1/31
Looks like no tags are added yet.
Name | Mastery | Learn | Test | Matching | Spaced | Call with Kai |
|---|
No analytics yet
Send a link to your students to track their progress
Squamous epithelial cells
- Originates from vagina, vulva or prepuce
- Distal urinary system
- Largest epithelial cells
- Flat, irregular shaped, small round nucleus
- Not a significant finding

Transitional epithelial cells
- Originates from bladder, ureters, renal pelvis, or proximal urethra
- Round or pear shaped
- Granular appearance
- Larger nucleus

Renal epithelial cells
- Normal to see 0-1 in each field
- Increased number indicates cystitis, pyelonephritis, or renal tubule disease
- Come from kidneys
- Smaller than other cells but slightly larger than WBCs
- Large, round nucleus

Bacteria
- Small amount seen in free catch
- Should see none in cysto or catheterization
- Look for background movement
- Rods or cocci
- Identify on high dry
- Indicates UTI

Yeast
- Rare
- Colorless, oval, double refractile walls
- Often confused with RBCs or lipids
- Caused by contamination

Fungi
- Rare
- Hyphae (branches)
- Very serious -- let doctor know immediately

Hyaline casts
- Most basic
- Clear, colorless, and highly refractile
- Parallel sides and rounded ends
- Can be easily obscured if light is up too high (have dim light)
- Low numbers are normal
- Seen with exercise or stress

Granular casts
- Most commonly seen
- Due to degeneration of renal epithelial casts or WBC casts
- Course or fine

Epithelial cell casts
- Picked up from cell walls or tubule walls
- Stay in tubules long enough → degenerates into coarse granular cast then fine granular cast
- Indicates renal cell necrosis or tubular damage

RBC/erythrocyte casts
- Appear yellow/orange color
- Stained - purple/pink color
- Indicates bleeding in renal tubules

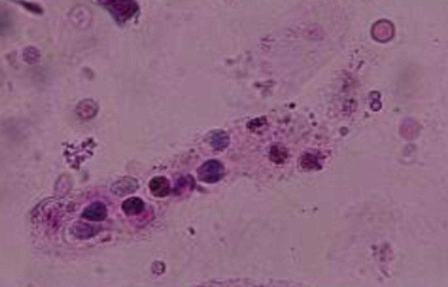
WBC/leukocyte casts
- Slightly larger than RBCs
- Granular appearance
- Indicates inflammation of kidneys

Waxy casts
- Last stage in degeneration process
- Does not have parallel sides
- Broken, craters
- Edges more blunt
- Wider than hyaline
- Indicates severe damage to renal tubules

Fatty casts
- Seen more frequently in cats with renal disease or dogs with diabetes
- Have small fat droplets

Cylindroid casts
- Look similar to hyaline casts but have tapered end
- Not really any indications

Ammonium biurate crystals
- Brown, three-dimensional spheres
- Smooth or irregular edges (thorny apple)
- Seen with liver disease

Amorphus urate crystals
- Result of precipitation
- Many different shapes and sizes
- Not a concern

Uric acid crystals
- Diamond or rhomboid shape
- Yellow to yellow-brown in color
- Not common in dogs in cats except for dalmations

Bilirubin crystals
- Shaped like branching needles, twigs, or antlers
- Amber/bourbon color
- Common in acidic urine
- Not normally a concern

Struvite crystals
- Also called triple phosphates
- Shaped like a coffin lid (6-8 sided prism) with tapered edges
- Most common

Calcium oxalate dihydrate crystals
- Square with Xs or envelope shaped
- Found in small numbers in dogs and horses

Calcium oxalate monohydrate crystals
- Shaped like barbells or picket fences
- Typically seen with antifreeze poisoning

Tyrosine crystals
- Dark, needle-like projections
- Highly refractile
- Indicate liver disease
- Not common in dogs and cats

Leucine crystals
- Shaped like a pin cushion or wheel
- Yellow or brown in color
- Indicate liver disease

Cystine crystals
- Flat, 6-sided (hexagonal) shape
- Thin and colorless
- Indicates renal tubular dysfunction or cystine bladder stones

Amorphous phosphates crystals
- Almost identical to amorphous urates
- Granular appearance
- Different sizes and shapes clumped together
- Due to refrigeration or urine sitting out

Calcium carbonate crystals
- Round with many radiating lines outwards
- Commonly seen in horses and rabbits
- No indications, not a concern

