1/50
Looks like no tags are added yet.
Name | Mastery | Learn | Test | Matching | Spaced | Call with Kai |
|---|
No analytics yet
Send a link to your students to track their progress
oocyts
resistant stages for environmental transmission shed in cat feces, only produced by the felid D.H
tachyzoites
rapidly dividing tissue stages found in all vertebrate hosts
bradyzoites
slowly dividing, encysted tissue stages found in all warm-blooded vertebrate hosts

MCQ: Several cows on a farm were aborting and vaginal swabs were taken for cultures. What was the parasite identified?
trichrichomonas
What definition best describes the host in which a parasite undergoes sexual reproduction?
definitive host
What is the definitive host of Toxoplasma gondii?
cats
which parasite is of public health concern?
toxoplasma gondii since zoonotic
who are the intermediate hosts of toxoplasma gondii?
rats
birds
warm-blooded mammals
What stage of toxoplasma gondii will be transferred from mother to fetus?
Tachyzoite
What stage of toxoplasma gondii can be consumed from infected tissue to cause infection?
Bradyzoite
How can toxoplasma gondii be spread from contaminated food and water?
Consumption of sporulated cyst
what is indicative of an active toxoplasma gondii infection?
IgM = active infection; stays elevated for months
what is IgG indicative of in regards to toxoplasma gondii infection?
previous exposure and immunity
what are the most severe signs of toxoplasma gondii in pregnant women?
brain and eyes
what is the number one cause of abortion or stillbirth in sheep in regards to parasites?
toxoplasma gondii
what does toxoplasma gondii cause?
abortion and stillbirth (animals and humans)
what happens after infection of toxoplasma gondii in pregnant animals?
TACHYZOITES transmitted through bloodstream to placental cotyledons resulting in cell death, tissue necrosis, and granulomatous inflammation
tachyzoites transmitted to fetus
what are the outcomes of toxoplasma gondii in the animal?
Mummification
resorption
abortion
weak or stillborn lambs/kids
when can happen in a toxoplasma gondii infection upon host immunosuppression?
Bradyzoites may be reactivated and transform to rapidly dividing tachyzoites leading to severe signs in the immunocompromised adult animal
what can be used in the diagnosis of toxoplasma gondii?
PCR
histopathology
ELISA
serology test (IgG and IgM)
modified direct agglutination test
Sabin-Feldman dye test (GOLD STANDARD)

what stage of toxoplasma gondii is shown?
sporulated and unsporulated oocysts

what stage of toxoplasma gondii is shown?
tachyzoites (ACTIVE STAGE OF INFECTION)

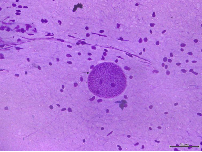
what stage of toxoplasma gondii is shown?
tissue cysts containing bradyzoites
what do we use for treatment of dogs with neurological disease from toxoplasma gondii?
Clindamycin & Pyrimethamine
supportive care
which animal can be vaccinated for toxoplasma gondii?
sheep but only in UK and New Zealand
marketed for breeding ewes
what can we do for control against toxoplasma gondii in cats?
do not feed raw meat to cats (freeze meat prior to cooking if want raw)
change litter box daily
who are the definitive host for neospora caninum?
dogs
coyotes
gray wolves
who are the intermmediate hosts of neospora caninum?
cattle
sheep
goats
how is neospora caninum transmissed in dogs?
ingestion of infected cattle (placenta and aborted fetuses)
how is neospora caninum transmissed in cattle?
horizontal (ingestion of sporulated oocysts)
vertical transmission (transplacental)
what protozoal parasite agent causes ABORTION STORMS in cattle?
neospora caninum
what are clinical signs associated with neospora caninum?
miscarriage and stillbirthweak births with neurological dysfunction of newborns
how do we diagnose neospora caninum in cattle?
histopathology of aborted fetus or placenta
what other tests can we do to diagnose neospora caninum?
PCR
serological tests (ELISA)
what can we do for the control of neospora caninum?
Testing of calves and heifers
BiosecurityPrevention of horizontal & vertical transmission
Contact between cattle and dogs or canids should be prevented
Proper disposal of dead cattle, placentas and aborted fetuses
who are the hosts of TRITRICHOMONAS FOETUS?
bovine
what is the transmission of tritrichomonas foetus?
veneral
where is tritrichomonas foetus located in bulls?
epithelial folds of prepuce and penis
where is tritrichomonas foetus located in cows?
cervix and uterus
what type of life cycle does tritrichomonas foetus have?
direct life cycle
what are the clinical signs of tritrichomonas foetus in cows?
endometritis
cervicitis
vaginitis
salpingitis
infertility
embyronic and early fetal death
when do most cows get infected with tritrichomonas foetus?
at time of breeding mount an immune response and clear the infection after 2 or 3 estrous cycles
what are the clinical signs of at time of tritrichomonas foetus in bulls?
do not show clinical signs are they are clinically normal carriers
what is used for the diagnosis of tritrichomonas foetus?
history of decreased calving rates and herd fertility
irregular calving distribution
organism isolation and ID of vaginal discharge or prepuce samples
culture
PCR
why is control of tritrichomonas foetus so important?
no effective treatment
what can we do to control tritrichomonas foetus?
cull infected bulls older than 4 years old
sexual rest for few months of infected cows
trichguard vaccine
use of AI
sporozoites
occur inside oocysts excreted in the feces of definitive host (sporulation occurs in the environment)
what are the infective stages?
sporozoites
tachyzoites
bradyzoites
What stage of toxoplasma gondii is responsible for chronic infection persistence?
Bradyzoite
What stage of toxoplasma gondii is responsible for acute infection?
Tachyzoite
Which disease are bulls asymptomatic carriers?
Tritrichomonas fetus