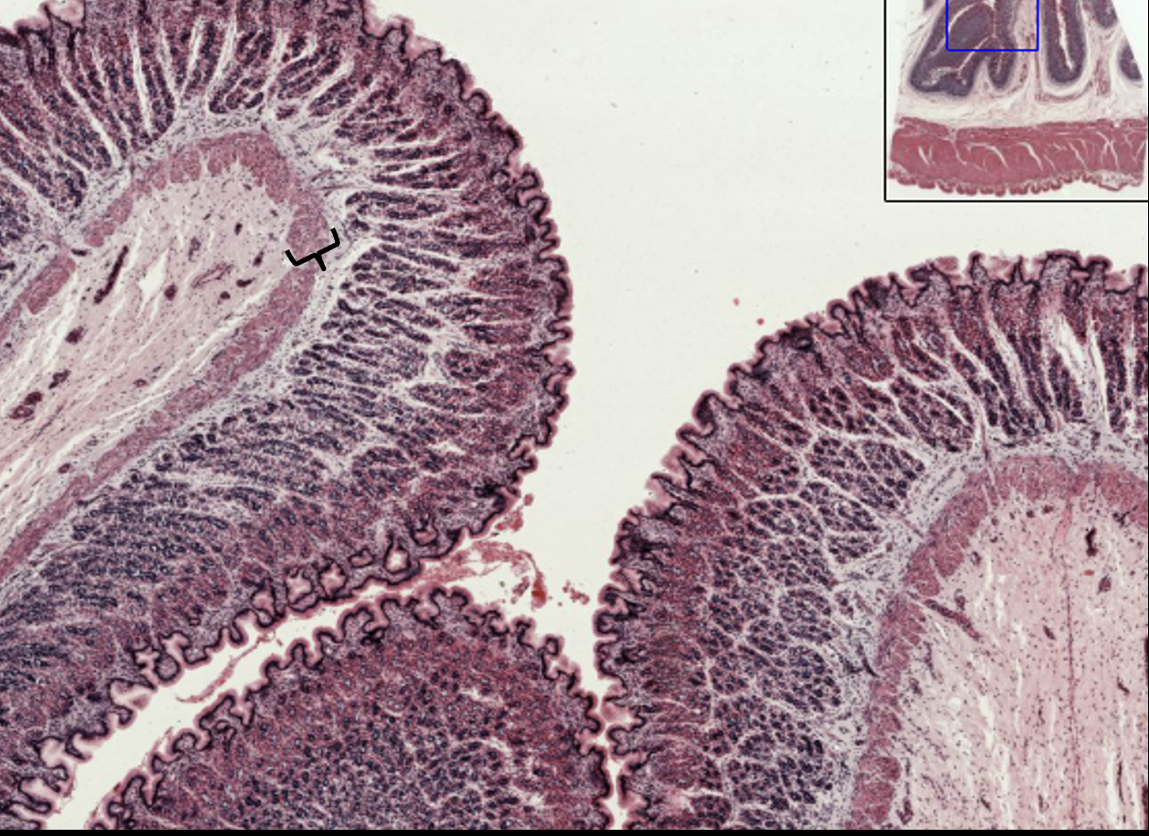
Muscularis mucosa
What layer is this?

Submucosa
What layer is this?

Stomach
What structure is this?

Gastric pits
What structures are these?

Simple columnar epithelium
What type of tissue is this?

