1/40
Looks like no tags are added yet.
Name | Mastery | Learn | Test | Matching | Spaced | Call with Kai |
|---|
No analytics yet
Send a link to your students to track their progress
What is an infarct?
Dead or dying tissue resulting from lack of oxyen and nutients (ischaema)
What is usually the cause?
Acute obstruction of coronary artery - often blood clot
Over what kind of distances is diffusion fast over?
Short distances
What kind of distances is diffusion very slow over?
>1mm
Table showing time taken for glucose to diffuse to 99% equilibrium over distance x

Therefore in terms of diffsuion what does the CVC do?
Speeds up gas and solute transport over long distances (convection)
What are the 4 functions of the cardiovascular system?
Delivery of O2 and nutrients to each cell
Removal of CO2 and waste products from each cell
Communication between organs through transport of hormones and other extracellular mediators
Temperature regulation
What 2 parts can the cardiovascular circulation be divided into?
Systemic and pulmonary (lung) circuits
What within these circuits acts as thecentral pump?
The heart

What is the composition of the blood?



Blood vessel structure

What do blood vessels contain and what is their function?
Contains multiple cell layers that regulate their function
What do all blood cells contain?
Endothelial cellsW
What varies in blood cells?
The thickness of the smooth muscle and connective tissue
Blood vessels involved in the circulation

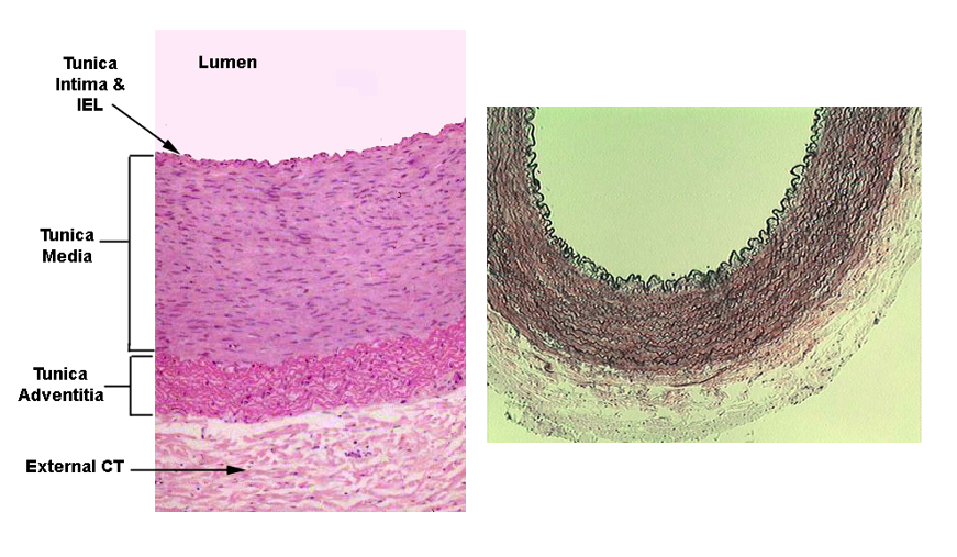
What do arteries contain?
A large lumen and a thick layer of smooth muscle (tunica media) and connective tissue (tunica adventitia)

In arteries what does the thick layer of elastic smooth muscle act as?
A pressure reservoir
Picture showing this
Artery absorbs the pressure to prevent it from passing on and bursting arterioles

What do arterioles contain?
A thin muscular wall and a small lumen
What does contraction of the smooth muscle regulate?
The diameter of the lumen
What are the 2 reasons as to why contraction of the smooth muscle is key?
It determines blood flow to organs and is a major determinant of mean arterial pressure
What do capillaries have a single layer of?
Endothelial cells
What 2 things occur in the capillaries?
Exchange of nutrients, oxygen and waste across the capillary wall but not proteins
Intercellular clefts and fused vesicles channels assist the exchange
What 2 things is exchange facilitated by within the capillaries?
Slow movement of blood and large surface area within the capillaries
What 3 things do venules and veins contain?
Thin walls, large diameter lumen and valves
What does a small muscle layer and large diameter lumen allow?
Storage of large blood volume (~60% of total blood volume)
Summary of structure and function of blood vessels

Overall structure of the heart
Left hand side muscle layer is thicker because it pumps blood around the whole body

Internal structure of the heart

Structure of the valves

Blood flow in the heart

Blood supply to the heart

What can coronary arterial disease lead to?
Ischemia and heart attacks
Coronary arterial disease

What causes coronary arterial disease

Treating coronary heart disease

Cerebral spinal fluid what 2 meninges in the brain is it in between?
Arachnoid and pia matter
Cerebral spinal fluid (CSF)

Blood vessels and blood brain barrior
