Identification of All Cells, Parasites, and Other Things found in Urine, Blood, or Cultures

5.0(2)
Studied by 6 people
call kaiCall Kai
learnLearn
examPractice Test
spaced repetitionSpaced Repetition
heart puzzleMatch
flashcardsFlashcards
GameKnowt Play
Card Sorting

1/40

encourage image

There's no tags or description

Looks like no tags are added yet.

Last updated 6:42 PM on 5/2/23
Name
Mastery
Learn
Test
Matching
Spaced
Call with Kai

No analytics yet

Send a link to your students to track their progress

41 Terms

1
New cards
Identify this Cast.
Identify this Cast.
Hyaline Cast
2
New cards
Identify this Cast.
Identify this Cast.
Granular Cast
3
New cards
Identify this cast.
Identify this cast.
Epithelial cast
4
New cards
Identify this cast.
Identify this cast.
Erythrocyte cast
5
New cards
Identify this cast.
Identify this cast.
Waxy Cast
6
New cards
Identify this cast.
Identify this cast.
Fatty Cast
7
New cards
Identify this crystal.
Identify this crystal.
Struvite
8
New cards
Identify this crystal.
Identify this crystal.
Calcium Oxalate Dihydrate
9
New cards
Identify this crystal.
Identify this crystal.
Calcium Oxalate Monohydrate
10
New cards
identify this crystal.
identify this crystal.
Calcium Oxalate Monohydrate from ethylene glycol poisoning
11
New cards
Identify this crystal.
Identify this crystal.
Uric Acid Crystal
12
New cards
Identify this.
Identify this.
Amorphous Crystalline Material
13
New cards
Identify this crystal.
Identify this crystal.
Calcium Carbonate
14
New cards
Identify this crystal.
Identify this crystal.
Ammonium Biurate
15
New cards
Identify this crystal.
Identify this crystal.
Sulfonamide Crystal
16
New cards
Identify this crystal.
Identify this crystal.
Cystine
17
New cards
Identify this crystal.
Identify this crystal.
Melamine Crystal
18
New cards
Identify this cell.
Identify this cell.
Parabasal Cell
19
New cards
Identify this cell.
Identify this cell.
Intermediate Epithelial Cell
20
New cards
Identify this cell.
Identify this cell.
Squamous Epithelial Cells