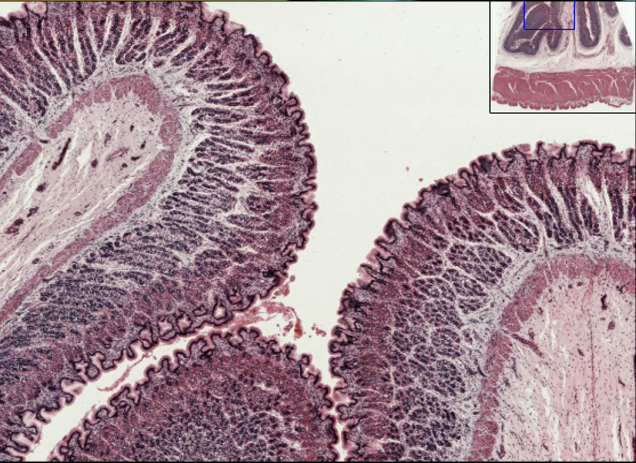
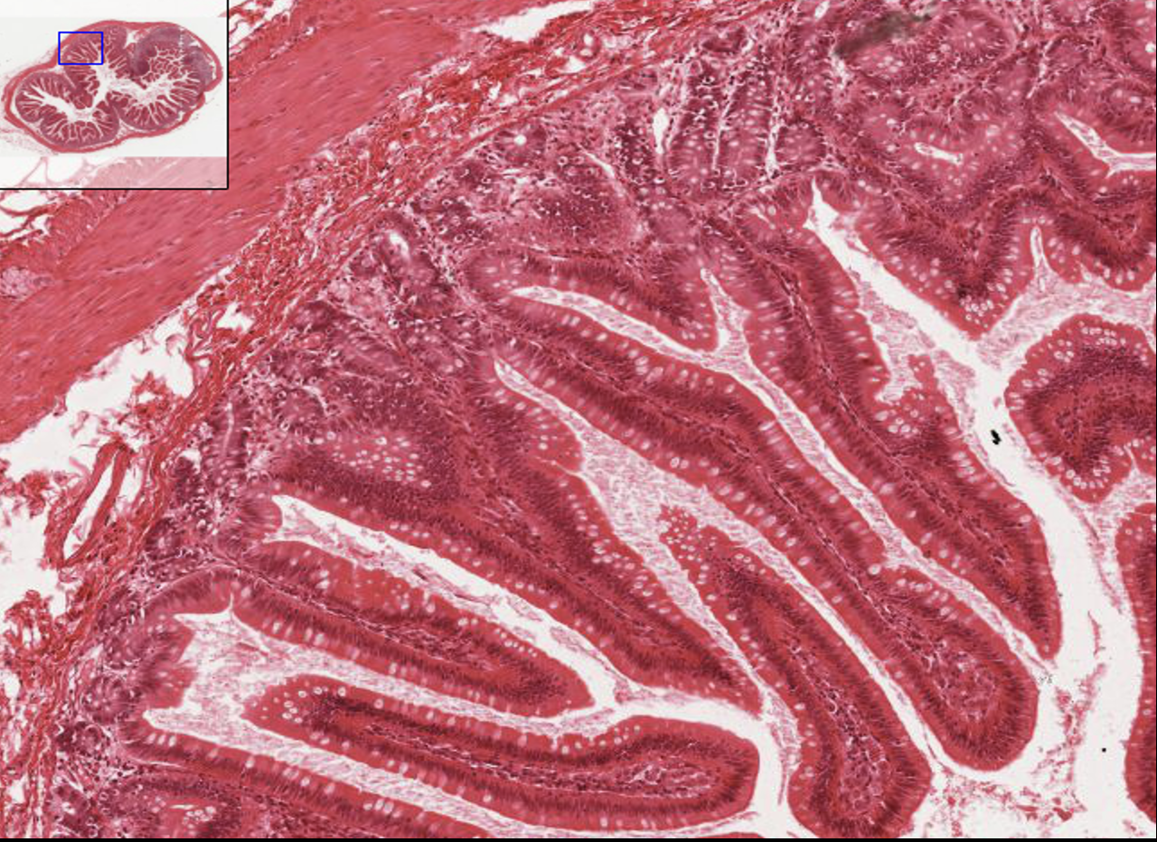
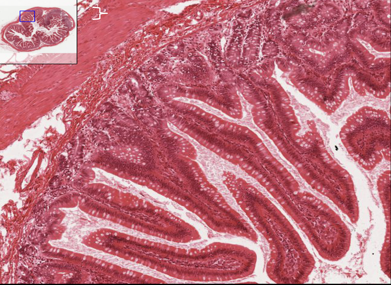