Mucus threads
- Look like folding ribbons
- Seen in equine urine

Sperm
- Seen in intact males
- Have head and tail
- Die in fridge

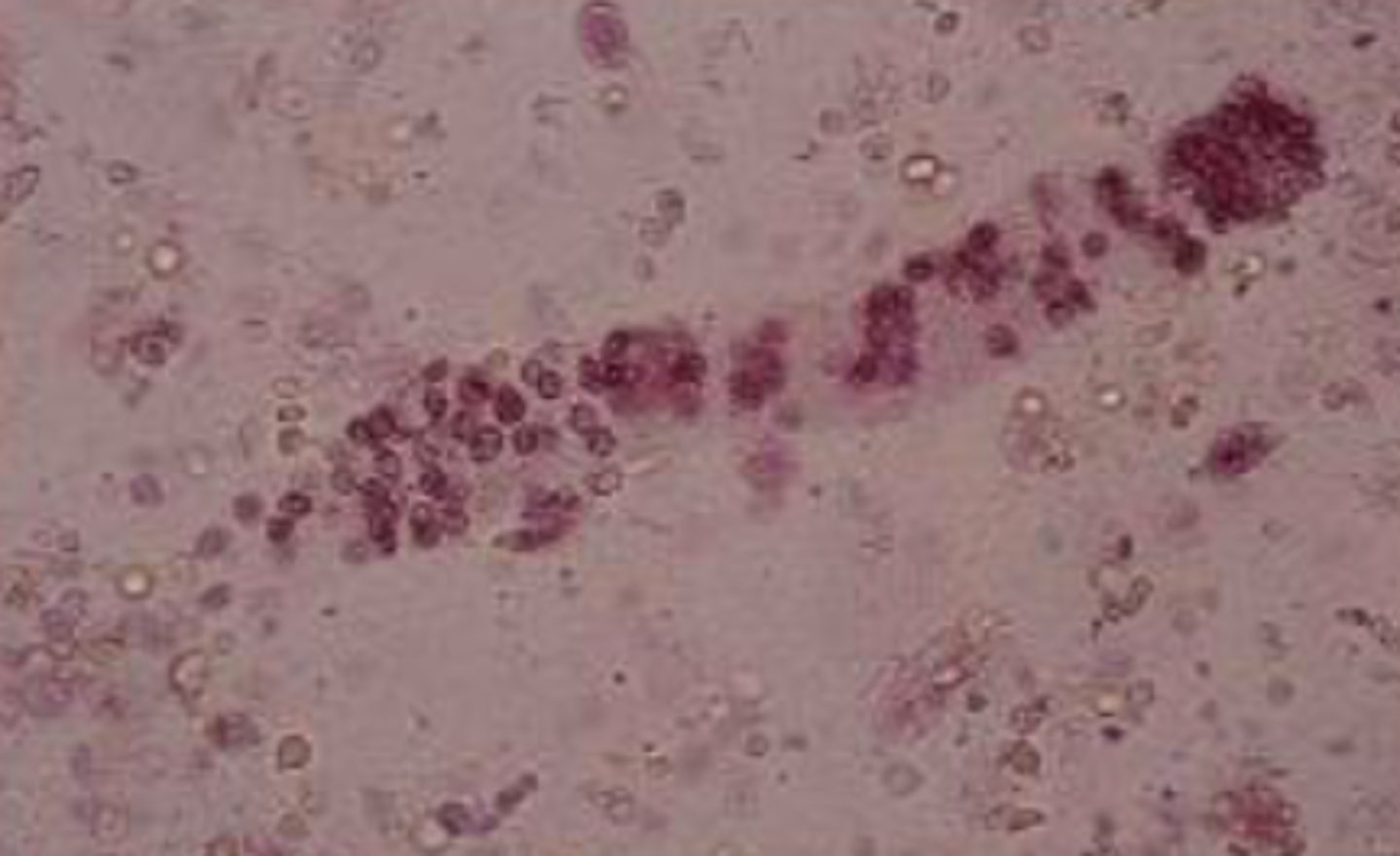
Capillaria plica
Bladderworm of dogs and cats

Dioctophyme renale
Kidneyworm of dogs

Stephanurus dentatus
Kidneyworm in pigs

Fat droplets
- Highly refractile, round, vary in size
- Appear orange/red with sudan III stain
- Can be an artifact of catheterization due to lubrication of catheters
- Free-catch or cysto - typically seen in cats, dogs with diabetes, fat animals, high-fat diet