* Top: Non-cornified
* Bottom: Cornified
21
New cards
Identify this cell.
Identify this cell.
Monocyte
22
New cards
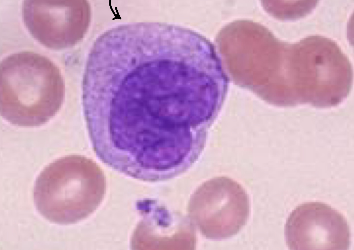
Identify this cell.
Identify this cell.
Neutrophil
23
New cards
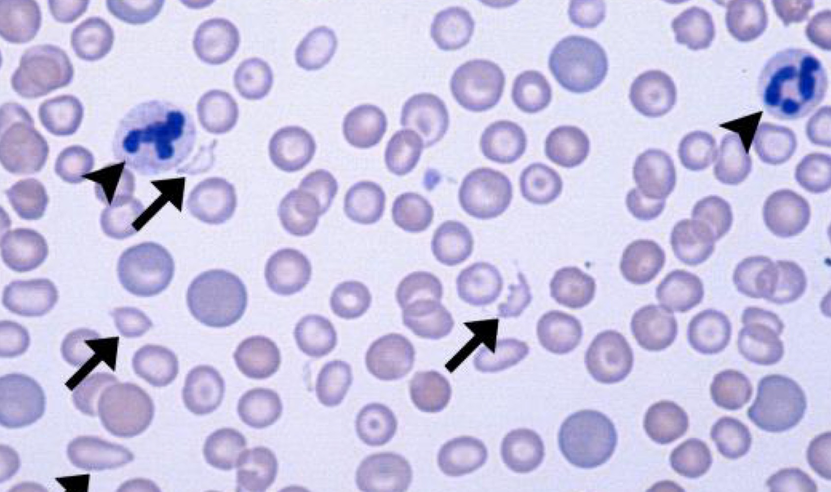
Identify this cell.
Identify this cell.
Lymphocyte
24
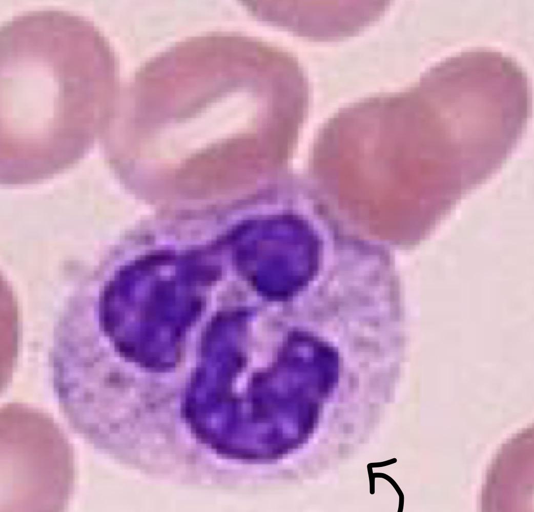
New cards
Identify this cell.
Identify this cell.
Basophil
25
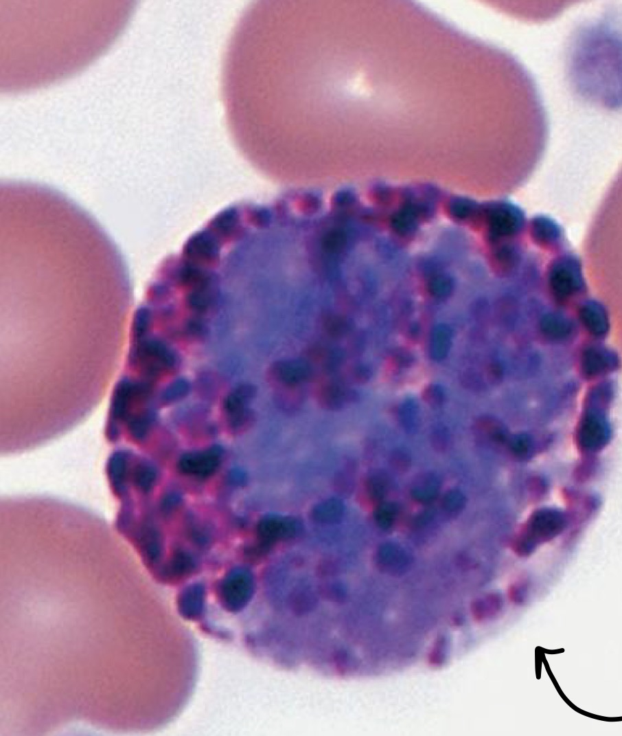