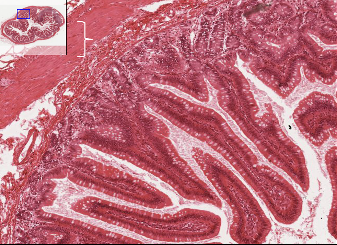
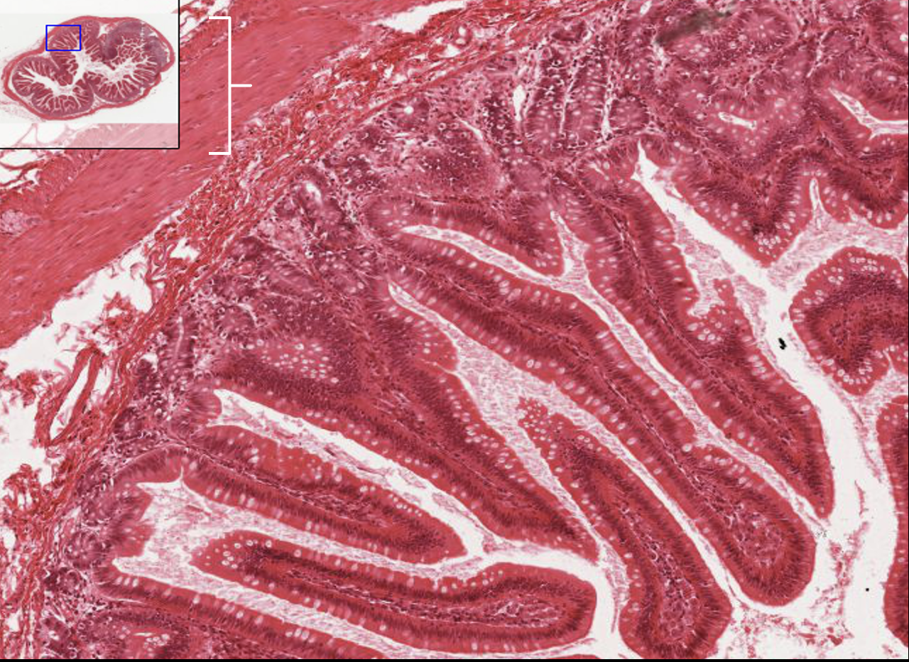
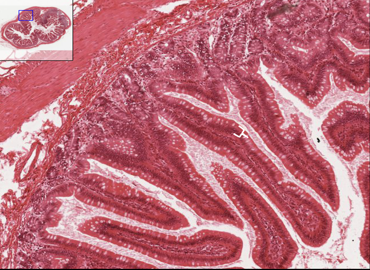
Small intestine
What structure is this?