New cards
Identify this cell.
Identify this cell.
Eosinophil
26
New cards
Identify this parasite.
Identify this parasite.
Microsporum canis
27
New cards
Identify this parasite.
Identify this parasite.
Microsporum gypseum
28
New cards
Identify this parasite.
Identify this parasite.
Trichophyton Mentagrophytes
29
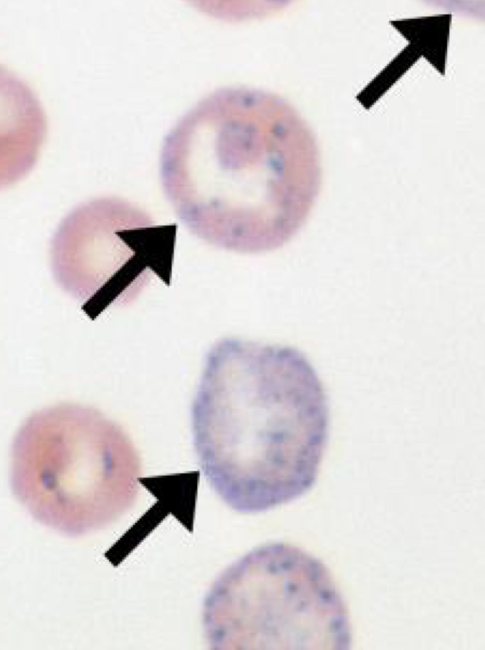
New cards
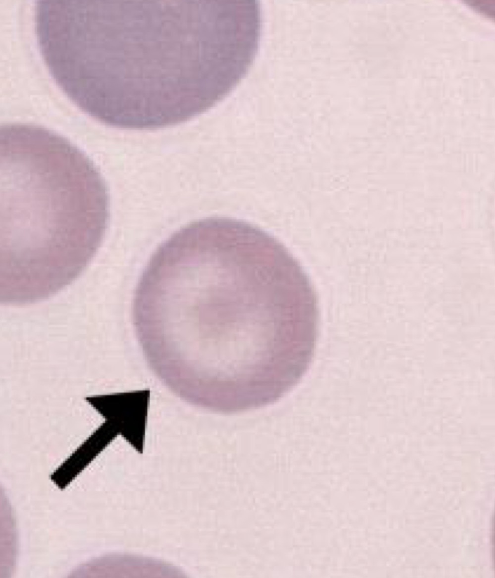
Name this RBC Abnormality.
Name this RBC Abnormality.
Polychromasia
30
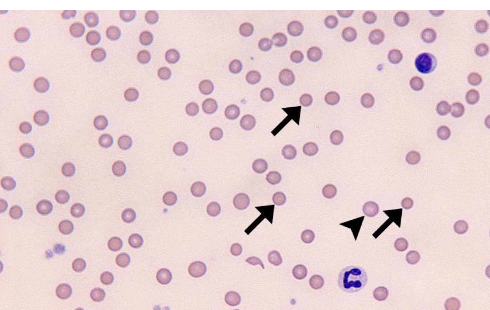
New cards
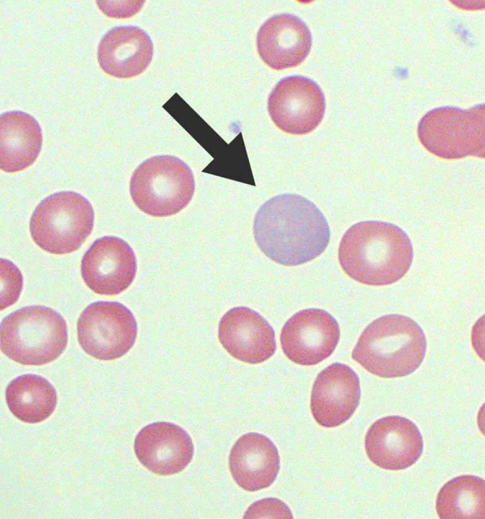
Name this RBC Abnormality.
Name this RBC Abnormality.
Hypochromasia
31
New cards
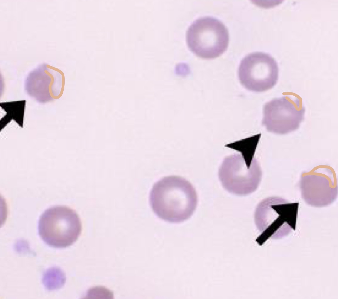
Name this RBC Abnormality.
Name this RBC Abnormality.
Poikilocytosis
32
New cards
Name this RBC Abnormality.
Name this RBC Abnormality.
Spherocyte
33
New cards
Name this RBC Abnormality.
Name this RBC Abnormality.