Outer longitudinal layer
What layer is this?

Inner circular layer
What layer is this?

Muscularis
What layer is this

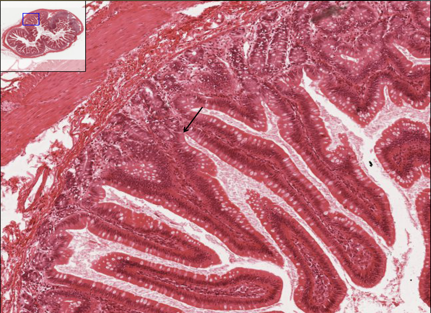
Villus
What structure is this?

Simple columnar epithelium
What type of tissue is this?

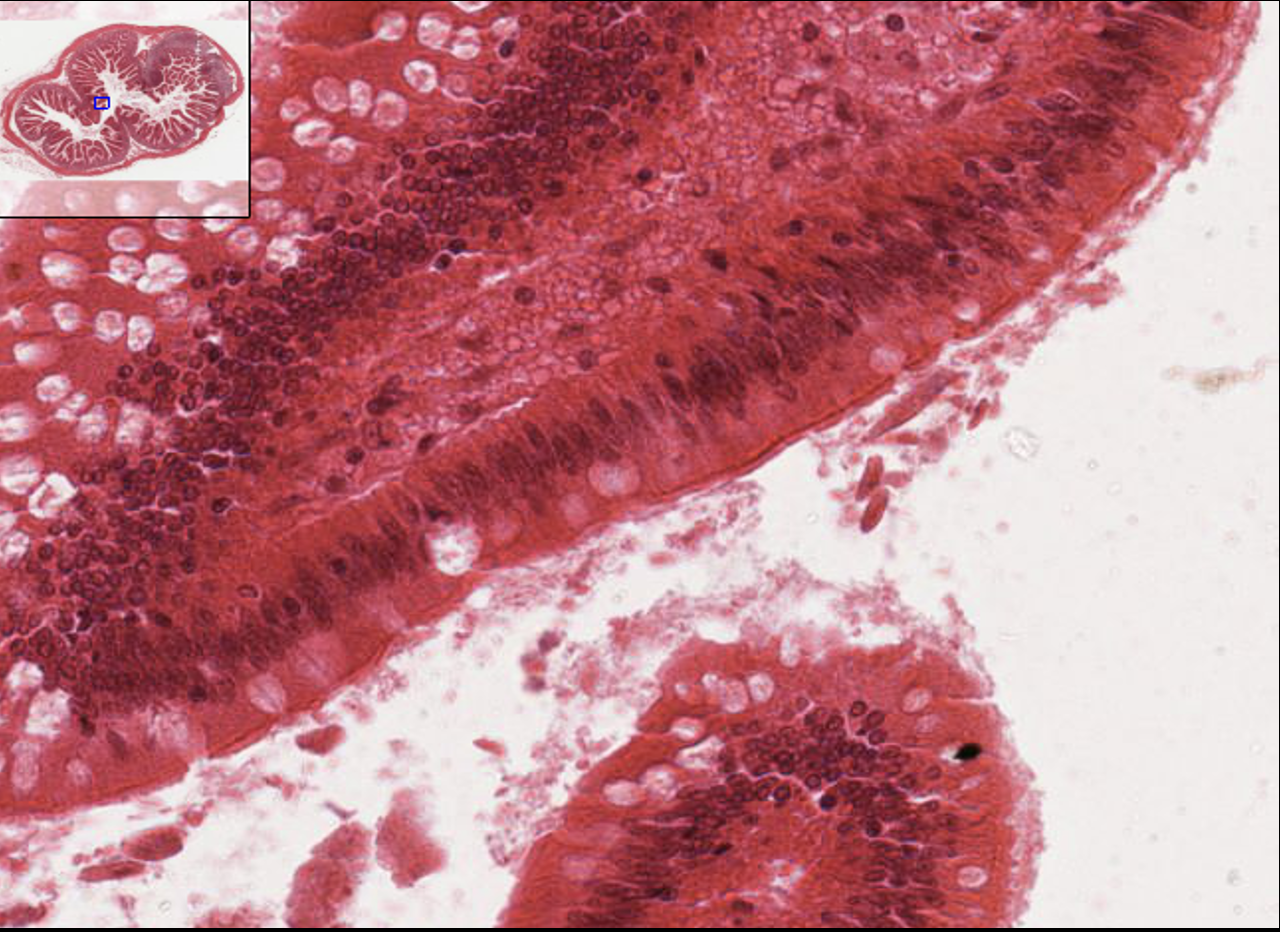
Small intestine
What structure is this?

Simple columnar epithelium
What type of tissue is this?

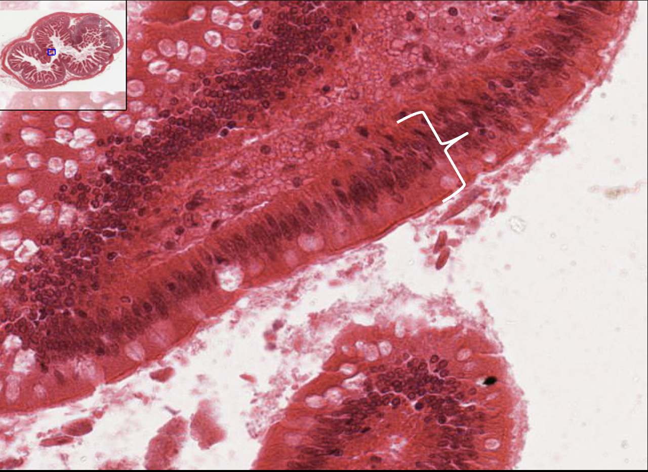
Microvillus border
What structure is this?