Helmet Cell (Keratocytes)
34
New cards
Name this RBC Abnormality.
Name this RBC Abnormality.
Blister Cell (Keratocyte)
35
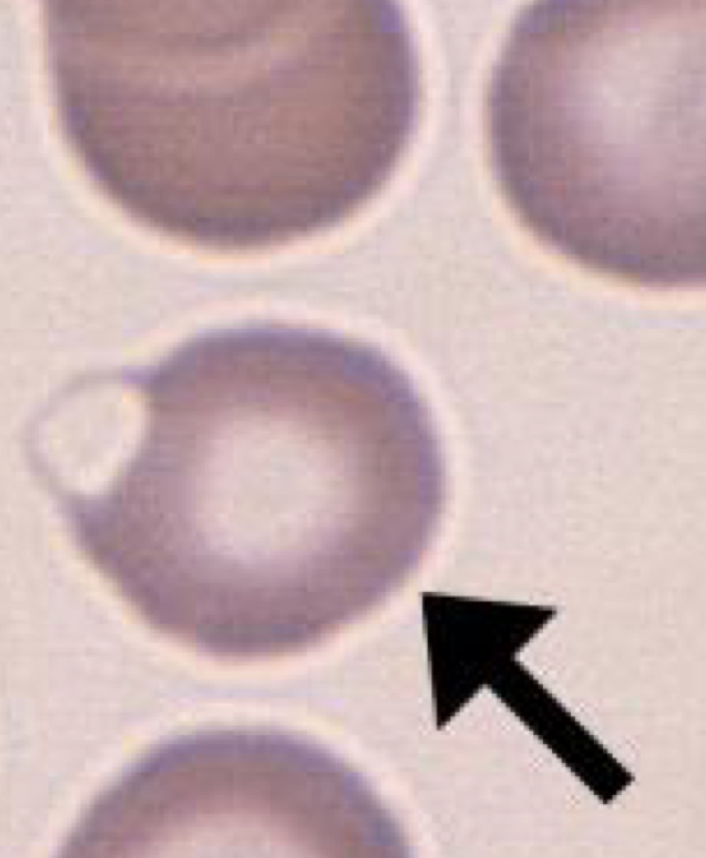
New cards
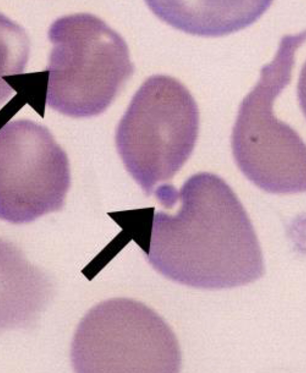
Name this RBC Abnormality.
Name this RBC Abnormality.
Schistocytes
36
New cards
Name this RBC Abnormality.
Name this RBC Abnormality.
Eccentrocytes
37
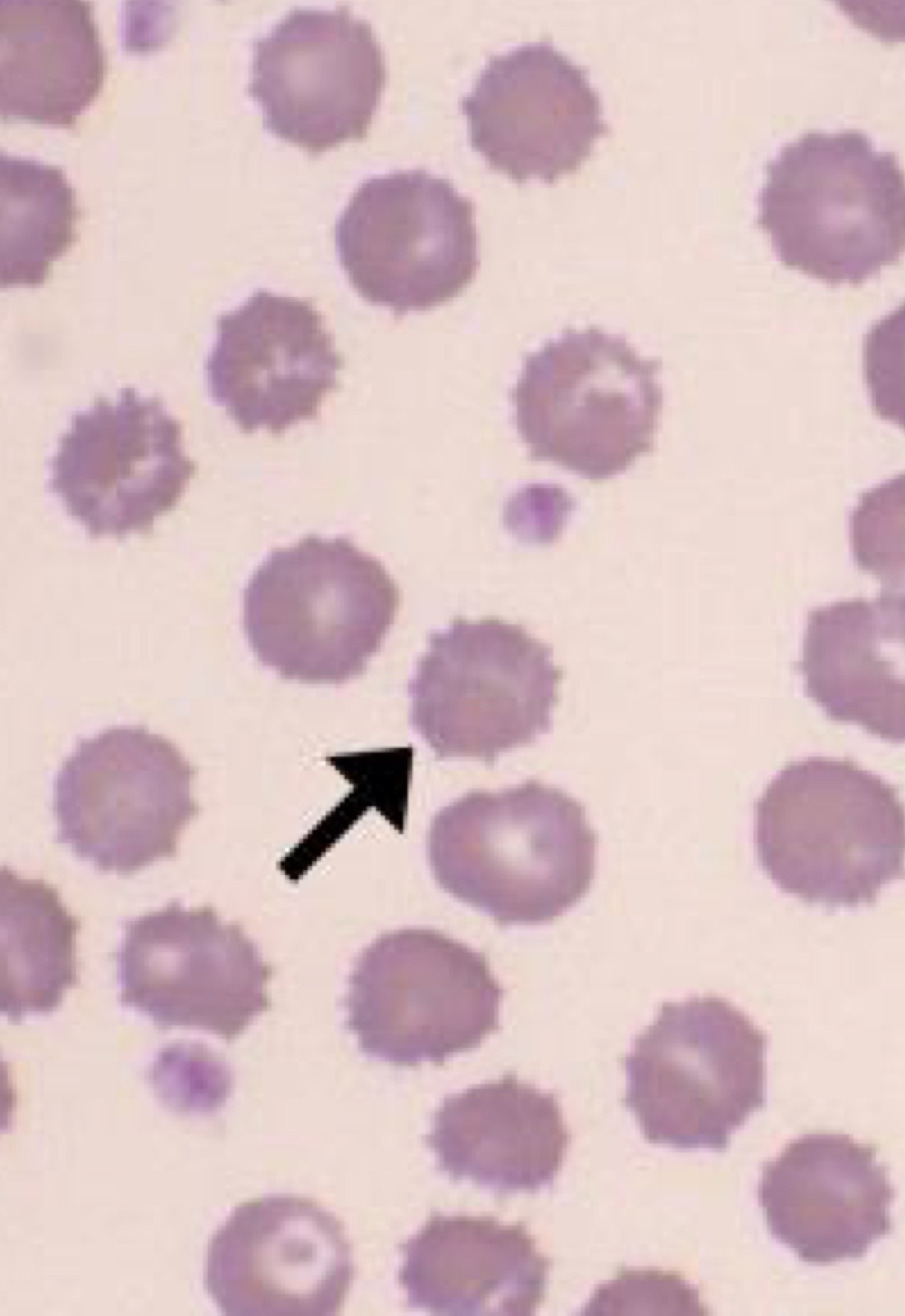
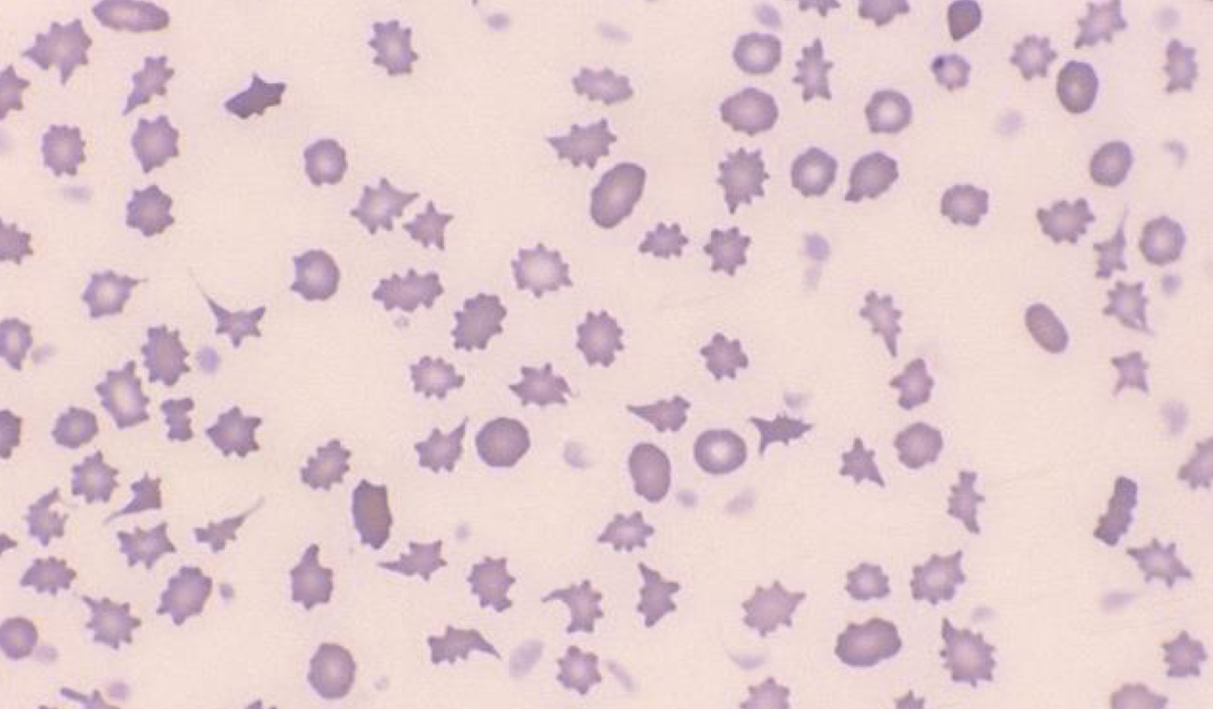
New cards
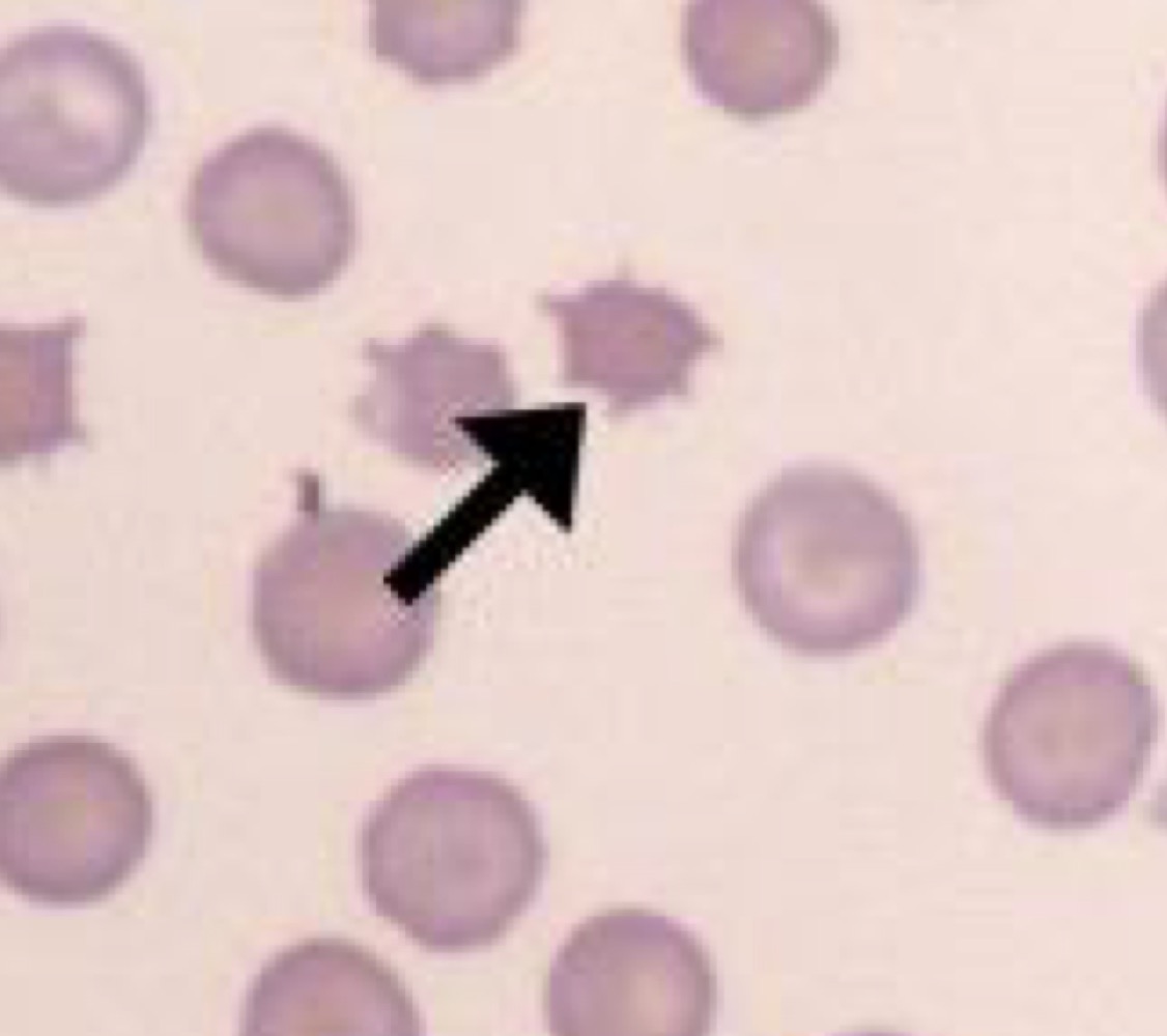
Name this RBC Abnormality.
Name this RBC Abnormality.
Echinocytes
38
New cards
Name this RBC Abnormality.
Name this RBC Abnormality.
Acanthocyte
39
New cards
Name this RBC Abnormality.
Name this RBC Abnormality.
Codocyte (only in dogs)
40
New cards
Name this RBC Abnormality.
Name this RBC Abnormality.
Basophillic Stippling
41
New cards
Name this RBC Abnormality.
Name this RBC Abnormality.
Heinz Body