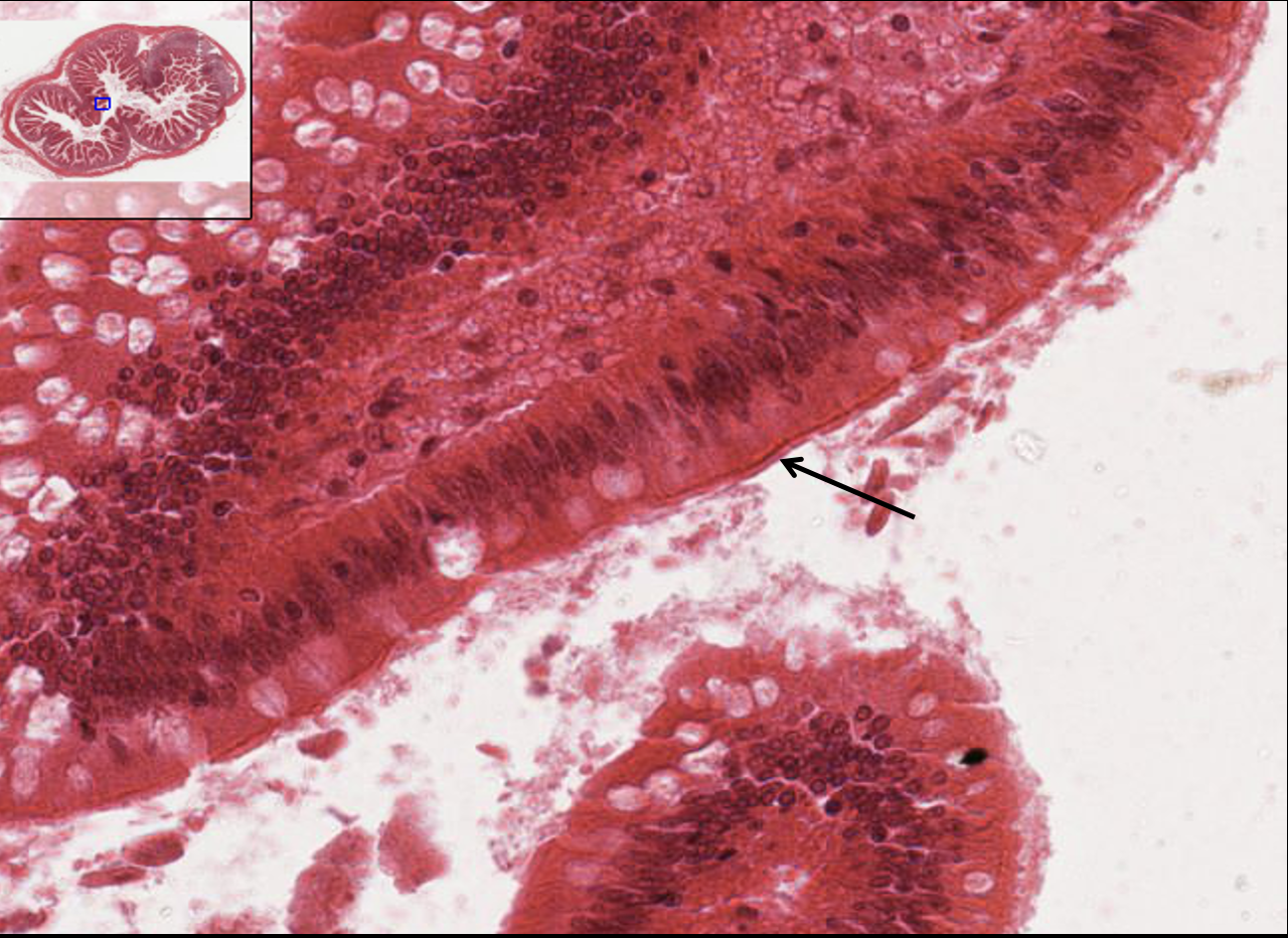
Goblet cell
What structure is this?

Lacteal
What structure is this?

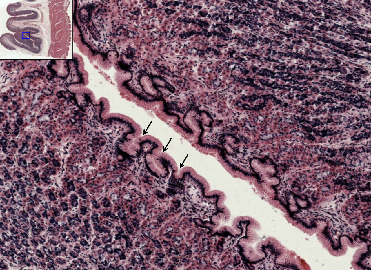
Intestinal glands
What structure is this?