Explore top notes

note
Pronom relatif
Updated 762d ago
0.0(0)
note
Chapter 2: States
Updated 1096d ago
0.0(0)
note
Chapter 2: Kinematics
Updated 1087d ago
0.0(0)
note
Golfer’s Elbow
Updated 1148d ago
0.0(0)
note
BIO315 - Cell Bio
Updated 546d ago
0.0(0)
note
Econ Unit 1
Updated 1023d ago
0.0(0)
note
Vocabolario: L'aspetto fisico
Updated 1287d ago
0.0(0)
note
Pronom relatif
Updated 762d ago
0.0(0)
note
Chapter 2: States
Updated 1096d ago
0.0(0)
note
Chapter 2: Kinematics
Updated 1087d ago
0.0(0)
note
Golfer’s Elbow
Updated 1148d ago
0.0(0)
note
BIO315 - Cell Bio
Updated 546d ago
0.0(0)
note
Econ Unit 1
Updated 1023d ago
0.0(0)
note
Vocabolario: L'aspetto fisico
Updated 1287d ago
0.0(0)

Explore top flashcards

flashcards
Conceptual Knowledge
114
Updated 1025d ago
0.0(0)
flashcards
Research Methods exam 1
69
Updated 1132d ago
0.0(0)
flashcards
HFE Exam 1
101
Updated 399d ago
0.0(0)
flashcards
E1: Ortho - intro
84
Updated 430d ago
0.0(0)
flashcards
IB German Vocab
385
Updated 777d ago
0.0(0)
flashcards
Mind brain and behavior EXAM 1
190
Updated 183d ago
0.0(0)
flashcards
phonetics exam 1
56
Updated 1142d ago
0.0(0)
flashcards
Conceptual Knowledge
114
Updated 1025d ago
0.0(0)
flashcards
Research Methods exam 1
69
Updated 1132d ago
0.0(0)
flashcards
HFE Exam 1
101
Updated 399d ago
0.0(0)
flashcards
E1: Ortho - intro
84
Updated 430d ago
0.0(0)
flashcards
IB German Vocab
385
Updated 777d ago
0.0(0)
flashcards
Mind brain and behavior EXAM 1
190
Updated 183d ago
0.0(0)
flashcards
phonetics exam 1
56
Updated 1142d ago
0.0(0)